Suppr超能文献

多发性骨髓瘤的整体管理:关于悉达疗法辅助硼替佐米-来那度胺-地塞米松(BLD)方案的病例报告

Holistic Management of Multiple Myeloma: A Case Report on Siddha Therapy as an Adjunct to the Bortezomib-Lenalidomide-Dexamethasone (BLD) Regimen.

作者信息

Baskar Bharathi, B Akila

机构信息

Central Council for Research in Siddha, Siddha Clinical Research Unit, Safdarjung Hospital, New Delhi, IND.

出版信息

Cureus. 2025 May 15;17(5):e84203. doi: 10.7759/cureus.84203. eCollection 2025 May.

Abstract

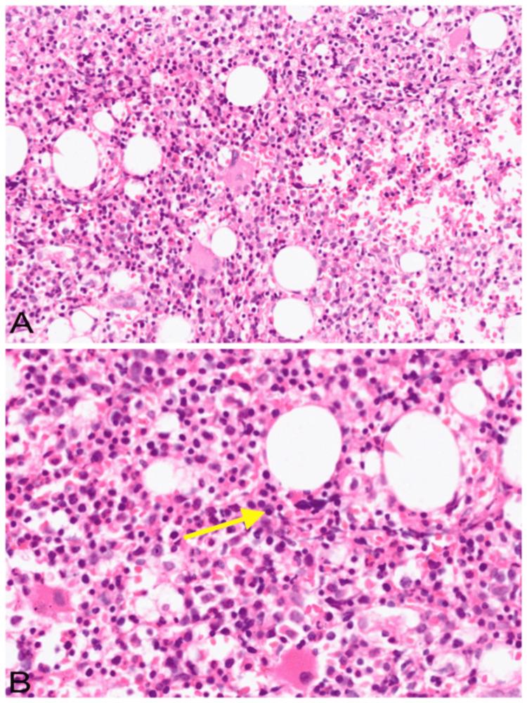
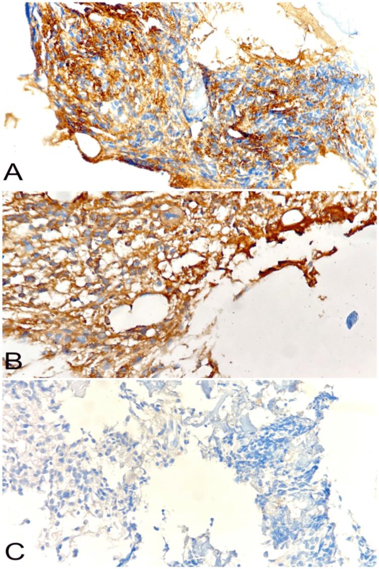
Multiple myeloma (MM) is a complex haematological malignancy characterized by the clonal proliferation of plasma cells within the bone marrow. It is the second most common haematological malignancy that presents in elderly patients. The integration of complementary medicine into conventional cancer care is increasingly observed among patients, driven by factors such as symptom management, holistic well-being, and cultural alignment. This case report presents the integrated management of a 65-year-old male patient diagnosed with MM, who received both chemotherapy and Siddha medicine to alleviate constitutional symptoms and improve overall well-being. The patient complained of weakness, easy fatigability, and insomnia. The diagnosis of MM was established elsewhere through serum protein electrophoresis, immunofixation, and bone marrow biopsy. He was treated with the bortezomib, lenalidomide, and dexamethasone (BLD) regimen along with a combination of Siddha herbal and herbo-mineral formulations. After six months, the patient demonstrated significant improvements in haematological parameters, general physical condition, and quality of life. This case highlights the potential benefits of integrating traditional Siddha medicine with conventional allopathic therapy in managing MM.

摘要

多发性骨髓瘤(MM)是一种复杂的血液系统恶性肿瘤,其特征为骨髓内浆细胞的克隆性增殖。它是老年患者中第二常见的血液系统恶性肿瘤。在症状管理、整体健康状况和文化契合等因素的推动下,患者越来越多地将补充医学纳入传统癌症治疗中。本病例报告介绍了一名65岁男性MM患者的综合治疗情况,该患者接受了化疗和悉达医学治疗,以缓解全身症状并改善整体健康状况。患者主诉乏力、易疲劳和失眠。MM的诊断在其他地方通过血清蛋白电泳、免疫固定和骨髓活检得以确立。他接受了硼替佐米、来那度胺和地塞米松(BLD)方案治疗,同时还服用了悉达草药和草药-矿物质配方组合。六个月后,患者的血液学参数、一般身体状况和生活质量有了显著改善。本病例突出了在MM治疗中整合传统悉达医学与传统西医治疗的潜在益处。

https://cdn.ncbi.nlm.nih.gov/pmc/blobs/fab8/12168623/9fd01961a647/cureus-0017-00000084203-i01.jpg

文献检索

告别复杂PubMed语法,用中文像聊天一样搜索,搜遍4000万医学文献。AI智能推荐,让科研检索更轻松。

立即免费搜索

文件翻译

保留排版,准确专业,支持PDF/Word/PPT等文件格式,支持 12+语言互译。

免费翻译文档

深度研究

AI帮你快速写综述,25分钟生成高质量综述,智能提取关键信息,辅助科研写作。

立即免费体验