Hahn Daniel, Fung Jasmine, Tran Angela, Jayaprakash Narayanan Miruthu Varshini, Freg George N
Internal Medicine, Touro College of Osteopathic Medicine, New York, USA.
Internal Medicine, St. Mary's General Hospital, Passaic, USA.
Cureus. 2025 May 22;17(5):e84633. doi: 10.7759/cureus.84633. eCollection 2025 May.
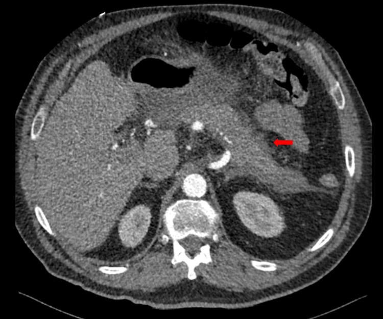
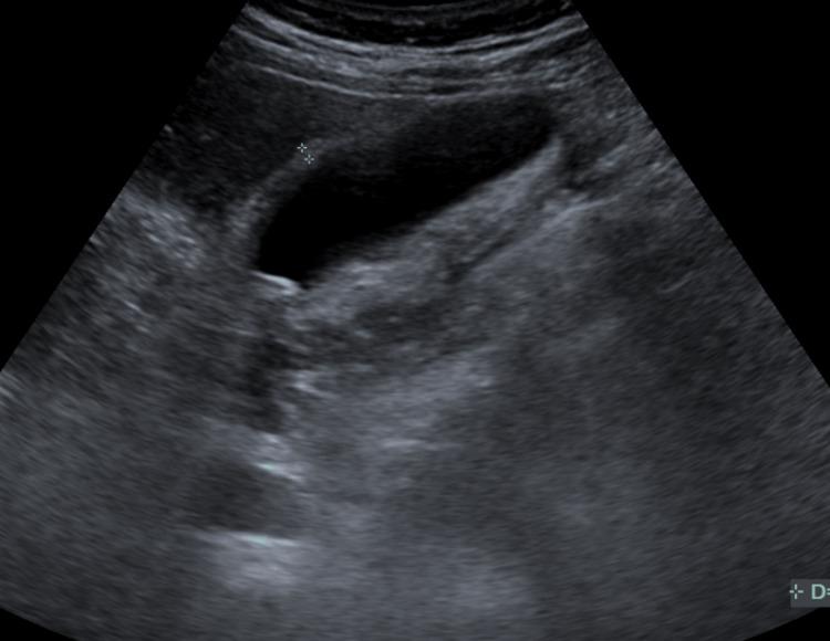
Acute pancreatitis is a common inflammatory disorder of the pancreas. While commonly caused by gallstones, alcohol use, and idiopathic causes, drug-induced acute pancreatitis (DIAP) is an often overlooked etiology that demands careful medication review and clinical vigilance. This case report describes a 72-year-old male patient with a history of hypertension and coronary artery disease who presented with severe epigastric pain radiating to the back, elevated lipase levels, and imaging findings consistent with acute pancreatitis. After excluding common causes such as gallstones, alcohol use, and hypertriglyceridemia, hydrochlorothiazide (HCTZ) was identified as the likely trigger. Discontinuation of hydrochlorothiazide led to clinical improvement and resolution of laboratory abnormalities. This case highlights the importance of considering drug-induced acute pancreatitis, particularly in patients with comorbidities who present with unexplained acute pancreatitis due to their pharmacological therapy.
急性胰腺炎是胰腺常见的炎症性疾病。虽然通常由胆结石、酒精使用和特发性原因引起,但药物性急性胰腺炎(DIAP)是一种常被忽视的病因,需要仔细审查用药情况并保持临床警惕。本病例报告描述了一名72岁男性患者,有高血压和冠状动脉疾病史,出现严重的上腹部疼痛并放射至背部,脂肪酶水平升高,影像学检查结果符合急性胰腺炎。在排除胆结石、酒精使用和高甘油三酯血症等常见病因后,确定氢氯噻嗪(HCTZ)可能是触发因素。停用氢氯噻嗪后,临床症状改善,实验室异常情况得到缓解。本病例强调了考虑药物性急性胰腺炎的重要性,特别是对于因药物治疗而出现不明原因急性胰腺炎的合并症患者。