• 文献检索
  • 文档翻译
  • 深度研究
  • 学术资讯
  • Suppr Zotero 插件Zotero 插件
  • 邀请有礼
  • 套餐&价格
  • 历史记录
应用&插件
Suppr Zotero 插件Zotero 插件浏览器插件Mac 客户端Windows 客户端微信小程序
定价
高级版会员购买积分包购买API积分包
服务
文献检索文档翻译深度研究API 文档MCP 服务
关于我们
关于 Suppr公司介绍联系我们用户协议隐私条款
关注我们

Suppr 超能文献

核心技术专利:CN118964589B侵权必究
粤ICP备2023148730 号-1Suppr @ 2026

文献检索

告别复杂PubMed语法,用中文像聊天一样搜索,搜遍4000万医学文献。AI智能推荐,让科研检索更轻松。

立即免费搜索

文件翻译

保留排版,准确专业,支持PDF/Word/PPT等文件格式,支持 12+语言互译。

免费翻译文档

深度研究

AI帮你快速写综述,25分钟生成高质量综述,智能提取关键信息,辅助科研写作。

立即免费体验

环状SLC22A3通过miR-19b-3p/TRAK2轴并通过降低m⁶A修饰的ACSBG1 mRNA的稳定性来抑制食管鳞癌的侵袭和转移。

CircSLC22A3 inhibits the invasion and metastasis of ESCC via the miR-19b-3p/TRAK2 axis and by reducing the stability of mA-modified ACSBG1 mRNA.

作者信息

Pan Yingjie, Yang Hang, Zhang Jiayi, Zhang Ruolan, Liu Yun, Bie Jun, Chen Qiaoling, Qiao Yan, Liu Kang, Song Guiqin

机构信息

Institute of Tissue Engineering and Stem Cell Research, The Second Clinical College of North Sichuan Medical College, Beijing Anzhen Nanchong Hospital of Capital Medical University & Nanchong Central Hospital, Nanchong, 637000, P.R. China.

Institute of Basic Medicine and Forensic Medicine, North Sichuan Medical College, Nanchong, 637100, P.R. China.

出版信息

BMC Cancer. 2025 May 30;25(1):971. doi: 10.1186/s12885-025-14390-8.

DOI:10.1186/s12885-025-14390-8
PMID:40448098
原文链接:https://pmc.ncbi.nlm.nih.gov/articles/PMC12125856/
Abstract

BACKGROUND

Esophageal squamous cell carcinoma (ESCC) is a major contributor to cancer-related deaths, driven by its invasive and metastatic nature. Circular RNAs (circRNAs) are increasingly recognized as regulators of cancer progression, primarily through miRNA sponging and interactions with RNA-binding proteins. Their dysregulation has been linked to the development of in various cancers. The present study aimed to investigate the potential involvement of circSLC22A3 in the pathogenesis of ESCC.

METHODS

CircSLC22A3 expression in ESCC tissues and cells was analyzed using transcriptome sequencing and RT-qPCR. Its circular structure was validated through Sanger sequencing, agarose gel electrophoresis, RNase R digestion, and random priming assays. Subcellular localization was determined by nucleoplasmic separation and fluorescence in situ hybridization (FISH). Clinical correlations were assessed via tissue microarrays. Functional roles of circSLC22A3 in ESCC progression were investigated through in vitro and in vivo assays. Downstream miR-19b-3p and target gene TRAK2 were screened by bioinformatics analysis and RT-qPCR, with binding confirmed via luciferase reporter assays. RNA pulldown combined with RNA immunoprecipitation (RIP) identified IGF2BP1 as a circSLC22A3-interacting protein. RNA-seq and RT-qPCR revealed ACSBG1 as a key downstream effector. IGF2BP1-mediated mA modification of ACSBG1 was mapped by MeRIP-seq and RIP, with mRNA stability assessed via Actinomycin D assay. ACSBG1 expression and biological function in ESCC were confirmed by immunohistochemistry, RT-qPCR, and functional assays.

RESULTS

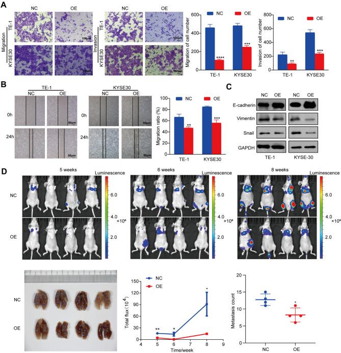
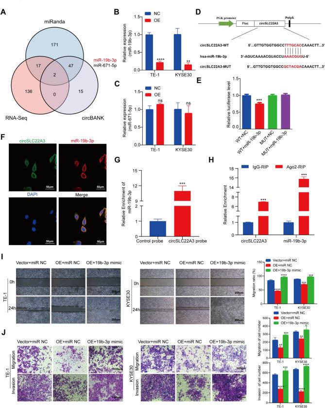
Significant downregulation of circSLC22A3 was observed in both ESCC tissues and cell lines. Overexpression of circSLC22A3 significantly reduced ESCC cells' migration and invasion capabilities. Mechanistic investigation revealed that circSLC22A3 played a pivotal role in the invasion and metastasis of esophageal cancer through distinct pathways. On one hand, circSLC22A3 functioned as a miR-19b-3p sponge to augment trafficking kinesin protein 2 (TRAK2) expression, while, on the other hand, circSLC22A3 formed a protein-RNA complex with IGF2BP1, resulting in the degradation of acyl-CoA synthetase bubblegum family member 1 (ACSBG1) mRNA through the recognition of mA modification, thereby suppressing invasion and metastasis of ESCC.

CONCLUSIONS

The present study identified circSLC22A3 as a new tumor suppressor that inhibited ESCC progression through both the circSLC22A3/ miR-19b-3p/ TRAK2 and circSLC22A3/ IGF2BP1/ ACSBG1 axes.

摘要

背景

食管鳞状细胞癌(ESCC)因其侵袭性和转移性,是癌症相关死亡的主要原因。环状RNA(circRNAs)越来越被认为是癌症进展的调节因子,主要通过充当微小RNA(miRNA)海绵以及与RNA结合蛋白相互作用来发挥作用。它们的失调与多种癌症的发生发展有关。本研究旨在探讨circSLC22A3在ESCC发病机制中的潜在作用。

方法

使用转录组测序和逆转录定量聚合酶链反应(RT-qPCR)分析ESCC组织和细胞中circSLC22A3的表达。通过桑格测序、琼脂糖凝胶电泳、核糖核酸酶R消化和随机引物分析验证其环状结构。通过核质分离和荧光原位杂交(FISH)确定亚细胞定位。通过组织芯片评估临床相关性。通过体外和体内实验研究circSLC22A3在ESCC进展中的功能作用。通过生物信息学分析和RT-qPCR筛选下游miR-19b-3p和靶基因TRAK2,并通过荧光素酶报告基因实验确认结合情况。RNA下拉结合RNA免疫沉淀(RIP)确定胰岛素样生长因子2 mRNA结合蛋白1(IGF2BP1)为与circSLC22A3相互作用的蛋白。RNA测序(RNA-seq)和RT-qPCR显示酰基辅酶A合成酶泡泡糖家族成员1(ACSBG1)是关键的下游效应分子。通过甲基化RNA免疫沉淀测序(MeRIP-seq)和RIP绘制IGF2BP1介导的ACSBG1的N6-甲基腺苷(m6A)修饰图谱,并通过放线菌素D实验评估mRNA稳定性。通过免疫组织化学、RT-qPCR和功能实验证实ACSBG1在ESCC中的表达及其生物学功能。

结果

在ESCC组织和细胞系中均观察到circSLC22A3明显下调。circSLC22A3的过表达显著降低了ESCC细胞的迁移和侵袭能力。机制研究表明,circSLC22A3通过不同途径在食管癌的侵袭和转移中起关键作用。一方面,circSLC22A3充当miR-19b-3p海绵以增加运输驱动蛋白2(TRAK2)的表达,另一方面,circSLC22A3与IGF2BP1形成蛋白质-RNA复合物,通过识别m6A修饰导致ACSBG1 mRNA降解,从而抑制ESCC的侵袭和转移。

结论

本研究确定circSLC22A3是一种新的肿瘤抑制因子,其通过circSLC22A3/miR-19b-3p/TRAK2和circSLC22A3/IGF2BP1/ACSBG1轴抑制ESCC进展。

https://cdn.ncbi.nlm.nih.gov/pmc/blobs/4e1e/12125856/8ea8efaee04d/12885_2025_14390_Fig8_HTML.jpg
https://cdn.ncbi.nlm.nih.gov/pmc/blobs/4e1e/12125856/7fc273ec0a3e/12885_2025_14390_Fig1_HTML.jpg
https://cdn.ncbi.nlm.nih.gov/pmc/blobs/4e1e/12125856/61fa9dfe8af6/12885_2025_14390_Fig2_HTML.jpg
https://cdn.ncbi.nlm.nih.gov/pmc/blobs/4e1e/12125856/6106f4afd54e/12885_2025_14390_Fig3_HTML.jpg
https://cdn.ncbi.nlm.nih.gov/pmc/blobs/4e1e/12125856/77ec351f5b89/12885_2025_14390_Fig4_HTML.jpg
https://cdn.ncbi.nlm.nih.gov/pmc/blobs/4e1e/12125856/6e5b9ba4baa9/12885_2025_14390_Fig5_HTML.jpg
https://cdn.ncbi.nlm.nih.gov/pmc/blobs/4e1e/12125856/da18b0ada0d4/12885_2025_14390_Fig6_HTML.jpg
https://cdn.ncbi.nlm.nih.gov/pmc/blobs/4e1e/12125856/dab70c8a45a0/12885_2025_14390_Fig7_HTML.jpg
https://cdn.ncbi.nlm.nih.gov/pmc/blobs/4e1e/12125856/8ea8efaee04d/12885_2025_14390_Fig8_HTML.jpg
https://cdn.ncbi.nlm.nih.gov/pmc/blobs/4e1e/12125856/7fc273ec0a3e/12885_2025_14390_Fig1_HTML.jpg
https://cdn.ncbi.nlm.nih.gov/pmc/blobs/4e1e/12125856/61fa9dfe8af6/12885_2025_14390_Fig2_HTML.jpg
https://cdn.ncbi.nlm.nih.gov/pmc/blobs/4e1e/12125856/6106f4afd54e/12885_2025_14390_Fig3_HTML.jpg
https://cdn.ncbi.nlm.nih.gov/pmc/blobs/4e1e/12125856/77ec351f5b89/12885_2025_14390_Fig4_HTML.jpg
https://cdn.ncbi.nlm.nih.gov/pmc/blobs/4e1e/12125856/6e5b9ba4baa9/12885_2025_14390_Fig5_HTML.jpg
https://cdn.ncbi.nlm.nih.gov/pmc/blobs/4e1e/12125856/da18b0ada0d4/12885_2025_14390_Fig6_HTML.jpg
https://cdn.ncbi.nlm.nih.gov/pmc/blobs/4e1e/12125856/dab70c8a45a0/12885_2025_14390_Fig7_HTML.jpg
https://cdn.ncbi.nlm.nih.gov/pmc/blobs/4e1e/12125856/8ea8efaee04d/12885_2025_14390_Fig8_HTML.jpg

相似文献

1
CircSLC22A3 inhibits the invasion and metastasis of ESCC via the miR-19b-3p/TRAK2 axis and by reducing the stability of mA-modified ACSBG1 mRNA.环状SLC22A3通过miR-19b-3p/TRAK2轴并通过降低m⁶A修饰的ACSBG1 mRNA的稳定性来抑制食管鳞癌的侵袭和转移。
BMC Cancer. 2025 May 30;25(1):971. doi: 10.1186/s12885-025-14390-8.
2
Circular RNA circNTRK2 facilitates the progression of esophageal squamous cell carcinoma through up-regulating NRIP1 expression via miR-140-3p.环状 RNA circNTRK2 通过上调 miR-140-3p 表达促进食管鳞癌细胞的进展。
J Exp Clin Cancer Res. 2020 Jul 11;39(1):133. doi: 10.1186/s13046-020-01640-9.
3
Circ_0050444 represses esophageal squamous cell carcinoma progression through sponging miR-486-3p to upregulate C10orf91.环状 RNA 0050444 通过海绵吸附 miR-486-3p 来抑制食管鳞癌细胞进展,从而上调 C10orf91 的表达。
Cell Cycle. 2024 Mar;23(6):693-702. doi: 10.1080/15384101.2024.2357909. Epub 2024 Jun 12.
4
EIF4A3-mediated oncogenic circRNA hsa_circ_0001165 advances esophageal squamous cell carcinoma progression through the miR-381-3p/TNS3 pathway.EIF4A3 介导的致癌性 circRNA hsa_circ_0001165 通过 miR-381-3p/TNS3 通路促进食管鳞状细胞癌进展。
Cell Biol Toxicol. 2024 Oct 9;40(1):84. doi: 10.1007/s10565-024-09927-9.
5
CircDUSP16 Contributes to Cell Development in Esophageal Squamous Cell Carcinoma by Regulating miR-497-5p/TKTL1 Axis.环状 RNA DUSP16 通过调控 miR-497-5p/TKTL1 轴促进食管鳞癌细胞的发展。
J Surg Res. 2021 Apr;260:64-75. doi: 10.1016/j.jss.2020.11.052. Epub 2020 Dec 14.
6
Circular RNA hsa_circ_0000277 sequesters miR-4766-5p to upregulate LAMA1 and promote esophageal carcinoma progression.环状 RNA hsa_circ_0000277 通过吸附 miR-4766-5p 上调 LAMA1 并促进食管癌细胞进展。
Cell Death Dis. 2021 Jul 5;12(7):676. doi: 10.1038/s41419-021-03911-5.
7
Long non-coding RNA SLC2A1-AS1 induced by GLI3 promotes aerobic glycolysis and progression in esophageal squamous cell carcinoma by sponging miR-378a-3p to enhance Glut1 expression.长链非编码 RNA SLC2A1-AS1 受 GLI3 诱导通过海绵吸附 miR-378a-3p 增强 Glut1 表达促进食管鳞癌细胞有氧糖酵解和进展。
J Exp Clin Cancer Res. 2021 Sep 13;40(1):287. doi: 10.1186/s13046-021-02081-8.
8
Circ_DLG1 facilitates cell proliferation and metastasis of esophageal squamous cell carcinoma via upregulating MAP3K9.环状DLG1通过上调MAP3K9促进食管鳞状细胞癌的细胞增殖和转移。
Esophagus. 2025 Apr;22(2):250-263. doi: 10.1007/s10388-025-01115-w. Epub 2025 Mar 5.
9
MiR-106b-5p regulates esophageal squamous cell carcinoma progression by binding to HPGD.miR-106b-5p 通过与 HPGD 结合调节食管鳞状细胞癌的进展。
BMC Cancer. 2022 Mar 22;22(1):308. doi: 10.1186/s12885-022-09404-8.
10
Circular RNA hsa_circ_0000654 promotes esophageal squamous cell carcinoma progression by regulating the miR-149-5p/IL-6/STAT3 pathway.环状 RNA hsa_circ_0000654 通过调控 miR-149-5p/IL-6/STAT3 通路促进食管鳞癌进展。
IUBMB Life. 2020 Mar;72(3):426-439. doi: 10.1002/iub.2202. Epub 2019 Nov 28.

本文引用的文献

1
Circular RNA circPHLPP2 promotes tumor growth and anti-PD-1 resistance through binding ILF3 to regulate IL36γ transcription in colorectal cancer.环状RNA circPHLPP2通过结合ILF3调节白细胞介素36γ(IL36γ)转录促进结直肠癌肿瘤生长和抗程序性死亡蛋白1(PD-1)耐药
Mol Cancer. 2024 Dec 18;23(1):272. doi: 10.1186/s12943-024-02192-8.
2
circKDM1A suppresses bladder cancer progression by sponging miR-889-3p/CPEB3 and stabilizing p53 mRNA.环状KDM1A通过吸附miR-889-3p/CPEB3并稳定p53 mRNA来抑制膀胱癌进展。
iScience. 2024 Mar 29;27(4):109624. doi: 10.1016/j.isci.2024.109624. eCollection 2024 Apr 19.
3
Global cancer statistics 2022: GLOBOCAN estimates of incidence and mortality worldwide for 36 cancers in 185 countries.
2022 年全球癌症统计数据:全球 185 个国家和地区 36 种癌症的发病率和死亡率全球估计数。
CA Cancer J Clin. 2024 May-Jun;74(3):229-263. doi: 10.3322/caac.21834. Epub 2024 Apr 4.
4
Advances in targeted therapy and biomarker research in thyroid cancer.甲状腺癌的靶向治疗和生物标志物研究进展。
Front Endocrinol (Lausanne). 2024 Mar 4;15:1372553. doi: 10.3389/fendo.2024.1372553. eCollection 2024.
5
Role of circular RNAs in lung cancer.环状RNA在肺癌中的作用。
Front Genet. 2024 Mar 4;15:1346119. doi: 10.3389/fgene.2024.1346119. eCollection 2024.
6
Neoadjuvant PD-1 Plus Chemotherapy for Locally Advanced Esophageal Squamous Cell Carcinoma.新辅助 PD-1 联合化疗治疗局部晚期食管鳞癌。
Technol Cancer Res Treat. 2024 Jan-Dec;23:15330338241231610. doi: 10.1177/15330338241231610.
7
m 6 A reader IGF2BP1 reduces the sensitivity of nasopharyngeal carcinoma cells to Taxol by upregulation of AKT2.m6A 阅读器 IGF2BP1 通过上调 AKT2 降低鼻咽癌细胞对紫杉醇的敏感性。
Anticancer Drugs. 2024 Jul 1;35(6):501-511. doi: 10.1097/CAD.0000000000001591. Epub 2024 Mar 12.
8
The Use of Immune Regulation in Treating Head and Neck Squamous Cell Carcinoma (HNSCC).免疫调节在治疗头颈部鳞状细胞癌(HNSCC)中的应用
Cells. 2024 Feb 27;13(5):413. doi: 10.3390/cells13050413.
9
Integrated Multiomics Reveals Silencing of has_circ_0006646 Promotes TRIM21-Mediated NCL Ubiquitination to Inhibit Hepatocellular Carcinoma Metastasis.整合多组学揭示has_circ_0006646的沉默促进TRIM21介导的NCL泛素化以抑制肝细胞癌转移。
Adv Sci (Weinh). 2024 Apr;11(16):e2306915. doi: 10.1002/advs.202306915. Epub 2024 Feb 15.
10
Current and future on definitive concurrent chemoradiotherapy for inoperable locally advanced esophageal squamous cell carcinoma.不可切除的局部晚期食管鳞状细胞癌确定性同步放化疗的现状与未来。
Front Oncol. 2024 Jan 26;14:1303068. doi: 10.3389/fonc.2024.1303068. eCollection 2024.