Suppr超能文献

围手术期膀胱壁纹身辅助机器人手术切除罕见膀胱肿瘤

Robot‑assisted resection of a rare bladder tumor facilitated by perioperative bladder wall tattooing.

作者信息

Balík Michal, Navráti Pavel, Šmejkalová Lucie, Broďák Miloš

机构信息

Department of Urology, University Hospital Hradec Králové, Hradec Králové, Czech Republic.

Department of Surgery, Charles University, Faculty of Medicine in Hradec Králové, Hradec Králové, Czech Republic.

出版信息

Wideochir Inne Tech Maloinwazyjne. 2025 Mar 24;20(1):114-117. doi: 10.20452/wiitm.2025.17932. eCollection 2025 Apr 9.

Abstract

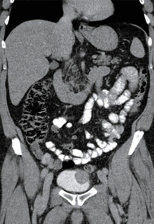
Inflammatory myofibroblastic tumors (IMTs) of the bladder are rare, with a limited number of cases reported in the literature. Complete resection with negative margins is essential to reduce the risk of recurrence, while bladder function preservation is also crucial for the patient. This study describes a 56‑year‑old patient with a bladder dome IMT managed using robot‑assisted partial cystectomy facili‑ tated by perioperative cystoscopic tattooing to precisely demarcate the tumor margins. The procedure began with cystoscopic tattooing of the lesion using Black Eye dye, followed by robotic resection with the da Vinci Xi system. Complete transmural resection and a 2‑layer bladder closure were performed, with preservation of the bladder capacity. The patient experienced minimal blood loss, no intraopera‑ tive complications, and was discharged 2 days after the procedure. Follow‑up examinations, including cystoscopy and computed tomography, confirmed no recurrence 12 months after surgery. Cystoscopic tattooing facilitated clear intraoperative tumor localization, enabling precise resection and minimal bladder wall loss. This approach addressed a key challenge of robotic bladder surgery-lack of tactile feedback-while maintaining functional outcomes. Robot‑assisted partial cystectomy with cystoscopic tattooing represents a promising alternative to maximal transurethral resection, especially in the context of bladder‑sparing trimodal therapy, for patients who are not eligible for or unwilling to undergo radical cystectomy. This technique is particularly relevant given the increasing focus on minimally invasive procedures and advancements in systemic therapy. In the future, this method could be adapted for ureteral robotic surgeries to enhance lesion localization.

摘要

膀胱炎性肌纤维母细胞瘤(IMTs)较为罕见,文献报道的病例数量有限。切缘阴性的完整切除对于降低复发风险至关重要,同时保留膀胱功能对患者也至关重要。本研究描述了一名56岁患有膀胱顶部IMT的患者,采用机器人辅助部分膀胱切除术进行治疗,术中通过膀胱镜纹身精确界定肿瘤边缘。手术首先使用“黑眼”染料对病变进行膀胱镜纹身,然后使用达芬奇Xi系统进行机器人切除。进行了全层切除和两层膀胱缝合,保留了膀胱容量。患者术中出血极少,无术中并发症,术后2天出院。包括膀胱镜检查和计算机断层扫描在内的随访检查证实,术后12个月无复发。膀胱镜纹身有助于术中清晰定位肿瘤,实现精确切除并减少膀胱壁损失。这种方法解决了机器人膀胱手术缺乏触觉反馈这一关键挑战,同时维持了功能效果。对于不符合根治性膀胱切除术条件或不愿接受根治性膀胱切除术的患者,机器人辅助部分膀胱切除术联合膀胱镜纹身是最大经尿道切除术的一种有前景的替代方法,特别是在保留膀胱的三联疗法背景下。鉴于对微创手术的日益关注和全身治疗的进展,该技术尤为重要。未来,这种方法可应用于输尿管机器人手术以增强病变定位。

https://cdn.ncbi.nlm.nih.gov/pmc/blobs/1921/12177346/6127a2c94c90/vomt-20-1-17932-g1.jpg

相似文献

1
Robot‑assisted resection of a rare bladder tumor facilitated by perioperative bladder wall tattooing.
Wideochir Inne Tech Maloinwazyjne. 2025 Mar 24;20(1):114-117. doi: 10.20452/wiitm.2025.17932. eCollection 2025 Apr 9.
2
Perioperative interventions in pelvic organ prolapse surgery.
Cochrane Database Syst Rev. 2018 Aug 19;8(8):CD013105. doi: 10.1002/14651858.CD013105.
3
Blue versus white light for transurethral resection of non-muscle invasive bladder cancer.
Cochrane Database Syst Rev. 2021 Dec 1;12(12):CD013776. doi: 10.1002/14651858.CD013776.pub2.
4
5
Eliciting adverse effects data from participants in clinical trials.
Cochrane Database Syst Rev. 2018 Jan 16;1(1):MR000039. doi: 10.1002/14651858.MR000039.pub2.
7
Interventions for interpersonal communication about end of life care between health practitioners and affected people.
Cochrane Database Syst Rev. 2022 Jul 8;7(7):CD013116. doi: 10.1002/14651858.CD013116.pub2.
8
Urethral injection therapy for urinary incontinence in women.
Cochrane Database Syst Rev. 2017 Jul 25;7(7):CD003881. doi: 10.1002/14651858.CD003881.pub4.
9
Home treatment for mental health problems: a systematic review.
Health Technol Assess. 2001;5(15):1-139. doi: 10.3310/hta5150.
10
A systematic overview of chemotherapy effects in urothelial bladder cancer.
Acta Oncol. 2001;40(2-3):371-90. doi: 10.1080/02841860151116466.

本文引用的文献

1
Robotic-assisted partial cystectomy for muscle invasive bladder cancer: Contemporary experience.
Int J Med Robot. 2022 Aug;18(4):e2390. doi: 10.1002/rcs.2390. Epub 2022 Mar 13.
2
Bladder-sparing protocols in the treatment of muscle-invasive bladder cancer.
Transl Androl Urol. 2020 Dec;9(6):2920-2937. doi: 10.21037/tau.2020.02.10.
4
Use of cystoscopic tattooing in laparoscopic partial cystectomy.
Korean J Urol. 2012 Jun;53(6):401-4. doi: 10.4111/kju.2012.53.6.401. Epub 2012 Jun 19.
5
Leaving a mark: the frequency and accuracy of tattooing prior to laparoscopic colorectal surgery.
Colorectal Dis. 2011 Oct;13(10):1184-7. doi: 10.1111/j.1463-1318.2010.02423.x.
6
Pseudosarcomatous myofibroblastic proliferations of the bladder: a clinicopathologic study of 42 cases.
Am J Surg Pathol. 2006 Jul;30(7):787-94. doi: 10.1097/01.pas.0000208903.46354.6f.
7
Radical cystectomy for invasive bladder cancer: long-term results of a standard procedure.
World J Urol. 2006 Aug;24(3):296-304. doi: 10.1007/s00345-006-0061-7. Epub 2006 Mar 4.
8
Laparoscopic and robotic radical prostatectomy: what are the real advantages?
BJU Int. 2005 Jan;95(1):3-4. doi: 10.1111/j.1464-410X.2005.05235.x.
9
Recurrent inflammatory pseudotumors in children.
J Pediatr Surg. 2003 Oct;38(10):1491-5. doi: 10.1016/s0022-3468(03)00501-3.

文献AI研究员

20分钟写一篇综述,助力文献阅读效率提升50倍。

立即体验

用中文搜PubMed

大模型驱动的PubMed中文搜索引擎

马上搜索

文档翻译

学术文献翻译模型,支持多种主流文档格式。

立即体验