• 文献检索
  • 文档翻译
  • 深度研究
  • 学术资讯
  • Suppr Zotero 插件Zotero 插件
  • 邀请有礼
  • 套餐&价格
  • 历史记录
应用&插件
Suppr Zotero 插件Zotero 插件浏览器插件Mac 客户端Windows 客户端微信小程序
定价
高级版会员购买积分包购买API积分包
服务
文献检索文档翻译深度研究API 文档MCP 服务
关于我们
关于 Suppr公司介绍联系我们用户协议隐私条款
关注我们

Suppr 超能文献

核心技术专利:CN118964589B侵权必究
粤ICP备2023148730 号-1Suppr @ 2026

文献检索

告别复杂PubMed语法,用中文像聊天一样搜索,搜遍4000万医学文献。AI智能推荐,让科研检索更轻松。

立即免费搜索

文件翻译

保留排版,准确专业,支持PDF/Word/PPT等文件格式,支持 12+语言互译。

免费翻译文档

深度研究

AI帮你快速写综述,25分钟生成高质量综述,智能提取关键信息,辅助科研写作。

立即免费体验

甲状腺乳头状癌患者支气管镜检查时偶然发现骨软骨成形性气管支气管病:一例报告

Incidental Detection of Tracheobronchopathia Osteochondroplastica During a Bronchoscopy in a Patient With Papillary Thyroid Cancer: A Case Report.

作者信息

Zaki Tarek, Mashal Moustafa S, AlAttar Mohammed, Almashad Alshimaa, Gómez-Seco Julio

机构信息

College of Medicine, University of Sharjah, Sharjah, ARE.

Faculty of Medicine, Cairo University, Cairo, EGY.

出版信息

Cureus. 2025 May 9;17(5):e83776. doi: 10.7759/cureus.83776. eCollection 2025 May.

DOI:10.7759/cureus.83776
PMID:40486419
原文链接:https://pmc.ncbi.nlm.nih.gov/articles/PMC12145660/
Abstract

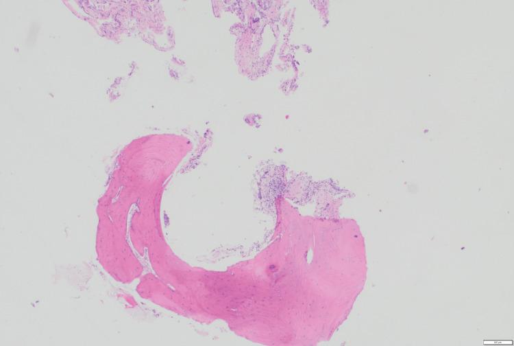
Tracheobronchopathia osteochondroplastica (TPO) is a rare, benign condition characterized by submucosal osseocartilaginous nodules sparing the posterior tracheal wall. We report a unique case of a 45-year-old male with a history of smoking, gastroesophageal reflux disease (GERD), and papillary thyroid carcinoma, in whom TPO was incidentally discovered during intraoperative bronchoscopy for hemithyroidectomy. The patient was asymptomatic from a respiratory standpoint, but bronchoalveolar lavage identified and methicillin-resistant (MRSA), suggesting a possible role of chronic infection in TPO pathogenesis. Diagnosis was confirmed through imaging and histopathology, revealing typical tracheal nodularity with no airway obstruction. No specific treatment was required for TPO, and the patient was managed conservatively with antibiotics for airway colonization. This case highlights the importance of recognizing TPO during unrelated procedures to avoid misdiagnosis and supports the hypothesis of infection-driven chronic inflammation contributing to its development.

摘要

骨软骨化生型气管支气管病(TPO)是一种罕见的良性疾病,其特征是黏膜下骨软骨结节不累及气管后壁。我们报告了一例独特病例,一名45岁男性,有吸烟史、胃食管反流病(GERD)和乳头状甲状腺癌病史,在因半甲状腺切除术进行术中支气管镜检查时偶然发现了TPO。从呼吸角度来看,患者无症状,但支气管肺泡灌洗发现了耐甲氧西林金黄色葡萄球菌(MRSA),提示慢性感染可能在TPO发病机制中起作用。通过影像学和组织病理学确诊,显示典型的气管结节状且无气道阻塞。TPO无需特殊治疗,患者通过使用抗生素治疗气道定植进行保守处理。该病例强调了在无关手术过程中识别TPO以避免误诊的重要性,并支持感染驱动的慢性炎症导致其发展的假说。

https://cdn.ncbi.nlm.nih.gov/pmc/blobs/4904/12145660/f310994a6faa/cureus-0017-00000083776-i03.jpg
https://cdn.ncbi.nlm.nih.gov/pmc/blobs/4904/12145660/2c5ff075ae04/cureus-0017-00000083776-i01.jpg
https://cdn.ncbi.nlm.nih.gov/pmc/blobs/4904/12145660/1cf7319435ab/cureus-0017-00000083776-i02.jpg
https://cdn.ncbi.nlm.nih.gov/pmc/blobs/4904/12145660/f310994a6faa/cureus-0017-00000083776-i03.jpg
https://cdn.ncbi.nlm.nih.gov/pmc/blobs/4904/12145660/2c5ff075ae04/cureus-0017-00000083776-i01.jpg
https://cdn.ncbi.nlm.nih.gov/pmc/blobs/4904/12145660/1cf7319435ab/cureus-0017-00000083776-i02.jpg
https://cdn.ncbi.nlm.nih.gov/pmc/blobs/4904/12145660/f310994a6faa/cureus-0017-00000083776-i03.jpg

相似文献

1
Incidental Detection of Tracheobronchopathia Osteochondroplastica During a Bronchoscopy in a Patient With Papillary Thyroid Cancer: A Case Report.甲状腺乳头状癌患者支气管镜检查时偶然发现骨软骨成形性气管支气管病:一例报告
Cureus. 2025 May 9;17(5):e83776. doi: 10.7759/cureus.83776. eCollection 2025 May.
2
Tracheobronchopathia osteochondroplastica concurrent with peripheral lung cancer: a case report and perioperative considerations.骨软骨瘤病合并周围型肺癌:1例报告及围手术期注意事项
Transl Cancer Res. 2024 Apr 30;13(4):2064-2072. doi: 10.21037/tcr-24-410. Epub 2024 Apr 25.
3
First Case of Tracheobronchopathia Osteochondroplastica in an 82-Year-Old Patient From Saudi Arabia.沙特阿拉伯一名82岁患者患气管支气管骨软骨瘤病的首例病例。
Laryngoscope Investig Otolaryngol. 2025 Feb 4;10(1):e70093. doi: 10.1002/lio2.70093. eCollection 2025 Feb.
4
Clinical course of tracheobronchopathia osteochondroplastica.骨化性气管支气管病的临床病程
J Thorac Dis. 2020 Oct;12(10):5571-5579. doi: 10.21037/jtd-20-1898.
5
Tracheobronchopathia osteochondroplastica: a cause of chronic cough and haemoptysis.气管支气管骨软骨化生:慢性咳嗽和咯血的一个病因。
BMJ Case Rep. 2021 Apr 12;14(4):e240125. doi: 10.1136/bcr-2020-240125.
6
Tracheobronchopathia osteochondroplastica as an unusual cause of chronic cough.骨软骨化生型气管支气管病作为慢性咳嗽的罕见病因
Med J Armed Forces India. 2024 Dec;80(Suppl 1):S260-S263. doi: 10.1016/j.mjafi.2023.01.001. Epub 2023 Mar 9.
7
Tracheobronchopathia Osteochondroplastica: Case report and literature review.骨化性气管支气管病:病例报告及文献综述
Sultan Qaboos Univ Med J. 2012 Feb;12(1):109-12. doi: 10.12816/0003096. Epub 2012 Feb 7.
8
Tracheopathia osteochondroplastica: a case report illustrating the importance of imaging in this rare disorder.骨化性气管病:一例病例报告说明影像学在这种罕见疾病中的重要性。
AME Case Rep. 2024 Mar 29;8:32. doi: 10.21037/acr-23-119. eCollection 2024.
9
Tracheobronchopathia Osteochondroplastica: A Rare, Underrecognized Entity.
Cureus. 2022 Sep 6;14(9):e28832. doi: 10.7759/cureus.28832. eCollection 2022 Sep.
10
Tracheobronchopathia osteochondroplastica in recurrent retrosternal goiter. Surgical management.复发性胸骨后甲状腺肿合并气管支气管骨软骨瘤病。外科治疗。
Ann Ital Chir. 2017 Sep 4;6:S2239253X17026731.

本文引用的文献

1
Bronchoscopic Intervention for Tracheobronchopathia Osteochondroplastica: A Report of Two Cases.支气管镜介入治疗气管支气管软骨骨瘤病:两例报告。
Laryngoscope. 2024 Jul;134(7):3093-3095. doi: 10.1002/lary.31284. Epub 2024 Jan 25.
2
Clinical Characteristics of Tracheobronchopathia Osteochondroplastica: A Retrospective Study of 33 Patients.骨化性气管支气管病的临床特征:33例患者的回顾性研究
Int J Gen Med. 2023 Aug 14;16:3447-3455. doi: 10.2147/IJGM.S418394. eCollection 2023.
3
Multi-nodule of large airway: tracheobronchopathia osteochondroplastica.
大气道多发结节:骨软骨瘤病性气管支气管病
Ann Palliat Med. 2021 Feb;10(2):1115-1121. doi: 10.21037/apm-20-316. Epub 2020 Nov 2.
4
Tracheobronchopathia osteochondroplastica (TPO) associated with tracheobronchial amyloidosis (TBA).骨软骨化生型气管支气管病(TPO)合并气管支气管淀粉样变性(TBA)。
Respir Med Case Rep. 2020 Jul 10;31:101158. doi: 10.1016/j.rmcr.2020.101158. eCollection 2020.
5
Tracheobronchopathia osteochondroplastica: A case report and literature review.骨化性气管支气管病:一例报告及文献复习
Zhong Nan Da Xue Xue Bao Yi Xue Ban. 2020 Feb 28;45(2):208-215. doi: 10.11817/j.issn.1672-7347.2020.180804.
6
Tracheobronchopathia osteochondroplastica.气管支气管骨软骨化生
J Bras Pneumol. 2017 Mar-Apr;43(2):151-153. doi: 10.1590/S1806-37562016000000143.
7
Tracheobronchopathia osteochondroplastica.骨软骨瘤病性气管支气管病
Laryngoscope. 2016 Sep;126(9):2006-9. doi: 10.1002/lary.25813. Epub 2015 Dec 15.
8
Tracheobronchopathia osteochondroplastica associated with skin cancer: a case report and review of the literature.骨软骨瘤病性气管支气管病合并皮肤癌:一例报告并文献复习
BMC Res Notes. 2014 Sep 12;7:637. doi: 10.1186/1756-0500-7-637.
9
A clinical study of tracheobronchopathia osteochondroplastica: findings from a large Chinese cohort.气管支气管骨软骨瘤病的临床研究:来自一个大型中国队列的研究结果
PLoS One. 2014 Jul 11;9(7):e102068. doi: 10.1371/journal.pone.0102068. eCollection 2014.
10
Tracheobronchopathia osteochondroplastica: a review of the literature.骨软骨化气管支气管病:文献综述
Clin Respir J. 2015 Oct;9(4):386-91. doi: 10.1111/crj.12166. Epub 2014 Jun 22.