Suppr超能文献

三级护理中心口腔鳞状细胞癌患者谷胱甘肽过氧化物酶1和4表达的评估:一项比较性横断面研究。

Assessment of glutathione peroxidase 1 and 4 expression in oral squamous cell carcinoma patients in a tertiary care center: A comparative cross-sectional study.

作者信息

Farooqi Sadia, Akbar Ansari Shazia, Danish Farheen, Fatima Khan Rida, Ali Muhammad Ammar, Zaman Aliya

机构信息

Department of Dentistry, Sindh Government Hospital, Karachi, Pakistan.

Department of Oral Pathology, Dow Dental College, Dow University of Health Sciences, Karachi, Pakistan.

出版信息

J Taibah Univ Med Sci. 2025 Jun 23;20(3):384-395. doi: 10.1016/j.jtumed.2025.06.003. eCollection 2025 Jun.

Abstract

BACKGROUND

Glutathione peroxidase 1 (GPX1) and GPX4 are abundant antioxidant enzymes within the cytosol in mammalian tissues. These enzymes have the capacity to scavenge free radicals, and they play roles in various cancers, especially oral squamous cell carcinoma (OSCC).

OBJECTIVES

  1. To compare the expression levels of GPX1 and GPX4 among different pathological stages for OSCC primary tumors. 2. To assess the associations of GPX1 and GPX4 expression with other independent variables (age, gender, site of lesion, laterality, histopathological grades, and lymph node involvement of OSCC tumor).

METHODS

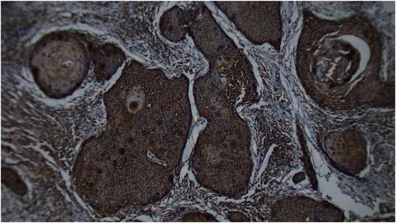
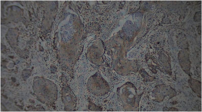
In total, 133 prospective OSCC tissue specimens were selected from Dow Diagnostic Research and Referral Laboratory of Dow University. Expression levels of GPX1 and GPX4 were evaluated by immunohistochemistry. Immunoreactive score (IRS) values were obtained using ImageJ software. The IRS values for GPX1 and GPX4 were compared according to the pathological stages of cancer and other independent variables. Data were statistically analyzed by using SPSS version 21 and STATA.

RESULTS

Among the 133 samples, GPX4 was present in all stages of oral cancer and high IRS values mostly corresponded to moderate to strong staining intensity. By contrast, GPX1 was not found in all stages of oral cancer, and low IRS values mostly corresponded to weak staining intensity. No relationships were found with other variables.

CONCLUSION

GPX4 was present in all stages of oral cancer and in all tissue samples, whereas GPX1 was not found in all cases. The IRS values for GPX1 and GPX4 had significant relationships with pathological stages of oral cancer.

摘要

背景

谷胱甘肽过氧化物酶1(GPX1)和GPX4是哺乳动物组织细胞质中丰富的抗氧化酶。这些酶具有清除自由基的能力,在各种癌症中发挥作用,尤其是口腔鳞状细胞癌(OSCC)。

目的

  1. 比较OSCC原发性肿瘤不同病理阶段中GPX1和GPX4的表达水平。2. 评估GPX1和GPX4表达与其他独立变量(OSCC肿瘤的年龄、性别、病变部位、单侧性、组织病理学分级和淋巴结受累情况)之间的关联。

方法

总共从道氏大学道氏诊断研究与转诊实验室选取了133例前瞻性OSCC组织标本。通过免疫组织化学评估GPX1和GPX4的表达水平。使用ImageJ软件获得免疫反应评分(IRS)值。根据癌症的病理阶段和其他独立变量比较GPX1和GPX4的IRS值。使用SPSS 21版和STATA对数据进行统计分析。

结果

在133个样本中,GPX4在口腔癌的所有阶段均有表达,高IRS值大多对应中等至强染色强度。相比之下,GPX1并非在口腔癌的所有阶段都能检测到,低IRS值大多对应弱染色强度。未发现与其他变量存在关联。

结论

GPX4存在于口腔癌的所有阶段和所有组织样本中,而GPX1并非在所有病例中都能检测到。GPX1和GPX4的IRS值与口腔癌的病理阶段存在显著关联。

https://cdn.ncbi.nlm.nih.gov/pmc/blobs/e157/12226132/cc4048d20731/gr1.jpg

文献AI研究员

20分钟写一篇综述,助力文献阅读效率提升50倍。

立即体验

用中文搜PubMed

大模型驱动的PubMed中文搜索引擎

马上搜索

文档翻译

学术文献翻译模型,支持多种主流文档格式。

立即体验