Suppr超能文献

以单细胞分辨率解析肝外胆管癌的胆管癌异质性和特定祖细胞生态位。

Deciphering cholangiocarcinoma heterogeneity and specific progenitor cell niche of extrahepatic cholangiocarcinoma at single-cell resolution.

作者信息

Liu Chunliang, Wang Xiang, Liu Erdong, Zong Yali, Yu Wenlong, Jiang Youhai, Chen Jianan, Gu Mingye, Meng Zhengyuan, Li Jingfeng, Liu Yang, Zhang Yongjie, Tang Jing, Wang Hongyang, Fu Jing

机构信息

International Cooperation Laboratory on Signal Transduction, National Center for Liver Cancer, Ministry of Education Key Laboratory on Signaling Regulation and Targeting Therapy of Liver Cancer, Shanghai Key Laboratory of Hepato-Biliary Tumor Biology, Eastern Hepatobiliary Surgery Hospital, Naval Medical University, Shanghai, 200438, China.

Second Department of Biliary Surgery, Eastern Hepatobiliary Surgery Hospital, Naval Medical University, Shanghai, 200438, China.

出版信息

J Hematol Oncol. 2025 Jun 23;18(1):66. doi: 10.1186/s13045-025-01716-z.

Abstract

BACKGROUND

Cholangiocarcinoma (CCA) is a highly heterogeneous malignancy, primarily comprising intrahepatic (iCCA) and extrahepatic (eCCA) subtypes. Reconciling the variability between iCCAs and eCCAs in clinical trials remains a challenge, largely due to the inadequate understanding of their shared and subtype-specific cellular heterogeneity. We aim to address this issue using single-cell and spatially resolved transcriptomic approaches.

METHODS

We performed comprehensive single-cell RNA sequencing (scRNA-seq) by profiling 109,071 single cells from 28 samples, including chronic biliary inflammatory conditions (n = 7) and CCAs from different anatomical sites (n = 21). Findings were validated using external multi-omics datasets, tissue microarray cohort, spatial RNA in situ sequencing, CCA patient-derived organoids (PDOs), and mouse models.

RESULTS

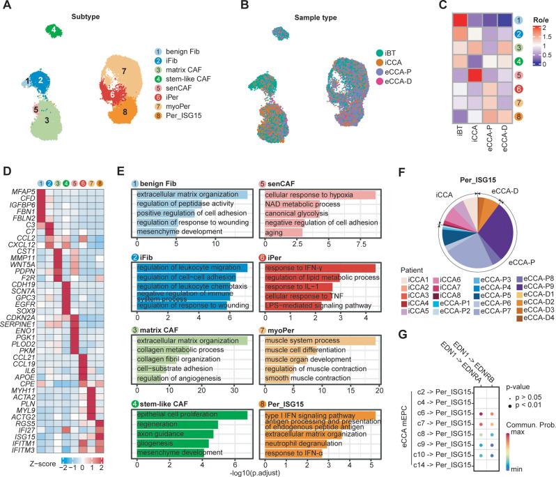
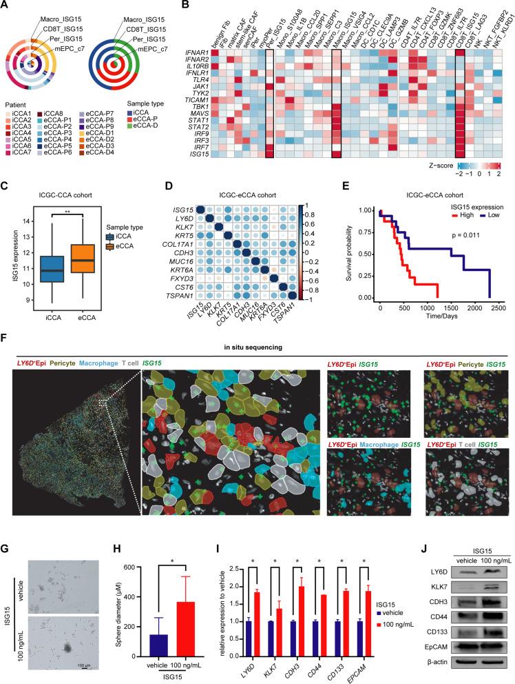
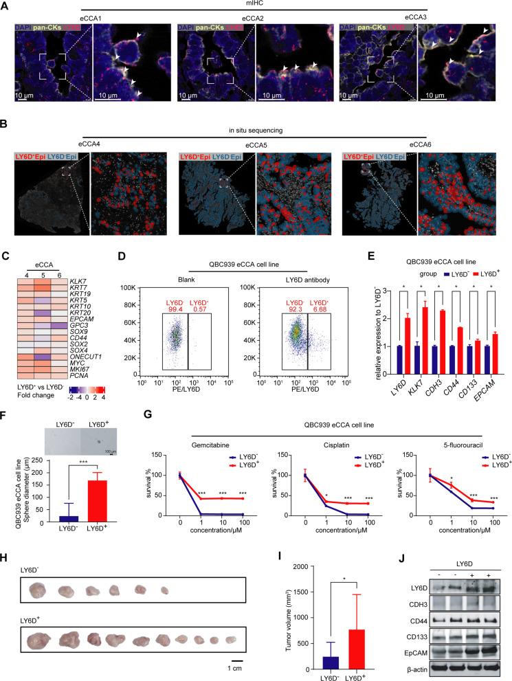
iCCAs and eCCAs exhibited distinct tumor ecosystems, with notable differences in cellular composition, diversity, and abundance across various cell types. Non-malignant epithelial cells displayed divergent precancer hallmarks from different biliary sites, with inflammatory extrahepatic bile ducts exhibiting early hijacking of the gastrointestinal metaplastic process. We identified seven meta-programs within cancer cells, mapped into four major subtypes. This subtyping was validated using external CCA cohorts and PDO models, distinguishing patients based on clinical outcomes and drug vulnerabilities. Specifically, iCCAs were associated with a senescent program, while eCCAs were enriched in an IFN-responsive program linked to adverse clinical outcomes and increased drug resistance. We identified a basal-like LY6D cancer cell subpopulation specific to eCCAs, which displayed significant stemness, drug resistance, and IFN-responsive features. This subpopulation was closely associated with an interferon-stimulated gene 15 (ISG15)-enriched mesenchymal and immune microenvironment. Functional assays demonstrated that ISG15 stimulation significantly boosted stemness, basal-like features, and drug resistance in eCCA cells, highlighting its pivotal role in sustaining the LY6D progenitor niches.

CONCLUSION

We present a comprehensive single-cell landscape of CCAs, uncovering the molecular heterogeneity between iCCA and eCCA subtypes. Transcriptomic subtyping of CCA cancer cells offers implications for clinical stratification and functional precision oncology. We identify basal-like epithelial progenitors and characterize their associated ISG15-enriched microenvironment in eCCAs. These findings hold significant promise for the development of novel prognostic biomarkers, therapeutic targets, and treatment strategies for CCAs.

摘要

背景

胆管癌(CCA)是一种高度异质性的恶性肿瘤,主要包括肝内胆管癌(iCCA)和肝外胆管癌(eCCA)亚型。在临床试验中协调iCCA和eCCA之间的变异性仍然是一项挑战,这主要是由于对它们共同的和亚型特异性的细胞异质性了解不足。我们旨在使用单细胞和空间分辨转录组学方法来解决这个问题。

方法

我们通过对来自28个样本的109,071个单细胞进行分析,包括慢性胆道炎症性疾病(n = 7)和来自不同解剖部位的CCA(n = 21),进行了全面的单细胞RNA测序(scRNA-seq)。研究结果使用外部多组学数据集、组织微阵列队列、空间RNA原位测序、CCA患者来源的类器官(PDO)和小鼠模型进行了验证。

结果

iCCA和eCCA表现出不同的肿瘤生态系统,在各种细胞类型的细胞组成、多样性和丰度方面存在显著差异。非恶性上皮细胞显示出来自不同胆管部位的不同癌前特征,炎症性肝外胆管表现出对胃肠化生过程的早期劫持。我们在癌细胞中鉴定出七个元程序,分为四个主要亚型。这种亚型分类使用外部CCA队列和PDO模型进行了验证,根据临床结果和药物敏感性区分患者。具体而言,iCCA与衰老程序相关,而eCCA在与不良临床结果和耐药性增加相关的IFN反应程序中富集。我们鉴定出一种eCCA特有的基底样LY6D癌细胞亚群,其表现出显著的干性、耐药性和IFN反应特征。该亚群与富含干扰素刺激基因15(ISG15)的间充质和免疫微环境密切相关。功能测定表明,ISG15刺激显著增强了eCCA细胞的干性、基底样特征和耐药性,突出了其在维持LY6D祖细胞生态位中的关键作用。

结论

我们展示了CCA的全面单细胞图谱,揭示了iCCA和eCCA亚型之间的分子异质性。CCA癌细胞的转录组亚型分类为临床分层和功能精准肿瘤学提供了启示。我们鉴定出基底样上皮祖细胞,并在eCCA中表征了其相关的富含ISG15的微环境。这些发现为开发CCA的新型预后生物标志物、治疗靶点和治疗策略带来了巨大希望。

https://cdn.ncbi.nlm.nih.gov/pmc/blobs/5259/12186425/474af2d63a4f/13045_2025_1716_Fig1_HTML.jpg

文献AI研究员

20分钟写一篇综述,助力文献阅读效率提升50倍。

立即体验

用中文搜PubMed

大模型驱动的PubMed中文搜索引擎

马上搜索

文档翻译

学术文献翻译模型,支持多种主流文档格式。

立即体验