Suppr超能文献

创伤后肘关节僵硬的管理挑战——何时进行开放性关节松解术:病例报告

Challenges in Management of a Post-Traumatic Stiff Elbow - When to Perform Open Arthrolysis: A Case Report.

作者信息

Adithyaa S, Tarun Prashanth K R, Thirunthaiyan M R, Kumar R Dorai, Sundararaja B

机构信息

Department of Orthopedic Surgery, Sri Ramachandra Institute of Higher Education and Research, Porur, Chennai, Tamil Nadu, India.

出版信息

J Orthop Case Rep. 2025 Jun;15(6):74-79. doi: 10.13107/jocr.2025.v15.i06.5670.

Abstract

INTRODUCTION

Elbow stiffness can be a debilitating condition that significantly impacts a individual's ability to perform activities of daily living (ADL). Neglected distal humerus fractures when left untreated result in malunion causing the elbow joint to undergo arthrofibrosis with capsular contracture with interspersed osteophytes and formation of loose bodies. The elbow joint is particularly susceptible to stiffness due to its highly congruent bony anatomy, relatively confined joint space tightly stabilizing collateral ligament complex, and the close relationship of the surrounding muscles acting as secondary stabilizers.

CASE REPORT

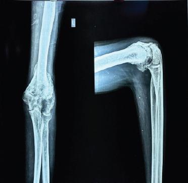
A 31-year-old man presented to the OPD 5 months after injury following 3 cycles of native splinting for distal humerus fracture. He had severe painful restriction of movements, with diffuse tenderness and deformity over the elbow joint affecting his ADL. He underwent a left elbow manipulation under anaesthesia after capsular release.

DISCUSSION

Late presentation of distal humerus intra-articular comminuted fracture which has undergone mal-union can present with gross elbow stiffness commonly. Moreover, if the fracture was treated with native splinting or prolonged immobilisation it is prone for stiffness and other complications. Open approach confers additional advantage of addressing the bony hindrance in addition to soft-tissue release.

CONCLUSION

The clinical decision of choosing open approach versus arthroscopic approach is determined by the severity of the stiffness. In our case, since the patient has severe stiffness with only 30° arc of motion, we decided to go ahead with an open arthrolysis and the patient had good functional improvement.

摘要

引言

肘关节僵硬是一种使人衰弱的病症,会严重影响个人进行日常生活活动(ADL)的能力。未治疗的肱骨远端骨折若被忽视,会导致畸形愈合,使肘关节发生关节纤维性变,并伴有关节囊挛缩,同时伴有散在的骨赘和游离体形成。肘关节因其高度一致的骨骼解剖结构、相对狭窄的关节间隙紧密稳定侧副韧带复合体,以及周围肌肉作为二级稳定器的密切关系,特别容易出现僵硬。

病例报告

一名31岁男性在因肱骨远端骨折接受3个周期的传统夹板固定治疗5个月后到门诊就诊。他的肘关节活动严重受限且疼痛,关节弥漫性压痛和畸形,影响了他的日常生活活动。在进行关节囊松解后,他接受了左肘关节麻醉下手法松解。

讨论

肱骨远端关节内粉碎性骨折畸形愈合的晚期表现通常会出现严重的肘关节僵硬。此外,如果骨折采用传统夹板固定或长期制动治疗,就容易出现僵硬和其他并发症。开放手术除了能松解软组织外,还具有解决骨质障碍的额外优势。

结论

选择开放手术还是关节镜手术的临床决策取决于僵硬的严重程度。在我们的病例中,由于患者僵硬严重,活动弧度仅为30°,我们决定进行开放性关节松解术,患者的功能得到了良好改善。

https://cdn.ncbi.nlm.nih.gov/pmc/blobs/161c/12159613/2f72ffea8655/JOCR-15-74-g001.jpg

文献AI研究员

20分钟写一篇综述,助力文献阅读效率提升50倍。

立即体验

用中文搜PubMed

大模型驱动的PubMed中文搜索引擎

马上搜索

文档翻译

学术文献翻译模型,支持多种主流文档格式。

立即体验