Suppr超能文献

含一氧化氮、银纳米颗粒和环丙沙星的水凝胶基质对铜绿假单胞菌烧伤创面感染的伤口愈合特性及抗生物膜活性

Wound healing properties and antibiofilm activity of hydrogel matrix containing nitric oxide, silver nanoparticles, and ciprofloxacin against Pseudomonas aeruginosa burn wound infection.

作者信息

Chegini Zahra, Azizi Mehdi, Safaiee Maliheh, Kalhori Fereshte, Zare Shahraki Raha, Hemmati Jaber, Hosseini Seyed Mostafa, Teimoori Ali, Shariati Aref, Arabestani Mohammad Reza

机构信息

Department of Microbiology, School of Medicine, Hamadan University of Medical Sciences, Hamadan, Iran.

Department of Tissue Engineering and Biomaterials, School of Advanced Medical Sciences and Technologies, Hamadan University of Medical Sciences, Hamadan, Iran.

出版信息

Sci Rep. 2025 Jul 21;15(1):26508. doi: 10.1038/s41598-025-12385-w.

Abstract

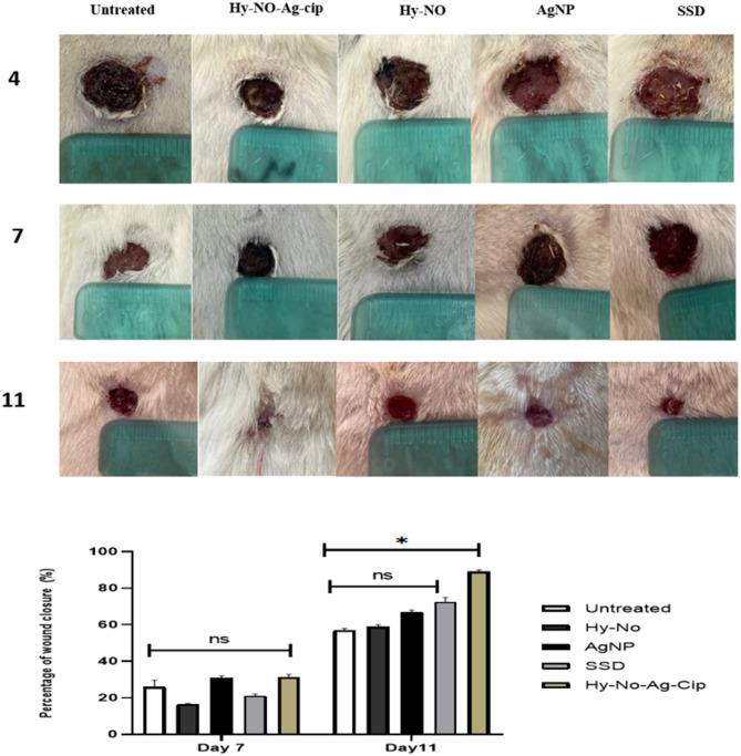
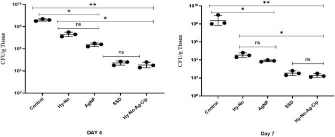
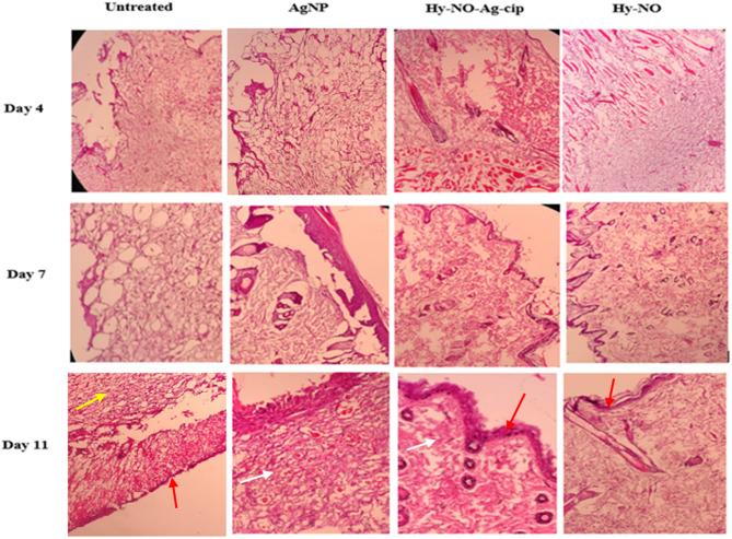
The high antibiotic resistance of Pseudomonas aeruginosa has led to significant issues and delays in wound healing, resulting in disruptions to the healing process. The present study evaluated the antibacterial effects and wound healing properties of a hydrogel matrix containing nitric oxide, silver nanoparticles, and ciprofloxacin (Hy-NO-Ag-Cip) against multi-drug-resistant (MDR) P. aeruginosa. The MDR P. aeruginosa was isolated from patients with burn wound infection. Hy-NO-Ag-Cip was synthesized, and its physicochemical characteristics were evaluated. The in vitro antibacterial and anti-biofilm effects of Hy-NO-Ag-Cip were analyzed. Burn wound infections were induced in 25 rats, and topical application was conducted to assess the antibacterial efficacy and wound healing characteristics of Hy-NO-Ag-Cip. The results showed that the fabricated hydrogels have a porous structure, with interconnected pores. The spectra of the formulated hydrogel loaded with AgNPs and the drug showed bands with similar frequencies and shapes to those of the final hydrogel. The Hy-NO-Ag-Cip minimum inhibitory concentration (MIC) was 250 µg/mL, and the 2× MIC of this hydrogel reduced mature biofilm by 65%. There was no toxic effect observed at the MIC concentration of Hy-NO-Ag-Cip on the L929 cell line. In the wound healing process, the group treated with Hy-NO-Ag-Cip exhibited a greater epithelial thickness, indicating enhanced wound healing compared to the other group. Hy-NO-Ag-Cip enhances antibiotic accumulation at the infection site through a controlled drug release, resulting in a substantial antibacterial action and improved wound healing.

摘要

铜绿假单胞菌的高抗生素耐药性已导致伤口愈合出现重大问题并延迟,从而干扰了愈合过程。本研究评估了一种含有一氧化氮、银纳米颗粒和环丙沙星的水凝胶基质(Hy-NO-Ag-Cip)对多重耐药(MDR)铜绿假单胞菌的抗菌作用和伤口愈合特性。多重耐药铜绿假单胞菌是从烧伤创面感染患者中分离出来的。合成了Hy-NO-Ag-Cip,并对其理化特性进行了评估。分析了Hy-NO-Ag-Cip的体外抗菌和抗生物膜作用。在25只大鼠身上诱导烧伤创面感染,并进行局部应用以评估Hy-NO-Ag-Cip的抗菌效果和伤口愈合特性。结果表明,制备的水凝胶具有多孔结构,孔隙相互连通。负载有AgNPs和药物的配方水凝胶的光谱显示出与最终水凝胶频率和形状相似的谱带。Hy-NO-Ag-Cip的最低抑菌浓度(MIC)为250μg/mL,该水凝胶的2×MIC可使成熟生物膜减少65%。在Hy-NO-Ag-Cip的MIC浓度下,未观察到对L929细胞系有任何毒性作用。在伤口愈合过程中,用Hy-NO-Ag-Cip治疗的组表现出更大的上皮厚度,表明与另一组相比伤口愈合得到增强。Hy-NO-Ag-Cip通过可控的药物释放增强了感染部位的抗生素积累,从而产生了显著的抗菌作用并改善了伤口愈合。

https://cdn.ncbi.nlm.nih.gov/pmc/blobs/ac88/12280077/c24bd0b94541/41598_2025_12385_Fig1_HTML.jpg

文献检索

告别复杂PubMed语法,用中文像聊天一样搜索,搜遍4000万医学文献。AI智能推荐,让科研检索更轻松。

立即免费搜索

文件翻译

保留排版,准确专业,支持PDF/Word/PPT等文件格式,支持 12+语言互译。

免费翻译文档

深度研究

AI帮你快速写综述,25分钟生成高质量综述,智能提取关键信息,辅助科研写作。

立即免费体验