Miyagawa Masatsugu, Sasa Yusuke, Shoji Yoshikuni, Sugai Shonosuke, Hayashida Satoshi, Atsumi Wataru, Ikeda Atsushi, Tachibana Eizo, Kunimoto Satoshi, Okumura Yasuo
Division of Cardiology, Kawaguchi Municipal Medical Center, Kawaguchi, Japan; Division of Cardiology, Department of Medicine, Nihon University School of Medicine, Tokyo, Japan.
Division of Cardiology, Kawaguchi Municipal Medical Center, Kawaguchi, Japan.
JACC Case Rep. 2025 Jun 18;30(15):103770. doi: 10.1016/j.jaccas.2025.103770.
Multiple intracardiac thrombi are unusual and cause potentially fatal embolisms.
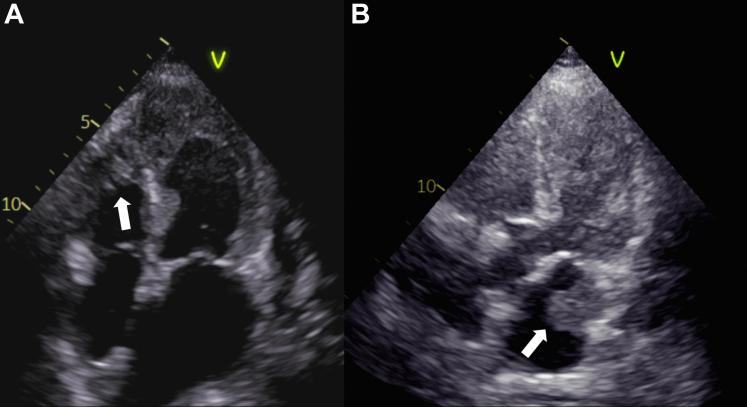
We present the case of an elderly woman with acute myocardial infarction involving diabetic ketoacidosis. Her transthoracic echocardiogram revealed multiple thrombi in both ventricles and left atrium. She was discharged from our hospital without experiencing complications, including thromboembolism, after receiving multidisciplinary treatment.
Multiple intracardiac thrombi are an uncommon complication of myocardial infarction. The ability of plain computed tomography to evaluate intracardiac thrombus is unknown.
TAKE-HOME MESSAGES: In cases with an intense prothrombotic state, early screening for intracardiac thrombi, avoidance of defibrillation, and continuation of anticoagulant therapy are important to prevent fatal thromboembolism. The computed tomography value of the thrombus has the potential to assess the risk of embolization.
多发性心内血栓并不常见,可导致潜在致命性栓塞。
我们报告一例患有急性心肌梗死合并糖尿病酮症酸中毒的老年女性病例。她的经胸超声心动图显示双侧心室及左心房内有多个血栓。在接受多学科治疗后,她从我院出院,未出现包括血栓栓塞在内的并发症。
多发性心内血栓是心肌梗死的一种罕见并发症。普通计算机断层扫描评估心内血栓的能力尚不清楚。
在具有强烈血栓形成倾向的病例中,早期筛查心内血栓、避免除颤以及持续抗凝治疗对于预防致命性血栓栓塞很重要。血栓的计算机断层扫描值有可能评估栓塞风险。