Zhou Jianfeng, Zhao Rongyan, Li Zixiang, Ma Xuelan, Jin Wenke, Yuan Yong, Li Ning, Liu Bo, Yang Yushang
Department of Thoracic Surgery, Department of Biotherapy, Cancer Center and State Key Laboratory of Biotherapy, West China Hospital, Sichuan University, Chengdu, 610041, China.
Sichuan Engineering Research Center for Biomimetic Synthesis of Natural Drugs, School of Life Science and Engineering, Southwest Jiaotong University, Chengdu, 610031, China.
Mol Biomed. 2025 Jul 9;6(1):49. doi: 10.1186/s43556-025-00285-4.
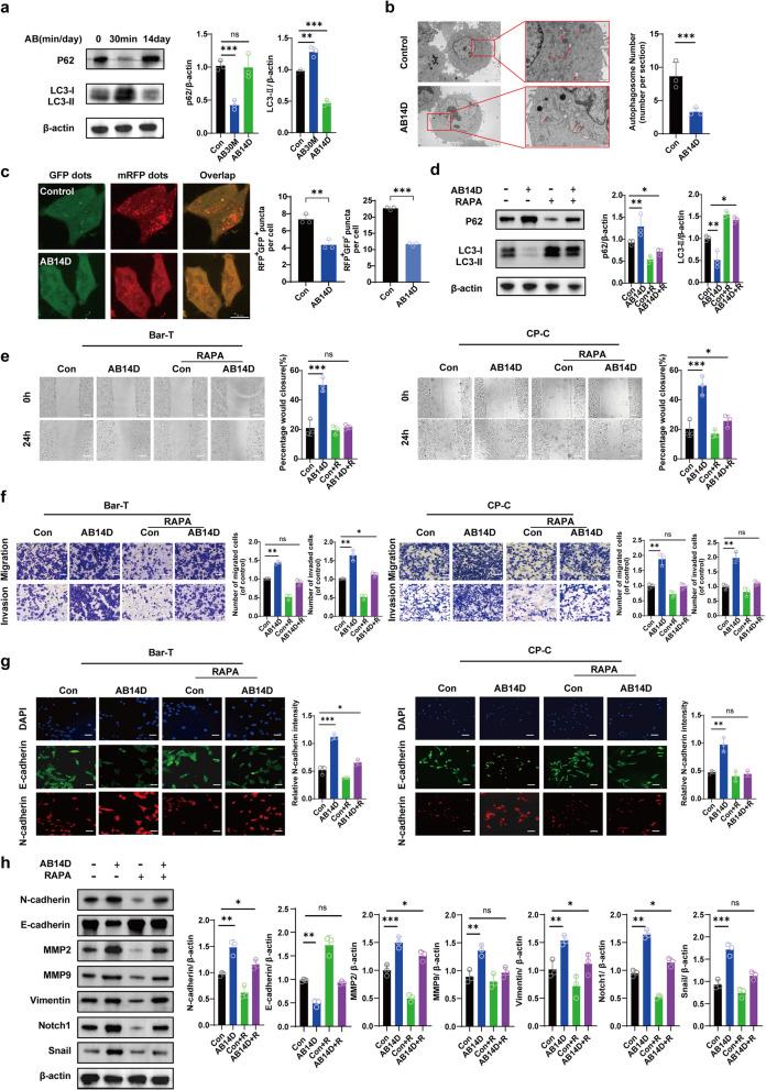
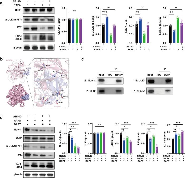
Barrett's esophagus (BE) is a precancerous condition closely linked to chronic gastroesophageal reflux disease, characterized by the abnormal transformation of esophageal squamous mucosa into specialized intestinal-type epithelium, significantly elevating the risk of esophageal adenocarcinoma (EAC). Recurrent acidic bile reflux promotes epithelial-mesenchymal transition (EMT), a critical event driving malignant progression. However, the underlying molecular mechanisms remain incompletely understood. Here, we identify the long non-coding RNA small nucleolar RNA host gene 1 (SNHG1) as a novel regulator of EMT in BE, mediating its effects through the UNC-52-like kinase 1 (ULK1)-Notch1 signaling axis and autophagy modulation. Using BAR-T and CP-C cell models, we demonstrate that SNHG1 expression is elevated following acidic bile salt exposure, enhancing EMT characteristics by promoting the phosphorylation of ULK1 and activating Notch1 signaling. Pharmacological interventions targeting autophagy (Rapamycin) and Notch signaling (DAPT) further confirmed that SNHG1's effects on EMT are mediated via modulation of the autophagy-Notch1 interplay. We further validated our results in vivo using the previously described IL1β-induced Lgr5-CreERT2; p16/Kras mouse model, which reliably reproduces the histological progression of Barrett's-like dysplasia in the squamocolumnar junction (SCJ), confirming SNHG1's critical role in regulating EMT and BE progression. Additionally, SNHG1 expression was significantly elevated in patients who progressed to low- or high-grade dysplasia, as confirmed by diagnostic endoscopic biopsies. Collectively, our study uncovers SNHG1 as a central molecular mediator linking acidic bile-induced EMT and autophagy regulation via the ULK1-Notch1 axis, highlighting its potential as a therapeutic target for preventing BE recurrence and progression to EAC.
巴雷特食管(BE)是一种与慢性胃食管反流病密切相关的癌前病变,其特征是食管鳞状黏膜异常转化为特殊的肠型上皮,显著增加了食管腺癌(EAC)的风险。反复的酸性胆汁反流促进上皮-间质转化(EMT),这是驱动恶性进展的关键事件。然而,其潜在的分子机制仍未完全阐明。在此,我们确定长链非编码RNA小核仁RNA宿主基因1(SNHG1)是BE中EMT的一种新型调节因子,通过UNC-52样激酶1(ULK1)-Notch1信号轴和自噬调节介导其作用。使用BAR-T和CP-C细胞模型,我们证明酸性胆盐暴露后SNHG1表达升高,通过促进ULK1磷酸化和激活Notch1信号增强EMT特征。针对自噬(雷帕霉素)和Notch信号(DAPT)的药物干预进一步证实,SNHG1对EMT的影响是通过调节自噬-Notch1相互作用介导的。我们使用先前描述的IL1β诱导的Lgr5-CreERT2;p16/Kras小鼠模型在体内进一步验证了我们的结果,该模型可靠地再现了食管柱状上皮交界(SCJ)处巴雷特样发育异常的组织学进展,证实了SNHG1在调节EMT和BE进展中的关键作用。此外,诊断性内镜活检证实,进展为低级别或高级别发育异常的患者中SNHG1表达显著升高。总体而言,我们的研究揭示SNHG1是通过ULK1-Notch1轴连接酸性胆汁诱导的EMT和自噬调节的核心分子介质,突出了其作为预防BE复发和进展为EAC的治疗靶点的潜力。