• 文献检索
  • 文档翻译
  • 深度研究
  • 学术资讯
  • Suppr Zotero 插件Zotero 插件
  • 邀请有礼
  • 套餐&价格
  • 历史记录
应用&插件
Suppr Zotero 插件Zotero 插件浏览器插件Mac 客户端Windows 客户端微信小程序
定价
高级版会员购买积分包购买API积分包
服务
文献检索文档翻译深度研究API 文档MCP 服务
关于我们
关于 Suppr公司介绍联系我们用户协议隐私条款
关注我们

Suppr 超能文献

核心技术专利:CN118964589B侵权必究
粤ICP备2023148730 号-1Suppr @ 2026

文献检索

告别复杂PubMed语法,用中文像聊天一样搜索,搜遍4000万医学文献。AI智能推荐,让科研检索更轻松。

立即免费搜索

文件翻译

保留排版,准确专业,支持PDF/Word/PPT等文件格式,支持 12+语言互译。

免费翻译文档

深度研究

AI帮你快速写综述,25分钟生成高质量综述,智能提取关键信息,辅助科研写作。

立即免费体验

罕见转折:小儿结肠-结肠套叠继发于结肠神经鞘瘤的病例报告

A Rare twist: Case report of pediatric colo-colonic intussusception secondary to colonic schwannoma.

作者信息

Rainey Howard N, Ritter Jed T

机构信息

Department of Emergency Medicine, Geisinger Medical Center, Danville, PA, USA.

Department of Emergency Medicine, Geisinger Medical Center, Danville, PA, USA.

出版信息

Int J Surg Case Rep. 2025 Aug;133:111477. doi: 10.1016/j.ijscr.2025.111477. Epub 2025 Jun 6.

DOI:10.1016/j.ijscr.2025.111477
PMID:40532547
原文链接:https://pmc.ncbi.nlm.nih.gov/articles/PMC12212155/
Abstract

INTRODUCTION AND IMPORTANCE

Intussusception is a rare, but serious cause of abdominal pain that must be considered in pediatric emergency medicine, especially in younger patients.

CASE PRESENTATION

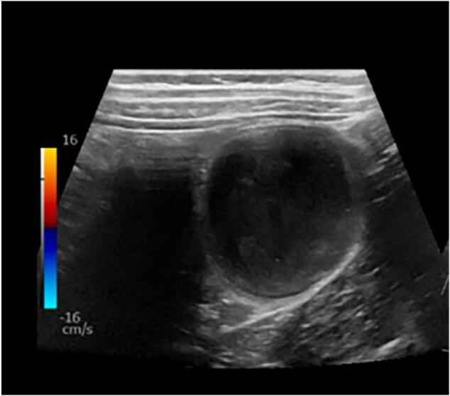
This report describes an 11-year-old male who presented to the emergency department (ED) with intermittent, waxing and waning abdominal pain, that later diagnosed as colo-colonic intussusception due to a colonic schwannoma lead point. Initial abdominal ultrasound revealed a complicated cystic at the descending colon. Follow-up computed tomography scan confirmed colo-colonic intussusception with a solid intra-luminal mass. Subsequent colonoscopy identified a five-centimeter broad based polypoid tumor at the splenic flexure which was non-resectable endoscopically. Left colon segmentectomy was performed removing six centimeters of bowel. Pathology diagnosed a benign colonic spindle schwannoma. Genetic screening was unremarkable, indicating a sporadic schwannoma that did not require additional surveillance or follow-up.

CLINICAL DISCUSSION

Pediatric intussusception most commonly presents in individuals three months to six years of age, making the above individual outside of the typical presenting age. In addition, the lead point in this case, colonic schwannoma is incredibly rare, particularly in the pediatric population. The patient also had a colo-colonic intussusception which is not the typical location of pediatric intussusceptions.

CONCLUSION

This case illustrates that, although most common in very young children, intussusception can occur at any age with the presence of a focal lead point and must remain on the differential diagnosis.

摘要

引言与重要性

肠套叠是一种罕见但严重的腹痛病因,在儿科急诊医学中必须予以考虑,尤其是在年龄较小的患者中。

病例介绍

本报告描述了一名11岁男性,因间歇性、时轻时重的腹痛就诊于急诊科(ED),后来被诊断为因结肠神经鞘瘤致套叠点引起的结肠-结肠套叠。最初的腹部超声显示降结肠有一个复杂囊肿。后续的计算机断层扫描证实为结肠-结肠套叠,腔内有实性肿块。随后的结肠镜检查发现脾曲处有一个5厘米宽基底的息肉样肿瘤,内镜下无法切除。进行了左半结肠切除术,切除了6厘米肠段。病理诊断为良性结肠梭形神经鞘瘤。基因筛查无异常,表明是散发性神经鞘瘤,无需额外监测或随访。

临床讨论

小儿肠套叠最常见于3个月至6岁的儿童,上述病例患者超出了典型发病年龄。此外,该病例中的套叠点结肠神经鞘瘤极其罕见,尤其是在儿科人群中。该患者还发生了结肠-结肠套叠,这并非小儿肠套叠的典型部位。

结论

该病例表明,尽管肠套叠在幼儿中最为常见,但在存在局灶性套叠点的情况下可发生于任何年龄,且必须保留在鉴别诊断范围内。

https://cdn.ncbi.nlm.nih.gov/pmc/blobs/3b91/12212155/d552fe1ad59d/gr2.jpg
https://cdn.ncbi.nlm.nih.gov/pmc/blobs/3b91/12212155/26e1c33d6450/gr1.jpg
https://cdn.ncbi.nlm.nih.gov/pmc/blobs/3b91/12212155/d552fe1ad59d/gr2.jpg
https://cdn.ncbi.nlm.nih.gov/pmc/blobs/3b91/12212155/26e1c33d6450/gr1.jpg
https://cdn.ncbi.nlm.nih.gov/pmc/blobs/3b91/12212155/d552fe1ad59d/gr2.jpg

相似文献

1
A Rare twist: Case report of pediatric colo-colonic intussusception secondary to colonic schwannoma.罕见转折:小儿结肠-结肠套叠继发于结肠神经鞘瘤的病例报告
Int J Surg Case Rep. 2025 Aug;133:111477. doi: 10.1016/j.ijscr.2025.111477. Epub 2025 Jun 6.
2
Signs and symptoms to determine if a patient presenting in primary care or hospital outpatient settings has COVID-19.在基层医疗机构或医院门诊环境中,如果患者出现以下症状和体征,可判断其是否患有 COVID-19。
Cochrane Database Syst Rev. 2022 May 20;5(5):CD013665. doi: 10.1002/14651858.CD013665.pub3.
3
Sexual Harassment and Prevention Training性骚扰与预防培训
4
Management for intussusception in children.儿童肠套叠的管理
Cochrane Database Syst Rev. 2017 Jun 1;6(6):CD006476. doi: 10.1002/14651858.CD006476.pub3.
5
123I-MIBG scintigraphy and 18F-FDG-PET imaging for diagnosing neuroblastoma.用于诊断神经母细胞瘤的123I-间碘苄胍闪烁扫描术和18F-氟代脱氧葡萄糖正电子发射断层显像
Cochrane Database Syst Rev. 2015 Sep 29;2015(9):CD009263. doi: 10.1002/14651858.CD009263.pub2.
6
Interventions for the management of abdominal pain in Crohn's disease and inflammatory bowel disease.干预措施用于克罗恩病和炎症性肠病的腹痛管理。
Cochrane Database Syst Rev. 2021 Nov 29;11(11):CD013531. doi: 10.1002/14651858.CD013531.pub2.
7
Inhaled mannitol for cystic fibrosis.吸入用甘露醇治疗囊性纤维化。
Cochrane Database Syst Rev. 2018 Feb 9;2(2):CD008649. doi: 10.1002/14651858.CD008649.pub3.
8
Tonsillectomy or adenotonsillectomy versus non-surgical treatment for chronic/recurrent acute tonsillitis.扁桃体切除术或腺样体扁桃体切除术与慢性/复发性急性扁桃体炎的非手术治疗对比
Cochrane Database Syst Rev. 2014 Nov 19;2014(11):CD001802. doi: 10.1002/14651858.CD001802.pub3.
9
Ventilation tubes (grommets) for otitis media with effusion (OME) in children.鼓膜置管(通气管)用于儿童分泌性中耳炎(OME)。
Cochrane Database Syst Rev. 2023 Nov 15;11(11):CD015215. doi: 10.1002/14651858.CD015215.pub2.
10
- and -Related Osteogenesis Imperfecta与……相关的成骨不全症 (你提供的原文不完整,推测这里可能是想表达“某种因素与成骨不全症相关”,但仅从现有的“- and -Related Osteogenesis Imperfecta”很难准确翻译出完整准确的内容,以上是基于可能情况的翻译 )

本文引用的文献

1
The SCARE 2023 guideline: updating consensus Surgical CAse REport (SCARE) guidelines.SCARE 2023 指南:更新共识外科病例报告(SCARE)指南。
Int J Surg. 2023 May 1;109(5):1136-1140. doi: 10.1097/JS9.0000000000000373.
2
Intestinal Schwannoma: A Clinicopathological, Immunohistochemical, and Prognostic Study of 9 Cases.肠道神经鞘瘤:9例临床病理、免疫组织化学及预后研究
Gastroenterol Res Pract. 2019 Mar 26;2019:3414678. doi: 10.1155/2019/3414678. eCollection 2019.
3
Abdominal pain is a common and recurring problem in paediatric emergency departments.
腹痛是儿科急诊科常见且反复发生的问题。
Acta Paediatr. 2019 Oct;108(10):1905-1910. doi: 10.1111/apa.14782. Epub 2019 Apr 9.
4
[Sigmoid intussusception as a clinical presentation of colonic schwannoma: Pediatric case].[乙状结肠套叠作为结肠神经鞘瘤的临床表现:儿科病例]
Arch Argent Pediatr. 2019 Feb 1;117(1):e68-e71. doi: 10.5546/aap.2019.e68.
5
Schwannoma of the colon and rectum: a systematic literature review.结肠和直肠神经鞘瘤:系统文献回顾。
World J Surg Oncol. 2018 Jul 3;16(1):125. doi: 10.1186/s12957-018-1427-1.
6
Neurofibromatosis type 1.神经纤维瘤病 1 型。
Nat Rev Dis Primers. 2017 Feb 23;3:17004. doi: 10.1038/nrdp.2017.4.
7
Intestinal Intussusception: Etiology, Diagnosis, and Treatment.肠套叠:病因、诊断与治疗
Clin Colon Rectal Surg. 2017 Feb;30(1):30-39. doi: 10.1055/s-0036-1593429.
8
Schwannoma of the colon: A case report and review of the literature.结肠神经鞘瘤:一例病例报告及文献综述
Oncol Lett. 2016 Apr;11(4):2580-2582. doi: 10.3892/ol.2016.4271. Epub 2016 Feb 24.
9
Schwannoma of the sigmoid colon.乙状结肠神经鞘瘤
BMJ Case Rep. 2015 May 14;2015:bcr2014208934. doi: 10.1136/bcr-2014-208934.
10
Clinicopathological and immunohistochemical characterisation of gastric schwannomas in 29 cases.29 例胃 schwann 瘤的临床病理和免疫组织化学特征。
Gastroenterol Res Pract. 2014;2014:202960. doi: 10.1155/2014/202960. Epub 2014 Feb 11.