• 文献检索
  • 文档翻译
  • 深度研究
  • 学术资讯
  • Suppr Zotero 插件Zotero 插件
  • 邀请有礼
  • 套餐&价格
  • 历史记录
应用&插件
Suppr Zotero 插件Zotero 插件浏览器插件Mac 客户端Windows 客户端微信小程序
定价
高级版会员购买积分包购买API积分包
服务
文献检索文档翻译深度研究API 文档MCP 服务
关于我们
关于 Suppr公司介绍联系我们用户协议隐私条款
关注我们

Suppr 超能文献

核心技术专利:CN118964589B侵权必究
粤ICP备2023148730 号-1Suppr @ 2026

文献检索

告别复杂PubMed语法,用中文像聊天一样搜索,搜遍4000万医学文献。AI智能推荐,让科研检索更轻松。

立即免费搜索

文件翻译

保留排版,准确专业,支持PDF/Word/PPT等文件格式,支持 12+语言互译。

免费翻译文档

深度研究

AI帮你快速写综述,25分钟生成高质量综述,智能提取关键信息,辅助科研写作。

立即免费体验

人神经前体细胞来源细胞外囊泡的蛋白质组学特征:一种用于神经退行性疾病的有前景的先进疗法

Proteomic Characterization of Extracellular Vesicles from Human Neural Precursor Cells: A Promising Advanced Therapy for Neurodegenerative Diseases.

作者信息

Stricker Priscila Elias Ferreira, de Oliveira Nathalia Barth, Mogharbel Bassam Felipe, Irioda Ana Carolina, da Rosa Nádia Nascimento, Lührs Larissa, Saçaki Claudia Sayuri, Munhoz da Rocha Isadora, Alves Lysangela Ronalte, Poubel Saloe Bispo, Cardoso da Silva Julia, Carvalho Paulo Costa, Fischer Juliana Saldanha da Gama, de Carvalho Katherine Athayde Teixeira

机构信息

Pelé Pequeno Príncipe Research Institute, Child and Adolescent Health Research & Pequeno Príncipe Faculties, Advanced Therapy and Cellular Biotechnology in Regenerative Medicine Department, Curitiba, PR, Brazil.

Gene Expression Regulation Laboratory, Carlos Chagas Institute, FIOCRUZ, Curitiba, PR, Brazil.

出版信息

Int J Nanomedicine. 2025 May 25;20:6675-6699. doi: 10.2147/IJN.S502031. eCollection 2025.

DOI:10.2147/IJN.S502031
PMID:40444011
原文链接:https://pmc.ncbi.nlm.nih.gov/articles/PMC12121667/
Abstract

BACKGROUND

The therapeutic effect of stem cells is attributed to their direct maturation into somatic cells and their paracrine effects, which influence the extracellular environment. One such component released is extracellular vesicles containing proteins and genetic materials with immunomodulatory functions and facilitating cell-to-cell communication.

PURPOSE

The study's main objective was to characterize extracellular vesicles (EVs) from Human Neural Precursor Cells (hNPCs).

METHODS

Wharton's Jelly mesenchymal stem cells (WJ-MSCs) were isolated by explant technique and characterized by flow cytometry and trilineage differentiation. The hNPCs obtained from neurospheres were produced by seeding WJ-MSCs on a natural functional biopolymer matrix. EVs derived from WJ-MSCs and hNPCs were isolated by precipitation methodology and characterized by flow cytometry, nanoparticle tracking analysis (NTA), scanning electron microscopy (TEM), and proteomic.

RESULTS

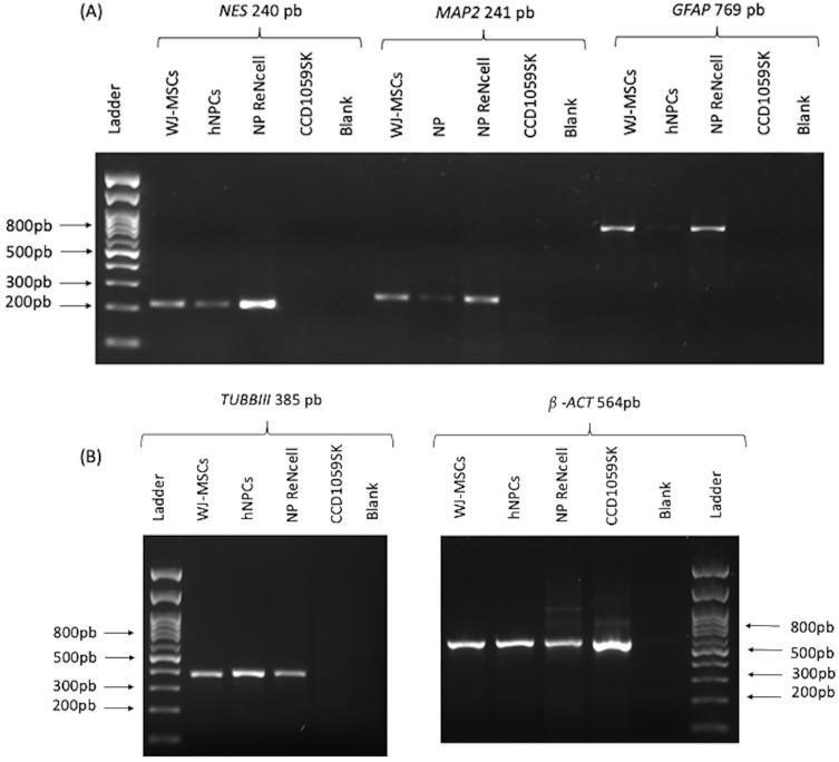
hNPCs expressed proteins and genes characteristic of neural precursor cells. The EVs were characterized by flow cytometry and showed varied expression for the markers CD63, CD9, and CD81, indicating different subpopulations based on their origin of formation. NTA and TEM of the EVs exhibited characteristic size, shape, and structural integrity consistent with the criteria established by the International Society for Extracellular Vesicles (ISEV). EV-hNPCs function enrichment analysis of the proteomic results showed that these vesicles presented abundant proteins directly involved in neuronal biological processes such as plasticity, transduction, postsynaptic density, and overall brain development.

DISCUSSION

The results indicate that EVs derived from hNPCs maintain key neural precursor characteristics and exhibit marker variability, suggesting distinct subpopulations. Their structural integrity aligns with ISEV standards, supporting their potential as reliable biological entities. The proteomic analysis highlights their role in neuronal functions, reinforcing their applicability in neurodegenerative research and therapeutic strategies.

CONCLUSION

The EVs were successfully isolated from hNPCs with abundant proteins involved in neuronal processes, making them attractive for acellular therapies to treat neurodegenerative diseases.

摘要

背景

干细胞的治疗效果归因于其直接成熟为体细胞及其旁分泌作用,这些旁分泌作用会影响细胞外环境。释放的一种此类成分是细胞外囊泡,其含有具有免疫调节功能并促进细胞间通讯的蛋白质和遗传物质。

目的

本研究的主要目的是对来自人神经前体细胞(hNPCs)的细胞外囊泡(EVs)进行表征。

方法

采用组织块培养技术分离脐带华通氏胶间充质干细胞(WJ-MSCs),并通过流式细胞术和三系分化进行表征。通过将WJ-MSCs接种在天然功能性生物聚合物基质上产生从神经球获得的hNPCs。通过沉淀法分离源自WJ-MSCs和hNPCs的EVs,并通过流式细胞术、纳米颗粒跟踪分析(NTA)、扫描电子显微镜(TEM)和蛋白质组学进行表征。

结果

hNPCs表达神经前体细胞的特征性蛋白质和基因。通过流式细胞术对EVs进行表征,结果显示其标志物CD63、CD9和CD81表达各异,表明基于其形成来源存在不同亚群。EVs的NTA和TEM显示出与国际细胞外囊泡协会(ISEV)制定的标准一致的特征尺寸、形状和结构完整性。蛋白质组学结果的EV-hNPCs功能富集分析表明,这些囊泡呈现出大量直接参与神经元生物学过程的蛋白质,如可塑性、转导、突触后密度和整体脑发育。

讨论

结果表明,源自hNPCs的EVs保持关键的神经前体特征并表现出标志物变异性,提示存在不同亚群。其结构完整性符合ISEV标准,支持其作为可靠生物实体的潜力。蛋白质组学分析突出了它们在神经元功能中的作用,加强了它们在神经退行性疾病研究和治疗策略中的适用性。

结论

成功从hNPCs中分离出EVs,其含有大量参与神经元过程的蛋白质,使其在治疗神经退行性疾病的无细胞疗法中具有吸引力。

https://cdn.ncbi.nlm.nih.gov/pmc/blobs/4e57/12121667/3d1b194726ef/IJN-20-6675-g0008.jpg
https://cdn.ncbi.nlm.nih.gov/pmc/blobs/4e57/12121667/e227b0c1d423/IJN-20-6675-g0001.jpg
https://cdn.ncbi.nlm.nih.gov/pmc/blobs/4e57/12121667/87c96320f0f8/IJN-20-6675-g0002.jpg
https://cdn.ncbi.nlm.nih.gov/pmc/blobs/4e57/12121667/cbc2473a83fe/IJN-20-6675-g0003.jpg
https://cdn.ncbi.nlm.nih.gov/pmc/blobs/4e57/12121667/557544ebca32/IJN-20-6675-g0004.jpg
https://cdn.ncbi.nlm.nih.gov/pmc/blobs/4e57/12121667/7fc90181d9d6/IJN-20-6675-g0005.jpg
https://cdn.ncbi.nlm.nih.gov/pmc/blobs/4e57/12121667/c8562fad6cee/IJN-20-6675-g0006.jpg
https://cdn.ncbi.nlm.nih.gov/pmc/blobs/4e57/12121667/e568e5630bf9/IJN-20-6675-g0007.jpg
https://cdn.ncbi.nlm.nih.gov/pmc/blobs/4e57/12121667/3d1b194726ef/IJN-20-6675-g0008.jpg
https://cdn.ncbi.nlm.nih.gov/pmc/blobs/4e57/12121667/e227b0c1d423/IJN-20-6675-g0001.jpg
https://cdn.ncbi.nlm.nih.gov/pmc/blobs/4e57/12121667/87c96320f0f8/IJN-20-6675-g0002.jpg
https://cdn.ncbi.nlm.nih.gov/pmc/blobs/4e57/12121667/cbc2473a83fe/IJN-20-6675-g0003.jpg
https://cdn.ncbi.nlm.nih.gov/pmc/blobs/4e57/12121667/557544ebca32/IJN-20-6675-g0004.jpg
https://cdn.ncbi.nlm.nih.gov/pmc/blobs/4e57/12121667/7fc90181d9d6/IJN-20-6675-g0005.jpg
https://cdn.ncbi.nlm.nih.gov/pmc/blobs/4e57/12121667/c8562fad6cee/IJN-20-6675-g0006.jpg
https://cdn.ncbi.nlm.nih.gov/pmc/blobs/4e57/12121667/e568e5630bf9/IJN-20-6675-g0007.jpg
https://cdn.ncbi.nlm.nih.gov/pmc/blobs/4e57/12121667/3d1b194726ef/IJN-20-6675-g0008.jpg

相似文献

1
Proteomic Characterization of Extracellular Vesicles from Human Neural Precursor Cells: A Promising Advanced Therapy for Neurodegenerative Diseases.人神经前体细胞来源细胞外囊泡的蛋白质组学特征:一种用于神经退行性疾病的有前景的先进疗法
Int J Nanomedicine. 2025 May 25;20:6675-6699. doi: 10.2147/IJN.S502031. eCollection 2025.
2
A comprehensive proteomics profiling identifies NRP1 as a novel identity marker of human bone marrow mesenchymal stromal cell-derived small extracellular vesicles.综合蛋白质组学分析鉴定 NRPl 为人类骨髓间充质基质细胞来源的小细胞外囊泡的新型特征标志物。
Stem Cell Res Ther. 2019 Dec 18;10(1):401. doi: 10.1186/s13287-019-1516-2.
3
Dual production of human mesenchymal stromal cells and derived extracellular vesicles in a dissolvable microcarrier-based stirred culture system.在基于可溶解微载体的搅拌培养系统中双重生产人间充质基质细胞和衍生的细胞外囊泡。
Cytotherapy. 2024 Jul;26(7):749-756. doi: 10.1016/j.jcyt.2024.03.001. Epub 2024 Mar 11.
4
Mesenchymal Stem Cell Secreted-Extracellular Vesicles are Involved in Chondrocyte Production and Reduce Adipogenesis during Stem Cell Differentiation.间充质干细胞分泌的细胞外囊泡参与软骨细胞的生成,并在干细胞分化过程中减少脂肪生成。
Tissue Eng Regen Med. 2022 Dec;19(6):1295-1310. doi: 10.1007/s13770-022-00490-0. Epub 2022 Nov 8.
5
Wharton's Jelly mesenchymal stromal cell-derived extracellular vesicles promote nucleus pulposus cell anabolism in an in vitro 3D alginate-bead culture model.华通氏胶间充质基质细胞衍生的细胞外囊泡在体外3D藻酸盐珠培养模型中促进髓核细胞合成代谢。
JOR Spine. 2023 Oct 6;7(1):e1274. doi: 10.1002/jsp2.1274. eCollection 2024 Mar.
6
Imaging of extracellular vesicles derived from human bone marrow mesenchymal stem cells using fluorescent and magnetic labels.使用荧光和磁性标记物对来源于人骨髓间充质干细胞的细胞外囊泡进行成像。
Int J Nanomedicine. 2018 Mar 19;13:1653-1664. doi: 10.2147/IJN.S159404. eCollection 2018.
7
Continuous collection of human mesenchymal-stromal-cell-derived extracellular vesicles from a stirred tank reactor operated under xenogeneic-free conditions for therapeutic applications.在无异种条件下运行的搅拌罐反应器中连续收集人源间充质基质细胞衍生的细胞外囊泡用于治疗应用。
Stem Cell Res Ther. 2025 Apr 24;16(1):210. doi: 10.1186/s13287-025-04341-2.
8
Extracellular Vesicles from Wharton's Jelly Mesenchymal Stem Cells Suppress CD4 Expressing T Cells Through Transforming Growth Factor Beta and Adenosine Signaling in a Canine Model.犬模型中,源自牙髓间充质干细胞的细胞外囊泡通过转化生长因子β和腺苷信号通路抑制 CD4 阳性 T 细胞。
Stem Cells Dev. 2019 Feb 1;28(3):212-226. doi: 10.1089/scd.2018.0097. Epub 2019 Jan 14.
9
Influence of the isolation method on characteristics and functional activity of mesenchymal stromal cell-derived extracellular vesicles.分离方法对间充质基质细胞衍生细胞外囊泡的特性和功能活性的影响。
Cytotherapy. 2024 Feb;26(2):157-170. doi: 10.1016/j.jcyt.2023.11.001. Epub 2023 Dec 8.
10
Comparative proteomic profiling of Small Extracellular vesicles derived from iPSCs and tissue specific mesenchymal stem cells.iPSCs 和组织特异性间充质干细胞来源的小细胞外囊泡的比较蛋白质组学分析。
Exp Cell Res. 2022 Nov 15;420(2):113354. doi: 10.1016/j.yexcr.2022.113354. Epub 2022 Sep 17.

本文引用的文献

1
Proteomic characterization of hUC-MSC extracellular vesicles and evaluation of its therapeutic potential to treat Alzheimer's disease.人脐带来源间充质干细胞细胞外囊泡的蛋白质组学特征及其治疗阿尔茨海默病的治疗潜力评估。
Sci Rep. 2024 Mar 12;14(1):5959. doi: 10.1038/s41598-024-56549-6.
2
Effects of microenvironment and biological behavior on the paracrine function of stem cells.微环境和生物学行为对干细胞旁分泌功能的影响。
Genes Dis. 2023 Apr 11;11(1):135-147. doi: 10.1016/j.gendis.2023.03.013. eCollection 2024 Jan.
3
Mesenchymal stromal/stem cell (MSC)-derived exosomes in clinical trials.
临床研究中的间充质基质/干细胞(MSC)衍生的外泌体。
Stem Cell Res Ther. 2023 Apr 7;14(1):66. doi: 10.1186/s13287-023-03287-7.
4
Regenerative Effects of Exosomes-Derived MSCs: An Overview on Spinal Cord Injury Experimental Studies.间充质干细胞来源外泌体的再生作用:脊髓损伤实验研究综述
Biomedicines. 2023 Jan 13;11(1):201. doi: 10.3390/biomedicines11010201.
5
Mesenchymal stem cell-derived exosomes: The dawn of diabetic wound healing.间充质干细胞衍生的外泌体:糖尿病伤口愈合的曙光。
World J Diabetes. 2022 Dec 15;13(12):1066-1095. doi: 10.4239/wjd.v13.i12.1066.
6
The Neural Multilineage Differentiation Capacity of Human Neural Precursors from the Umbilical Cord-Ready to Bench for Clinical Trials.人脐带神经前体细胞的神经多谱系分化能力——准备用于临床试验的基础研究
Membranes (Basel). 2022 Sep 9;12(9):873. doi: 10.3390/membranes12090873.
7
Comprehensive proteomic analysis of exosome mimetic vesicles and exosomes derived from human umbilical cord mesenchymal stem cells.人脐带间充质干细胞来源的外泌体模拟囊泡和外泌体的综合蛋白质组学分析。
Stem Cell Res Ther. 2022 Jul 15;13(1):312. doi: 10.1186/s13287-022-03008-6.
8
Extracellular vesicles as bioactive nanotherapeutics: An emerging paradigm for regenerative medicine.细胞外囊泡作为生物活性纳米治疗剂:再生医学的新兴范例。
Theranostics. 2022 Jun 21;12(11):4879-4903. doi: 10.7150/thno.72812. eCollection 2022.
9
The role of histone modifications: from neurodevelopment to neurodiseases.组蛋白修饰的作用:从神经发育到神经疾病。
Signal Transduct Target Ther. 2022 Jul 6;7(1):217. doi: 10.1038/s41392-022-01078-9.
10
Neural Crest-Derived Stem Cells (NCSCs) Obtained from Dental-Related Stem Cells (DRSCs): A Literature Review on Current Knowledge and Directions toward Translational Applications.神经嵴来源的干细胞(NCSCs)来源于牙相关干细胞(DRSCs):对当前知识的文献回顾及向转化应用的发展方向。
Int J Mol Sci. 2022 Feb 28;23(5):2714. doi: 10.3390/ijms23052714.