Suppr超能文献

一名17岁男性的气管血管周围上皮样细胞瘤

A Tracheal Perivascular Epithelioid Cell Tumor in a 17-Year-Old Male.

作者信息

Gao Yali, Zhang Lipeng, Bo Shaojun, Xu Xianfa

机构信息

Department of Otorhinolaryngology-Head and Neck Surgery, Civil Aviation General Hospital, Civil Aviation Clinical Medical College Peking University Beijing China.

Senior Department of Burns and Plastic Surgery The Fourth Medical Center of PLA General Hospital Beijing China.

出版信息

Clin Case Rep. 2025 Jun 16;13(6):e70507. doi: 10.1002/ccr3.70507. eCollection 2025 Jun.

Abstract

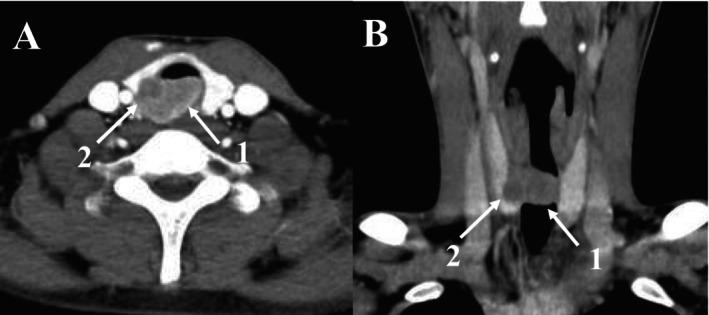
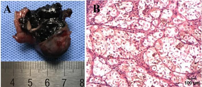
This case is the second to report a patient with a tracheal perivascular epithelioid cell tumor (PEComa), who previously underwent multiple intratracheal CO cryotherapy treatments. Standardized surgical resection and postoperative scar management resulted in a favorable prognosis after 4 years of follow-up, highlighting the critical role of surgical intervention in rare primary tracheal tumors.

摘要

该病例是第二例报告的患有气管血管周围上皮样细胞瘤(PEComa)的患者,该患者此前接受了多次气管内CO冷冻治疗。标准化手术切除及术后瘢痕管理,经4年随访后预后良好,突出了手术干预在罕见的原发性气管肿瘤中的关键作用。

https://cdn.ncbi.nlm.nih.gov/pmc/blobs/14fc/12170223/b1585495ca3a/CCR3-13-e70507-g003.jpg

文献检索

告别复杂PubMed语法,用中文像聊天一样搜索,搜遍4000万医学文献。AI智能推荐,让科研检索更轻松。

立即免费搜索

文件翻译

保留排版,准确专业,支持PDF/Word/PPT等文件格式,支持 12+语言互译。

免费翻译文档

深度研究

AI帮你快速写综述,25分钟生成高质量综述,智能提取关键信息,辅助科研写作。

立即免费体验