Suppr超能文献

成人炎症性假瘤继发双回肠套叠:一例罕见病例报告

Double ileo-ileal intussusception secondary to inflammatory pseudotumor in an adult: A rare case report.

作者信息

Satpathy Sarthak, Pattanayak Sibaprashad, Sahoo Jitendra Kumar, Patnaik Satyaswarup, Behera Umesh Chandra, Samantaray Chinmay

机构信息

Department of General Surgery, MKCG Medical College and Hospital, Berhampur, Odisha, India.

Department of General Surgery, MKCG Medical College and Hospital, Berhampur, Odisha, India.

出版信息

Int J Surg Case Rep. 2025 Jul;132:111500. doi: 10.1016/j.ijscr.2025.111500. Epub 2025 Jun 11.

Abstract

INTRODUCTION

Adult intussusception is rare and typically associated with an underlying lead point. Inflammatory pseudotumor, a rare benign lesion of uncertain etiology, can serve as such a lead point in the small bowel. The occurrence of double intussusception in this context is exceptionally uncommon.

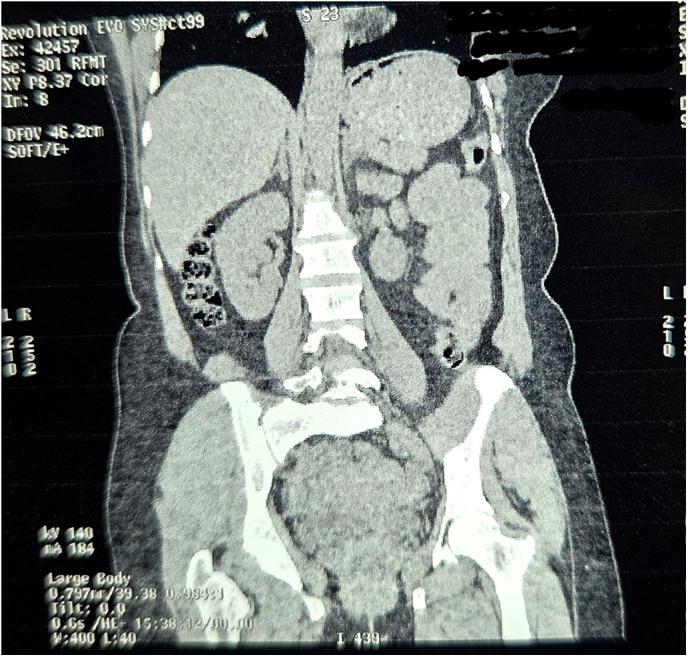
PRESENTATION OF CASE

A 55-year-old woman presented with signs of small bowel obstruction. Imaging(Fig. 1-11) revealed ileo-ileal intussusception. Intraoperatively(Fig. 16-18), a Double intussusception configuration was observed where one intussuscepted segment acted as the lead point for a second. A firm lesion at the apex was resected. Histopathology confirmed Inflammatory Pseudotumor(Fig. 12-15). The patient recovered uneventfully and remained asymptomatic at 6-month follow-up.

DISCUSSION

Double intussusception is extremely rare in adults. In this case, an inflammatory pseudotumor triggered an initial ileo-ileal intussusception, which subsequently served as the lead point for a second. The unusual etiology and configuration can pose diagnostic challenges, as radiological imaging may not fully reveal the complexity. Surgical intervention was required for definitive management.

CONCLUSION

Double ileo-ileal intussusception caused by an inflammatory pseudotumor represents an exceedingly rare etiology of acute intestinal obstruction in adults. Prompt surgical treatment is critical. This case highlights the importance of considering rare benign tumors as potential lead points in adult intussusception.

摘要

引言

成人肠套叠较为罕见,通常与潜在的引导点相关。炎性假瘤是一种病因不明的罕见良性病变,可作为小肠的此类引导点。在这种情况下发生的双重肠套叠极为罕见。

病例介绍

一名55岁女性出现小肠梗阻症状。影像学检查(图1 - 11)显示回肠 - 回肠套叠。术中(图16 - 18)观察到双重肠套叠结构,其中一个套入段作为第二个套入段的引导点。切除顶端的一个坚实病变。组织病理学证实为炎性假瘤(图12 - 15)。患者恢复顺利,6个月随访时无症状。

讨论

双重肠套叠在成人中极为罕见。在本病例中,炎性假瘤引发了最初的回肠 - 回肠套叠,随后该套叠又作为第二个套叠的引导点。这种不寻常的病因和结构可能带来诊断挑战,因为放射影像学可能无法完全揭示其复杂性。需要手术干预进行确定性治疗。

结论

由炎性假瘤引起的双重回肠 - 回肠套叠是成人急性肠梗阻极为罕见的病因。及时的手术治疗至关重要。本病例强调了在成人肠套叠中考虑罕见良性肿瘤作为潜在引导点的重要性。

https://cdn.ncbi.nlm.nih.gov/pmc/blobs/1c0f/12205773/20c1c90e5869/gr1.jpg

相似文献

1
Double ileo-ileal intussusception secondary to inflammatory pseudotumor in an adult: A rare case report.
Int J Surg Case Rep. 2025 Jul;132:111500. doi: 10.1016/j.ijscr.2025.111500. Epub 2025 Jun 11.
2
Management for intussusception in children.
Cochrane Database Syst Rev. 2017 Jun 1;6(6):CD006476. doi: 10.1002/14651858.CD006476.pub3.
4
A rare case report of first-trimester intestinal obstruction masquerading as ectopic pregnancy: Insights from a low-resource setting.
Int J Surg Case Rep. 2025 Jul;132:111484. doi: 10.1016/j.ijscr.2025.111484. Epub 2025 Jun 7.
5
Signs and symptoms to determine if a patient presenting in primary care or hospital outpatient settings has COVID-19.
Cochrane Database Syst Rev. 2022 May 20;5(5):CD013665. doi: 10.1002/14651858.CD013665.pub3.
6
An aggressive, unresected pineoblastoma in an adult woman: the role of exclusive radiotherapy - a case report and literature review.
Ecancermedicalscience. 2025 May 15;19:1909. doi: 10.3332/ecancer.2025.1909. eCollection 2025.
7
Intestinal Obstruction in the Third Trimester of Pregnancy: Maternal and Fetal Outcomes.
Cureus. 2025 May 28;17(5):e84980. doi: 10.7759/cureus.84980. eCollection 2025 May.
8
A Rare twist: Case report of pediatric colo-colonic intussusception secondary to colonic schwannoma.
Int J Surg Case Rep. 2025 Aug;133:111477. doi: 10.1016/j.ijscr.2025.111477. Epub 2025 Jun 6.
9
Garré stricture: An unusual cause of intestinal obstruction: A case report.
Int J Surg Case Rep. 2025 Aug;133:111531. doi: 10.1016/j.ijscr.2025.111531. Epub 2025 Jun 18.
10
Myeloid sarcoma presenting as intestinal obstruction: A case report of the first presentation of acute myeloid leukemia.
Int J Surg Case Rep. 2025 Aug;133:111522. doi: 10.1016/j.ijscr.2025.111522. Epub 2025 Jun 14.

本文引用的文献

1
Intussusception of the bowel in adults: a review.
World J Gastroenterol. 2009 Jan 28;15(4):407-11. doi: 10.3748/wjg.15.407.
2
Inflammatory myofibroblastic tumours: where are we now?
J Clin Pathol. 2008 Apr;61(4):428-37. doi: 10.1136/jcp.2007.049387. Epub 2007 Oct 15.
3
Adult intussusception: a retrospective review.
Dis Colon Rectum. 2006 Oct;49(10):1546-51. doi: 10.1007/s10350-006-0664-5.
4
Intussusception in adults: CT diagnosis.
Clin Radiol. 1998 Jan;53(1):53-7. doi: 10.1016/s0009-9260(98)80035-4.
5
Adult intussusception.
Ann Surg. 1997 Aug;226(2):134-8. doi: 10.1097/00000658-199708000-00003.
6
The diagnosis and management of adult intussusception.
Am J Surg. 1997 Feb;173(2):88-94. doi: 10.1016/S0002-9610(96)00419-9.

文献AI研究员

20分钟写一篇综述,助力文献阅读效率提升50倍。

立即体验

用中文搜PubMed

大模型驱动的PubMed中文搜索引擎

马上搜索

文档翻译

学术文献翻译模型,支持多种主流文档格式。

立即体验