• 文献检索
  • 文档翻译
  • 深度研究
  • 学术资讯
  • Suppr Zotero 插件Zotero 插件
  • 邀请有礼
  • 套餐&价格
  • 历史记录
应用&插件
Suppr Zotero 插件Zotero 插件浏览器插件Mac 客户端Windows 客户端微信小程序
定价
高级版会员购买积分包购买API积分包
服务
文献检索文档翻译深度研究API 文档MCP 服务
关于我们
关于 Suppr公司介绍联系我们用户协议隐私条款
关注我们

Suppr 超能文献

核心技术专利:CN118964589B侵权必究
粤ICP备2023148730 号-1Suppr @ 2026

文献检索

告别复杂PubMed语法,用中文像聊天一样搜索,搜遍4000万医学文献。AI智能推荐,让科研检索更轻松。

立即免费搜索

文件翻译

保留排版,准确专业,支持PDF/Word/PPT等文件格式,支持 12+语言互译。

免费翻译文档

深度研究

AI帮你快速写综述,25分钟生成高质量综述,智能提取关键信息,辅助科研写作。

立即免费体验

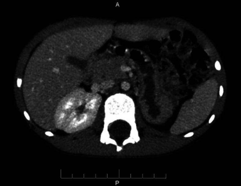
马蹄肾中的肾母细胞瘤

Wilms' Tumor in Horseshoe Kidney.

作者信息

Luu Doan Tien, Duc Nguyen Minh, Tra My Thieu-Thi, Bang Luong Viet, Lien Bang Mai Tan, Van Nguyen Dinh

机构信息

Department of Radiology, Hanoi Medical University Hospital, Hanoi, Vietnam.

Department of Radiology, Hanoi Medical University, Hanoi, Vietnam.

出版信息

Case Rep Nephrol Dial. 2021 Jun 17;11(2):124-128. doi: 10.1159/000514774. eCollection 2021 May-Aug.

DOI:10.1159/000514774
PMID:34250029
原文链接:https://pmc.ncbi.nlm.nih.gov/articles/PMC8255719/
Abstract

Wilms' tumor is the most common malignant kidney tumor found in children. The Horseshoe kidney is the most common renal fusion malformation. However, Wilms' tumor is rarely identified in horseshoe kidney patients. Multimodal treatments in Wilms' tumor can play important roles in increasing the survival rate. In this study, we report the case of a 6-year-old boy in whom a Wilms' tumor was identified in a horseshoe kidney. The tumor was successfully treated with preoperative chemotherapy, followed by surgical resection.

摘要

肾母细胞瘤是儿童中最常见的恶性肾肿瘤。马蹄肾是最常见的肾脏融合畸形。然而,马蹄肾患者中很少发现肾母细胞瘤。肾母细胞瘤的多模式治疗在提高生存率方面可发挥重要作用。在本研究中,我们报告了一名6岁男孩的病例,其马蹄肾中发现了肾母细胞瘤。该肿瘤通过术前化疗成功治疗,随后进行了手术切除。

https://cdn.ncbi.nlm.nih.gov/pmc/blobs/5e28/8255719/0b23c30faa4f/cnd-0011-0124-g02.jpg
https://cdn.ncbi.nlm.nih.gov/pmc/blobs/5e28/8255719/ea9970091b08/cnd-0011-0124-g01.jpg
https://cdn.ncbi.nlm.nih.gov/pmc/blobs/5e28/8255719/0b23c30faa4f/cnd-0011-0124-g02.jpg
https://cdn.ncbi.nlm.nih.gov/pmc/blobs/5e28/8255719/ea9970091b08/cnd-0011-0124-g01.jpg
https://cdn.ncbi.nlm.nih.gov/pmc/blobs/5e28/8255719/0b23c30faa4f/cnd-0011-0124-g02.jpg

相似文献

1
Wilms' Tumor in Horseshoe Kidney.马蹄肾中的肾母细胞瘤
Case Rep Nephrol Dial. 2021 Jun 17;11(2):124-128. doi: 10.1159/000514774. eCollection 2021 May-Aug.
2
Wilms' tumor in a horseshoe kidney.马蹄肾中的肾母细胞瘤。
Korean J Urol. 2012 Aug;53(8):577-80. doi: 10.4111/kju.2012.53.8.577. Epub 2012 Aug 16.
3
Wilms' tumor and horseshoe kidneys: a case report and review of the literature.肾母细胞瘤与马蹄肾:一例病例报告及文献综述
J Pediatr Surg. 2004 Feb;39(2):207-12. doi: 10.1016/j.jpedsurg.2003.10.019.
4
Extrarenal teratoid wilms' tumor in association with horseshoe kidney.肾外畸胎样肾母细胞瘤合并马蹄肾
Indian J Surg. 2013 Apr;75(2):128-32. doi: 10.1007/s12262-012-0606-5. Epub 2012 Sep 1.
5
Association of extrarenal Wilms' tumor with a horseshoe kidney.肾外威尔姆斯瘤与马蹄肾的关联。
J Pediatr Surg. 1998 Jun;33(6):935-7. doi: 10.1016/s0022-3468(98)90678-9.
6
Wilms' tumor in horseshoe kidney: presentation due to ureteropelvic junction obstruction.马蹄肾中的肾母细胞瘤:因输尿管肾盂连接处梗阻所致表现
J Surg Oncol. 1991 Nov;48(3):210-2. doi: 10.1002/jso.2930480315.
7
The occurrence of Wilms tumor in horseshoe kidneys: a report from the National Wilms Tumor Study Group (NWTSG).马蹄肾中肾母细胞瘤的发生:来自国家肾母细胞瘤研究组(NWTSG)的报告。
J Pediatr Surg. 2002 Aug;37(8):1134-7. doi: 10.1053/jpsu.2002.34458.
8
Case report: Xanthogranulomutous pyelonephritis presenting as "Wilms' tumor".病例报告:表现为“肾母细胞瘤”的黄色肉芽肿性肾盂肾炎
BMC Urol. 2016 Jul 7;16(1):36. doi: 10.1186/s12894-016-0155-5.
9
Diagnostic problems in a Wilms' tumour of the horseshoe kidney.
Z Kinderchir. 1988 Apr;43(2):110-1. doi: 10.1055/s-2008-1043429.
10
Anaplastic sarcoma arising in a mature metachronous bilateral Wilms' tumor after irradiation and chemotherapy. Spontaneous versus induced malignant change.放疗和化疗后成熟的异时性双侧肾母细胞瘤中发生的间变性肉瘤。自发与诱发的恶性变。
Cancer. 1987 Jun 15;59(12):2000-5. doi: 10.1002/1097-0142(19870615)59:12<2000::aid-cncr2820591205>3.0.co;2-w.

引用本文的文献

1
A rare case of fetal bilateral Wilms' tumor in horseshoe kidney: A case report.马蹄肾合并胎儿双侧肾母细胞瘤1例罕见病例报告
Int J Surg Case Rep. 2025 Aug;133:111619. doi: 10.1016/j.ijscr.2025.111619. Epub 2025 Jul 8.
2
Renal cell carcinoma in a horseshoe kidney: A case report.马蹄肾合并肾细胞癌:一例报告。
Int J Surg Case Rep. 2025 Mar;128:111015. doi: 10.1016/j.ijscr.2025.111015. Epub 2025 Feb 4.
3
Horseshoe kidney with teratoid type of Wilms tumor: a rare case report.马蹄肾合并Wilms 瘤的畸胎瘤型:罕见病例报告。

本文引用的文献

1
Imaging of Wilms tumor: an update.Wilms 瘤的影像学表现:更新。
Pediatr Radiol. 2019 Oct;49(11):1441-1452. doi: 10.1007/s00247-019-04423-3. Epub 2019 Oct 16.
2
The genetic changes of Wilms tumour.威尔姆斯瘤的基因变化。
Nat Rev Nephrol. 2019 Apr;15(4):240-251. doi: 10.1038/s41581-019-0112-0.
3
Evaluation of renal tumors in children.儿童肾肿瘤的评估
BMC Nephrol. 2024 Aug 23;25(1):267. doi: 10.1186/s12882-024-03709-5.
4
Association of Wilms Tumor with Crossed Fused Renal Ectopia in Children: A Case Report.儿童肾母细胞瘤与交叉融合性肾异位的关联:一例报告
J Cancer Allied Spec. 2024 Jan 22;10(1):601. doi: 10.37029/jcas.v10i1.601. eCollection 2024.
5
Wilms tumor in horseshoe kidney with extensive vascular thrombosis: A case report.马蹄肾合并广泛血管血栓形成的肾母细胞瘤:一例报告。
Int J Surg Case Rep. 2023 Nov;112:108951. doi: 10.1016/j.ijscr.2023.108951. Epub 2023 Oct 10.
6
Bioinformatics analysis and identification of genes and pathways involved in patients with Wilms tumor.肾母细胞瘤患者相关基因和通路的生物信息学分析与鉴定
Transl Cancer Res. 2022 Aug;11(8):2843-2857. doi: 10.21037/tcr-22-1847.
Turk J Urol. 2018 May;44(3):268-273. doi: 10.5152/tud.2018.70120. Epub 2018 May 1.
4
Multimodality imaging spectrum of complications of horseshoe kidney.马蹄肾并发症的多模态影像学表现谱
Indian J Radiol Imaging. 2017 Apr-Jun;27(2):133-140. doi: 10.4103/ijri.IJRI_298_16.
5
Malignant renal tumors in children.儿童恶性肾肿瘤
J Kidney Cancer VHL. 2015 May 10;2(3):84-89. doi: 10.15586/jkcvhl.2015.29. eCollection 2015.
6
The horseshoe kidney: Surgical anatomy and embryology.马蹄肾:手术解剖学与胚胎学
J Pediatr Urol. 2016 Oct;12(5):275-280. doi: 10.1016/j.jpurol.2016.04.033. Epub 2016 May 31.
7
Neuroblastoma and nephroblastoma: a radiological review.神经母细胞瘤和肾母细胞瘤:影像学综述。
Cancer Imaging. 2015 Apr 8;15(1):5. doi: 10.1186/s40644-015-0040-6.
8
Pattern of computed tomography scan findings in children with Wilms' tumor in a tertiary hospital in Lagos, Nigeria.尼日利亚拉各斯一家三级医院中患肾母细胞瘤儿童的计算机断层扫描结果模式
Indian J Med Paediatr Oncol. 2014 Jan;35(1):31-5. doi: 10.4103/0971-5851.133713.
9
Horseshoe kidney: a review of anatomy and pathology.马蹄肾:解剖学与病理学综述
Surg Radiol Anat. 2014 Aug;36(6):517-26. doi: 10.1007/s00276-013-1229-7. Epub 2013 Nov 1.
10
Tumour in horseshoe kidney - different surgical treatment shown in five example cases.马蹄肾肿瘤——五个实例展示的不同手术治疗方法
Contemp Oncol (Pozn). 2012;16(3):254-7. doi: 10.5114/wo.2012.29295. Epub 2012 Jul 6.