• 文献检索
  • 文档翻译
  • 深度研究
  • 学术资讯
  • Suppr Zotero 插件Zotero 插件
  • 邀请有礼
  • 套餐&价格
  • 历史记录
应用&插件
Suppr Zotero 插件Zotero 插件浏览器插件Mac 客户端Windows 客户端微信小程序
定价
高级版会员购买积分包购买API积分包
服务
文献检索文档翻译深度研究API 文档MCP 服务
关于我们
关于 Suppr公司介绍联系我们用户协议隐私条款
关注我们

Suppr 超能文献

核心技术专利:CN118964589B侵权必究
粤ICP备2023148730 号-1Suppr @ 2026

文献检索

告别复杂PubMed语法,用中文像聊天一样搜索,搜遍4000万医学文献。AI智能推荐,让科研检索更轻松。

立即免费搜索

文件翻译

保留排版,准确专业,支持PDF/Word/PPT等文件格式,支持 12+语言互译。

免费翻译文档

深度研究

AI帮你快速写综述,25分钟生成高质量综述,智能提取关键信息,辅助科研写作。

立即免费体验

格兰德河下游三角洲特有的霍乱弧菌分为城市和农村两种菌型。

Vibrio cholerae endemic to the lower Rio Grande Delta segregate into urban and rural phylotypes.

作者信息

Provenzano Daniele, Turner Jeffrey W, Duran-Gonzalez Jorge, Laughlin David A, Kitaoka Maya, Unterweger Daniel, Silva David, Trevino Viviana, Gonzales Miguel F, Ermolinsky Boris, Pukatzki Stefan

机构信息

School of Integrative Biological and Chemical Sciences, University of Texas Rio Grande Valley, One West University Blvd., Brownsville, TX, 78520, USA.

Department of Life Sciences, Texas A&M Corpus Christi, 300 Ocean Dr., Corpus Christi, TX, 78412, USA.

出版信息

Sci Rep. 2025 Jul 2;15(1):23430. doi: 10.1038/s41598-025-04734-6.

DOI:10.1038/s41598-025-04734-6
PMID:40603335
原文链接:https://pmc.ncbi.nlm.nih.gov/articles/PMC12222903/
Abstract

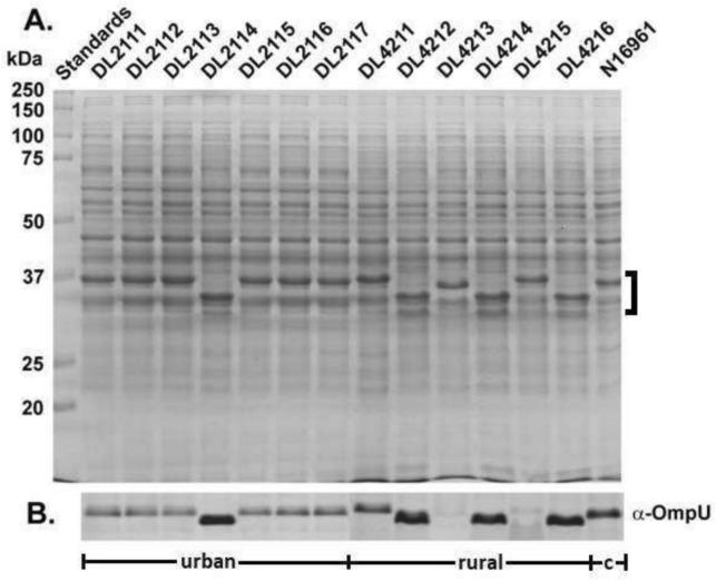
The lifestyle of Vibrio cholerae is primarily environmental, yet a chance encounter with a human host can lead to cholera, a potentially lethal form of diarrhea. Strains belonging to O1 and O139 serogroups have pandemic potential, but the contribution of non-O1/non-O139 serovars towards the genesis of cholera remains unclear. Endemic V. cholerae lineages were investigated given several historical accounts describing cholera epidemics and sporadic, contemporary cholera-like outbreaks along the lower Rio Grande Delta (LRGD). Seven isolates were recovered from an urban segment of the Rio Grande and six from a rural segment where the river empties into the Gulf of Mexico. Urban isolates all encode ß-lactamase, and with one exception are phylogenetically closely related, rough (do not express O-antigen), harbor identical plasmids, exhibit a disabled Type VI Secretion System (T6SS), and decreased protease activity. In contrast, rural strains belong to distinct serogroups, are sensitive to ß-lactams, express proteases, and kill Escherichia coli in T6SS competition assays. Genome-scale phylogenetics and multilocus sequence typing indicate that urban and rural isolates belong to distinct and novel phylogroups. These results suggest that an urban niche heavily impacted by anthropogenic pressures and a downstream protected rural niche are inhabited by distinct V. cholerae phylotypes.

摘要

霍乱弧菌主要生活在环境中,但偶然接触人类宿主可能会导致霍乱,这是一种潜在致命的腹泻形式。属于O1和O139血清群的菌株具有大流行潜力,但非O1/非O139血清型对霍乱起源的贡献仍不清楚。鉴于有几份历史记录描述了沿里奥格兰德河下游三角洲(LRGD)的霍乱疫情以及零星的、当代类似霍乱的疫情爆发,对地方性霍乱弧菌谱系进行了调查。从里奥格兰德河的一个城市区域分离出7株菌株,从该河流入墨西哥湾的一个农村区域分离出6株菌株。城市分离株均编码β-内酰胺酶,除一株外,在系统发育上密切相关,粗糙(不表达O抗原),携带相同的质粒,表现出失活的VI型分泌系统(T6SS),且蛋白酶活性降低。相比之下,农村菌株属于不同的血清群,对β-内酰胺敏感,表达蛋白酶,并且在T6SS竞争试验中能杀死大肠杆菌。全基因组系统发育分析和多位点序列分型表明,城市和农村分离株属于不同的新型系统发育群。这些结果表明,受人为压力严重影响的城市生态位和下游受保护的农村生态位中栖息着不同的霍乱弧菌系统发育型。

https://cdn.ncbi.nlm.nih.gov/pmc/blobs/df7c/12222903/abbf5df59297/41598_2025_4734_Fig7_HTML.jpg
https://cdn.ncbi.nlm.nih.gov/pmc/blobs/df7c/12222903/b53f74bd613c/41598_2025_4734_Fig1_HTML.jpg
https://cdn.ncbi.nlm.nih.gov/pmc/blobs/df7c/12222903/d3b0b87e5cfb/41598_2025_4734_Fig2_HTML.jpg
https://cdn.ncbi.nlm.nih.gov/pmc/blobs/df7c/12222903/1da7b157ec98/41598_2025_4734_Fig3_HTML.jpg
https://cdn.ncbi.nlm.nih.gov/pmc/blobs/df7c/12222903/423e0180b95a/41598_2025_4734_Fig4_HTML.jpg
https://cdn.ncbi.nlm.nih.gov/pmc/blobs/df7c/12222903/8580c8e21ccc/41598_2025_4734_Fig5_HTML.jpg
https://cdn.ncbi.nlm.nih.gov/pmc/blobs/df7c/12222903/b7d267795d62/41598_2025_4734_Fig6_HTML.jpg
https://cdn.ncbi.nlm.nih.gov/pmc/blobs/df7c/12222903/abbf5df59297/41598_2025_4734_Fig7_HTML.jpg
https://cdn.ncbi.nlm.nih.gov/pmc/blobs/df7c/12222903/b53f74bd613c/41598_2025_4734_Fig1_HTML.jpg
https://cdn.ncbi.nlm.nih.gov/pmc/blobs/df7c/12222903/d3b0b87e5cfb/41598_2025_4734_Fig2_HTML.jpg
https://cdn.ncbi.nlm.nih.gov/pmc/blobs/df7c/12222903/1da7b157ec98/41598_2025_4734_Fig3_HTML.jpg
https://cdn.ncbi.nlm.nih.gov/pmc/blobs/df7c/12222903/423e0180b95a/41598_2025_4734_Fig4_HTML.jpg
https://cdn.ncbi.nlm.nih.gov/pmc/blobs/df7c/12222903/8580c8e21ccc/41598_2025_4734_Fig5_HTML.jpg
https://cdn.ncbi.nlm.nih.gov/pmc/blobs/df7c/12222903/b7d267795d62/41598_2025_4734_Fig6_HTML.jpg
https://cdn.ncbi.nlm.nih.gov/pmc/blobs/df7c/12222903/abbf5df59297/41598_2025_4734_Fig7_HTML.jpg

相似文献

1
Vibrio cholerae endemic to the lower Rio Grande Delta segregate into urban and rural phylotypes.格兰德河下游三角洲特有的霍乱弧菌分为城市和农村两种菌型。
Sci Rep. 2025 Jul 2;15(1):23430. doi: 10.1038/s41598-025-04734-6.
2
Emerging antibiotic resistance in Vibrio cholerae: a study of cholera prevalence and resistance patterns in Zambia's Copperbelt Province.霍乱弧菌新出现的抗生素耐药性:赞比亚铜带省霍乱流行情况及耐药模式研究
BMC Infect Dis. 2025 Jul 1;25(1):879. doi: 10.1186/s12879-025-11259-w.
3
Global status of antimicrobial resistance among environmental isolates of Vibrio cholerae O1/O139: a systematic review and meta-analysis.全球环境分离霍乱弧菌 O1/O139 对抗菌药物的耐药性现状:系统评价和荟萃分析。
Antimicrob Resist Infect Control. 2022 Apr 25;11(1):62. doi: 10.1186/s13756-022-01100-3.
4
Genomic insights into clinical non-O1/non-O139 e isolates in Japan.日本临床非O1/非O139霍乱弧菌分离株的基因组见解。
Microbiol Spectr. 2025 Aug 5;13(8):e0017525. doi: 10.1128/spectrum.00175-25. Epub 2025 Jun 24.
5
O47 associated with a cholera-like diarrheal outbreak concurrent with seasonal cholera in Bangladesh.在孟加拉国,O47与一场类似霍乱的腹泻疫情同时发生,且与季节性霍乱疫情并发。
mSphere. 2025 Apr 29;10(4):e0083124. doi: 10.1128/msphere.00831-24. Epub 2025 Apr 2.
6
Characterization and Genetic Variation of Vibrio cholerae Isolated from Clinical and Environmental Sources in Thailand.泰国临床和环境来源霍乱弧菌的特征及遗传变异
PLoS One. 2017 Jan 19;12(1):e0169324. doi: 10.1371/journal.pone.0169324. eCollection 2017.
7
Phenotypic Analysis Reveals that the 2010 Haiti Cholera Epidemic Is Linked to a Hypervirulent Strain.表型分析表明,2010年海地霍乱疫情与一种高毒力菌株有关。
Infect Immun. 2016 Aug 19;84(9):2473-81. doi: 10.1128/IAI.00189-16. Print 2016 Sep.
8
Wastewater and environmental surveillance for : a scoping review.废水与环境监测的范围界定综述
J Water Health. 2025 Jun;23(6):715-726. doi: 10.2166/wh.2025.351. Epub 2025 May 20.
9
Molecular analysis of non-O1/non-O139 Vibrio cholerae isolated from hospitalised patients in China.从中国住院患者中分离的非 O1/非 O139 霍乱弧菌的分子分析。
BMC Microbiol. 2013 Mar 4;13:52. doi: 10.1186/1471-2180-13-52.
10
A Vibrio cholerae Core Genome Multilocus Sequence Typing Scheme To Facilitate the Epidemiological Study of Cholera.一种霍乱弧菌核心基因组多位点序列分型方案,以促进霍乱的流行病学研究。
J Bacteriol. 2020 Nov 19;202(24). doi: 10.1128/JB.00086-20.

本文引用的文献

1
Global status of antimicrobial resistance among environmental isolates of Vibrio cholerae O1/O139: a systematic review and meta-analysis.全球环境分离霍乱弧菌 O1/O139 对抗菌药物的耐药性现状:系统评价和荟萃分析。
Antimicrob Resist Infect Control. 2022 Apr 25;11(1):62. doi: 10.1186/s13756-022-01100-3.
2
Cholera.霍乱。
Lancet. 2022 Apr 9;399(10333):1429-1440. doi: 10.1016/S0140-6736(22)00330-0.
3
Type VI secretion system mutations reduced competitive fitness of classical Vibrio cholerae biotype.VI 型分泌系统突变降低了经典霍乱弧菌生物型的竞争适应性。
Nat Commun. 2021 Nov 9;12(1):6457. doi: 10.1038/s41467-021-26847-y.
4
Draft Genome Sequences of 13 Vibrio cholerae Strains from the Rio Grande Delta.来自里奥格兰德三角洲的13株霍乱弧菌菌株的基因组序列草图
Microbiol Resour Announc. 2021 Jun 3;10(22):e0030821. doi: 10.1128/MRA.00308-21.
5
CARD 2020: antibiotic resistome surveillance with the comprehensive antibiotic resistance database.CARD 2020:利用综合抗生素耐药数据库进行抗生素耐药组监测。
Nucleic Acids Res. 2020 Jan 8;48(D1):D517-D525. doi: 10.1093/nar/gkz935.
6
Assessment of Antibiotic Levels, Multi-Drug Resistant Bacteria and Genetic Biomarkers in the Waters of the Rio Grande River Between the United States-Mexico Border.美国-墨西哥边境格兰德河水域抗生素水平、多重耐药细菌及基因生物标志物的评估
J Health Pollut. 2019 Aug 22;9(23):190912. doi: 10.5696/2156-9614-9.23.190912. eCollection 2019 Sep.
7
The history, genome and biology of NCTC 30: a non-pandemic Vibrio cholerae isolate from World War One.NCTC 30:来自一战的非大流行霍乱弧菌分离株的历史、基因组和生物学。
Proc Biol Sci. 2019 Apr 10;286(1900):20182025. doi: 10.1098/rspb.2018.2025.
8
Vibrio cholerae motility exerts drag force to impede attack by the bacterial predator Bdellovibrio bacteriovorus.霍乱弧菌的运动产生阻力,阻碍了细菌捕食者蛭弧菌的攻击。
Nat Commun. 2018 Nov 12;9(1):4757. doi: 10.1038/s41467-018-07245-3.
9
Accessory Toxins of Pathogens and Their Role in Epithelial Disruption During Infection.病原体的辅助毒素及其在感染过程中上皮细胞破坏中的作用。
Front Microbiol. 2018 Sep 20;9:2248. doi: 10.3389/fmicb.2018.02248. eCollection 2018.
10
Isolation and identification of Vibrio species in the Rio Bravo/Grande and water bodies from Reynosa, Tamaulipas.在塔毛利帕斯州雷诺萨市的布拉沃河/格兰德河及水体中弧菌属菌种的分离与鉴定
Lett Appl Microbiol. 2018 Aug;67(2):190-196. doi: 10.1111/lam.13009. Epub 2018 Jun 27.