Suppr超能文献

勒米尔综合征:一例非典型表现的病例报告及文献综述

Lemierre syndrome: A case report and literature review on atypical presentation.

作者信息

Agonafir Daniel Belay, Diress Abraraw Erkie, Saleh Aboker Ali, Dechasse Chala Jiru, Shane Dereje Kebede

机构信息

Department of Internal Medicine, School of Medicine, College of Medicine and Health Sciences, Wachemo University, Hosanna, Ethiopia.

出版信息

Medicine (Baltimore). 2025 Jun 6;104(23):e42823. doi: 10.1097/MD.0000000000042823.

Abstract

RATIONALE

Lemierre syndrome (LS) is a rare but serious condition characterized by septic thrombophlebitis of the internal jugular vein (IJV), often secondary to infections in the head and neck region. It typically begins with an oropharyngeal infection, which may or may not be followed by distant septic emboli, most commonly affecting the lungs. The condition is usually caused by members of the normal oropharyngeal flora, with the anaerobic bacterium Fusobacterium necrophorum being the most prevalent pathogen. Timely diagnosis and antibiotic treatment are essential to prevent adverse outcomes. Clinical circumstances dictate the necessity for therapeutic anticoagulation and surgical intervention. LS can present atypically in terms of the antecedent condition, the etiological agent, the affected vein, and the distant manifestations. Despite the existence of a characteristic clinical presentation, many clinicians remain unaware of this rare condition, which can lead to delayed diagnosis and potentially fatal consequences.

PATIENT CONCERNS

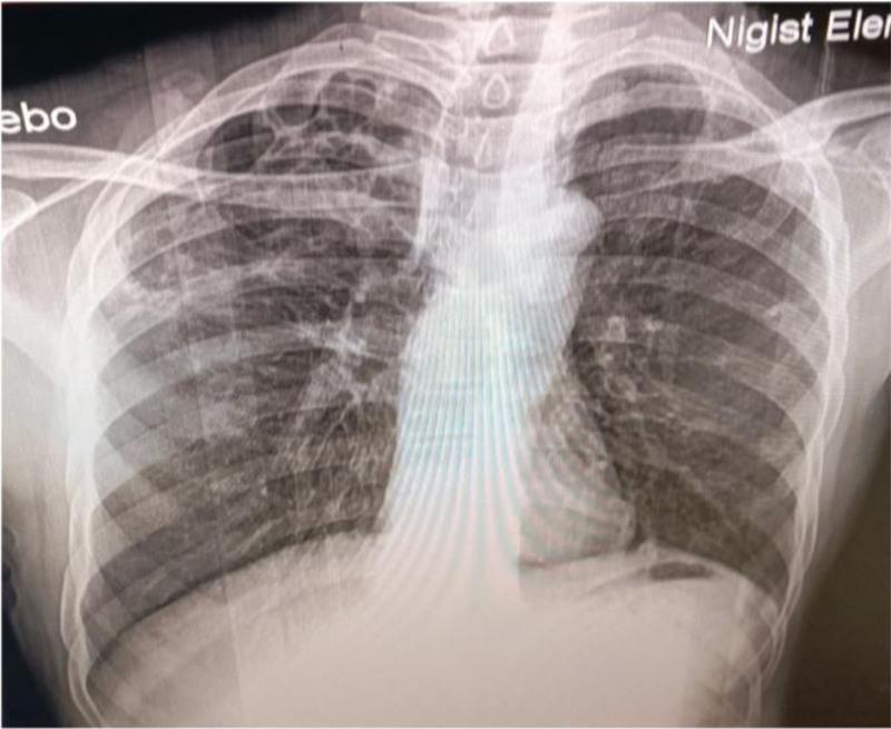
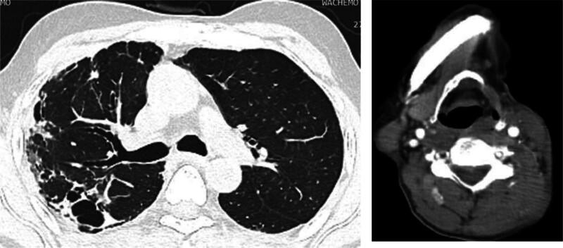
A 55-year-old man presented with neck pain and swelling that had persisted for 1 week, following 2 weeks of blunt trauma to the head and neck, which resulted in several superficial abrasions due to his poorly managed epilepsy. Imaging studies revealed thrombosis in the left IJV, accompanied by an abscess that extended into the sternocleidomastoid muscle. Gram staining of the specimen obtained from the neck abscess confirmed the presence of Streptococcus bacteria.

DIAGNOSIS

The presence of a thrombus in the IJV following blunt trauma to the head and neck, along with a nearby soft tissue abscess, suggests a diagnosis of LS. However, this case is atypical due to the unusual preceding event of blunt trauma and the identification of a rare pathogen, specifically Streptococcus bacteria.

INTERVENTIONS

The patient received 2 weeks of intravenous antibiotic treatment with ceftriaxone and metronidazole, followed by 2 additional weeks of oral amoxicillin-clavulanate. Additionally, approximately 100 mL of foul-smelling pus was evacuated from the neck region.

OUTCOME

The patient has achieved a full recovery.

LESSONS

A strong clinical suspicion is essential for diagnosing this uncommon syndrome in patients with a history of head and neck conditions who experience IJV thrombosis or metastatic infections. This research aims to increase awareness of atypical presentations.

摘要

理论依据

勒米尔综合征(LS)是一种罕见但严重的疾病,其特征为颈内静脉(IJV)发生感染性血栓性静脉炎,通常继发于头颈部区域的感染。它通常始于口咽感染,之后可能会或可能不会出现远处的脓毒性栓子,最常见的是影响肺部。这种疾病通常由正常口咽菌群的成员引起,其中坏死梭杆菌这种厌氧菌是最常见的病原体。及时诊断和抗生素治疗对于预防不良后果至关重要。临床情况决定了治疗性抗凝和手术干预的必要性。LS在先前疾病、病原体、受累静脉和远处表现方面可能呈现非典型性。尽管存在特征性临床表现,但许多临床医生仍未意识到这种罕见疾病,这可能导致诊断延迟并可能产生致命后果。

患者情况

一名55岁男性,在头颈部遭受钝性创伤2周后出现颈部疼痛和肿胀,持续1周,由于其癫痫管理不善,导致多处浅表擦伤。影像学检查显示左侧颈内静脉血栓形成,并伴有一个延伸至胸锁乳突肌的脓肿。从颈部脓肿获取的标本革兰氏染色证实存在链球菌。

诊断

头颈部钝性创伤后颈内静脉出现血栓,同时伴有附近软组织脓肿,提示诊断为LS。然而,该病例具有非典型性,因为有不寻常的钝性创伤先前事件,且鉴定出一种罕见病原体,即链球菌。

干预措施

患者接受了2周的头孢曲松和甲硝唑静脉抗生素治疗,随后又接受了2周的口服阿莫西林 - 克拉维酸盐治疗。此外,从颈部区域抽出了约100毫升有恶臭的脓液。

结果

患者已完全康复。

经验教训

对于有头颈部疾病史且出现颈内静脉血栓形成或转移性感染的患者,强烈的临床怀疑对于诊断这种罕见综合征至关重要。本研究旨在提高对非典型表现的认识。

https://cdn.ncbi.nlm.nih.gov/pmc/blobs/d616/12150930/ce59f271950d/medi-104-e42823-g001.jpg

文献AI研究员

20分钟写一篇综述,助力文献阅读效率提升50倍。

立即体验

用中文搜PubMed

大模型驱动的PubMed中文搜索引擎

马上搜索

文档翻译

学术文献翻译模型,支持多种主流文档格式。

立即体验