• 文献检索
  • 文档翻译
  • 深度研究
  • 学术资讯
  • Suppr Zotero 插件Zotero 插件
  • 邀请有礼
  • 套餐&价格
  • 历史记录
应用&插件
Suppr Zotero 插件Zotero 插件浏览器插件Mac 客户端Windows 客户端微信小程序
定价
高级版会员购买积分包购买API积分包
服务
文献检索文档翻译深度研究API 文档MCP 服务
关于我们
关于 Suppr公司介绍联系我们用户协议隐私条款
关注我们

Suppr 超能文献

核心技术专利:CN118964589B侵权必究
粤ICP备2023148730 号-1Suppr @ 2026

文献检索

告别复杂PubMed语法,用中文像聊天一样搜索,搜遍4000万医学文献。AI智能推荐,让科研检索更轻松。

立即免费搜索

文件翻译

保留排版,准确专业,支持PDF/Word/PPT等文件格式,支持 12+语言互译。

免费翻译文档

深度研究

AI帮你快速写综述,25分钟生成高质量综述,智能提取关键信息,辅助科研写作。

立即免费体验

经内镜超声引导下组织获取诊断的甲状腺乳头状癌晚期胰腺转移

Late Pancreatic Metastasis From Papillary Thyroid Carcinoma Diagnosed by Endoscopic Ultrasound-Guided Tissue Acquisition.

作者信息

Lopes César Vivian, Pereira-Lima Júlia Fernanda Semmelmann, Salerno Marianna Lins de Souza, Luzzatto Felipe

机构信息

Department of Gastroenterology and Digestive Endoscopy, Santa Casa Hospital, Porto Alegre, Brazil.

Department of Endocrinology, Santa Casa Hospital, Porto Alegre, Brazil.

出版信息

Ochsner J. 2025 Summer;25(2):123-132. doi: 10.31486/toj.24.0115.

DOI:10.31486/toj.24.0115
PMID:40538612
原文链接:https://pmc.ncbi.nlm.nih.gov/articles/PMC12175758/
Abstract

BACKGROUND

Papillary thyroid carcinoma, the most common differentiated thyroid cancer, has an indolent clinical course and a good prognosis. Metastases to the gastrointestinal tract account for <1% of all distant metastases, and the pancreas is an extremely rare site for metastasis from thyroid cancer.

CASE REPORT

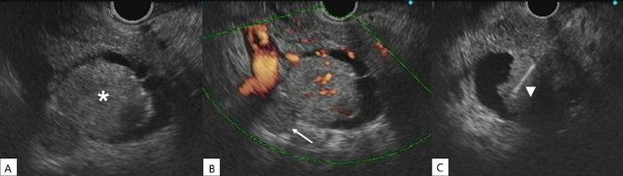
We report the case of a patient who developed a pancreatic metastasis from a classic variant papillary thyroid carcinoma 11 years after total thyroidectomy, cervical lymphadenectomy, and radioactive iodine ablation. The patient experienced increased thyroglobulin levels, and abdominal computed tomography scan revealed a lesion in the uncinate process of the pancreas. Tissue samples obtained by endoscopic ultrasound-guided biopsy were positive for thyroglobulin and thyroid transcription factor 1. Because the patient was not a candidate for surgery, the metastatic lesion was not iodine-avid, and tyrosine kinase inhibitors could not be offered because of tumor-related symptoms, the patient was treated with stereotactic body radiotherapy only. The patient died almost 2 years after the diagnosis of metastatic papillary thyroid carcinoma to the pancreas (13 years after total thyroidectomy for the primary cancer).

CONCLUSION

If pancreatic lesions are discovered during regular follow-up of patients who have previously been treated for papillary thyroid carcinoma, pancreatic metastasis must be considered, and imaging procedures other than whole-body iodine scintigraphy are required. Histopathology and iodine avidity will define the best therapeutic strategy. Radioactive iodine ablation should be considered for iodine-avid metastases, and surgery or tyrosine kinase inhibitors are promising options for non-iodine-avid lesions.

摘要

背景

乳头状甲状腺癌是最常见的分化型甲状腺癌,临床病程进展缓慢,预后良好。胃肠道转移占所有远处转移的比例不到1%,胰腺是甲状腺癌转移极为罕见的部位。

病例报告

我们报告一例患者,在全甲状腺切除、颈部淋巴结清扫及放射性碘消融术后11年,出现了源自经典型乳头状甲状腺癌的胰腺转移。患者甲状腺球蛋白水平升高,腹部计算机断层扫描显示胰腺钩突部有一病灶。经内镜超声引导下活检获取的组织样本甲状腺球蛋白和甲状腺转录因子1呈阳性。由于该患者不适合手术,转移病灶不摄取碘,且因肿瘤相关症状无法使用酪氨酸激酶抑制剂,故仅对患者进行了立体定向体部放疗。该患者在被诊断为胰腺转移性乳头状甲状腺癌后近2年死亡(距原发癌全甲状腺切除术后13年)。

结论

如果在既往接受过乳头状甲状腺癌治疗的患者定期随访期间发现胰腺病变,必须考虑胰腺转移,且需要全身碘闪烁扫描以外的影像学检查。组织病理学和碘摄取情况将确定最佳治疗策略。对于摄取碘的转移灶应考虑放射性碘消融,而手术或酪氨酸激酶抑制剂是治疗不摄取碘病灶的有前景的选择。

https://cdn.ncbi.nlm.nih.gov/pmc/blobs/fe7b/12175758/84106673dc27/toj-24-0115-figure3.jpg
https://cdn.ncbi.nlm.nih.gov/pmc/blobs/fe7b/12175758/1b5fd6c5e1f9/toj-24-0115-figure1.jpg
https://cdn.ncbi.nlm.nih.gov/pmc/blobs/fe7b/12175758/4eb006321dda/toj-24-0115-figure2.jpg
https://cdn.ncbi.nlm.nih.gov/pmc/blobs/fe7b/12175758/84106673dc27/toj-24-0115-figure3.jpg
https://cdn.ncbi.nlm.nih.gov/pmc/blobs/fe7b/12175758/1b5fd6c5e1f9/toj-24-0115-figure1.jpg
https://cdn.ncbi.nlm.nih.gov/pmc/blobs/fe7b/12175758/4eb006321dda/toj-24-0115-figure2.jpg
https://cdn.ncbi.nlm.nih.gov/pmc/blobs/fe7b/12175758/84106673dc27/toj-24-0115-figure3.jpg

相似文献

1
Late Pancreatic Metastasis From Papillary Thyroid Carcinoma Diagnosed by Endoscopic Ultrasound-Guided Tissue Acquisition.经内镜超声引导下组织获取诊断的甲状腺乳头状癌晚期胰腺转移
Ochsner J. 2025 Summer;25(2):123-132. doi: 10.31486/toj.24.0115.
2
A rapid and systematic review of the clinical effectiveness and cost-effectiveness of paclitaxel, docetaxel, gemcitabine and vinorelbine in non-small-cell lung cancer.对紫杉醇、多西他赛、吉西他滨和长春瑞滨在非小细胞肺癌中的临床疗效和成本效益进行的快速系统评价。
Health Technol Assess. 2001;5(32):1-195. doi: 10.3310/hta5320.
3
Imaging modalities for characterising focal pancreatic lesions.用于表征胰腺局灶性病变的成像方式。
Cochrane Database Syst Rev. 2017 Apr 17;4(4):CD010213. doi: 10.1002/14651858.CD010213.pub2.
4
Transabdominal ultrasound and endoscopic ultrasound for diagnosis of gallbladder polyps.经腹超声和内镜超声用于胆囊息肉的诊断。
Cochrane Database Syst Rev. 2018 Aug 15;8(8):CD012233. doi: 10.1002/14651858.CD012233.pub2.
5
Synchronous or metachronous presentation of pancreatic neuroendocrine tumor versus secondary lesion to pancreas in patients affected by renal cell carcinoma. Systematic review.肾细胞癌患者中胰腺神经内分泌肿瘤与胰腺继发性病变的同步或异时表现。系统评价。
Semin Oncol. 2022 Dec;49(6):476-481. doi: 10.1053/j.seminoncol.2023.01.007. Epub 2023 Feb 2.
6
Antidepressants for pain management in adults with chronic pain: a network meta-analysis.抗抑郁药治疗成人慢性疼痛的疼痛管理:一项网络荟萃分析。
Health Technol Assess. 2024 Oct;28(62):1-155. doi: 10.3310/MKRT2948.
7
Signs and symptoms to determine if a patient presenting in primary care or hospital outpatient settings has COVID-19.在基层医疗机构或医院门诊环境中,如果患者出现以下症状和体征,可判断其是否患有 COVID-19。
Cochrane Database Syst Rev. 2022 May 20;5(5):CD013665. doi: 10.1002/14651858.CD013665.pub3.
8
Antibody tests for identification of current and past infection with SARS-CoV-2.抗体检测用于鉴定 SARS-CoV-2 的现症感染和既往感染。
Cochrane Database Syst Rev. 2022 Nov 17;11(11):CD013652. doi: 10.1002/14651858.CD013652.pub2.
9
Papillary thyroid carcinoma with exuberant nodular fasciitis-like stroma: treatment outcome and prognosis.伴有丰富结节性筋膜炎样间质的甲状腺乳头状癌:治疗结果与预后
J Laryngol Otol. 2006 Apr;120(4):338-42. doi: 10.1017/S0022215106000211.
10
[Narrow-band UVB therapy in psoriasis vulgaris: good practice guideline and recommendations of the French Society of Photodermatology].[寻常型银屑病的窄谱中波紫外线治疗:法国光皮肤病学会的实用指南与建议]
Ann Dermatol Venereol. 2010 Jan;137(1):21-31. doi: 10.1016/j.annder.2009.12.004. Epub 2009 Dec 29.

本文引用的文献

1
Thyroid poorly differentiated carcinoma metastatic to pancreas diagnosed by fine-needle aspiration and demonstrating a novel BRAF fusion.经细针穿刺诊断的胰腺转移的甲状腺低分化癌,表现出一种新型的 BRAF 融合。
Cytopathology. 2024 May;35(3):408-411. doi: 10.1111/cyt.13353. Epub 2024 Feb 15.
2
Tyrosine kinase inhibitors for radioiodine refractory differentiated thyroid cancer: A systematic review and meta-analysis.放射性碘难治性分化型甲状腺癌的酪氨酸激酶抑制剂:系统评价和荟萃分析。
Clin Endocrinol (Oxf). 2024 Apr;100(4):379-388. doi: 10.1111/cen.15027. Epub 2024 Feb 13.
3
Pancreatic metastasis from papillary thyroid cancer: a case report and literature review.
甲状腺乳头状癌胰腺转移:一例报告并文献复习
Korean J Clin Oncol. 2023 Jun;19(1):32-37. doi: 10.14216/kjco.23006. Epub 2023 Jun 30.
4
Thyroid Carcinoma, Version 2.2022, NCCN Clinical Practice Guidelines in Oncology.甲状腺癌临床实践指南(NCCN 指南)2022 年第 2 版。
J Natl Compr Canc Netw. 2022 Aug;20(8):925-951. doi: 10.6004/jnccn.2022.0040.
5
Risk and Prognostic Factors for BRAF Mutations in Papillary Thyroid Carcinoma.甲状腺乳头状癌中 BRAF 突变的风险和预后因素。
Biomed Res Int. 2022 May 18;2022:9959649. doi: 10.1155/2022/9959649. eCollection 2022.
6
Aggressive Papillary Thyroid Carcinoma Presenting with Metastasis to the Pancreas.侵袭性乳头状甲状腺癌伴胰腺转移
Case Rep Endocrinol. 2022 Jan 20;2022:5355419. doi: 10.1155/2022/5355419. eCollection 2022.
7
Pancreatic metastasis from papillary thyroid carcinoma: Case report and literature review.甲状腺乳头状癌胰腺转移:病例报告及文献复习。
Hell J Nucl Med. 2021 May-Aug;24(2):140-148. doi: 10.1967/s002449912354. Epub 2021 Aug 6.
8
Avidity and Outcomes of Radioiodine Therapy for Distant Metastasis of Distinct Types of Differentiated Thyroid Cancer.不同类型分化型甲状腺癌远处转移的碘-131 治疗疗效及影响因素分析。
J Clin Endocrinol Metab. 2021 Sep 27;106(10):e3911-e3922. doi: 10.1210/clinem/dgab436.
9
Global Cancer Statistics 2020: GLOBOCAN Estimates of Incidence and Mortality Worldwide for 36 Cancers in 185 Countries.《全球癌症统计数据 2020:全球 185 个国家和地区 36 种癌症的发病率和死亡率估计》。
CA Cancer J Clin. 2021 May;71(3):209-249. doi: 10.3322/caac.21660. Epub 2021 Feb 4.
10
124I-PET/CT-Guided Diagnosis and Personalized Treatment of Metastatic Papillary Thyroid Cancer to the Pancreas.124I-PET/CT 引导下胰腺转移甲状腺乳头状癌的诊断及个体化治疗
Clin Nucl Med. 2021 Apr 1;46(4):337-339. doi: 10.1097/RLU.0000000000003499.