• 文献检索
  • 文档翻译
  • 深度研究
  • 学术资讯
  • Suppr Zotero 插件Zotero 插件
  • 邀请有礼
  • 套餐&价格
  • 历史记录
应用&插件
Suppr Zotero 插件Zotero 插件浏览器插件Mac 客户端Windows 客户端微信小程序
定价
高级版会员购买积分包购买API积分包
服务
文献检索文档翻译深度研究API 文档MCP 服务
关于我们
关于 Suppr公司介绍联系我们用户协议隐私条款
关注我们

Suppr 超能文献

核心技术专利:CN118964589B侵权必究
粤ICP备2023148730 号-1Suppr @ 2026

文献检索

告别复杂PubMed语法,用中文像聊天一样搜索,搜遍4000万医学文献。AI智能推荐,让科研检索更轻松。

立即免费搜索

文件翻译

保留排版,准确专业,支持PDF/Word/PPT等文件格式,支持 12+语言互译。

免费翻译文档

深度研究

AI帮你快速写综述,25分钟生成高质量综述,智能提取关键信息,辅助科研写作。

立即免费体验

伴有广泛坏死的胸腺瘤:病例报告及文献综述

Thymoma with Extensive Necrosis: A Case Report and Literature Review.

作者信息

Katsumata Yuki, Suzuki Shigeki, Ishiguro Yuki, Sakamaki Hiroyuki, Kazama Akio, Asakura Keisuke

机构信息

Department of General Thoracic Surgery, Sagamihara Kyodo Hospital, Sagamihara, Kanagawa, Japan.

Division of Thoracic Surgery, Department of Surgery, Keio University School of Medicine, Tokyo, Japan.

出版信息

Surg Case Rep. 2025;11(1). doi: 10.70352/scrj.cr.25-0152. Epub 2025 Jun 18.

DOI:10.70352/scrj.cr.25-0152
PMID:40552009
原文链接:https://pmc.ncbi.nlm.nih.gov/articles/PMC12183005/
Abstract

INTRODUCTION

Thymomas are associated with necrosis and hemorrhage in approximately 5% of cases; however, cases in which necrotic tissue constitutes the majority of tumors are rare.

CASE PRESENTATION

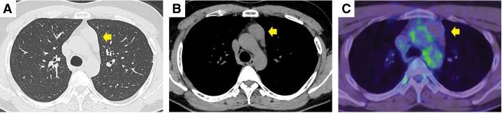
A 30-year-old man was referred to our hospital with transient anterior chest pain and a mediastinal mass detected on a health check-up. Positron emission tomography/computed tomography showed no fluorodeoxyglucose uptake, and serum and biochemical analyses revealed no elevated inflammatory responses or tumor marker levels. Based on imaging findings, thymic cysts and thymomas were considered differential diagnoses, and thoracoscopic mediastinal tumor resection was performed. The encapsulated tumor, which was adherent to the lung via the thickened pleura, was successfully resected, and a rapid diagnosis of thymoma was made. Final pathological examination confirmed a type B2 thymoma, with necrosis comprising approximately 80% of the tumor. The patient has been followed up on an outpatient basis, with no recurrence at 1 year after surgery.

CONCLUSIONS

Extensive necrosis in thymic tumors often suggests high-grade malignancy, but may also occur in necrotic thymoma with a favorable prognosis. Recognizing this possibility is essential to avoid overtreatment and guide appropriate surgical management.

摘要

引言

胸腺瘤约5%的病例伴有坏死和出血;然而,坏死组织占肿瘤大部分的病例很少见。

病例报告

一名30岁男性因健康检查时发现短暂性胸痛和纵隔肿块被转诊至我院。正电子发射断层扫描/计算机断层扫描显示无氟脱氧葡萄糖摄取,血清和生化分析显示炎症反应或肿瘤标志物水平未升高。根据影像学检查结果,胸腺囊肿和胸腺瘤被列为鉴别诊断,遂行胸腔镜纵隔肿瘤切除术。通过增厚的胸膜与肺粘连的包膜肿瘤被成功切除,并快速诊断为胸腺瘤。最终病理检查证实为B2型胸腺瘤,坏死约占肿瘤的80%。患者一直在门诊随访,术后1年无复发。

结论

胸腺肿瘤广泛坏死常提示高级别恶性,但也可能发生在预后良好的坏死性胸腺瘤中。认识到这种可能性对于避免过度治疗和指导适当的手术管理至关重要。

https://cdn.ncbi.nlm.nih.gov/pmc/blobs/6dcd/12183005/b575cbed16e9/scr-11-01-25-0152-g005.jpg
https://cdn.ncbi.nlm.nih.gov/pmc/blobs/6dcd/12183005/6a6815e3a4fe/scr-11-01-25-0152-g001.jpg
https://cdn.ncbi.nlm.nih.gov/pmc/blobs/6dcd/12183005/71e0ec22f27b/scr-11-01-25-0152-g002.jpg
https://cdn.ncbi.nlm.nih.gov/pmc/blobs/6dcd/12183005/5f4e74f8ed55/scr-11-01-25-0152-g003.jpg
https://cdn.ncbi.nlm.nih.gov/pmc/blobs/6dcd/12183005/32d944c19528/scr-11-01-25-0152-g004.jpg
https://cdn.ncbi.nlm.nih.gov/pmc/blobs/6dcd/12183005/b575cbed16e9/scr-11-01-25-0152-g005.jpg
https://cdn.ncbi.nlm.nih.gov/pmc/blobs/6dcd/12183005/6a6815e3a4fe/scr-11-01-25-0152-g001.jpg
https://cdn.ncbi.nlm.nih.gov/pmc/blobs/6dcd/12183005/71e0ec22f27b/scr-11-01-25-0152-g002.jpg
https://cdn.ncbi.nlm.nih.gov/pmc/blobs/6dcd/12183005/5f4e74f8ed55/scr-11-01-25-0152-g003.jpg
https://cdn.ncbi.nlm.nih.gov/pmc/blobs/6dcd/12183005/32d944c19528/scr-11-01-25-0152-g004.jpg
https://cdn.ncbi.nlm.nih.gov/pmc/blobs/6dcd/12183005/b575cbed16e9/scr-11-01-25-0152-g005.jpg

相似文献

1
Thymoma with Extensive Necrosis: A Case Report and Literature Review.伴有广泛坏死的胸腺瘤:病例报告及文献综述
Surg Case Rep. 2025;11(1). doi: 10.70352/scrj.cr.25-0152. Epub 2025 Jun 18.
2
Effect of testing for cancer on cancer- or venous thromboembolism (VTE)-related mortality and morbidity in people with unprovoked VTE.不明原因静脉血栓栓塞症(VTE)患者中,检测癌症对癌症或静脉血栓栓塞症(VTE)相关死亡率和发病率的影响。
Cochrane Database Syst Rev. 2021 Oct 1;10(10):CD010837. doi: 10.1002/14651858.CD010837.pub5.
3
The effectiveness and cost-effectiveness of carmustine implants and temozolomide for the treatment of newly diagnosed high-grade glioma: a systematic review and economic evaluation.卡莫司汀植入剂与替莫唑胺治疗新诊断的高级别胶质瘤的有效性和成本效益:一项系统评价与经济学评估
Health Technol Assess. 2007 Nov;11(45):iii-iv, ix-221. doi: 10.3310/hta11450.
4
Effect of testing for cancer on cancer- and venous thromboembolism (VTE)-related mortality and morbidity in people with unprovoked VTE.对无诱因静脉血栓栓塞症(VTE)患者进行癌症检测对癌症及VTE相关死亡率和发病率的影响。
Cochrane Database Syst Rev. 2017 Aug 23;8(8):CD010837. doi: 10.1002/14651858.CD010837.pub3.
5
Necrotic Thymoma Discovered Due to Subjective Symptoms: A Report of Three Cases.因主观症状发现的坏死性胸腺瘤:三例报告
Surg Case Rep. 2025;11(1). doi: 10.70352/scrj.cr.25-0216. Epub 2025 Jun 18.
6
Systemic pharmacological treatments for chronic plaque psoriasis: a network meta-analysis.慢性斑块状银屑病的全身药理学治疗:一项网状荟萃分析。
Cochrane Database Syst Rev. 2017 Dec 22;12(12):CD011535. doi: 10.1002/14651858.CD011535.pub2.
7
Single-incision sling operations for urinary incontinence in women.女性尿失禁的单切口吊带手术
Cochrane Database Syst Rev. 2017 Jul 26;7(7):CD008709. doi: 10.1002/14651858.CD008709.pub3.
8
Systemic pharmacological treatments for chronic plaque psoriasis: a network meta-analysis.系统性药理学治疗慢性斑块状银屑病:网络荟萃分析。
Cochrane Database Syst Rev. 2021 Apr 19;4(4):CD011535. doi: 10.1002/14651858.CD011535.pub4.
9
Signs and symptoms to determine if a patient presenting in primary care or hospital outpatient settings has COVID-19.在基层医疗机构或医院门诊环境中,如果患者出现以下症状和体征,可判断其是否患有 COVID-19。
Cochrane Database Syst Rev. 2022 May 20;5(5):CD013665. doi: 10.1002/14651858.CD013665.pub3.
10
Home treatment for mental health problems: a systematic review.心理健康问题的居家治疗:一项系统综述
Health Technol Assess. 2001;5(15):1-139. doi: 10.3310/hta5150.

本文引用的文献

1
[Necrotic Thymoma;Report of a Case].[坏死性胸腺瘤;一例报告]
Kyobu Geka. 2020 Mar;73(3):233-235.
2
Tissue necrosis and its role in cancer progression.组织坏死及其在癌症进展中的作用。
Oncogene. 2019 Mar;38(11):1920-1935. doi: 10.1038/s41388-018-0555-y. Epub 2018 Nov 2.
3
The 2015 World Health Organization Classification of Tumors of the Thymus: Continuity and Changes.《2015年世界卫生组织胸腺肿瘤分类:延续性与变化》
J Thorac Oncol. 2015 Oct;10(10):1383-95. doi: 10.1097/JTO.0000000000000654.
4
[Thymoma with extensive coagulative necrosis and high serum level of CYFRA 21-1; report of a case].[伴有广泛凝固性坏死及高血清CYFRA 21-1水平的胸腺瘤;一例报告]
Kyobu Geka. 2014 Dec;67(13):1205-7.
5
Is (18)F-FDG PET useful in predicting the WHO grade of malignancy in thymic epithelial tumors? A meta-analysis.(18)F-FDG PET 在预测胸腺上皮肿瘤的世界卫生组织恶性肿瘤分级方面是否有用?一项荟萃分析。
Lung Cancer. 2014 Oct;86(1):5-13. doi: 10.1016/j.lungcan.2014.08.008. Epub 2014 Aug 18.
6
The utility of [18F]-fluorodeoxyglucose positron emission tomography-computed tomography in thymic epithelial tumours.[18F]-氟代脱氧葡萄糖正电子发射断层扫描-计算机断层扫描在胸腺瘤中的应用。
Eur J Cardiothorac Surg. 2012 Dec;42(6):e152-6. doi: 10.1093/ejcts/ezs527. Epub 2012 Sep 28.
7
The prognostic value of histological tumor necrosis in solid organ malignant disease: a systematic review.实体器官恶性疾病组织学肿瘤坏死的预后价值:系统评价。
Future Oncol. 2011 Oct;7(10):1223-35. doi: 10.2217/fon.11.99.
8
Association of tumor necrosis with pathological features and clinical outcome in 754 patients undergoing radical nephroureterectomy for upper tract urothelial carcinoma: an international validation study.在 754 例行根治性肾输尿管切除术的上尿路上皮癌患者中,肿瘤坏死与病理特征和临床结局的关系:一项国际验证研究。
J Urol. 2010 Nov;184(5):1895-900. doi: 10.1016/j.juro.2010.06.106. Epub 2010 Sep 17.
9
Spontaneous regression of symptomatic thymoma caused by infarction.由梗死引起的有症状胸腺瘤的自发消退。
Gen Thorac Cardiovasc Surg. 2008 Sep;56(9):468-71. doi: 10.1007/s11748-008-0277-0. Epub 2008 Sep 13.
10
Pleomorphic carcinoma of the lung: clinicopathologic characteristics of 70 cases.肺多形性癌:70例临床病理特征
Am J Surg Pathol. 2008 Nov;32(11):1727-35. doi: 10.1097/PAS.0b013e3181804302.