• 文献检索
  • 文档翻译
  • 深度研究
  • 学术资讯
  • Suppr Zotero 插件Zotero 插件
  • 邀请有礼
  • 套餐&价格
  • 历史记录
应用&插件
Suppr Zotero 插件Zotero 插件浏览器插件Mac 客户端Windows 客户端微信小程序
定价
高级版会员购买积分包购买API积分包
服务
文献检索文档翻译深度研究API 文档MCP 服务
关于我们
关于 Suppr公司介绍联系我们用户协议隐私条款
关注我们

Suppr 超能文献

核心技术专利:CN118964589B侵权必究
粤ICP备2023148730 号-1Suppr @ 2026

文献检索

告别复杂PubMed语法,用中文像聊天一样搜索,搜遍4000万医学文献。AI智能推荐,让科研检索更轻松。

立即免费搜索

文件翻译

保留排版,准确专业,支持PDF/Word/PPT等文件格式,支持 12+语言互译。

免费翻译文档

深度研究

AI帮你快速写综述,25分钟生成高质量综述,智能提取关键信息,辅助科研写作。

立即免费体验

肝脏上皮样血管平滑肌脂肪瘤的多模态成像:一例报告

Multimodal imaging in hepatic epithelioid angiomyolipoma: a case report.

作者信息

Yan Shuyue, Wang Xuedong, Yu Xiangrong

机构信息

Department of Radiology, Zhuhai Clinical Medical College of Jinan University (Zhuhai People's Hospital), Jinan University, Zhuhai, China.

出版信息

J Gastrointest Oncol. 2025 Jun 30;16(3):1331-1338. doi: 10.21037/jgo-24-837. Epub 2025 Jun 16.

DOI:10.21037/jgo-24-837
PMID:40672102
原文链接:https://pmc.ncbi.nlm.nih.gov/articles/PMC12260962/
Abstract

BACKGROUND

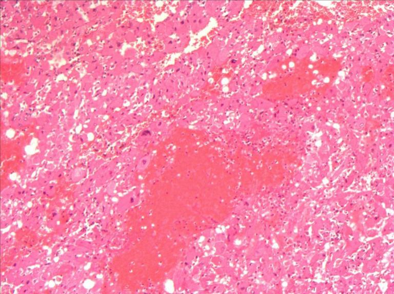
Hepatic epithelioid angiomyolipoma (HEAML) is a rare mesenchymal neoplasm that can occasionally exhibit malignant behavior, such as postoperative recurrence or distant metastasis. Most HEAML patients are female, and it is difficult to distinguish them from other liver tumors. The diagnostic accuracy rate is less than 32%. We present a case of HEAML in an elderly woman with mild fatty liver, without a history of hepatitis, tuberculosis. The patient underwent early laparoscopic liver tumor resection.

CASE DESCRIPTION

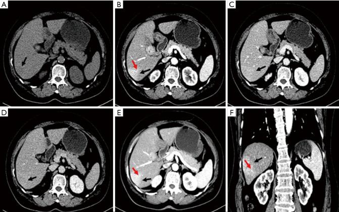
A 69-year-old woman presented with intermittent right upper abdominal discomfort. Imaging revealed an ovoid liver mass. She was in good overall health, with no history of chronic diseases, hepatitis, tuberculosis, allergies, surgeries, trauma, or blood transfusions. Laboratory tests were normal, with negative results for carcinoembryonic antigen and alpha-fetoprotein (AFP). After computed tomography (CT) and magnetic resonance imaging (MRI) examinations, the patient underwent laparoscopic liver tumor resection.

CONCLUSIONS

HEAML, the rare tumor, with a degree of malignant potential, predominantly affects elderly women. Certain characteristics on CT and MRI facilitate its differentiation from other intrahepatic lesions. In our case, a multimodal approach was utilized, and detailed imaging analysis of the tumor may serve as a reference for its accurate diagnosis.

摘要

背景

肝上皮样血管平滑肌脂肪瘤(HEAML)是一种罕见的间叶性肿瘤,偶尔可表现出恶性行为,如术后复发或远处转移。大多数HEAML患者为女性,且难以将其与其他肝脏肿瘤区分开来。诊断准确率低于32%。我们报告一例老年女性HEAML病例,该患者有轻度脂肪肝,无肝炎、结核病史。患者接受了早期腹腔镜肝肿瘤切除术。

病例描述

一名69岁女性出现间歇性右上腹不适。影像学检查发现肝脏有一个椭圆形肿块。她整体健康状况良好,无慢性疾病、肝炎、结核、过敏、手术、外伤或输血史。实验室检查正常,癌胚抗原和甲胎蛋白(AFP)结果均为阴性。经过计算机断层扫描(CT)和磁共振成像(MRI)检查后,患者接受了腹腔镜肝肿瘤切除术。

结论

HEAML这种罕见肿瘤具有一定程度的恶性潜能,主要影响老年女性。CT和MRI上的某些特征有助于其与其他肝内病变相鉴别。在我们的病例中,采用了多模式方法,对肿瘤进行详细的影像学分析可为其准确诊断提供参考。

https://cdn.ncbi.nlm.nih.gov/pmc/blobs/45b1/12260962/b400f844dbab/jgo-16-03-1331-f4.jpg
https://cdn.ncbi.nlm.nih.gov/pmc/blobs/45b1/12260962/092bacd15a7a/jgo-16-03-1331-f1.jpg
https://cdn.ncbi.nlm.nih.gov/pmc/blobs/45b1/12260962/2aac1ca198a4/jgo-16-03-1331-f2.jpg
https://cdn.ncbi.nlm.nih.gov/pmc/blobs/45b1/12260962/f4035d4be383/jgo-16-03-1331-f3.jpg
https://cdn.ncbi.nlm.nih.gov/pmc/blobs/45b1/12260962/b400f844dbab/jgo-16-03-1331-f4.jpg
https://cdn.ncbi.nlm.nih.gov/pmc/blobs/45b1/12260962/092bacd15a7a/jgo-16-03-1331-f1.jpg
https://cdn.ncbi.nlm.nih.gov/pmc/blobs/45b1/12260962/2aac1ca198a4/jgo-16-03-1331-f2.jpg
https://cdn.ncbi.nlm.nih.gov/pmc/blobs/45b1/12260962/f4035d4be383/jgo-16-03-1331-f3.jpg
https://cdn.ncbi.nlm.nih.gov/pmc/blobs/45b1/12260962/b400f844dbab/jgo-16-03-1331-f4.jpg

相似文献

1
Multimodal imaging in hepatic epithelioid angiomyolipoma: a case report.肝脏上皮样血管平滑肌脂肪瘤的多模态成像:一例报告
J Gastrointest Oncol. 2025 Jun 30;16(3):1331-1338. doi: 10.21037/jgo-24-837. Epub 2025 Jun 16.
2
Magnetic resonance imaging for the diagnosis of hepatocellular carcinoma in adults with chronic liver disease.磁共振成像在慢性肝病成人肝细胞癌诊断中的应用。
Cochrane Database Syst Rev. 2022 May 6;5(5):CD014798. doi: 10.1002/14651858.CD014798.pub2.
3
123I-MIBG scintigraphy and 18F-FDG-PET imaging for diagnosing neuroblastoma.用于诊断神经母细胞瘤的123I-间碘苄胍闪烁扫描术和18F-氟代脱氧葡萄糖正电子发射断层显像
Cochrane Database Syst Rev. 2015 Sep 29;2015(9):CD009263. doi: 10.1002/14651858.CD009263.pub2.
4
Radiofrequency ablation of liver metastases in a patient with pancreatic cancer and long-term survival: A case report.胰腺癌患者肝转移灶的射频消融及长期生存:一例报告
World J Clin Cases. 2025 Jul 16;13(20):100169. doi: 10.12998/wjcc.v13.i20.100169.
5
Contrast-enhanced ultrasound using SonoVue® (sulphur hexafluoride microbubbles) compared with contrast-enhanced computed tomography and contrast-enhanced magnetic resonance imaging for the characterisation of focal liver lesions and detection of liver metastases: a systematic review and cost-effectiveness analysis.超声造影使用声诺维®(六氟化硫微泡)与对比增强计算机断层扫描和对比增强磁共振成像在局灶性肝脏病变的特征描述和肝转移检测中的比较:系统评价和成本效益分析。
Health Technol Assess. 2013 Apr;17(16):1-243. doi: 10.3310/hta17160.
6
Signs and symptoms to determine if a patient presenting in primary care or hospital outpatient settings has COVID-19.在基层医疗机构或医院门诊环境中,如果患者出现以下症状和体征,可判断其是否患有 COVID-19。
Cochrane Database Syst Rev. 2022 May 20;5(5):CD013665. doi: 10.1002/14651858.CD013665.pub3.
7
Contrast-enhanced ultrasound for the diagnosis of hepatocellular carcinoma in adults with chronic liver disease.对比增强超声在慢性肝病成人肝细胞癌诊断中的应用。
Cochrane Database Syst Rev. 2022 Sep 2;9(9):CD013483. doi: 10.1002/14651858.CD013483.pub2.
8
Comparison of Two Modern Survival Prediction Tools, SORG-MLA and METSSS, in Patients With Symptomatic Long-bone Metastases Who Underwent Local Treatment With Surgery Followed by Radiotherapy and With Radiotherapy Alone.两种现代生存预测工具 SORG-MLA 和 METSSS 在接受手术联合放疗和单纯放疗治疗有症状长骨转移患者中的比较。
Clin Orthop Relat Res. 2024 Dec 1;482(12):2193-2208. doi: 10.1097/CORR.0000000000003185. Epub 2024 Jul 23.
9
Sexual Harassment and Prevention Training性骚扰与预防培训
10
Computed tomography for the diagnosis of hepatocellular carcinoma in adults with chronic liver disease.计算机断层扫描在慢性肝病成人肝细胞癌诊断中的应用。
Cochrane Database Syst Rev. 2021 Oct 6;10(10):CD013362. doi: 10.1002/14651858.CD013362.pub2.

本文引用的文献

1
Hepatic epithelioid angiomyolipoma: magnetic resonance imaging characteristics.肝上皮样血管平滑肌脂肪瘤:磁共振成像特征。
Abdom Radiol (NY). 2023 Mar;48(3):913-924. doi: 10.1007/s00261-023-03818-z. Epub 2023 Feb 2.
2
Two case reports and literature review for hepatic epithelioid angiomyolipoma: Pitfall of misdiagnosis.肝上皮样血管平滑肌脂肪瘤的两例病例报告及文献复习:误诊陷阱
World J Clin Cases. 2019 Apr 26;7(8):972-983. doi: 10.12998/wjcc.v7.i8.972.
3
Comparison of MRI Features of Epithelioid Hepatic Angiomyolipoma and Hepatocellular Carcinoma: Imaging Data From Two Centers.
上皮样肝血管平滑肌脂肪瘤与肝细胞癌的MRI特征比较:来自两个中心的影像数据
Front Oncol. 2018 Dec 12;8:600. doi: 10.3389/fonc.2018.00600. eCollection 2018.
4
Hepatic angiomyolipoma: diagnostic findings and management.肝血管平滑肌脂肪瘤:诊断结果与处理
Int J Hepatol. 2012;2012:410781. doi: 10.1155/2012/410781. Epub 2012 Dec 23.
5
Hepatic angiomyolipoma: CT and MR imaging findings with clinical-pathologic comparison.肝血管平滑肌脂肪瘤:CT与MR成像表现及临床病理对照
Abdom Imaging. 2013 Jun;38(3):482-9. doi: 10.1007/s00261-012-9932-0.
6
Epithelioid angiomyolipoma of the liver: CT and MRI features.肝脏上皮样血管平滑肌脂肪瘤:CT与MRI表现
Abdom Imaging. 2013 Apr;38(2):309-14. doi: 10.1007/s00261-012-9911-5.
7
Hepatic epithelioid angiomyolipoma with trabecular growth pattern: a mimic of hepatocellular carcinoma on fine needle aspiration cytology.具有小梁状生长模式的肝脏上皮样血管平滑肌脂肪瘤:细针穿刺细胞学检查中对肝细胞癌的一种误诊
Diagn Cytopathol. 2012 Jul;40(7):639-50. doi: 10.1002/dc.21703. Epub 2011 May 11.
8
Epithelioid angiomyolipoma of the liver: cross-sectional imaging findings of 10 immunohistochemically-verified cases.肝脏上皮样血管平滑肌脂肪瘤:10例经免疫组织化学证实病例的横断面成像表现
World J Gastroenterol. 2009 Sep 28;15(36):4576-81. doi: 10.3748/wjg.15.4576.
9
Renal angiomyolipoma: clinicopathologic study of 194 cases with emphasis on the epithelioid histology and tuberous sclerosis association.肾血管平滑肌脂肪瘤:194例临床病理研究,重点关注上皮样组织学及与结节性硬化症的关联
Am J Surg Pathol. 2009 Feb;33(2):289-97. doi: 10.1097/PAS.0b013e31817ed7a6.
10
Management of hepatic angiomyolipoma.肝血管平滑肌脂肪瘤的管理
J Gastrointest Surg. 2007 Apr;11(4):452-7. doi: 10.1007/s11605-006-0037-3.