Suppr超能文献

利用非增强心脏计算机断层扫描上左心房心外膜脂肪组织的影像组学特征预测心房颤动

Prediction of Atrial Fibrillation Using Radiomic Features of Left Atrial Epicardial Adipose Tissue on Noncontrast Cardiac Computed Tomography.

作者信息

Cohen-Dor Shayna, Rav-Acha Moshe, Shaheen Fauzi, Chutko Boris, Labrisch-Kaye Hadas, Ben-Haim Zohar, Michowitz Yoav, Gérard Hilla, Bogot Naama, Carraso Shemi, Vitkon-Barkay Itzhak, Copel Laurian, Glikson Michael, Wolak Arik

机构信息

Jesselson Integrated Heart Center and the Eisenberg R&D Authority, Shaare Zedek Medical Center, Jerusalem, Israel.

Faculty of Medicine, Hebrew University, Jerusalem, Israel.

出版信息

CJC Open. 2025 Apr 14;7(7):936-947. doi: 10.1016/j.cjco.2025.03.024. eCollection 2025 Jul.

Abstract

BACKGROUND

Early detection of atrial fibrillation (AF) can prevent AF-related complications. Radiomic analysis of epicardial adipose tissue (EAT) was shown to predict AF recurrence postablation, but only limited data exist regarding left atrial EAT (LA-EAT) radiomic analysis for predicting AF in patients with yet unknown AF. Our aim was to develop prediction model for AF, based on the association of machine learning-based radiomic analysis of LA-EAT and AF.

METHODS

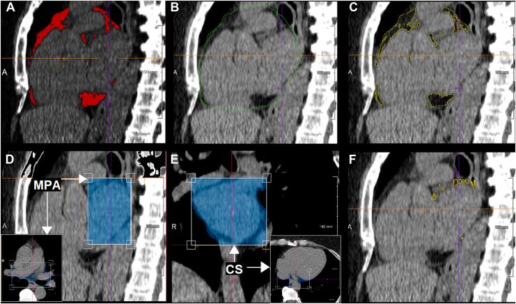
Retrospective matched case-control study of patients with and without AF, undergoing noncontrast electrocardiographic (ECG)-gated cardiac computed tomography (CT). Segmentation of LA-EAT and extraction of LA-EAT radiomic features were performed using syngo.via Frontier (Siemens Healthineers, Forchheim, Germany). Univariate analysis identified radiomic features associated with AF. Predictive models for AF were developed via logistic regression and machine learning-based random forest analyses. Models were validated on external cohort of patients with 1:1 AF : control ratio and deployed in a real-world setting with an AF : control ratio of 15:85.

RESULTS

The study included 280 patients, 120 with documented AF and 160 matched controls. Based on LA-EAT radiomic features, which were significantly associated with AF, logistic regression and random forest models were constructed and tested on separate internal cohort of patients, yielding area under the curve (AUC) of 0.88 and 0.86, respectively, for prediction of AF. External validation verified these results (AUC 0.84 and 0.78, respectively). Both models were further validated in a real-world setting cohort (AUC 0.85 and 0.81, respectively).

CONCLUSIONS

Models, based on LA-EAT radiomic features extracted from noncontrast ECG-gated cardiac CT, could accurately predict AF, suggesting a potential widespread noninvasive method for predicting the presence of AF.

CLINICAL REGISTRATION NUMBER

0281-23-ASF.

摘要

背景

心房颤动(AF)的早期检测可预防与AF相关的并发症。已有研究表明,对心外膜脂肪组织(EAT)进行放射组学分析可预测消融术后AF复发,但关于左心房EAT(LA-EAT)放射组学分析用于预测尚未发生AF患者的AF情况的数据有限。我们的目的是基于对LA-EAT进行基于机器学习的放射组学分析与AF的关联,开发AF预测模型。

方法

对接受非增强心电图(ECG)门控心脏计算机断层扫描(CT)的AF患者和非AF患者进行回顾性匹配病例对照研究。使用syngo.via Frontier(德国福希海姆西门子医疗公司)对LA-EAT进行分割并提取LA-EAT放射组学特征。单因素分析确定与AF相关的放射组学特征。通过逻辑回归和基于机器学习的随机森林分析开发AF预测模型。模型在AF与对照比例为1:1的外部患者队列中进行验证,并在AF与对照比例为15:85的真实环境中应用。

结果

该研究纳入280例患者,其中120例有AF记录,160例为匹配对照。基于与AF显著相关的LA-EAT放射组学特征,构建逻辑回归和随机森林模型,并在不同的内部患者队列中进行测试,预测AF的曲线下面积(AUC)分别为0.88和0.86。外部验证证实了这些结果(AUC分别为0.84和0.78)。两个模型在真实环境队列中进一步得到验证(AUC分别为0.85和0.81)。

结论

基于从非增强ECG门控心脏CT中提取的LA-EAT放射组学特征的模型能够准确预测AF,提示这是一种潜在的广泛应用的无创预测AF存在的方法。

临床注册号

0281-23-ASF。

https://cdn.ncbi.nlm.nih.gov/pmc/blobs/4303/12277846/03969407759f/gr1.jpg

文献检索

告别复杂PubMed语法,用中文像聊天一样搜索,搜遍4000万医学文献。AI智能推荐,让科研检索更轻松。

立即免费搜索

文件翻译

保留排版,准确专业,支持PDF/Word/PPT等文件格式,支持 12+语言互译。

免费翻译文档

深度研究

AI帮你快速写综述,25分钟生成高质量综述,智能提取关键信息,辅助科研写作。

立即免费体验