• 文献检索
  • 文档翻译
  • 深度研究
  • 学术资讯
  • Suppr Zotero 插件Zotero 插件
  • 邀请有礼
  • 套餐&价格
  • 历史记录
应用&插件
Suppr Zotero 插件Zotero 插件浏览器插件Mac 客户端Windows 客户端微信小程序
定价
高级版会员购买积分包购买API积分包
服务
文献检索文档翻译深度研究API 文档MCP 服务
关于我们
关于 Suppr公司介绍联系我们用户协议隐私条款
关注我们

Suppr 超能文献

核心技术专利:CN118964589B侵权必究
粤ICP备2023148730 号-1Suppr @ 2026

文献检索

告别复杂PubMed语法,用中文像聊天一样搜索,搜遍4000万医学文献。AI智能推荐,让科研检索更轻松。

立即免费搜索

文件翻译

保留排版,准确专业,支持PDF/Word/PPT等文件格式,支持 12+语言互译。

免费翻译文档

深度研究

AI帮你快速写综述,25分钟生成高质量综述,智能提取关键信息,辅助科研写作。

立即免费体验

一种萘酰亚胺衍生物具有强大的抗血小板和抗血栓形成活性,且无出血倾向。

A naphthalimide derivative exerts potent antiplatelet and antithrombotic activities without a bleeding tendency.

作者信息

Lu Wan-Jung, Li Jiun-Yi, Shih Tzenge-Lien, Chen Ray-Jade, Chen Ting-Yu, Kao Wei-Ting, Liu Jen-Wei, Wang Hsueh-Hsiao, Peng Hsien-Yu, Lin Kuan-Hung

机构信息

Department of Optometry, MacKay Medical College, New Taipei City, Taiwan.

Traditional Herbal Medicine Research Center, Taipei Medical University Hospital, Taipei, Taiwan.

出版信息

Front Pharmacol. 2025 Jun 24;16:1541255. doi: 10.3389/fphar.2025.1541255. eCollection 2025.

DOI:10.3389/fphar.2025.1541255
PMID:40630131
原文链接:https://pmc.ncbi.nlm.nih.gov/articles/PMC12234328/
Abstract

BACKGROUND

Bleeding is the inherent adverse effect of antiplatelet drugs that has limited their use in the prevention of secondary heart attack and stroke. Thus, finding a novel antiplatelet drug with antithrombotic activities while preserving hemostatic function remains a crucial issue. Here, we screened naphthalimide derivatives that we previously synthesized and identified a novel derivative compound , which has a more potent antithrombotic effect and has no effect on bleeding cessation. This study is aimed to determine the antiplatelet mechanism of compound and further test whether compound is a safer and more potent antithrombotic agent.

METHODS

Platelet aggregation, flow cytometry and immunoblotting were used to determine the antiplatelet effect of compound . The study of thrombus formation of mesenteric venules in mice was used to evaluate the antithrombotic effect of compound .

RESULTS

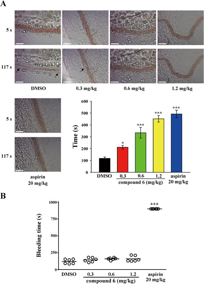
Compound selectively inhibited collagen-mediated platelet aggregation and markedly prevented thrombus formation without bleeding tendency. Compound also inhibited glycoprotein VI (GPVI) downstream signaling, such as Fyn and Lyn, phospholipase C gamma 2, protein kinase C. Moreover, a surface plasmon resonance assay indicated that compound may directly bind to GPVI, thereby interrupting the interaction of collagen and GPVI. Compound also effectively attenuates collagen-induced granule release, calcium mobilization, and GPIIbIIIa activation.

CONCLUSION

These findings indicate that compound can selectively inhibit GPVI, eventually suppressing platelet activation and thrombus formation while preserving hemostasis. Compound is a GPVI antagonist and safe antiplatelet agent. Compound also has therapeutic potential for treating cardiovascular diseases.

摘要

背景

出血是抗血小板药物固有的不良反应,这限制了它们在预防二次心脏病发作和中风中的应用。因此,找到一种具有抗血栓活性同时保留止血功能的新型抗血小板药物仍然是一个关键问题。在此,我们筛选了我们之前合成的萘酰亚胺衍生物,并鉴定出一种新型衍生物化合物,其具有更强的抗血栓作用且对止血无影响。本研究旨在确定该化合物的抗血小板机制,并进一步测试该化合物是否为一种更安全、更有效的抗血栓药物。

方法

采用血小板聚集、流式细胞术和免疫印迹法来确定该化合物的抗血小板作用。利用小鼠肠系膜小静脉血栓形成研究来评估该化合物的抗血栓作用。

结果

该化合物选择性抑制胶原介导的血小板聚集,并显著预防血栓形成且无出血倾向。该化合物还抑制糖蛋白VI(GPVI)下游信号传导,如Fyn和Lyn、磷脂酶Cγ2、蛋白激酶C等。此外,表面等离子体共振分析表明该化合物可能直接与GPVI结合,从而中断胶原与GPVI的相互作用。该化合物还能有效减弱胶原诱导的颗粒释放、钙动员和GPIIbIIIa激活。

结论

这些发现表明该化合物可选择性抑制GPVI,最终在保留止血功能的同时抑制血小板活化和血栓形成。该化合物是一种GPVI拮抗剂和安全的抗血小板药物。该化合物在治疗心血管疾病方面也具有治疗潜力。

https://cdn.ncbi.nlm.nih.gov/pmc/blobs/f02e/12234328/f3fe35184970/fphar-16-1541255-g008.jpg
https://cdn.ncbi.nlm.nih.gov/pmc/blobs/f02e/12234328/ce72d5fad5e0/fphar-16-1541255-g001.jpg
https://cdn.ncbi.nlm.nih.gov/pmc/blobs/f02e/12234328/870155759d69/fphar-16-1541255-g002.jpg
https://cdn.ncbi.nlm.nih.gov/pmc/blobs/f02e/12234328/e283b8fbe63e/fphar-16-1541255-g003.jpg
https://cdn.ncbi.nlm.nih.gov/pmc/blobs/f02e/12234328/9018f4f4b31b/fphar-16-1541255-g004.jpg
https://cdn.ncbi.nlm.nih.gov/pmc/blobs/f02e/12234328/8bb80d74122c/fphar-16-1541255-g005.jpg
https://cdn.ncbi.nlm.nih.gov/pmc/blobs/f02e/12234328/fe95f7131c40/fphar-16-1541255-g006.jpg
https://cdn.ncbi.nlm.nih.gov/pmc/blobs/f02e/12234328/39fc99540c92/fphar-16-1541255-g007.jpg
https://cdn.ncbi.nlm.nih.gov/pmc/blobs/f02e/12234328/f3fe35184970/fphar-16-1541255-g008.jpg
https://cdn.ncbi.nlm.nih.gov/pmc/blobs/f02e/12234328/ce72d5fad5e0/fphar-16-1541255-g001.jpg
https://cdn.ncbi.nlm.nih.gov/pmc/blobs/f02e/12234328/870155759d69/fphar-16-1541255-g002.jpg
https://cdn.ncbi.nlm.nih.gov/pmc/blobs/f02e/12234328/e283b8fbe63e/fphar-16-1541255-g003.jpg
https://cdn.ncbi.nlm.nih.gov/pmc/blobs/f02e/12234328/9018f4f4b31b/fphar-16-1541255-g004.jpg
https://cdn.ncbi.nlm.nih.gov/pmc/blobs/f02e/12234328/8bb80d74122c/fphar-16-1541255-g005.jpg
https://cdn.ncbi.nlm.nih.gov/pmc/blobs/f02e/12234328/fe95f7131c40/fphar-16-1541255-g006.jpg
https://cdn.ncbi.nlm.nih.gov/pmc/blobs/f02e/12234328/39fc99540c92/fphar-16-1541255-g007.jpg
https://cdn.ncbi.nlm.nih.gov/pmc/blobs/f02e/12234328/f3fe35184970/fphar-16-1541255-g008.jpg

相似文献

1
A naphthalimide derivative exerts potent antiplatelet and antithrombotic activities without a bleeding tendency.一种萘酰亚胺衍生物具有强大的抗血小板和抗血栓形成活性,且无出血倾向。
Front Pharmacol. 2025 Jun 24;16:1541255. doi: 10.3389/fphar.2025.1541255. eCollection 2025.
2
Antithrombotic therapy to prevent cognitive decline in people with small vessel disease on neuroimaging but without dementia.抗血栓治疗预防神经影像学检查发现的小血管疾病但无痴呆的患者认知能力下降。
Cochrane Database Syst Rev. 2022 Jul 14;7(7):CD012269. doi: 10.1002/14651858.CD012269.pub2.
3
Management of urinary stones by experts in stone disease (ESD 2025).结石病专家对尿路结石的管理(2025年结石病专家共识)
Arch Ital Urol Androl. 2025 Jun 30;97(2):14085. doi: 10.4081/aiua.2025.14085.
4
Non-vitamin K antagonist oral anticoagulants (NOACs) after transcatheter aortic valve replacement (TAVR): a network meta-analysis.经导管主动脉瓣置换术(TAVR)后使用非维生素K拮抗剂口服抗凝药(NOACs):一项网状荟萃分析。
Cochrane Database Syst Rev. 2025 Feb 24;2(2):CD013745. doi: 10.1002/14651858.CD013745.pub2.
5
Antithrombotic treatment after stroke due to intracerebral haemorrhage.脑出血所致脑卒中后的抗血栓治疗。
Cochrane Database Syst Rev. 2023 Jan 26;1(1):CD012144. doi: 10.1002/14651858.CD012144.pub3.
6
Antiplatelet and anticoagulant agents for primary prevention of thrombosis in individuals with antiphospholipid antibodies.抗血小板和抗凝药物用于抗磷脂抗体个体血栓形成的一级预防。
Cochrane Database Syst Rev. 2018 Jul 13;7(7):CD012534. doi: 10.1002/14651858.CD012534.pub2.
7
Antiplatelet agents for the treatment of deep venous thrombosis.抗血小板药物治疗深静脉血栓形成。
Cochrane Database Syst Rev. 2022 Jul 25;7(7):CD012369. doi: 10.1002/14651858.CD012369.pub2.
8
Continuation versus discontinuation of antiplatelet therapy for bleeding and ischaemic events in adults undergoing non-cardiac surgery.非心脏手术成年患者抗血小板治疗的继续与停用对出血和缺血事件的影响
Cochrane Database Syst Rev. 2018 Jul 18;7(7):CD012584. doi: 10.1002/14651858.CD012584.pub2.
9
Thrombolysis for acute ischaemic stroke.急性缺血性脑卒中的溶栓治疗
Cochrane Database Syst Rev. 2003(3):CD000213. doi: 10.1002/14651858.CD000213.
10
Signs and symptoms to determine if a patient presenting in primary care or hospital outpatient settings has COVID-19.在基层医疗机构或医院门诊环境中,如果患者出现以下症状和体征,可判断其是否患有 COVID-19。
Cochrane Database Syst Rev. 2022 May 20;5(5):CD013665. doi: 10.1002/14651858.CD013665.pub3.

本文引用的文献

1
Glycoprotein VI interplay with fibrin(ogen) in thrombosis.糖蛋白 VI 与纤维蛋白原(原)在血栓形成中的相互作用。
J Thromb Haemost. 2023 Jul;21(7):1703-1713. doi: 10.1016/j.jtha.2023.03.022. Epub 2023 Mar 28.
2
Bioavailability Enhancement Techniques for Poorly Aqueous Soluble Drugs and Therapeutics.难溶性药物和治疗剂的生物利用度提高技术
Biomedicines. 2022 Aug 23;10(9):2055. doi: 10.3390/biomedicines10092055.
3
Recent developments on 1,8-Naphthalimide moiety as potential target for anticancer agents.1,8-萘酰亚胺部分作为潜在抗癌药物靶点的最新进展。
Bioorg Chem. 2022 Apr;121:105677. doi: 10.1016/j.bioorg.2022.105677. Epub 2022 Feb 12.
4
A novel naphthalimide derivative reduces platelet activation and thrombus formation via suppressing GPVI.一种新型萘酰亚胺衍生物通过抑制 GPVI 减少血小板活化和血栓形成。
J Cell Mol Med. 2021 Oct;25(19):9434-9446. doi: 10.1111/jcmm.16886. Epub 2021 Aug 27.
5
Glycoprotein VI - novel target in antiplatelet medication.糖蛋白 VI - 抗血小板药物的新靶点。
Pharmacol Ther. 2021 Jan;217:107630. doi: 10.1016/j.pharmthera.2020.107630. Epub 2020 Jul 16.
6
VAS2870 and VAS3947 attenuate platelet activation and thrombus formation via a NOX-independent pathway downstream of PKC.VAS2870 和 VAS3947 通过 PKC 下游的非 NOX 依赖途径抑制血小板活化和血栓形成。
Sci Rep. 2019 Dec 11;9(1):18852. doi: 10.1038/s41598-019-55189-5.
7
Immobilized fibrinogen activates human platelets through glycoprotein VI.固定化纤维蛋白原通过糖蛋白 VI 激活人血小板。
Haematologica. 2018 May;103(5):898-907. doi: 10.3324/haematol.2017.182972. Epub 2018 Feb 22.
8
Current and future antiplatelet therapies: emphasis on preserving haemostasis.当前和未来的抗血小板治疗:强调保持止血功能。
Nat Rev Cardiol. 2018 Mar;15(3):181-191. doi: 10.1038/nrcardio.2017.206. Epub 2018 Jan 3.
9
Licochalcone A Prevents Platelet Activation and Thrombus Formation through the Inhibition of PLCγ2-PKC, Akt, and MAPK Pathways.甘草查尔酮A通过抑制PLCγ2-PKC、Akt和MAPK信号通路预防血小板活化和血栓形成。
Int J Mol Sci. 2017 Jul 12;18(7):1500. doi: 10.3390/ijms18071500.
10
Design, development and characterization of ACT017, a humanized Fab that blocks platelet's glycoprotein VI function without causing bleeding risks.ACT017的设计、开发与特性研究,ACT017是一种人源化Fab片段,可阻断血小板糖蛋白VI功能且不引发出血风险。
MAbs. 2017 Aug/Sep;9(6):945-958. doi: 10.1080/19420862.2017.1336592. Epub 2017 Jun 9.