• 文献检索
  • 文档翻译
  • 深度研究
  • 学术资讯
  • Suppr Zotero 插件Zotero 插件
  • 邀请有礼
  • 套餐&价格
  • 历史记录
应用&插件
Suppr Zotero 插件Zotero 插件浏览器插件Mac 客户端Windows 客户端微信小程序
定价
高级版会员购买积分包购买API积分包
服务
文献检索文档翻译深度研究API 文档MCP 服务
关于我们
关于 Suppr公司介绍联系我们用户协议隐私条款
关注我们

Suppr 超能文献

核心技术专利:CN118964589B侵权必究
粤ICP备2023148730 号-1Suppr @ 2026

文献检索

告别复杂PubMed语法,用中文像聊天一样搜索,搜遍4000万医学文献。AI智能推荐,让科研检索更轻松。

立即免费搜索

文件翻译

保留排版,准确专业,支持PDF/Word/PPT等文件格式,支持 12+语言互译。

免费翻译文档

深度研究

AI帮你快速写综述,25分钟生成高质量综述,智能提取关键信息,辅助科研写作。

立即免费体验

血管瘤样为主的囊性脑膜瘤:一例报告及一组独特脑膜瘤的文献综述

Angiomatous, Predominantly Cystic Meningiomas: A Case Report and Literature Review of a Unique Group of Meningiomas.

作者信息

Romano Carmine, Schittenhelm Jens, Tatagiba Marcos, Behling Felix

机构信息

Department of Neurosurgery, San Carlo Regional Hospital, Potenza, ITA.

Department of Neuropathology, University Hospital Tübingen, Eberhard Karls University Tübingen, Tubingen, DEU.

出版信息

Cureus. 2025 Jun 7;17(6):e85513. doi: 10.7759/cureus.85513. eCollection 2025 Jun.

DOI:10.7759/cureus.85513
PMID:40625488
原文链接:https://pmc.ncbi.nlm.nih.gov/articles/PMC12233036/
Abstract

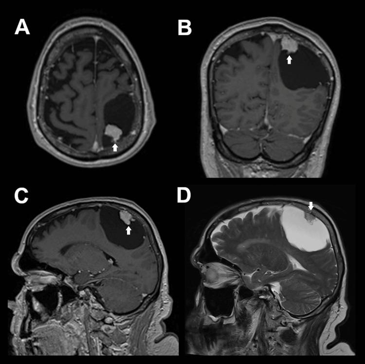
Meningiomas are the most common intracranial benign tumors. Among them, cystic angiomatous meningiomas are very rare entities, making preoperative differentiation with other tumors challenging. We present a case of parasagittal angiomatous meningioma with a large associated cyst that mimicked a hemangioblastoma on preoperative imaging. It was treated surgically. We also performed a literature review and identified a total of 10 articles in the English language, describing a few similar cases of cystic angiomatous meningiomas. Conclusions: This report of a rare case of cystic angiomatous meningioma with a unique cystic presentation on preoperative imaging adds to the scarce body of literature on the topic. Surgery is ultimately the key method to make a diagnosis and to decompress the brain parenchyma in these patients.

摘要

脑膜瘤是最常见的颅内良性肿瘤。其中,囊性血管母细胞型脑膜瘤是非常罕见的类型,术前与其他肿瘤进行鉴别具有挑战性。我们报告1例矢状窦旁血管母细胞型脑膜瘤病例,其伴有一个大的相关囊肿,术前影像学表现类似血管母细胞瘤。该病例接受了手术治疗。我们还进行了文献回顾,共检索到10篇英文文献,描述了一些类似的囊性血管母细胞型脑膜瘤病例。结论:本报告描述了1例罕见的囊性血管母细胞型脑膜瘤病例,其术前影像学表现独特,为该领域稀少的文献增添了内容。手术最终是这些患者进行诊断和减轻脑实质压迫的关键方法。

https://cdn.ncbi.nlm.nih.gov/pmc/blobs/7aa0/12233036/d87d252ebb00/cureus-0017-00000085513-i03.jpg
https://cdn.ncbi.nlm.nih.gov/pmc/blobs/7aa0/12233036/b405ad1bd378/cureus-0017-00000085513-i01.jpg
https://cdn.ncbi.nlm.nih.gov/pmc/blobs/7aa0/12233036/db1c8825d5be/cureus-0017-00000085513-i02.jpg
https://cdn.ncbi.nlm.nih.gov/pmc/blobs/7aa0/12233036/d87d252ebb00/cureus-0017-00000085513-i03.jpg
https://cdn.ncbi.nlm.nih.gov/pmc/blobs/7aa0/12233036/b405ad1bd378/cureus-0017-00000085513-i01.jpg
https://cdn.ncbi.nlm.nih.gov/pmc/blobs/7aa0/12233036/db1c8825d5be/cureus-0017-00000085513-i02.jpg
https://cdn.ncbi.nlm.nih.gov/pmc/blobs/7aa0/12233036/d87d252ebb00/cureus-0017-00000085513-i03.jpg

相似文献

1
Angiomatous, Predominantly Cystic Meningiomas: A Case Report and Literature Review of a Unique Group of Meningiomas.血管瘤样为主的囊性脑膜瘤:一例报告及一组独特脑膜瘤的文献综述
Cureus. 2025 Jun 7;17(6):e85513. doi: 10.7759/cureus.85513. eCollection 2025 Jun.
2
Radiological Differentiation Between Intracranial Meningioma and Solitary Fibrous Tumor/Hemangiopericytoma: A Systematic Literature Review.颅内脑膜瘤与孤立性纤维瘤/血管外皮细胞瘤的放射学鉴别:系统文献回顾。
World Neurosurg. 2023 Feb;170:68-83. doi: 10.1016/j.wneu.2022.11.062. Epub 2022 Nov 18.
3
Antibiotic treatment for non-tuberculous mycobacteria lung infection in people with cystic fibrosis.囊性纤维化患者非结核分枝杆菌肺部感染的抗生素治疗
Cochrane Database Syst Rev. 2025 Mar 27;3(3):CD016039. doi: 10.1002/14651858.CD016039.
4
Exercise versus airway clearance techniques for people with cystic fibrosis.运动与气道廓清技术治疗囊性纤维化。
Cochrane Database Syst Rev. 2022 Jun 22;6(6):CD013285. doi: 10.1002/14651858.CD013285.pub2.
5
Nivolumab for adults with Hodgkin's lymphoma (a rapid review using the software RobotReviewer).纳武单抗用于成人霍奇金淋巴瘤(使用RobotReviewer软件进行的快速综述)
Cochrane Database Syst Rev. 2018 Jul 12;7(7):CD012556. doi: 10.1002/14651858.CD012556.pub2.
6
Punctal occlusion for dry eye syndrome.用于干眼症的泪点闭塞术。
Cochrane Database Syst Rev. 2017 Jun 26;6(6):CD006775. doi: 10.1002/14651858.CD006775.pub3.
7
Purely cystic meningioma: Case report and systematic review of the literature.单纯性脑膜瘤:病例报告及文献系统回顾。
Clin Neurol Neurosurg. 2022 Dec;223:107498. doi: 10.1016/j.clineuro.2022.107498. Epub 2022 Oct 28.
8
Inhaled mannitol for cystic fibrosis.吸入用甘露醇治疗囊性纤维化。
Cochrane Database Syst Rev. 2018 Feb 9;2(2):CD008649. doi: 10.1002/14651858.CD008649.pub3.
9
Conventional chest physiotherapy compared to other airway clearance techniques for cystic fibrosis.常规胸部物理治疗与其他气道清除技术在囊性纤维化中的比较。
Cochrane Database Syst Rev. 2023 May 5;5(5):CD002011. doi: 10.1002/14651858.CD002011.pub3.
10
The quantity, quality and findings of network meta-analyses evaluating the effectiveness of GLP-1 RAs for weight loss: a scoping review.评估胰高血糖素样肽-1受体激动剂(GLP-1 RAs)减肥效果的网状Meta分析的数量、质量及结果:一项范围综述
Health Technol Assess. 2025 Jun 25:1-73. doi: 10.3310/SKHT8119.

本文引用的文献

1
CBTRUS Statistical Report: Primary Brain and Other Central Nervous System Tumors Diagnosed in the United States in 2016-2020.美国 2016-2020 年诊断的原发性脑和其他中枢神经系统肿瘤 CBTRUS 统计报告。
Neuro Oncol. 2023 Oct 4;25(12 Suppl 2):iv1-iv99. doi: 10.1093/neuonc/noad149.
2
A rare case of angiomatous meningioma with cystic degeneration.一例罕见的伴有囊性变的血管性脑膜瘤。
Asian J Surg. 2023 Dec;46(12):5612-5613. doi: 10.1016/j.asjsur.2023.08.051. Epub 2023 Aug 16.
3
Non-Invasive Preoperative Imaging Differential Diagnosis of Intracranial Hemangiopericytoma and Angiomatous Meningioma: A Novel Developed and Validated Multiparametric MRI-Based Clini-Radiomic Model.
颅内血管外皮细胞瘤与血管母细胞瘤性脑膜瘤的术前无创影像鉴别诊断:一种新开发并经验证的基于多参数磁共振成像的临床-放射组学模型
Front Oncol. 2022 Jan 4;11:792521. doi: 10.3389/fonc.2021.792521. eCollection 2021.
4
Parasagittal cystic meningioma mimicking hemangioblastoma: A case report.酷似血管母细胞瘤的矢状旁囊性脑膜瘤:一例报告
Surg Neurol Int. 2021 Jul 27;12:368. doi: 10.25259/SNI_507_2021. eCollection 2021.
5
Intracranial Angiomatous Meningioma: A Clinicopathological Study of 23 Cases.颅内血管母细胞瘤型脑膜瘤:23例临床病理研究
Int J Gen Med. 2020 Dec 30;13:1653-1659. doi: 10.2147/IJGM.S292202. eCollection 2020.
6
A clinico-pathological and neuro-radiological study of angiomatous meningioma: Aggressive look with benign behaviour.血管外皮细胞瘤型脑膜瘤的临床病理和神经放射学研究:看似侵袭性,实则良性行为。
J Clin Neurosci. 2021 Jan;83:43-48. doi: 10.1016/j.jocn.2020.11.032. Epub 2020 Dec 17.
7
Pilocytic Astrocytoma: A Review of General, Clinical, and Molecular Characteristics.毛细胞型星形细胞瘤:一般特征、临床特征和分子特征的综述。
J Child Neurol. 2020 Oct;35(12):852-858. doi: 10.1177/0883073820937225. Epub 2020 Jul 20.
8
Pleomorphic xanthoastrocytoma: a brief review.多形性黄色星形细胞瘤:简要综述
CNS Oncol. 2019 Nov 1;8(3):CNS39. doi: 10.2217/cns-2019-0009. Epub 2019 Sep 19.
9
Meningioma mimicking an intraparenchymal cystic tumor.酷似脑实质内囊性肿瘤的脑膜瘤。
Nagoya J Med Sci. 2018 Aug;80(3):431-434. doi: 10.18999/nagjms.80.3.431.
10
Cystic Meningiomas: Correlation between Radiologic and Histopathologic Features.囊性脑膜瘤:放射学与组织病理学特征的相关性
Brain Tumor Res Treat. 2018 Apr;6(1):13-21. doi: 10.14791/btrt.2018.6.e3. Epub 2018 Apr 2.