Suppr超能文献

喉神经内分泌癌:当前文献综述与病例分析

Neuroendocrine carcinomas of the larynx: a review of current literature and case analysis.

作者信息

Raponi Ingrid, Moi Rossana, Perfetti Alessandra, Palma Angela, Giacinti Silvana, Battista Michele, Alò Piero Luigi, Nisticò Cecilia, Marzetti Andrea

机构信息

Department of Otolaryngology Head and Neck Surgery, Fabrizio Spaziani Hospital, 03100 Frosinone, Italy.

Department of Pathology, F. Spaziani Hospital, 03100 Frosinone, Italy.

出版信息

J Surg Case Rep. 2025 Jun 24;2025(6):rjaf410. doi: 10.1093/jscr/rjaf410. eCollection 2025 Jun.

Abstract

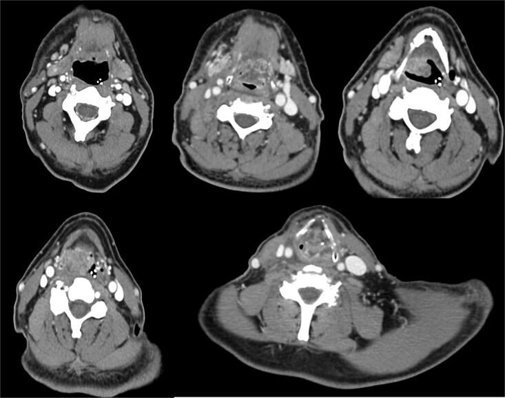
Neuroendocrine carcinomas (NECs) of the larynx are rare malignancies with aggressive behavior, histopathological diversity, and poor prognosis. Their management remains challenging due to limited case reports and the lack of standardized treatment guidelines. We conducted a comprehensive literature review to summarize classification, diagnosis, and treatment approaches for laryngeal NECs. Additionally, we present a representative case of a 64-year-old male patient diagnosed with large cell NEC of the larynx, treated with surgical resection and adjuvant radiotherapy, with long-term follow-up. Laryngeal NECs require a multidisciplinary approach, and treatment should be tailored based on tumor grade, stage, and histopathological subtype. Advances in molecular profiling and targeted therapies may improve patient outcomes in the future. Due to their rarity, further prospective studies and international collaborations are needed to establish evidence-based treatment guidelines.

摘要

喉神经内分泌癌(NECs)是一种罕见的恶性肿瘤,具有侵袭性、组织病理学多样性和预后不良的特点。由于病例报告有限且缺乏标准化治疗指南,其治疗仍然具有挑战性。我们进行了一项全面的文献综述,以总结喉NECs的分类、诊断和治疗方法。此外,我们还介绍了一例64岁男性患者的典型病例,该患者被诊断为喉大细胞NEC,接受了手术切除和辅助放疗,并进行了长期随访。喉NECs需要多学科方法,治疗应根据肿瘤分级、分期和组织病理学亚型进行个体化定制。分子谱分析和靶向治疗的进展可能会在未来改善患者的治疗效果。由于其罕见性,需要进一步的前瞻性研究和国际合作来建立基于证据的治疗指南。

https://cdn.ncbi.nlm.nih.gov/pmc/blobs/6a52/12206084/97c32bb6c7ad/rjaf410f1.jpg

文献AI研究员

20分钟写一篇综述,助力文献阅读效率提升50倍。

立即体验

用中文搜PubMed

大模型驱动的PubMed中文搜索引擎

马上搜索

文档翻译

学术文献翻译模型,支持多种主流文档格式。

立即体验