Ishida Koh, Tanaka Tatsuya, Saku Aiko, Nakajima Takamichi, Kawashima Hirotoshi, Matsuno Akira
Neurosurgery, International University of Health and Welfare Narita Hospital, Narita, JPN.
Allergy and Rheumatology, International University of Health and Welfare Narita Hospital, Narita, JPN.
Cureus. 2025 May 22;17(5):e84594. doi: 10.7759/cureus.84594. eCollection 2025 May.
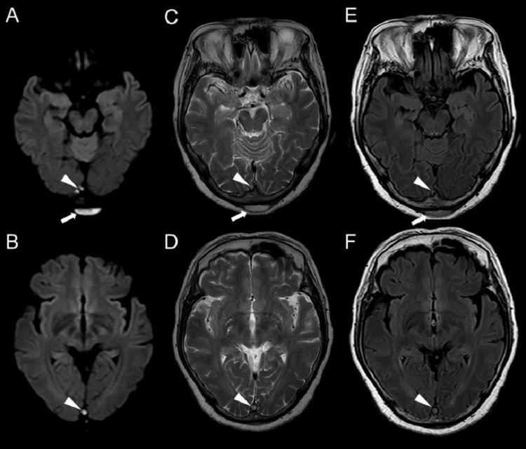
Infectious cerebral venous sinus thrombosis (CVST) typically arises from contiguous infections such as sinusitis or otitis media; however, CVST secondary to a subcutaneous abscess is exceedingly rare. We report the case of a 68-year-old woman who presented with a fever, headache, and a painful occipital scalp mass. Initial imaging identified a subcutaneous abscess in the occipital region, and subsequent magnetic resonance imaging (MRI) revealed thrombosis involving the superior sagittal, transverse, and sigmoid sinuses. Methicillin-sensitive Staphylococcus aureus (MSSA) was isolated from both blood and abscess cultures. Anticoagulation and intravenous antibiotic therapy were promptly initiated. Diplopia developed on day 10 of illness, was closely monitored through serial neurological examinations, and gradually resolved over the ensuing months, with complete resolution noted at the six-month follow-up. Follow-up imaging at 24 months demonstrated partial recanalization of the affected venous sinuses. This case underscores a rare but critical progression from a localized scalp infection to CVST. Clinicians should maintain a high index of suspicion in patients presenting with occipital scalp infections accompanied by neurological symptoms. To our knowledge, this is one of the few reported cases of CVST arising from a posterior scalp abscess, expanding the spectrum of infectious sources and guiding management strategies in similar presentations.
感染性脑静脉窦血栓形成(CVST)通常源于邻近感染,如鼻窦炎或中耳炎;然而,继发于皮下脓肿的CVST极为罕见。我们报告一例68岁女性,她出现发热、头痛和枕部头皮疼痛性肿块。初始影像学检查发现枕部皮下脓肿,随后的磁共振成像(MRI)显示上矢状窦、横窦和乙状窦血栓形成。血液和脓肿培养均分离出对甲氧西林敏感的金黄色葡萄球菌(MSSA)。立即开始抗凝和静脉抗生素治疗。病程第10天出现复视,通过系列神经学检查密切监测,在随后几个月逐渐缓解,6个月随访时完全消失。24个月的随访影像学检查显示受累静脉窦部分再通。该病例强调了从局部头皮感染到CVST这一罕见但关键的病程进展。临床医生对伴有神经症状的枕部头皮感染患者应保持高度怀疑。据我们所知,这是少数几例报道的由后头皮脓肿引起的CVST病例之一,拓宽了感染源谱并为类似表现的治疗策略提供了指导。