Suppr超能文献

原发性肺恶性黑色素瘤伴多发转移:一例报告及文献复习

Primary pulmonary malignant melanoma with multiple metastases: a case report and literature review.

作者信息

Chen JinFeng, Ao Min, Li WeiYi, Li Xian, Yang Li

机构信息

Department of Respiratory and Critical Care Medicine, The First Affiliated Hospital of Chongqing Medical University, No.1 Youyi Road, Yuan Jiagang, Yuzhong District, Chongqing, 400016, China.

Chongqing Key Laboratory of Precision Medicine and Prevention of Major Respiratory Diseases, Chongqing, China.

出版信息

Respir Med Case Rep. 2025 Apr 21;55:102221. doi: 10.1016/j.rmcr.2025.102221. eCollection 2025.

Abstract

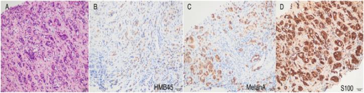
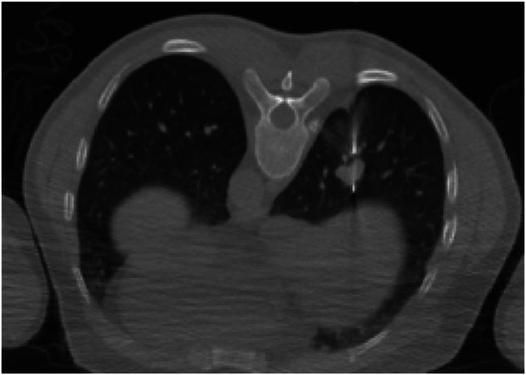
Primary malignant melanoma of lung (PMML) are relatively rare, accounting for about 0.4 % of all malignant melanomas and only 0.01 % of all lung tumors, and PMML with distant metastases found at diagnosis is extremely rare. A case of PMML presented as multiple solid and ground glass pulmonary nodules with brain, liver,intrapulmonary and lymph nodes metastasis was reported in this study. A 42-year-old man had a headache for 10 days after symptomatic treatment in the department of neurology in our hospital, but the above symptoms did not improved. Multiple nodules were considered by head MRI. Chest CT showed two solid nodules in the upper and lower lobes of the right lung and multiple ground glass nodules in both lungs. To further clarify the diagnosis,CT-guided percutaneous puncture biopsy of pulmonary nodule was performed. The pathology revealed malignant melanoma of .NRAS + BRAF gene test, showing BRAF gene exon 15 V600E mutation Dalafenib and trametinib were given targeted therapy after discharge. After 1 month follow-up, all lesions were significantly decreased. PMML presenting as solid and ground glass pulmonary nodules with multiple metastases is extremely rare. The early identification of pathological biopsy and genetic testing is crucial for precise treatment and enhancing prognosis.

摘要

原发性肺恶性黑色素瘤(PMML)相对罕见,约占所有恶性黑色素瘤的0.4%,仅占所有肺肿瘤的0.01%,而诊断时发现有远处转移的PMML极为罕见。本研究报告了1例表现为多个实性和磨玻璃样肺结节并伴有脑、肝、肺内及淋巴结转移的PMML病例。一名42岁男性在我院神经内科对症治疗后头痛10天,但上述症状未改善。头颅MRI检查考虑为多发结节。胸部CT显示右肺上叶和下叶有两个实性结节,双肺有多个磨玻璃结节。为进一步明确诊断,对肺结节进行了CT引导下经皮穿刺活检。病理显示为肺恶性黑色素瘤。NRAS + BRAF基因检测显示BRAF基因第15外显子V600E突变,出院后给予达拉非尼和曲美替尼靶向治疗。随访1个月后,所有病灶均明显缩小。表现为实性和磨玻璃样肺结节并伴有多发转移的PMML极为罕见。早期进行病理活检和基因检测对于精准治疗和改善预后至关重要。

https://cdn.ncbi.nlm.nih.gov/pmc/blobs/0f16/12264210/36a9a12aa3b6/gr1.jpg

文献检索

告别复杂PubMed语法,用中文像聊天一样搜索,搜遍4000万医学文献。AI智能推荐,让科研检索更轻松。

立即免费搜索

文件翻译

保留排版,准确专业,支持PDF/Word/PPT等文件格式,支持 12+语言互译。

免费翻译文档

深度研究

AI帮你快速写综述,25分钟生成高质量综述,智能提取关键信息,辅助科研写作。

立即免费体验