Suppr超能文献

探索嗜铬粒蛋白A(CgA)作为低温相关死亡诊断标志物:两个案例研究及文献综述

Exploring Chromogranin A (CgA) as a Diagnostic Marker in Hypothermia-Related Deaths: Two Case Studies and a Literature Review.

作者信息

Tomassini Luca, Buratti Erika, Ricchezze Giulia, Scendoni Roberto

机构信息

International School of Advanced Studies, University of Camerino, 62032 Camerino, Italy.

Department of Law, Institute of Legal Medicine, University of Macerata, 62100 Macerata, Italy.

出版信息

Diagnostics (Basel). 2025 Jun 30;15(13):1673. doi: 10.3390/diagnostics15131673.

Abstract

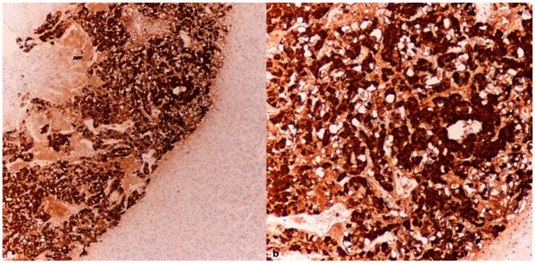
Hypothermia, occurring when core temperature drops below 35 °C, can lead to death when the body's heat loss exceeds its heat production. This study investigates two hypothermia-related deaths, exploring the utility of immunohistochemistry, specifically focusing on chromogranin A (CgA) as a potential diagnostic tool. The aim is to assess whether CgA expression in neuroendocrine tissues can be considered a reliable indicator of premortem stress response in fatal hypothermia cases. In the first case, a 67-year-old man was found on a snowy road 24 h after his disappearance. The autopsy revealed cold-induced skin lesions, gastric hemorrhages, and cerebral and pulmonary edema. Positive CgA immunostaining was observed in the pancreatic islets and adrenal medulla. In the second case, a 49-year-old man was found dead in a wooded area with indications of suicide. Both cases were examined with attention to macroscopic findings and histological samples from major neuroendocrine organs. As in previous cases, CgA immunostaining was positive in the pancreatic islets and adrenal medulla. Staining intensity was moderate to strong, consistent with heightened neuroendocrine activity, supporting the hypothesis of systemic stress prior to death. Although CgA is a potentially valuable adjunct in hypothermia diagnosis, careful consideration of cadaveric preservation is emphasized, particularly when bodies are preserved before autopsy. Further studies with larger sample sizes are needed to confirm its diagnostic specificity and to distinguish true pathological patterns from postmortem artifacts.

摘要

体温过低是指核心体温降至35°C以下,当身体的热量散失超过产热时,可能会导致死亡。本研究调查了两例与体温过低相关的死亡病例,探讨免疫组织化学的效用,特别关注嗜铬粒蛋白A(CgA)作为一种潜在的诊断工具。目的是评估神经内分泌组织中CgA的表达是否可被视为致命性体温过低病例生前应激反应的可靠指标。在第一例病例中,一名67岁男性在失踪24小时后被发现在一条积雪的道路上。尸检显示有冷诱导的皮肤损伤、胃出血以及脑和肺水肿。在胰岛和肾上腺髓质中观察到CgA免疫染色呈阳性。在第二例病例中,一名49岁男性被发现死于一片林区,有自杀迹象。对这两例病例均检查了大体检查结果以及主要神经内分泌器官的组织学样本。与之前的病例一样,胰岛和肾上腺髓质中的CgA免疫染色呈阳性。染色强度为中度至强,与神经内分泌活动增强一致,支持死亡前存在全身应激的假设。尽管CgA在体温过低诊断中可能是一种有价值的辅助手段,但强调要仔细考虑尸体保存情况,尤其是在尸体在尸检前保存的情况下。需要进行更大样本量的进一步研究,以确认其诊断特异性,并区分真正的病理模式与死后伪像。

https://cdn.ncbi.nlm.nih.gov/pmc/blobs/ff3b/12248502/12213e1bb58c/diagnostics-15-01673-g001.jpg

文献检索

告别复杂PubMed语法,用中文像聊天一样搜索,搜遍4000万医学文献。AI智能推荐,让科研检索更轻松。

立即免费搜索

文件翻译

保留排版,准确专业,支持PDF/Word/PPT等文件格式,支持 12+语言互译。

免费翻译文档

深度研究

AI帮你快速写综述,25分钟生成高质量综述,智能提取关键信息,辅助科研写作。

立即免费体验