Suppr超能文献

含GluN2D的N-甲基-D-天冬氨酸受体的激活促进皮质中间神经元轴突和携带轴突的树突的发育。

Activation of GluN2D-containing NMDA receptors promotes development of axons and axon-carrying dendrites of cortical interneurons.

作者信息

Köhler Ina, Rennau Lisa-Marie, Hoffmann Leon, Demianchuk Ekaterina, Kaczmarski Michelle, Sobierajski Eric, Riedel Christian, Wahle Petra

机构信息

Developmental Neurobiology, Faculty of Biology and Biotechnology, Ruhr University Bochum, Universitätsstraße 150, Bochum 44780, Germany.

出版信息

Cereb Cortex. 2025 Jun 4;35(6). doi: 10.1093/cercor/bhaf136.

Abstract

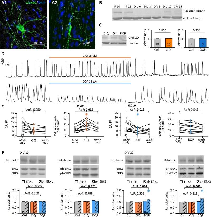
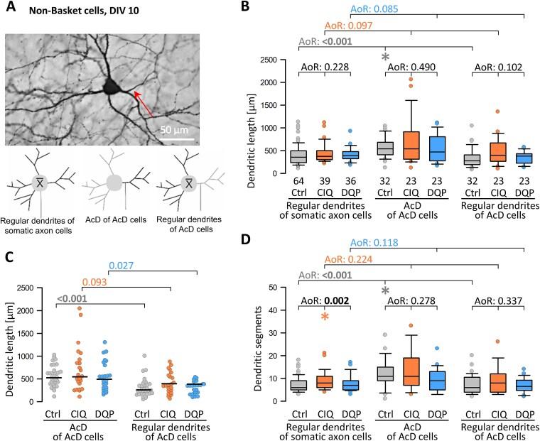
GluN2D-containing NMDA receptors are expressed in early postnatal interneurons, but their role is enigmatic. We tested whether treatment with the GluN2C/D positive allosteric modulator CIQ and non-competitive antagonist DQP-1105 from days in vitro (DIV) 5-10 and DIV 15-20 modulates neurite growth in organotypic cultures. Calcium imaging confirmed a functional expression of GluN2D in nonpyramidal neurons. DQP treatment enhanced apical dendritic branching and increased ERK1/2 phosphorylation and spine density, suggesting a disinhibitory effect mirrored by a reduced expression of GAD-65, VGAT, and Syt-2. Control basket cells had larger axon-carrying dendrites (AcDs), and under CIQ, the AcDs grew even larger. The axons of CIQ-treated basket cells formed more branches within the dendritic field, and the effect was strongest for axons emerging from AcDs. DQP-treated basket cells also displayed more complex AcDs, presumably driven by enhanced network activity. However, local branching of basket cell axons was reduced under DQP in somatic axon cells but at control level in AcD cells. This suggested a growth-promoting effect of the enhanced network activity and that the AcD configuration neutralized the inhibitory action of DQP on basket cell axons. The results suggest a specific role of GluN2D signaling for development and remodeling of interneuronal axons.

摘要

含GluN2D的N-甲基-D-天冬氨酸受体在出生后早期的中间神经元中表达,但其作用尚不清楚。我们测试了从体外培养第5 - 10天和第15 - 20天用GluN2C/D正变构调节剂CIQ和非竞争性拮抗剂DQP - 1105处理是否会调节器官型培养物中的神经突生长。钙成像证实了GluN2D在非锥体神经元中的功能性表达。DQP处理增强了顶端树突分支,增加了ERK1/2磷酸化和棘密度,这表明一种去抑制作用,其表现为GAD - 65、VGAT和Syt - 2表达降低。对照篮状细胞有更大的携带轴突的树突(AcD),在CIQ处理下,AcD变得更大。CIQ处理的篮状细胞的轴突在树突域内形成更多分支,并且对于从AcD发出的轴突,这种作用最强。DQP处理的篮状细胞也显示出更复杂的AcD,推测是由增强的网络活动驱动的。然而,在DQP处理下,体轴突细胞中篮状细胞轴突的局部分支减少,但在AcD细胞中处于对照水平。这表明增强的网络活动具有促进生长的作用,并且AcD结构抵消了DQP对篮状细胞轴突的抑制作用。结果表明GluN2D信号传导在中间神经元轴突的发育和重塑中具有特定作用。

https://cdn.ncbi.nlm.nih.gov/pmc/blobs/0c7c/12141203/202b0444d1d1/bhaf136f1.jpg

文献AI研究员

20分钟写一篇综述,助力文献阅读效率提升50倍。

立即体验

用中文搜PubMed

大模型驱动的PubMed中文搜索引擎

马上搜索

文档翻译

学术文献翻译模型,支持多种主流文档格式。

立即体验