Bolourinejad Paria, Zandieh Ghazal, Tavallaeinejad Pardis, Jafarpisheh Mohammad Saleh
Student Research Committee, School of Medicine, Isfahan University of Medical Sciences, Isfahan, Iran.
School of Medicine, Isfahan University of Medical Sciences, Isfahan, Iran.
Radiol Case Rep. 2025 May 12;20(8):3675-3679. doi: 10.1016/j.radcr.2025.04.038. eCollection 2025 Aug.
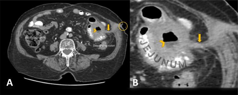
This case report highlights a minimally invasive approach to the management of enterocutaneous fistulas (ECFs), specifically jejunocutaneous fistulas (JCFs), using n-butyl cyanoacrylate (NBCA) glue. The patient, a 77-year-old female with Crohn's disease, presented with abdominal pain, fever, chills, and persistent discharge from the JCF site. Conventional treatment options for ECFs, ranging from conservative management to surgical intervention, are often associated with morbidity and prolonged recovery periods. This case demonstrates the successful closure of a JCF using NBCA glue injection, resulting in complete symptom resolution and sustained fistula closure at 18 months follow-up. The application of NBCA glue represents a promising alternative to traditional approaches, offering reduced procedural risks and shorter recovery times. This report highlights the role of minimally invasive techniques in the management of ECFs and highlights the need for further studies to establish standardized protocols and expand the clinical use of this approach.
本病例报告强调了一种使用氰基丙烯酸正丁酯(NBCA)胶水对肠皮肤瘘(ECF),特别是空肠皮肤瘘(JCF)进行微创治疗的方法。该患者为一名77岁患有克罗恩病的女性,表现为腹痛、发热、寒战以及JCF部位持续有分泌物。ECF的传统治疗选择,从保守治疗到手术干预,往往伴随着发病率和恢复期延长。本病例展示了通过注射NBCA胶水成功闭合JCF,在18个月的随访中症状完全缓解且瘘管持续闭合。NBCA胶水的应用是传统方法的一种有前景的替代方案,具有降低手术风险和缩短恢复时间的优势。本报告强调了微创技术在ECF治疗中的作用,并强调需要进一步研究以建立标准化方案并扩大该方法的临床应用。