Suppr超能文献

马蹄肾合并胎儿双侧肾母细胞瘤1例罕见病例报告

A rare case of fetal bilateral Wilms' tumor in horseshoe kidney: A case report.

作者信息

Melis Abebe, Tadesse Teketel, Jemal Samson, Ketema Worku

机构信息

Hawassa university college of medicine and health science, department of pathology, Hawassa, Ethiopia.

Hawassa university college of medicine and health science, department of pathology, Hawassa, Ethiopia.

出版信息

Int J Surg Case Rep. 2025 Aug;133:111619. doi: 10.1016/j.ijscr.2025.111619. Epub 2025 Jul 8.

Abstract

INTRODUCTION AND IMPORTANCE

Wilms' tumor is the most common malignant kidney tumor in children. The horseshoe kidney is the most common renal fusion malformation. However, Wilms' tumor is rarely identified in horseshoe kidney patients. The incidence of horseshoe kidney is about 1 in 400 cases. Wilms' tumor or Nephrogenic rests can occur in both kidneys, termed bilateral disease, found in only 5-8 % of cases. Management of bilateral Wilms' tumor presents a major clinical challenge in terms of maximizing survival, preserving renal function, and understanding underlying genetic risk.

CASE PRESENTATION

Our case is a 28-year-old primigravid female patient, who came for the complaint of decreased abdominal girth and decreased fetal moment. Obstetric ultrasound concluded severe oligohydramnios + renal mass and safe termination was done. Subsequent examinations of the autopsy revealed bilateral Wilms tumor in horseshoe kidney.

CLINICAL DISCUSSION

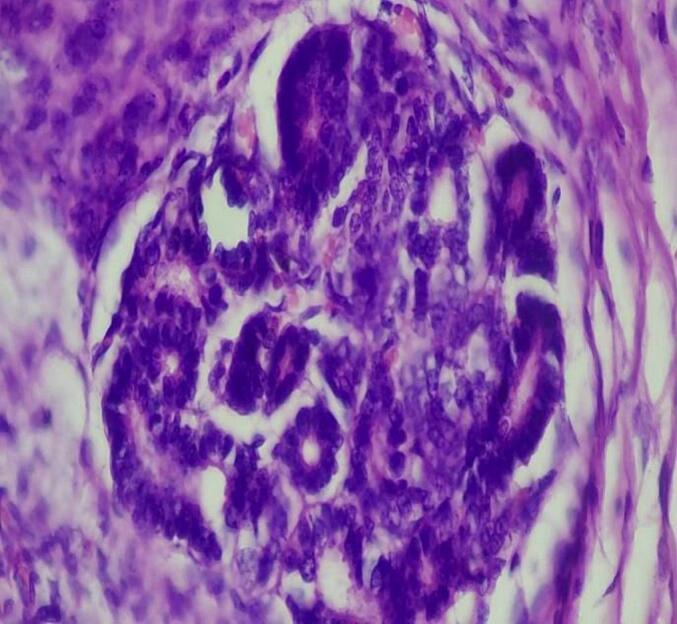
Ultrasound is used to diagnose horseshoe kidneys, whereas Computed tomography and magnetic resonance imaging are often used for staging purposes. Histopathological analysis is the current gold standard for diagnosing Wilms' tumor. Surgery, chemotherapy, and radiotherapy are also used to treat Wilms' tumor.

CONCLUSION

Fetal Wilms' tumor (WT) is extremely rare, but advances in fetal imaging have led to increased detection of such cases. Managing these cases remains challenging due to the complexity of treatment and the needed for preserving renal function. Prenatal ultrasound is an essential diagnostic tool for early detection and intervention.

摘要

引言与重要性

肾母细胞瘤是儿童最常见的恶性肾肿瘤。马蹄肾是最常见的肾融合畸形。然而,马蹄肾患者中很少发现肾母细胞瘤。马蹄肾的发病率约为400例中有1例。肾母细胞瘤或肾源性残留可发生在双侧肾脏,即双侧病变,仅在5 - 8%的病例中发现。双侧肾母细胞瘤的治疗在最大化生存率、保留肾功能以及了解潜在遗传风险方面提出了重大临床挑战。

病例介绍

我们的病例是一名28岁的初产妇,因腹围减小和胎动减少前来就诊。产科超声检查结果为严重羊水过少 + 肾脏肿块,遂进行了安全引产。随后的尸检显示马蹄肾双侧肾母细胞瘤。

临床讨论

超声用于诊断马蹄肾,而计算机断层扫描和磁共振成像常用于分期。组织病理学分析是目前诊断肾母细胞瘤的金标准。手术、化疗和放疗也用于治疗肾母细胞瘤。

结论

胎儿肾母细胞瘤(WT)极为罕见,但胎儿影像学的进展导致此类病例的检出率增加。由于治疗的复杂性和保留肾功能的必要性,处理这些病例仍然具有挑战性。产前超声是早期检测和干预的重要诊断工具。

https://cdn.ncbi.nlm.nih.gov/pmc/blobs/cbe3/12284649/b65fe273128d/gr1.jpg

文献AI研究员

20分钟写一篇综述,助力文献阅读效率提升50倍。

立即体验

用中文搜PubMed

大模型驱动的PubMed中文搜索引擎

马上搜索

文档翻译

学术文献翻译模型,支持多种主流文档格式。

立即体验