• 文献检索
  • 文档翻译
  • 深度研究
  • 学术资讯
  • Suppr Zotero 插件Zotero 插件
  • 邀请有礼
  • 套餐&价格
  • 历史记录
应用&插件
Suppr Zotero 插件Zotero 插件浏览器插件Mac 客户端Windows 客户端微信小程序
定价
高级版会员购买积分包购买API积分包
服务
文献检索文档翻译深度研究API 文档MCP 服务
关于我们
关于 Suppr公司介绍联系我们用户协议隐私条款
关注我们

Suppr 超能文献

核心技术专利:CN118964589B侵权必究
粤ICP备2023148730 号-1Suppr @ 2026

文献检索

告别复杂PubMed语法,用中文像聊天一样搜索,搜遍4000万医学文献。AI智能推荐,让科研检索更轻松。

立即免费搜索

文件翻译

保留排版,准确专业,支持PDF/Word/PPT等文件格式,支持 12+语言互译。

免费翻译文档

深度研究

AI帮你快速写综述,25分钟生成高质量综述,智能提取关键信息,辅助科研写作。

立即免费体验

USP24上调可稳定蛋白激酶A催化亚基α(PKA-Cα),从而在马兜铃酸肾病(MASH)进展过程中促进脂肪生成、炎症和纤维化。

USP24 upregulation stabilizes PKA-Cα to promote lipogenesis, inflammation, and fibrosis during MASH progression.

作者信息

Ning Beh, Wang Shao-An, Young Ming-Jer, Chen Yung-Ching, Hung Yun, Huong Tran Thu, Chang Wen-Chang, Wang Yi-Ching, Yu Ming-Lung, Hsu Kai-Cheng, Hung Jan-Jong

机构信息

Department of Biotechnology and Bioindustry Sciences, National Cheng Kung University, Tainan, 701, Taiwan.

Graduate Institute of Medical Sciences, College of Medicine, Taipei Medical University, Taipei, Taiwan.

出版信息

J Biomed Sci. 2025 May 30;32(1):54. doi: 10.1186/s12929-025-01148-4.

DOI:10.1186/s12929-025-01148-4
PMID:40448065
原文链接:https://pmc.ncbi.nlm.nih.gov/articles/PMC12125897/
Abstract

BACKGROUND

Ubiquitin-specific peptidase 24 (USP24), a deubiquitinating enzyme, regulates protein stability by removing ubiquitin. This study investigates the role of UPS24 in lipid metabolism, inflammation, and fibrosis. It also explores the effect of targeting USP24 on metabolic disorders, focusing on high-fat diet (HFD)-induced obesity and liver diseases.

METHODS

This study utilized CRISPR/Cas9 to create functional knockout mice (USP24) and treated HFD-fed mice with USP24 inhibitor (USP24-i-101). The effects of USP24 inhibition or knockout on 3T3-L1 derived adipocytes, primary hepatocytes, hepatic stellate cells, and murine hepatocyte cell line AML12 (alpha mouse liver 12) cells were assessed with RNA-sequencing. Molecular mechanisms and the interaction between USP24 and PKA-Cα were studied with co-immunoprecipitation. Downstream signaling pathways involving CREB, SREBP1, PPARγ, and C/EBPβ, as well as USP24 role in liver inflammation and fibrosis, were studied using western blot and real-time PCR. Clinical and animal tissue samples were examined with immunohistochemistry to identify the correlations between USP24 and metabolic-associated liver diseases.

RESULTS

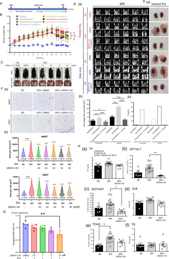
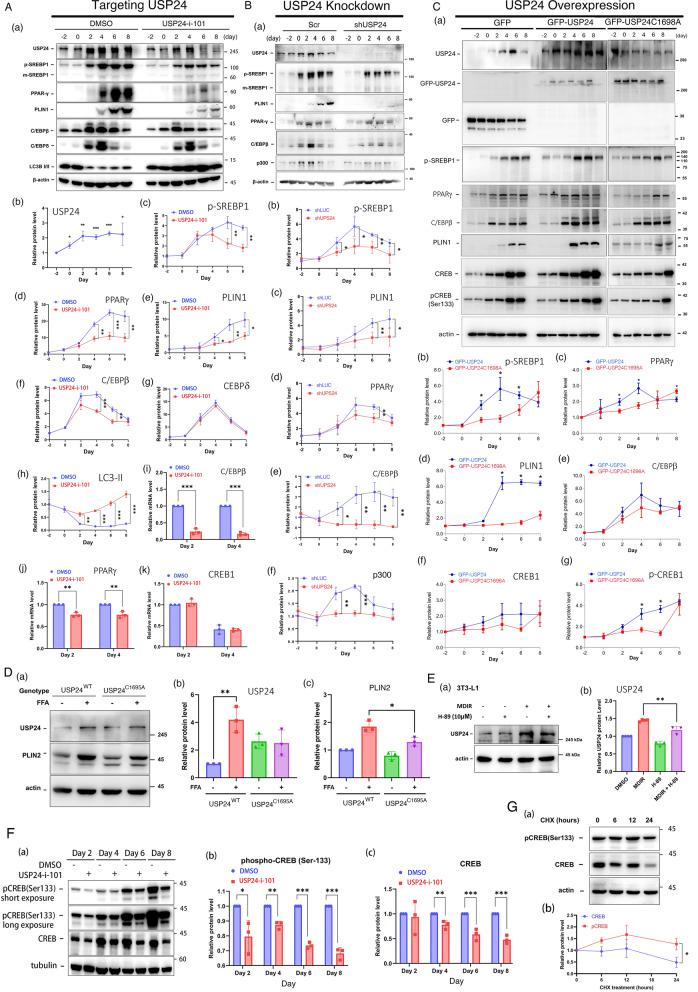
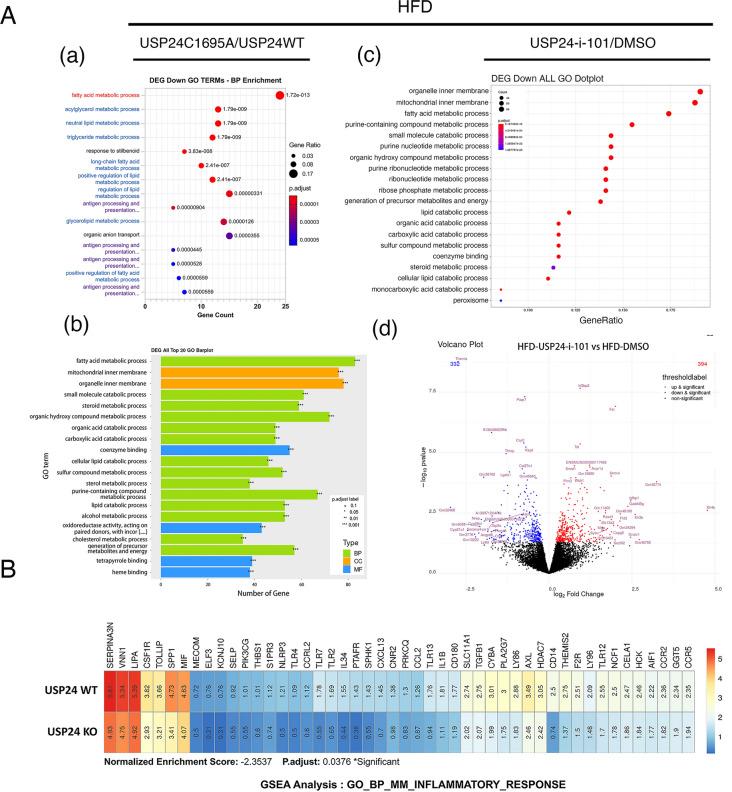
Knockout or inhibition of USP24 reduced body weight, lipid accumulation, inflammation, and fibrosis in HFD-fed mice. The expression of genes related to lipogenesis, inflammation, and fibrosis was downregulated in USP24 mice and those treated with USP24 inhibitor (USP24-i-101). USP24 inhibition decreased lipid droplet accumulation in adipocytes and hepatocytes, suppressed inflammation in hepatocytes and AML12 cells, and reduced fibrosis in hepatic stellate cells. Mechanistically, USP24 expression was upregulated by PKA activation during adipocyte differentiation, leading to increased PKA-Cα stability and CREB phosphorylation, which promoted lipogenic gene expression. Free fatty acids (FFA) increased USP24 expression, activating NF-κB and TGFβ pathways to induce inflammation (Cox2) and fibrosis (α-SMA). USP24 was highly expressed in patients with metabolic dysfunction-associated steatohepatitis (MASH) and correlated with Cox2 and α-SMA levels.

摘要

背景

泛素特异性肽酶24(USP24)是一种去泛素化酶,通过去除泛素来调节蛋白质稳定性。本研究调查了USP24在脂质代谢、炎症和纤维化中的作用。它还探讨了靶向USP24对代谢紊乱的影响,重点关注高脂饮食(HFD)诱导的肥胖和肝脏疾病。

方法

本研究利用CRISPR/Cas9技术创建功能性基因敲除小鼠(USP24),并用USP24抑制剂(USP24-i-101)处理高脂饮食喂养的小鼠。通过RNA测序评估USP24抑制或敲除对3T3-L1衍生脂肪细胞、原代肝细胞、肝星状细胞和小鼠肝细胞系AML12(α小鼠肝脏12)细胞的影响。通过免疫共沉淀研究USP24与PKA-Cα之间的分子机制和相互作用。使用蛋白质免疫印迹和实时聚合酶链反应研究涉及CREB、SREBP1、PPARγ和C/EBPβ的下游信号通路,以及USP24在肝脏炎症和纤维化中的作用。通过免疫组织化学检查临床和动物组织样本,以确定USP24与代谢相关肝病之间的相关性。

结果

敲除或抑制USP24可降低高脂饮食喂养小鼠的体重、脂质积累、炎症和纤维化。在USP24基因敲除小鼠和用USP24抑制剂(USP24-i-101)处理的小鼠中,与脂肪生成、炎症和纤维化相关的基因表达下调。USP24抑制减少了脂肪细胞和肝细胞中的脂滴积累,抑制了肝细胞和AML12细胞中的炎症,并减少了肝星状细胞中的纤维化。从机制上讲,在脂肪细胞分化过程中,PKA激活上调了USP24的表达,导致PKA-Cα稳定性增加和CREB磷酸化增加,从而促进脂肪生成基因的表达。游离脂肪酸(FFA)增加了USP24的表达,激活NF-κB和TGFβ通路以诱导炎症(Cox2)和纤维化(α-SMA)。USP24在代谢功能障碍相关脂肪性肝炎(MASH)患者中高表达,并与Cox2和α-SMA水平相关。

https://cdn.ncbi.nlm.nih.gov/pmc/blobs/e731/12125897/c1b6d1b3e8f4/12929_2025_1148_Fig8_HTML.jpg
https://cdn.ncbi.nlm.nih.gov/pmc/blobs/e731/12125897/be1f3cbed4e3/12929_2025_1148_Fig1_HTML.jpg
https://cdn.ncbi.nlm.nih.gov/pmc/blobs/e731/12125897/449e59b9d0ad/12929_2025_1148_Fig2_HTML.jpg
https://cdn.ncbi.nlm.nih.gov/pmc/blobs/e731/12125897/bf64225aeca5/12929_2025_1148_Fig3_HTML.jpg
https://cdn.ncbi.nlm.nih.gov/pmc/blobs/e731/12125897/02ff747b9696/12929_2025_1148_Fig4_HTML.jpg
https://cdn.ncbi.nlm.nih.gov/pmc/blobs/e731/12125897/02357dd7a7b5/12929_2025_1148_Fig5_HTML.jpg
https://cdn.ncbi.nlm.nih.gov/pmc/blobs/e731/12125897/f7acfbdd499e/12929_2025_1148_Fig6a_HTML.jpg
https://cdn.ncbi.nlm.nih.gov/pmc/blobs/e731/12125897/0ce9fd500c3b/12929_2025_1148_Fig7_HTML.jpg
https://cdn.ncbi.nlm.nih.gov/pmc/blobs/e731/12125897/c1b6d1b3e8f4/12929_2025_1148_Fig8_HTML.jpg
https://cdn.ncbi.nlm.nih.gov/pmc/blobs/e731/12125897/be1f3cbed4e3/12929_2025_1148_Fig1_HTML.jpg
https://cdn.ncbi.nlm.nih.gov/pmc/blobs/e731/12125897/449e59b9d0ad/12929_2025_1148_Fig2_HTML.jpg
https://cdn.ncbi.nlm.nih.gov/pmc/blobs/e731/12125897/bf64225aeca5/12929_2025_1148_Fig3_HTML.jpg
https://cdn.ncbi.nlm.nih.gov/pmc/blobs/e731/12125897/02ff747b9696/12929_2025_1148_Fig4_HTML.jpg
https://cdn.ncbi.nlm.nih.gov/pmc/blobs/e731/12125897/02357dd7a7b5/12929_2025_1148_Fig5_HTML.jpg
https://cdn.ncbi.nlm.nih.gov/pmc/blobs/e731/12125897/f7acfbdd499e/12929_2025_1148_Fig6a_HTML.jpg
https://cdn.ncbi.nlm.nih.gov/pmc/blobs/e731/12125897/0ce9fd500c3b/12929_2025_1148_Fig7_HTML.jpg
https://cdn.ncbi.nlm.nih.gov/pmc/blobs/e731/12125897/c1b6d1b3e8f4/12929_2025_1148_Fig8_HTML.jpg

相似文献

1
USP24 upregulation stabilizes PKA-Cα to promote lipogenesis, inflammation, and fibrosis during MASH progression.USP24上调可稳定蛋白激酶A催化亚基α(PKA-Cα),从而在马兜铃酸肾病(MASH)进展过程中促进脂肪生成、炎症和纤维化。
J Biomed Sci. 2025 May 30;32(1):54. doi: 10.1186/s12929-025-01148-4.
2
Degradation of PHLPP2 by KCTD17, via a Glucagon-Dependent Pathway, Promotes Hepatic Steatosis.通过胰高血糖素依赖途径,KCTD17介导的PHLPP2降解促进肝脂肪变性。
Gastroenterology. 2017 Dec;153(6):1568-1580.e10. doi: 10.1053/j.gastro.2017.08.039. Epub 2017 Aug 30.
3
A novel role of CRTC2 in promoting nonalcoholic fatty liver disease.CRTC2 在促进非酒精性脂肪性肝病中的新作用。
Mol Metab. 2022 Jan;55:101402. doi: 10.1016/j.molmet.2021.101402. Epub 2021 Nov 24.
4
The Extract of Humulus japonicus Inhibits Lipogenesis and Promotes Lipolysis via PKA/p38 Signaling.啤酒花提取物通过 PKA/p38 信号通路抑制脂肪生成和促进脂肪分解。
Obes Facts. 2024;17(5):513-523. doi: 10.1159/000540699. Epub 2024 Aug 5.
5
TJ0113 attenuates fibrosis in metabolic dysfunction-associated steatohepatitis by inducing mitophagy.TJ0113通过诱导线粒体自噬减轻代谢功能障碍相关脂肪性肝炎中的纤维化。
Int Immunopharmacol. 2025 May 27;156:114678. doi: 10.1016/j.intimp.2025.114678. Epub 2025 Apr 18.
6
Cinnabarinic acid protects against metabolic dysfunction-associated steatohepatitis by activating aryl hydrocarbon receptor-dependent AMPK signaling.朱红酸通过激活芳烃受体依赖性AMPK信号通路预防代谢功能障碍相关脂肪性肝炎。
Am J Physiol Gastrointest Liver Physiol. 2025 Apr 1;328(4):G433-G447. doi: 10.1152/ajpgi.00337.2024. Epub 2025 Mar 10.
7
Acetyl-CoA carboxylase inhibition disrupts metabolic reprogramming during hepatic stellate cell activation.乙酰辅酶 A 羧化酶抑制破坏肝星状细胞激活过程中的代谢重编程。
J Hepatol. 2020 Oct;73(4):896-905. doi: 10.1016/j.jhep.2020.04.037. Epub 2020 May 4.
8
CU06-1004 modulates the adenosine monophosphate (AMP)-associated protein kinase (AMPK) signaling pathway and inhibits lipogenesis in 3T3-L1 adipocytes and high-fat diet-induced obese mice.CU06-1004 调节单磷酸腺苷(AMP)相关蛋白激酶(AMPK)信号通路,并抑制 3T3-L1 脂肪细胞和高脂饮食诱导肥胖小鼠的脂肪生成。
Life Sci. 2022 May 1;296:120440. doi: 10.1016/j.lfs.2022.120440. Epub 2022 Mar 1.
9
Expression of Vsig4 attenuates macrophage-mediated hepatic inflammation and fibrosis in high fat diet (HFD)-induced mice.Vsig4 的表达可减轻高脂肪饮食(HFD)诱导的小鼠巨噬细胞介导的肝炎症和纤维化。
Biochem Biophys Res Commun. 2019 Aug 27;516(3):858-865. doi: 10.1016/j.bbrc.2019.06.045. Epub 2019 Jun 29.
10
Protective Effects of Hepatocyte Stress Defenders, Nrf1 and Nrf2, against MASLD Progression.肝应激防御因子 Nrf1 和 Nrf2 对 MASLD 进展的保护作用。
Int J Mol Sci. 2024 Jul 24;25(15):8046. doi: 10.3390/ijms25158046.

本文引用的文献

1
USP24-i-101 targeting of USP24 activates autophagy to inhibit drug resistance acquired during cancer therapy.USP24-i-101 通过靶向 USP24 激活自噬来抑制癌症治疗过程中获得的耐药性。
Cell Death Differ. 2024 May;31(5):574-591. doi: 10.1038/s41418-024-01277-7. Epub 2024 Mar 15.
2
Pharmacologic inhibition of lipogenesis for the treatment of NAFLD.通过药物抑制脂肪生成来治疗非酒精性脂肪性肝病。
J Hepatol. 2024 Feb;80(2):362-377. doi: 10.1016/j.jhep.2023.10.042. Epub 2023 Nov 15.
3
Deubiquitinases in cancer.癌症中的去泛素化酶。
Nat Rev Cancer. 2023 Dec;23(12):842-862. doi: 10.1038/s41568-023-00633-y. Epub 2023 Nov 7.
4
The major urinary protein gene cluster knockout mouse as a novel model for translational metabolism research.主要尿蛋白基因簇敲除小鼠作为转化代谢研究的新型模型。
Sci Rep. 2022 Aug 1;12(1):13161. doi: 10.1038/s41598-022-17195-y.
5
Elevated de novo lipogenesis, slow liver triglyceride turnover, and clinical correlations in nonalcoholic steatohepatitis patients.非酒精性脂肪性肝炎患者中升高的从头合成脂肪生成、缓慢的肝甘油三酯周转率及临床相关性。
J Lipid Res. 2022 Sep;63(9):100250. doi: 10.1016/j.jlr.2022.100250. Epub 2022 Jul 11.
6
Lipogenesis inhibitors: therapeutic opportunities and challenges.脂肪生成抑制剂:治疗机会与挑战。
Nat Rev Drug Discov. 2022 Apr;21(4):283-305. doi: 10.1038/s41573-021-00367-2. Epub 2022 Jan 14.
7
Recent Advances in Adipose Tissue Dysfunction and Its Role in the Pathogenesis of Non-Alcoholic Fatty Liver Disease.脂肪组织功能障碍及其在非酒精性脂肪性肝病发病机制中的作用的最新进展。
Cells. 2021 Nov 25;10(12):3300. doi: 10.3390/cells10123300.
8
Ubiquitin-Specific Proteases: Players in Cancer Cellular Processes.泛素特异性蛋白酶:癌症细胞过程中的参与者。
Pharmaceuticals (Basel). 2021 Aug 26;14(9):848. doi: 10.3390/ph14090848.
9
Non-alcoholic fatty liver disease.非酒精性脂肪性肝病。
Lancet. 2021 Jun 5;397(10290):2212-2224. doi: 10.1016/S0140-6736(20)32511-3. Epub 2021 Apr 21.
10
Obesity and Cardiovascular Disease: A Scientific Statement From the American Heart Association.肥胖与心血管疾病:美国心脏协会科学声明
Circulation. 2021 May 25;143(21):e984-e1010. doi: 10.1161/CIR.0000000000000973. Epub 2021 Apr 22.