Suppr超能文献

与视网膜血管相关的网状纤维。

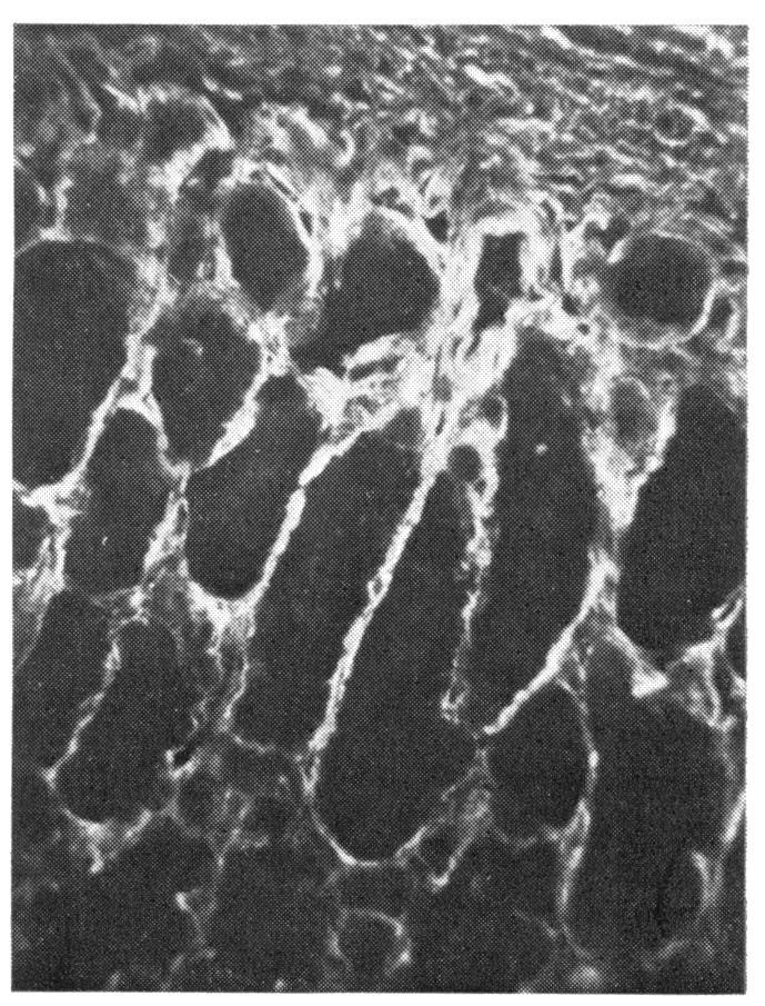
Reticulum fibres in relation to retinal vessels.

作者信息

Rahi A, Ashton N

出版信息

Br J Ophthalmol. 1977 May;61(5):339-44. doi: 10.1136/bjo.61.5.339.

Abstract

Argyrophilic perivascular and intervascular fibres in the mammalian retina are shown by specific antireticulin immunofluorescence to consist of reticulin. The possible significance of these findings is briefly discussed.

摘要

通过特异性抗网硬蛋白免疫荧光显示,哺乳动物视网膜中的嗜银性血管周围和血管间纤维由网硬蛋白组成。简要讨论了这些发现的可能意义。

https://cdn.ncbi.nlm.nih.gov/pmc/blobs/c172/1042965/00a6d45c8ec5/brjopthal00233-0040-a.jpg

文献检索

告别复杂PubMed语法,用中文像聊天一样搜索,搜遍4000万医学文献。AI智能推荐,让科研检索更轻松。

立即免费搜索

文件翻译

保留排版,准确专业,支持PDF/Word/PPT等文件格式,支持 12+语言互译。

免费翻译文档

深度研究

AI帮你快速写综述,25分钟生成高质量综述,智能提取关键信息,辅助科研写作。

立即免费体验