• 文献检索
  • 文档翻译
  • 深度研究
  • 学术资讯
  • Suppr Zotero 插件Zotero 插件
  • 邀请有礼
  • 套餐&价格
  • 历史记录
应用&插件
Suppr Zotero 插件Zotero 插件浏览器插件Mac 客户端Windows 客户端微信小程序
定价
高级版会员购买积分包购买API积分包
服务
文献检索文档翻译深度研究API 文档MCP 服务
关于我们
关于 Suppr公司介绍联系我们用户协议隐私条款
关注我们

Suppr 超能文献

核心技术专利:CN118964589B侵权必究
粤ICP备2023148730 号-1Suppr @ 2026

文献检索

告别复杂PubMed语法,用中文像聊天一样搜索,搜遍4000万医学文献。AI智能推荐,让科研检索更轻松。

立即免费搜索

文件翻译

保留排版,准确专业,支持PDF/Word/PPT等文件格式,支持 12+语言互译。

免费翻译文档

深度研究

AI帮你快速写综述,25分钟生成高质量综述,智能提取关键信息,辅助科研写作。

立即免费体验

一名患有急性胆总管结石的19个月大女童:病例报告

A 19-Month-Old Girl With Acute Choledocholithiasis: A Case Report.

作者信息

Gonzalez Isoba Luis C, Barrant Maya, Zafar Nadiya, Salib Christine, Fiamengo Carolina

机构信息

Internal Medicine, Nova Southeastern University Dr. Kiran C. Patel College of Osteopathic Medicine, Fort Lauderdale, USA.

Medicine, Nova Southeastern University Dr. Kiran C. Patel College of Osteopathic Medicine, Fort Lauderdale, USA.

出版信息

Cureus. 2025 May 3;17(5):e83433. doi: 10.7759/cureus.83433. eCollection 2025 May.

DOI:10.7759/cureus.83433
PMID:40462816
原文链接:https://pmc.ncbi.nlm.nih.gov/articles/PMC12130344/
Abstract

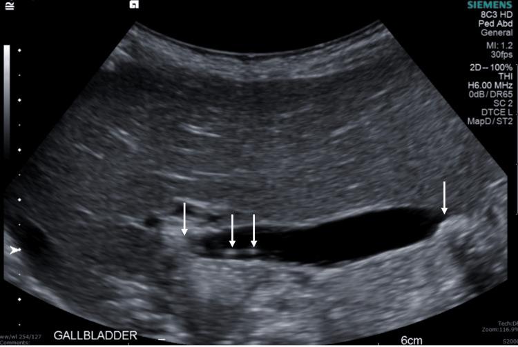
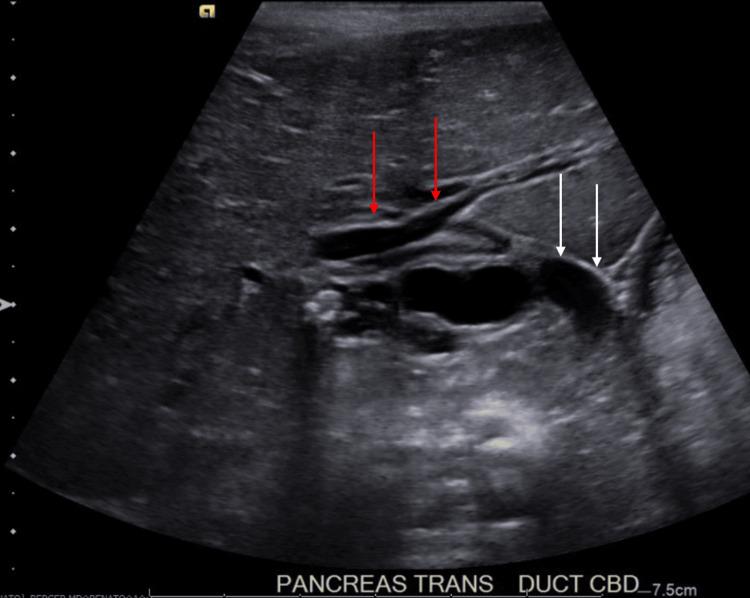
Cholelithiasis, or gallstone(s), is a leading cause of healthcare utilization in the United States. It is more common in adults but can occur in the pediatric population as well. The following is a case report of choledocholithiasis in a 19-month-old girl. A 19-month-old girl with abdominal pain presented to the emergency department (ED) after being found to have cholelithiasis on an outpatient abdominal ultrasound (US). Three days prior to presentation, the patient was seen by her pediatrician for fussiness, decreased oral intake, and non-bloody, non-bilious emesis. She was diagnosed with a suspected urinary tract infection (UTI) and prescribed amoxicillin-clavulanate for empiric treatment. The following day, the patient returned to her pediatrician for worsening abdominal pain; she was given one dose of intramuscular ceftriaxone and scheduled for outpatient abdominal US. Her past medical history is significant for omphalocele status post-surgical correction, several congenital cardiac defects, bilateral small kidneys, and poor weight gain. The patient has a normal chromosomal microarray and no family history of hepatobiliary/pancreatic disease. In the ED, the patient was afebrile and hemodynamically stable. Physical examination was significant for mild hepatomegaly, mild abdominal tenderness without peritoneal signs, and the presence of a well-healed surgical scar on the abdomen with an underlying abdominal hernia. Laboratory tests were significant for leukocytosis of 14.5×10/microliter (mcL), elevated gamma-glutamyl transferase (GGT) of 305 unit/L (U/L), aspartate aminotransferase (AST) of 86 U/L, alanine aminotransferase (ALT) of 343 U/L, total bilirubin of 2.3 milligram/deciliter (mg/dL), direct bilirubin of 1.6 mg/dL, and lipase of 1,726 U/L. Abdominal US revealed several gallstones and mild to moderate intra- and extrahepatic biliary ductal dilatation likely due to a stone in the distal common bile duct (CBD). Pediatric surgery and gastroenterology recommended admission for pain management and magnetic resonance cholangiopancreatography (MRCP). After admission, the patient was started on ursodiol and piperacillin/tazobactam. MRCP showed a common hepatic duct measuring 13 mm and a 9×5 mm stone in the distal common bile duct. Due to a lack of available outside facilities with the capability to perform endoscopic retrograde cholangiopancreatography (ERCP) in a pediatric patient, medical management was pursued. Throughout her admission, the patient improved clinically, laboratory studies became normal, and pain was controlled. Repeat US showed persistent biliary dilation with cholelithiasis. The patient was cleared for discharge on ursodiol and amoxicillin-clavulanate and close follow-up with pediatrician, pediatric surgeon, and pediatric gastroenterologist. Follow-up US performed two weeks after discharge showed interval resolution of intra- and extrahepatic biliary duct dilatation and cholelithiasis without evidence of cholecystitis. Abdominal pain accounts for 5%-10% of all pediatric ED visits, and although cholelithiasis and choledocholithiasis are rare in the pediatric population, as this case demonstrates, it is an important differential diagnosis. Observation is the recommended management for asymptomatic patients as most cases spontaneously resolve. Patients with clinical signs or laboratory abnormalities can be treated medically, with ERCP, or with cholecystectomy.

https://cdn.ncbi.nlm.nih.gov/pmc/blobs/f63f/12130344/2948be7319e5/cureus-0017-00000083433-i04.jpg
https://cdn.ncbi.nlm.nih.gov/pmc/blobs/f63f/12130344/ff4f50a76bad/cureus-0017-00000083433-i01.jpg
https://cdn.ncbi.nlm.nih.gov/pmc/blobs/f63f/12130344/e383ab0d967e/cureus-0017-00000083433-i02.jpg
https://cdn.ncbi.nlm.nih.gov/pmc/blobs/f63f/12130344/c78782f8eb74/cureus-0017-00000083433-i03.jpg
https://cdn.ncbi.nlm.nih.gov/pmc/blobs/f63f/12130344/2948be7319e5/cureus-0017-00000083433-i04.jpg
https://cdn.ncbi.nlm.nih.gov/pmc/blobs/f63f/12130344/ff4f50a76bad/cureus-0017-00000083433-i01.jpg
https://cdn.ncbi.nlm.nih.gov/pmc/blobs/f63f/12130344/e383ab0d967e/cureus-0017-00000083433-i02.jpg
https://cdn.ncbi.nlm.nih.gov/pmc/blobs/f63f/12130344/c78782f8eb74/cureus-0017-00000083433-i03.jpg
https://cdn.ncbi.nlm.nih.gov/pmc/blobs/f63f/12130344/2948be7319e5/cureus-0017-00000083433-i04.jpg
摘要

胆石症,即胆结石,是美国医疗资源利用的主要原因之一。它在成年人中更为常见,但也可能发生在儿童群体中。以下是一例19个月大女童胆总管结石的病例报告。一名19个月大的腹痛女童在门诊腹部超声检查发现胆结石后前往急诊科就诊。就诊前三天,患儿因烦躁、口服摄入量减少以及非血性、非胆汁性呕吐被儿科医生诊治。她被诊断为疑似尿路感染,并开具阿莫西林 - 克拉维酸进行经验性治疗。第二天,患儿因腹痛加剧再次前往儿科医生处;她接受了一剂肌内注射头孢曲松,并安排进行门诊腹部超声检查。她既往病史包括脐膨出手术后矫正、多种先天性心脏缺陷、双侧小肾脏以及体重增加缓慢。患儿染色体微阵列正常,且无肝胆/胰腺疾病家族史。在急诊科,患儿体温正常,血流动力学稳定。体格检查发现轻度肝肿大、轻度腹部压痛但无腹膜刺激征,腹部有愈合良好的手术瘢痕及潜在的腹壁疝。实验室检查显示白细胞计数为14.5×10/微升(mcL),γ-谷氨酰转移酶(GGT)升高至305单位/升(U/L),天冬氨酸氨基转移酶(AST)为86 U/L,丙氨酸氨基转移酶(ALT)为343 U/L,总胆红素为2.3毫克/分升(mg/dL),直接胆红素为1.6 mg/dL,脂肪酶为1726 U/L。腹部超声显示多个胆结石以及轻至中度肝内外胆管扩张,可能是由于胆总管远端结石所致。儿科外科和胃肠病学建议住院进行疼痛管理并进行磁共振胰胆管造影(MRCP)。入院后,患儿开始使用熊去氧胆酸和哌拉西林/他唑巴坦。MRCP显示肝总管直径为13毫米,胆总管远端有一颗9× 5毫米的结石。由于缺乏能够对儿科患者进行内镜逆行胰胆管造影(ERCP)的外部设施,因此采取了药物治疗。在整个住院期间,患儿临床症状改善,实验室检查结果恢复正常,疼痛得到控制。复查超声显示仍有持续的胆管扩张及胆结石。患儿出院时带药熊去氧胆酸和阿莫西林 - 克拉维酸,并安排与儿科医生、儿科外科医生和儿科胃肠病学家密切随访。出院两周后进行的随访超声显示肝内外胆管扩张及胆结石均有改善,且无胆囊炎迹象。腹痛占所有儿科急诊就诊病例的5% - 10%,尽管胆石症和胆总管结石在儿科人群中罕见,但正如本病例所示,它是一个重要的鉴别诊断。对于无症状患者,建议进行观察,因为大多数病例可自行缓解。有临床症状或实验室异常的患者可进行药物治疗、ERCP或胆囊切除术。

相似文献

1
A 19-Month-Old Girl With Acute Choledocholithiasis: A Case Report.一名患有急性胆总管结石的19个月大女童:病例报告
Cureus. 2025 May 3;17(5):e83433. doi: 10.7759/cureus.83433. eCollection 2025 May.
2
Vesicoureteral Reflux膀胱输尿管反流
3
The role of per oral cholangiopancreatoscopy (POCPS) in complicated pancreaticobiliary disease.经口胆管胰管镜检查(POCPS)在复杂胆胰疾病中的作用。
Acta Med Indones. 2015 Apr;47(2):169-71.
4
Confronting Cholelithiasis: A Case Series of Patients With Sickle Cell Disease and Gallstones.直面胆石症:一组镰状细胞病合并胆结石患者的病例系列
Cureus. 2025 Mar 14;17(3):e80558. doi: 10.7759/cureus.80558. eCollection 2025 Mar.
5
Imaging and Multidisciplinary Management of Acute Cholecystitis With Choledocholithiasis in a Phrygian Cap Gallbladder: A Case Report.胆囊呈Phrygian帽样改变合并胆总管结石的急性胆囊炎的影像学及多学科管理:病例报告
Cureus. 2025 Mar 24;17(3):e81080. doi: 10.7759/cureus.81080. eCollection 2025 Mar.
6
Imaging Findings of Mirizzi Syndrome Associated With Acalculous Cholecystitis: A Case Report.Mirizzi综合征合并无结石性胆囊炎的影像学表现:1例报告
Cureus. 2025 Jan 30;17(1):e78261. doi: 10.7759/cureus.78261. eCollection 2025 Jan.
7
Gallstone Pancreatitis Post Laparoscopic Cholecystectomy: A Case Report.腹腔镜胆囊切除术后胆石性胰腺炎:一例报告
Cureus. 2023 May 30;15(5):e39704. doi: 10.7759/cureus.39704. eCollection 2023 May.
8
Cholelithiasis and cholecystitis.胆结石和胆囊炎。
J Long Term Eff Med Implants. 2005;15(3):329-38. doi: 10.1615/jlongtermeffmedimplants.v15.i3.90.
9
Diagnostic Accuracy of Endoscopic Ultrasonography Versus the Gold Standard Endoscopic Retrograde Cholangiopancreatography in Detecting Common Bile Duct Stones.内镜超声检查与金标准内镜逆行胰胆管造影术在检测胆总管结石方面的诊断准确性
Cureus. 2020 Dec 19;12(12):e12162. doi: 10.7759/cureus.12162.
10
Single-step treatment of gall bladder and bile duct stones: a combined endoscopic-laparoscopic technique.胆囊和胆管结石的单步治疗:一种内镜-腹腔镜联合技术。
Int J Surg. 2009 Aug;7(4):338-46. doi: 10.1016/j.ijsu.2009.05.005. Epub 2009 May 27.

本文引用的文献

1
Ceftriaxone Administration Associated with Lithiasis in Children: Guilty or Not? A Systematic Review.儿童使用头孢曲松与结石形成的相关性:是否有罪?一项系统评价
J Pers Med. 2023 Apr 16;13(4):671. doi: 10.3390/jpm13040671.
2
Increasing gallstone disease prevalence and associations with gallbladder and biliary tract mortality in the US.美国胆结石疾病患病率上升及其与胆囊和胆道疾病死亡率的关联。
Hepatology. 2023 Jun 1;77(6):1882-1895. doi: 10.1097/HEP.0000000000000264. Epub 2023 Jan 13.
3
The Etiology of Cholelithiasis in Children and Adolescents-A Literature Review.
儿童和青少年胆石症的病因——文献综述。
Int J Mol Sci. 2022 Nov 2;23(21):13376. doi: 10.3390/ijms232113376.
4
The Laparoscopic Cholecystectomy and Common Bile Duct Exploration: A Single-Step Treatment of Pediatric Cholelithiasis and Choledocholithiasis.腹腔镜胆囊切除术与胆总管探查术:小儿胆石症和胆总管结石的单步治疗法
Children (Basel). 2022 Oct 19;9(10):1583. doi: 10.3390/children9101583.
5
Choledocholithiasis-a new clinical pathway.胆总管结石病——一种新的临床路径。
Transl Gastroenterol Hepatol. 2021 Jul 25;6:35. doi: 10.21037/tgh-20-172. eCollection 2021.
6
Gallbladder disease in children.儿童胆囊疾病
Semin Pediatr Surg. 2016 Aug;25(4):225-31. doi: 10.1053/j.sempedsurg.2016.05.005. Epub 2016 May 11.
7
Biliary Lithiasis with Choledocolithiasis in Children.儿童胆石症合并胆总管结石
Chirurgia (Bucur). 2015 Nov-Dec;110(6):559-61.
8
Burden of Gastrointestinal, Liver, and Pancreatic Diseases in the United States.美国胃肠道、肝脏和胰腺疾病负担
Gastroenterology. 2015 Dec;149(7):1731-1741.e3. doi: 10.1053/j.gastro.2015.08.045. Epub 2015 Aug 29.
9
Gallstone disease in children.儿童胆结石病
Semin Pediatr Surg. 2012 Aug;21(3):255-65. doi: 10.1053/j.sempedsurg.2012.05.008.
10
Epidemiology of gallbladder disease: cholelithiasis and cancer.胆囊疾病的流行病学:胆石病和胆囊癌。
Gut Liver. 2012 Apr;6(2):172-87. doi: 10.5009/gnl.2012.6.2.172. Epub 2012 Apr 17.