Suppr超能文献

Chk2基因缺失通过调控Cyp1a1挽救了由Bmi1基因缺陷诱导的骨质流失和细胞衰老。

Chk2 deletion rescues bone loss and cellular senescence induced by Bmi1 deficiency via regulation of Cyp1a1.

作者信息

Liu Yining, Ji Xiaolei, Zhang Jinge, Lu Jinhong, Liu Boyang, Sun Haijian, Miao Dengshun

机构信息

Department of Technology, Zhongda Hospital Southeast University, Nanjing, China.

The Research Center for Bone and Stem Cells, Department of Anatomy, Histology and Embryology, Nanjing Medical University, Nanjing, China.

出版信息

J Orthop Translat. 2025 May 10;52:360-375. doi: 10.1016/j.jot.2025.04.014. eCollection 2025 May.

Abstract

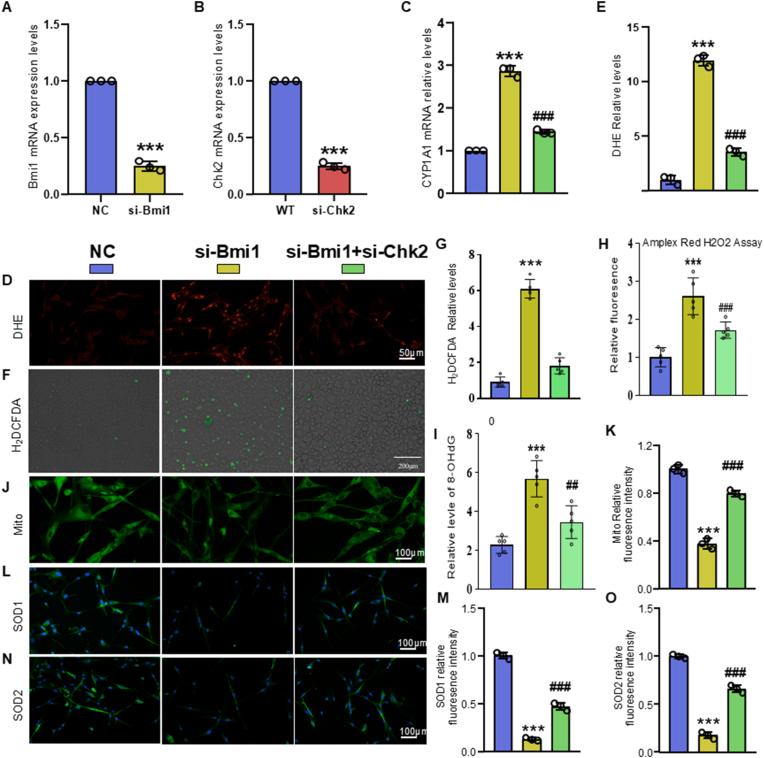
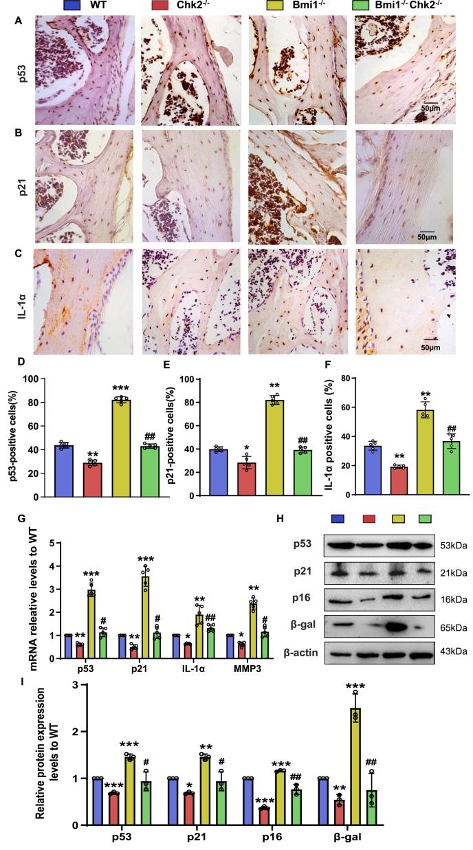
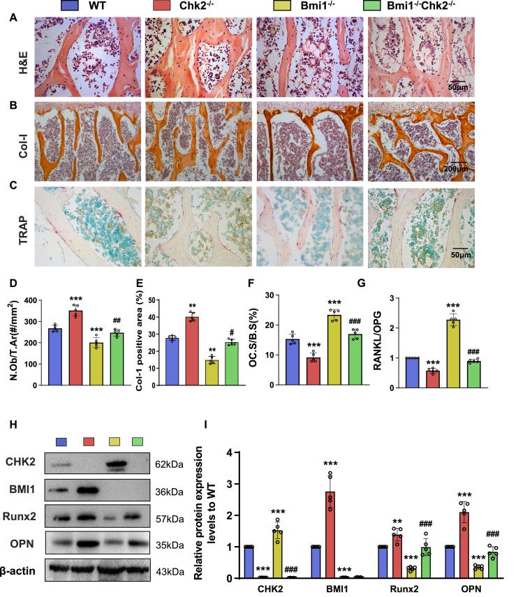
BACKGROUND/OBJECTIVE: Bone homeostasis, maintained by a balance between osteoblastic bone formation and osteoclastic bone resorption, is disrupted in osteoporosis, leading to reduced bone mass and increased fracture risk. Bmi1, a polycomb group protein, is crucial for stem cell self-renewal and senescence regulation. Bmi1 deficiency has been linked to oxidative stress, DNA damage, and premature osteoporosis. Checkpoint kinase 2 (Chk2) is a key mediator of the DNA damage response (DDR) pathway, which can exacerbate bone aging through oxidative stress and senescence. This study investigated the role of Chk2 deletion in mitigating bone loss and cellular senescence caused by Bmi1 deficiency and explored the underlying molecular mechanisms, focusing on the regulation of oxidative stress via Cyp1a1.

METHODS

We utilized Bmi1-deficient (Bmi1), Chk2-deficient (Chk2), and double knockout (Bmi1Chk2) mice to assess bone homeostasis. Bone mineral density (BMD), trabecular architecture, and bone turnover markers were evaluated using X-ray imaging, micro-CT, histological staining, and bone histomorphometry. Oxidative stress markers, DDR pathway activation, and senescence-associated secretory phenotype (SASP) were analyzed using Western blotting, immunohistochemistry, and real-time PCR. Transcriptome sequencing identified differentially expressed genes, including Cyp1a1, which was further validated through chromatin immunoprecipitation (ChIP), luciferase assays, and knockdown experiments in bone marrow mesenchymal stem cells (BMSCs).

RESULTS

Bmi1 deficiency activated the ATM-Chk2-p53 DDR pathway, increased oxidative stress, and induced osteocyte senescence and senescence-associated secretory phenotype (SASP), leading to reduced osteoblastic bone formation, increased osteoclastic bone resorption, and significant bone loss. Chk2 knockout rescued these defects by reducing oxidative stress and senescence. In Bmi1Chk2 mice, BMD, trabecular bone volume, collagen deposition, and osteoblast markers (Runx2 and OPN) were significantly improved, while osteoclast markers (TRAP and RANKL/OPG ratio) were reduced compared to Bmi1 mice. Oxidative stress markers, including SOD1 and SOD2, were restored, and senescence markers such as p16, p21, and β-gal activity were significantly decreased. Transcriptome analysis identified Cyp1a1 as a key regulator of oxidative stress downstream of Bmi1 and Chk2. Bmi1 deficiency upregulated Cyp1a1, increasing ROS levels, while Chk2 knockout downregulated Cyp1a1 and mitigated oxidative stress. Mechanistically, p53 was shown to directly bind the Cyp1a1 promoter and activate its transcription, with Chk2 knockout reducing p53-mediated Cyp1a1 expression. These findings highlight the critical role of the Bmi1-Chk2-p53-Cyp1a1 axis in regulating bone homeostasis.

CONCLUSION

Chk2 knockout rescues bone loss and cellular senescence induced by Bmi1 deficiency by reducing oxidative stress through downregulation of Cyp1a1. These findings provide novel insights into the molecular mechanisms underlying bone aging and identify Chk2 and Cyp1a1 as potential therapeutic targets for osteoporosis and age-related bone disorders.

THE TRANSLATIONAL POTENTIAL OF THIS ARTICLE

This study identifies Chk2 and Cyp1a1 as potential therapeutic targets for osteoporosis and age-related bone loss. Targeting Chk2 or Cyp1a1 could mitigate oxidative stress and cellular senescence, offering a novel approach to preserving bone mass and preventing fractures in aging populations.

摘要

背景/目的:骨稳态由成骨细胞骨形成与破骨细胞骨吸收之间的平衡维持,在骨质疏松症中会被破坏,导致骨量减少和骨折风险增加。Bmi1是一种多梳蛋白家族蛋白,对干细胞自我更新和衰老调节至关重要。Bmi1缺乏与氧化应激、DNA损伤和过早发生的骨质疏松症有关。检查点激酶2(Chk2)是DNA损伤反应(DDR)途径的关键介质,可通过氧化应激和衰老加剧骨老化。本研究调查了Chk2缺失在减轻Bmi1缺乏引起的骨质流失和细胞衰老中的作用,并探讨了潜在的分子机制,重点是通过Cyp1a1对氧化应激的调节。

方法

我们利用Bmi1缺陷型(Bmi1-/-)、Chk2缺陷型(Chk2-/-)和双敲除(Bmi1-/-Chk2-/-)小鼠来评估骨稳态。使用X射线成像、显微CT、组织学染色和骨组织形态计量学评估骨密度(BMD)、小梁结构和骨转换标志物。使用蛋白质印迹法、免疫组织化学和实时PCR分析氧化应激标志物、DDR途径激活和衰老相关分泌表型(SASP)。转录组测序鉴定了差异表达基因,包括Cyp1a,并通过染色质免疫沉淀(ChIP)、荧光素酶测定以及骨髓间充质干细胞(BMSC)中的敲低实验对其进行了进一步验证。

结果

Bmi1缺乏激活了ATM-Chk2-p53 DDR途径,增加了氧化应激,并诱导了骨细胞衰老和衰老相关分泌表型(SASP),导致成骨细胞骨形成减少、破骨细胞骨吸收增加和显著的骨质流失。Chk2基因敲除通过降低氧化应激和衰老挽救了这些缺陷。在Bmi1-/-Chk2-/-小鼠中,与Bmi1-/-小鼠相比,骨密度、小梁骨体积、胶原蛋白沉积和成骨细胞标志物(Runx2和OPN)显著改善,而破骨细胞标志物(TRAP和RANKL/OPG比值)降低。包括SOD1和SOD2在内的氧化应激标志物恢复,p16、p21和β-半乳糖苷酶活性等衰老标志物显著降低。转录组分析确定Cyp1a1是Bmi1和Chk2下游氧化应激的关键调节因子。Bmi1缺乏上调Cyp1a1,增加ROS水平,而Chk2基因敲除下调Cyp1a1并减轻氧化应激。机制上,p53被证明直接结合Cyp1a1启动子并激活其转录,Chk2基因敲除减少了p53介导的Cyp1a1表达。这些发现突出了Bmi1-Chk2-p53-Cyp1a1轴在调节骨稳态中的关键作用。

结论

Chk2基因敲除通过下调Cyp1a1减少氧化应激,挽救了Bmi1缺乏引起的骨质流失和细胞衰老。这些发现为骨老化的分子机制提供了新的见解,并确定Chk2和Cyp1a1为骨质疏松症和年龄相关骨疾病的潜在治疗靶点。

本文的转化潜力

本研究确定Chk2和Cyp1a1为骨质疏松症和年龄相关骨质流失的潜在治疗靶点。靶向Chk2或Cyp1a1可以减轻氧化应激和细胞衰老,为在老年人群中维持骨量和预防骨折提供一种新方法。

https://cdn.ncbi.nlm.nih.gov/pmc/blobs/2b60/12282458/631cc910785d/ga1.jpg

文献检索

告别复杂PubMed语法,用中文像聊天一样搜索,搜遍4000万医学文献。AI智能推荐,让科研检索更轻松。

立即免费搜索

文件翻译

保留排版,准确专业,支持PDF/Word/PPT等文件格式,支持 12+语言互译。

免费翻译文档

深度研究

AI帮你快速写综述,25分钟生成高质量综述,智能提取关键信息,辅助科研写作。

立即免费体验