Suppr超能文献

桡动脉特发性假性动脉瘤:一例通过床旁超声成功诊断并接受血管内治疗的病例

Idiopathic Pseudoaneurysm of the Radial Artery: A Case Successfully Diagnosed Using Point-of-Care Ultrasound and Treated With Endovascular Therapy.

作者信息

Miyamoto Masataka, Mizu Daisuke, Maekura Takuya

机构信息

Department of Emergency Medicine, Japanese Red Cross Osaka Hospital, Osaka, JPN.

Department of Radiology, Japanese Red Cross Osaka Hospital, Osaka, JPN.

出版信息

Cureus. 2025 Jun 9;17(6):e85654. doi: 10.7759/cureus.85654. eCollection 2025 Jun.

Abstract

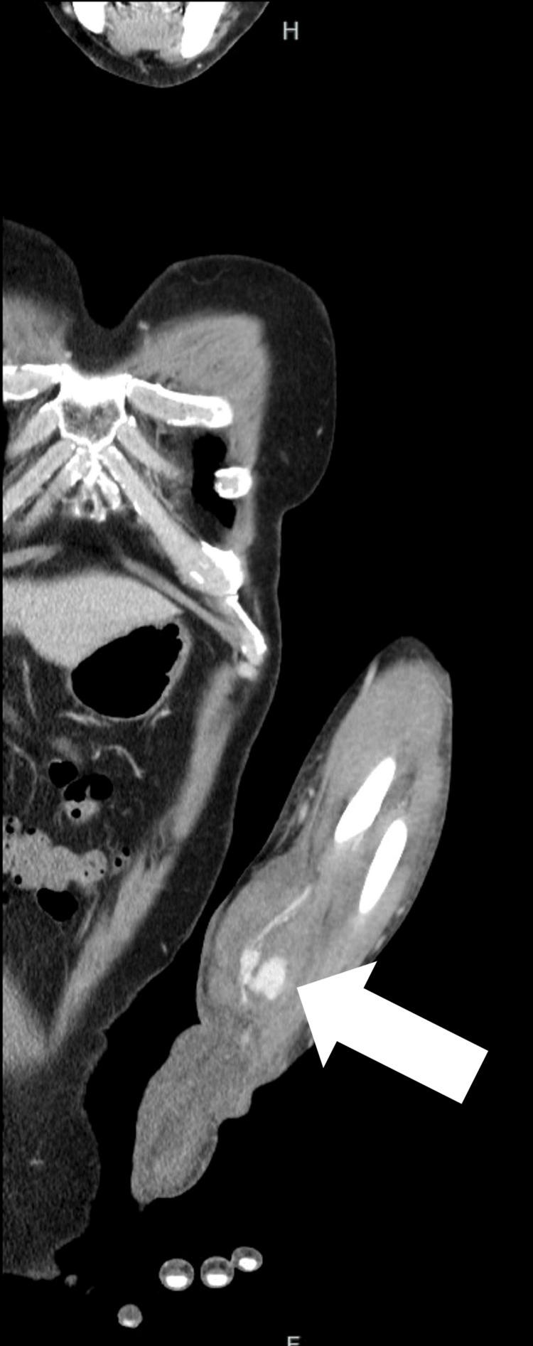
Pseudoaneurysms of the radial artery often occur in association with catheterization procedures or trauma, and idiopathic cases are rare. Point-of-care ultrasonography (POCUS) is effective for diagnosis; however, the effectiveness of endovascular treatment for pseudoaneurysms remains unclear. A 64-year-old male patient presented to the emergency department with pain and swelling of the left forearm and hand. Symptoms appeared seven days prior and were treated with antibiotics, but there was no improvement. POCUS revealed a yin-yang sign, and contrast-enhanced computed tomography revealed a pseudoaneurysm of the radial artery. Endovascular treatment was performed. Idiopathic radial artery pseudoaneurysms are rare, and differentiating them from other soft tissue diseases is important. Emergency physicians should be aware that POCUS is effective for the rapid diagnosis of idiopathic radial artery pseudoaneurysms and that endovascular treatment is less invasive and may be effective.

摘要

桡动脉假性动脉瘤常与导管插入术或外伤相关,特发性病例罕见。床旁超声检查(POCUS)对诊断有效;然而,血管内治疗假性动脉瘤的有效性仍不明确。一名64岁男性患者因左前臂和手部疼痛肿胀就诊于急诊科。症状于7天前出现,曾接受抗生素治疗,但无改善。POCUS显示阴阳征,增强计算机断层扫描显示桡动脉假性动脉瘤。遂进行了血管内治疗。特发性桡动脉假性动脉瘤罕见,将其与其他软组织疾病相鉴别很重要。急诊医生应意识到POCUS对快速诊断特发性桡动脉假性动脉瘤有效,且血管内治疗侵入性较小且可能有效。

https://cdn.ncbi.nlm.nih.gov/pmc/blobs/a84c/12240683/0470eb6839f4/cureus-0017-00000085654-i01.jpg

文献检索

告别复杂PubMed语法,用中文像聊天一样搜索,搜遍4000万医学文献。AI智能推荐,让科研检索更轻松。

立即免费搜索

文件翻译

保留排版,准确专业,支持PDF/Word/PPT等文件格式,支持 12+语言互译。

免费翻译文档

深度研究

AI帮你快速写综述,25分钟生成高质量综述,智能提取关键信息,辅助科研写作。

立即免费体验