Suppr超能文献

烟雾病患者孕期脉络膜吻合处新发动脉瘤形成:病例说明

De novo aneurysm formation on choroidal anastomosis during pregnancy in moyamoya disease: illustrative case.

作者信息

Yokochi Yasunori, Chihara Hideo, Funaki Takeshi, Komatsu Maya, Chigusa Yoshitsugu, Tatsumi Kenichiro, Hattori Etsuko Yamamoto, Arakawa Yoshiki

机构信息

Department of Neurosurgery, Kyoto University Graduate School of Medicine, Kyoto, Japan.

Department of Gynecology and Obstetrics, Kyoto University Graduate School of Medicine, Kyoto, Japan.

出版信息

J Neurosurg Case Lessons. 2025 Jul 14;10(2). doi: 10.3171/CASE25112.

Abstract

BACKGROUND

Hemorrhagic stroke during pregnancy can cause devastating outcomes in women with moyamoya disease (MMD). The bleeding risk associated with choroidal anastomosis, a unique collateral manifestation of MMD, remains unknown in the context of pregnancy.

OBSERVATIONS

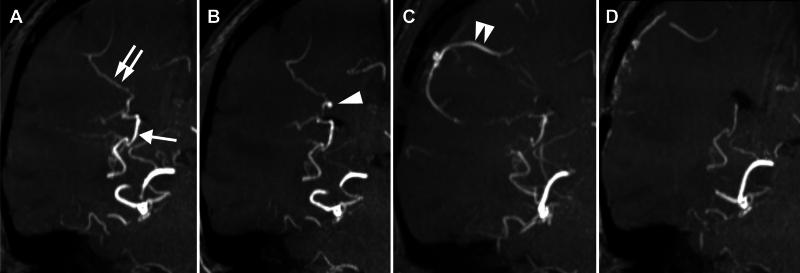
A 29-year-old woman with asymptomatic MMD became pregnant. She had not undergone bypass surgery, and choroidal anastomosis had developed in the right hemisphere. After an uneventful pregnancy for 34 weeks, she suddenly manifested HELLP (hemolysis, elevated liver enzymes, and low platelets) syndrome and underwent an emergency cesarean section. Although both she and her neonate remained healthy, MR angiography after delivery revealed on the choroidal anastomosis a small aneurysm, which had been absent before conception, with the possible finding of minor bleeding. After recovering from HELLP syndrome, she underwent direct bypass surgery, which resulted in the disappearance of the aneurysm and marked reduction of the choroidal anastomosis.

LESSONS

Choroidal anastomosis may carry a potential risk of aneurysm formation causing bleeding and should be carefully monitored with noninvasive imaging modalities during the antenatal and postpartum periods. https://thejns.org/doi/10.3171/CASE25112.

摘要

背景

孕期出血性中风可导致烟雾病(MMD)女性出现灾难性后果。在孕期,MMD独特的侧支表现——脉络膜吻合相关的出血风险尚不清楚。

观察结果

一名29岁无症状MMD女性怀孕。她未接受过搭桥手术,右侧半球出现了脉络膜吻合。怀孕34周期间一切顺利,之后她突然出现HELLP(溶血、肝酶升高和血小板减少)综合征并接受了紧急剖宫产。尽管她和新生儿均保持健康,但产后磁共振血管造影显示脉络膜吻合处有一个孕前不存在的小动脉瘤,可能有轻微出血迹象。从HELLP综合征恢复后,她接受了直接搭桥手术,术后动脉瘤消失,脉络膜吻合明显减少。

经验教训

脉络膜吻合可能存在动脉瘤形成导致出血的潜在风险,在产前和产后期间应使用无创成像方式进行仔细监测。https://thejns.org/doi/10.3171/CASE25112

https://cdn.ncbi.nlm.nih.gov/pmc/blobs/2dd8/12260240/f53ecc2928ca/CASE25112_figure_1.jpg

文献检索

告别复杂PubMed语法,用中文像聊天一样搜索,搜遍4000万医学文献。AI智能推荐,让科研检索更轻松。

立即免费搜索

文件翻译

保留排版,准确专业,支持PDF/Word/PPT等文件格式,支持 12+语言互译。

免费翻译文档

深度研究

AI帮你快速写综述,25分钟生成高质量综述,智能提取关键信息,辅助科研写作。

立即免费体验