Zhang Wen, Peng Yulin, Zhou Meirong, Qian Lei, Che Yilin, Chen Junlin, Zhang Wenhao, He Chengjian, Qi Minghang, Shu Xiaohong, Tian Manman, Tian Xiangge, Tian Yan, Deng Sa, Wang Yan, Huo Xiaokui, Yu Zhenlong, Ma Xiaochi
Second Affiliated Hospital, Dalian Medical University, Dalian 116000, China.
Dalian Key Laboratory of Metabolic Target Characterization and Traditional Chinese Medicine Intervention, College (Institute) of Integrative Medicine, Dalian Medical University, Dalian 116044, China.
Acta Pharm Sin B. 2025 Jun;15(6):3059-3072. doi: 10.1016/j.apsb.2025.03.048. Epub 2025 Apr 4.
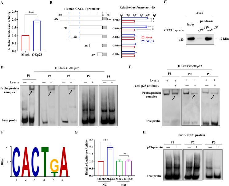
Metastasis serves as an indicator of malignancy and is a biological characteristic of carcinomas. Epithelial-mesenchymal transition (EMT) plays a key role in the promotion of tumor invasion and metastasis and in the enhancement of tumor cell aggressiveness. Prostaglandin E synthase 3 (p23) is a cochaperone for heat shock protein 90 (HSP90). Our previous study showed that p23 is an HSP90-independent transcription factor in cancer-associated inflammation. The effect and mechanism of action of p23 on lung cancer metastasis are tested in this study. By utilizing cell models and mouse tail vein metastasis models , the results provide solid evidence that p23 is critical for promoting lung cancer metastases by regulating downstream CXCL1 expression. Rather than acting independently, p23 forms a complex with RNA-binding motif protein 14 (RBM14) to facilitate EMT progression in lung cancer. Therefore, our study provides evidence for the potential role of the RBM14-p23-CXCL1-EMT axis in the metastasis of lung cancer.
转移是恶性肿瘤的一个指标,也是癌症的生物学特征。上皮-间质转化(EMT)在促进肿瘤侵袭和转移以及增强肿瘤细胞侵袭性方面起着关键作用。前列腺素E合酶3(p23)是热休克蛋白90(HSP90)的一种辅助伴侣蛋白。我们之前的研究表明,p23在癌症相关炎症中是一种不依赖HSP90的转录因子。本研究检测了p23对肺癌转移的作用及作用机制。通过利用细胞模型和小鼠尾静脉转移模型,结果提供了确凿证据,表明p23通过调节下游CXCL1表达对促进肺癌转移至关重要。p23并非独立发挥作用,而是与RNA结合基序蛋白14(RBM14)形成复合物,以促进肺癌中的EMT进程。因此,我们的研究为RBM14-p23-CXCL1-EMT轴在肺癌转移中的潜在作用提供了证据。