• 文献检索
  • 文档翻译
  • 深度研究
  • 学术资讯
  • Suppr Zotero 插件Zotero 插件
  • 邀请有礼
  • 套餐&价格
  • 历史记录
应用&插件
Suppr Zotero 插件Zotero 插件浏览器插件Mac 客户端Windows 客户端微信小程序
定价
高级版会员购买积分包购买API积分包
服务
文献检索文档翻译深度研究API 文档MCP 服务
关于我们
关于 Suppr公司介绍联系我们用户协议隐私条款
关注我们

Suppr 超能文献

核心技术专利:CN118964589B侵权必究
粤ICP备2023148730 号-1Suppr @ 2026

文献检索

告别复杂PubMed语法,用中文像聊天一样搜索,搜遍4000万医学文献。AI智能推荐,让科研检索更轻松。

立即免费搜索

文件翻译

保留排版,准确专业,支持PDF/Word/PPT等文件格式,支持 12+语言互译。

免费翻译文档

深度研究

AI帮你快速写综述,25分钟生成高质量综述,智能提取关键信息,辅助科研写作。

立即免费体验

努克管包虫性鞘膜积液——成年女性腹股沟肿胀的罕见原因:一例报告

Encysted hydrocele of the canal of Nuck- A rare cause of inguinal swelling in an adult female: A case report.

作者信息

Maharjan Suresh, Shrestha Samrat, Gimire Sabin K, Rijal Deepika, Pandey Sumendra Raj

机构信息

National Academy of Medical Sciences, NAMS, Bir Hospital, Department of General Surgery, Kathmandu, Nepal.

National Academy of Medical Sciences, NAMS, Bir Hospital, Department of General Surgery, Kathmandu, Nepal.

出版信息

Int J Surg Case Rep. 2025 Aug;133:111562. doi: 10.1016/j.ijscr.2025.111562. Epub 2025 Jun 24.

DOI:10.1016/j.ijscr.2025.111562
PMID:40580897
原文链接:https://pmc.ncbi.nlm.nih.gov/articles/PMC12269877/
Abstract

INTRODUCTION AND IMPORTANCE

Hydrocele of the canal of Nuck, a rare developmental anomaly caused by incomplete obliteration of the processus vaginalis, mimics male spermatic cord hydrocele. Its adult presentation remains underrecognized, often misdiagnosed as inguinal hernia or cysts.

CASE DISCUSSION

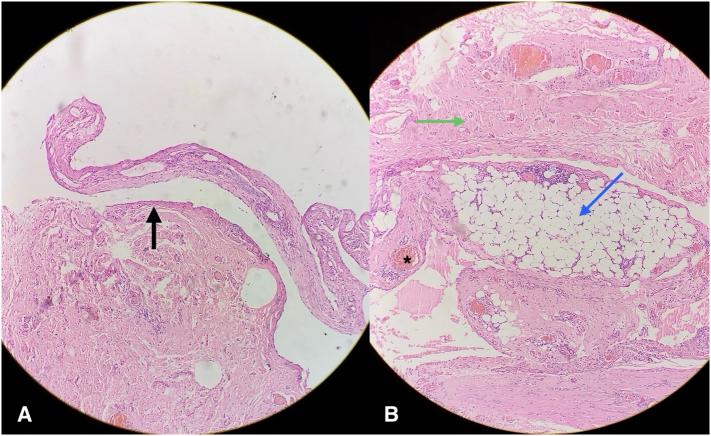
A 23-year-old woman presented with a 2-month history of painless right inguinal swelling. Ultrasonography and contrast-enhanced CT demonstrated a non-communicating cystic lesion in the canal of Nuck, confirmed surgically as an encysted hydrocele adjacent to the round ligament. Histopathology corroborated a mesothelial-lined cyst. Open excision with high ligation was performed, achieving complete resolution without recurrence at 6 months.

DISCUSSION

Hydrocele of the canal of Nuck (incidence: 0.76 % in young females of age < 12 years), presents as painless inguinal swelling. Embryologically, failed closure creates a cystic space, often encysted (non-communicating), mimicking spermatic cord hydroceles. Ultrasound identifies anechoic lesions; MRI/CT clarifies ambiguous cases. Though 33 % associate with hernias, this case lacked one, emphasizing diagnostic vigilance. Surgical excision with high ligation is definitive; laparoscopy, while advantageous, risks complications, favoring open approaches in non-communicating types.

CONCLUSION

Encysted canal of Nuck hydrocele, though rare in adults, should be considered in women with inguinal swelling. Diagnosis relies on ultrasonography and CT, and definitive treatment is achieved with open excision and high ligation.

摘要

引言与重要性

努克管鞘膜积液是一种由鞘状突未完全闭锁引起的罕见发育异常,酷似男性精索鞘膜积液。其在成人中的表现仍未得到充分认识,常被误诊为腹股沟疝或囊肿。

病例讨论

一名23岁女性,有无痛性右侧腹股沟肿胀2个月病史。超声检查和增强CT显示努克管内有一个不与腹腔相通的囊性病变,手术证实为与圆韧带相邻的包囊性鞘膜积液。组织病理学证实为间皮内衬囊肿。进行了开放切除并高位结扎,6个月时完全消退且无复发。

讨论

努克管鞘膜积液(发病率:在12岁以下年轻女性中为0.76%)表现为无痛性腹股沟肿胀。从胚胎学角度来看,闭合失败会形成一个囊性腔隙,通常为包囊性(不与腹腔相通),类似于精索鞘膜积液。超声可识别无回声病变;MRI/CT可明确疑难病例。虽然33%的病例与疝有关,但该病例并无疝,强调了诊断时需保持警惕。手术切除并高位结扎是确定性治疗方法;腹腔镜手术虽有优势,但有并发症风险,对于不与腹腔相通型更倾向于开放手术方式。

结论

包囊性努克管鞘膜积液在成人中虽罕见,但对于有腹股沟肿胀的女性应予以考虑。诊断依赖于超声检查和CT,确定性治疗通过开放切除和高位结扎实现。

https://cdn.ncbi.nlm.nih.gov/pmc/blobs/f4d0/12269877/fe0bdab44617/gr3.jpg
https://cdn.ncbi.nlm.nih.gov/pmc/blobs/f4d0/12269877/09ad241d796a/gr1.jpg
https://cdn.ncbi.nlm.nih.gov/pmc/blobs/f4d0/12269877/4a89dcef010b/gr2.jpg
https://cdn.ncbi.nlm.nih.gov/pmc/blobs/f4d0/12269877/fe0bdab44617/gr3.jpg
https://cdn.ncbi.nlm.nih.gov/pmc/blobs/f4d0/12269877/09ad241d796a/gr1.jpg
https://cdn.ncbi.nlm.nih.gov/pmc/blobs/f4d0/12269877/4a89dcef010b/gr2.jpg
https://cdn.ncbi.nlm.nih.gov/pmc/blobs/f4d0/12269877/fe0bdab44617/gr3.jpg

相似文献

1
Encysted hydrocele of the canal of Nuck- A rare cause of inguinal swelling in an adult female: A case report.努克管包虫性鞘膜积液——成年女性腹股沟肿胀的罕见原因:一例报告
Int J Surg Case Rep. 2025 Aug;133:111562. doi: 10.1016/j.ijscr.2025.111562. Epub 2025 Jun 24.
2
Encysted hydrocele of the canal of Nuck in a 7-year-old female: A case report.7岁女童努克管囊肿性鞘膜积液:病例报告
Radiol Case Rep. 2025 Jul 22;20(10):5070-5073. doi: 10.1016/j.radcr.2025.06.102. eCollection 2025 Oct.
3
Canal of Nuck cyst in adulthood: A rare differential for inguinal masses - A case report.成人努克管囊肿:腹股沟肿块的一种罕见鉴别诊断——病例报告
Int J Surg Case Rep. 2025 Aug;133:111568. doi: 10.1016/j.ijscr.2025.111568. Epub 2025 Jun 26.
4
Hydrocele of the Canal of Nuck (Female Hydrocele): A Rare Differential for Inguino-Labial Swelling.努克管鞘膜积液(女性鞘膜积液):腹股沟阴唇肿胀的一种罕见鉴别诊断。
J Clin Diagn Res. 2016 Feb;10(2):PD21-2. doi: 10.7860/JCDR/2016/16710.7284. Epub 2016 Feb 1.
5
Encysted spermatic cord hydrocele: A case series.精索囊肿型鞘膜积液:病例系列
Int J Surg Case Rep. 2024 May;118:109619. doi: 10.1016/j.ijscr.2024.109619. Epub 2024 Apr 6.
6
Hydrocele of the Canal of Nuck: A report of five cases.努克管鞘膜积液:5例报告
Int J Surg Case Rep. 2023 Oct 27;112:108993. doi: 10.1016/j.ijscr.2023.108993.
7
Hydrocele of the Canal of Nuck in an Adult Woman: A Rare Cause of Inguinal Swelling.成年女性努克管水囊肿:腹股沟肿胀的罕见原因
Cureus. 2025 Jan 19;17(1):e77682. doi: 10.7759/cureus.77682. eCollection 2025 Jan.
8
A Case Report of Female Hydrocele of the Canal of Nuck (Type I): A Diagnostic Challenge and Surgical Solution.女性努克管鞘膜积液(I型)病例报告:诊断挑战与手术解决方案
Cureus. 2023 Oct 29;15(10):e47926. doi: 10.7759/cureus.47926. eCollection 2023 Oct.
9
Canal of Nuck hydrocele in elderly female with cirrhosis: A case report and review of literature.老年肝硬化女性患者的努克管鞘膜积液:一例病例报告及文献复习
Med J Armed Forces India. 2024 Dec;80(Suppl 1):S292-S296. doi: 10.1016/j.mjafi.2023.04.009. Epub 2023 Jun 27.
10
The Rarest Variant Type Of Groin Cystic Mass In Adult Female: Encysted Hydrocele Canal Of Nuck.成年女性腹股沟囊性肿物最罕见的变异类型:努克管鞘膜积液
Int J Surg Case Rep. 2023 Mar;104:107921. doi: 10.1016/j.ijscr.2023.107921. Epub 2023 Feb 14.

本文引用的文献

1
Hydrocele of the Canal of Nuck: A report of five cases.努克管鞘膜积液:5例报告
Int J Surg Case Rep. 2023 Oct 27;112:108993. doi: 10.1016/j.ijscr.2023.108993.
2
Cyst of the Canal of Nuck: a case report.努克管囊肿:一例报告。
J Surg Case Rep. 2024 May 31;2024(5):rjae374. doi: 10.1093/jscr/rjae374. eCollection 2024 May.
3
Hydrocele of the canal of Nuck: a rare differential diagnosis for an inguinal hernia.努克管水囊肿:腹股沟疝的一种罕见鉴别诊断。
J Ultrason. 2024 Feb 27;24(96):20240007. doi: 10.15557/jou.2024.0007. eCollection 2024 Feb.
4
The Cyst of the Canal of Nuck: Anatomy, Diagnostic and Treatment of a Very Rare Diagnosis-A Case Report of an Adult Woman and Narrative Review of the Literature.努克管囊肿:解剖、诊断和治疗非常罕见的诊断——一例成年女性病例报告及文献回顾。
Medicina (Kaunas). 2022 Sep 27;58(10):1353. doi: 10.3390/medicina58101353.
5
Hydrocele of the Canal of Nuck: A Review.努克管鞘膜积液:综述
Cureus. 2022 Apr 2;14(4):e23757. doi: 10.7759/cureus.23757. eCollection 2022 Apr.
6
Hydroceles of the Canal of Nuck in Adults-Diagnostic, Treatment and Results of a Rare Condition in Females.成人努克管水囊肿——女性罕见病症的诊断、治疗及结果
J Clin Med. 2020 Dec 12;9(12):4026. doi: 10.3390/jcm9124026.
7
Cyst of the Canal of Nuck in adult females: A case report and systematic review.成年女性努克管囊肿:一例报告及系统综述
Biomed Rep. 2020 Jun;12(6):333-338. doi: 10.3892/br.2020.1295. Epub 2020 Mar 27.
8
Canal of Nuck hydrocele in an adult female.成年女性的努克管鞘膜积液
Urol Case Rep. 2019 Jan 9;23:67-68. doi: 10.1016/j.eucr.2019.01.004. eCollection 2019 Mar.
9
Hydrocele in the Canal of Nuck - CT appearance of a developmental groin anomaly.努克管鞘膜积液——发育性腹股沟异常的CT表现
J Radiol Case Rep. 2016 Nov 30;10(11):29-33. doi: 10.3941/jrcr.v10i11.2521. eCollection 2016 Nov.
10
A cautionary approach to adult female groin swelling: hydrocoele of the canal of Nuck with a review of the literature.对成年女性腹股沟肿胀的谨慎处理方法:努克管水囊肿并文献综述
BMJ Case Rep. 2016 Mar 17;2016:bcr2015212547. doi: 10.1136/bcr-2015-212547.