Yoshimura Kein, Hirata Hirohito, Tsukamoto Masatsugu, Toda Yu, Morimoto Tadatsugu
Department of Orthopedic Surgery, Saga University, Saga, JPN.
Cureus. 2025 Apr 26;17(4):e83048. doi: 10.7759/cureus.83048. eCollection 2025 Apr.
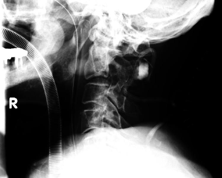
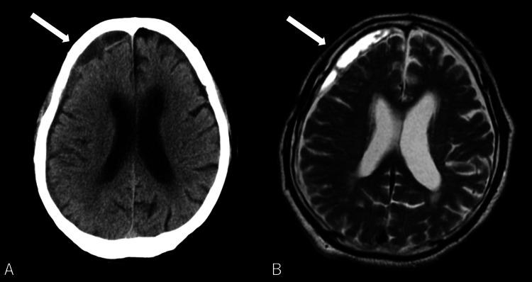
Traumatic herniations of the upper cervical spine are rare, with a higher likelihood of occurrence in older individuals. Their associated neurological symptoms can vary widely, often leading to delays in clinical diagnosis. We report the case of an 86-year-old man who developed neurological symptoms after a fall. Initially, intracranial pathology was suspected, and a head magnetic resonance imaging (MRI) revealed small chronic subdural hematomas, which were managed conservatively. However, as his paralysis progressed over the following days, a repeat brain CT showed no significant changes. Suspecting cervical spine involvement, further imaging identified a C2/3 disc herniation. The patient underwent emergency cervical laminoplasty, but postoperative subluxation required additional surgery, including C1-3 posterior fusion and C2/3 anterior fusion. Post-surgery, the patient exhibited improvement in paralysis affecting both the upper and lower extremities and a reduction in sensory deficits. Early diagnosis and treatment are crucial to improve neuropathic outcomes. A thorough understanding of the symptoms and characteristics of neurological damage to the upper cervical spine can significantly contribute to favorable results. Clinicians should be well-acquainted with this pathological condition.
上颈椎创伤性疝较为罕见,在老年个体中发生的可能性更高。其相关的神经症状差异很大,常常导致临床诊断延迟。我们报告一例86岁男性在跌倒后出现神经症状的病例。最初,怀疑存在颅内病变,头部磁共振成像(MRI)显示有小的慢性硬膜下血肿,对此进行了保守治疗。然而,在接下来的几天里,随着他的瘫痪进展,重复脑部CT检查未发现明显变化。怀疑颈椎受累,进一步影像学检查发现C2/3椎间盘突出。患者接受了紧急颈椎椎板成形术,但术后半脱位需要额外手术,包括C1-3后路融合和C2/3前路融合。手术后,患者双上肢和双下肢的瘫痪情况有所改善,感觉障碍也有所减轻。早期诊断和治疗对于改善神经病变结局至关重要。对上颈椎神经损伤的症状和特征有透彻的了解可显著有助于取得良好结果。临床医生应充分熟悉这种病理状况。