Suppr超能文献

人工智能辅助的压缩感知电影成像增强了对具有挑战性患者的心脏磁共振成像工作流程。

Artificial intelligence-assisted compressed sensing CINE enhances the workflow of cardiac magnetic resonance in challenging patients.

作者信息

Wang Huaijun, Schmieder Anne, Watkins Mary, Wang Pengjun, Mitchell Joshua, Qamer S Zyad, Lanza Gregory

机构信息

United Imaging Healthcare, Houston, TX 77054, United States.

Division of Cardiology, Washington University in Saint Louis, Saint Louis, MO 63108, United States.

出版信息

World J Cardiol. 2025 Jul 26;17(7):108745. doi: 10.4330/wjc.v17.i7.108745.

Abstract

BACKGROUND

A key cardiac magnetic resonance (CMR) challenge is breath-holding duration, difficult for cardiac patients.

AIM

To evaluate whether artificial intelligence-assisted compressed sensing CINE (AI-CS-CINE) reduces image acquisition time of CMR compared to conventional CINE (C-CINE).

METHODS

Cardio-oncology patients ( = 60) and healthy volunteers ( = 29) underwent sequential C-CINE and AI-CS-CINE with a 1.5-T scanner. Acquisition time, visual image quality assessment, and biventricular metrics (end-diastolic volume, end-systolic volume, stroke volume, ejection fraction, left ventricular mass, and wall thickness) were analyzed and compared between C-CINE and AI-CS-CINE with Bland-Altman analysis, and calculation of intraclass coefficient (ICC).

RESULTS

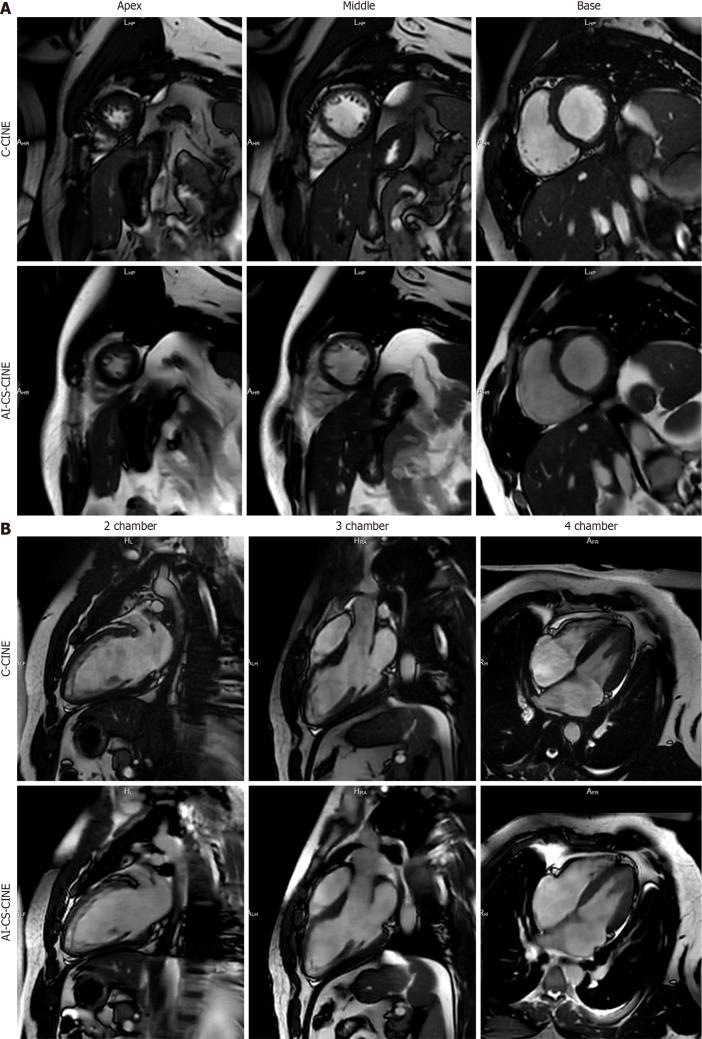
In 89 participants (58.5 ± 16.8 years, 42 males, 47 females), total AI-CS-CINE acquisition and reconstruction time (37 seconds) was 84% faster than C-CINE (238 seconds). C-CINE required repeats in 23% (20/89) of cases (approximately 8 minutes lost), while AI-CS-CINE only needed one repeat (1%; 2 seconds lost). AI-CS-CINE had slightly lower contrast but preserved structural clarity. Bland-Altman plots and ICC (0.73 ≤ ≤ 0.98) showed strong agreement for left ventricle (LV) and right ventricle (RV) metrics, including those in the cardiac amyloidosis subgroup ( = 31). AI-CS-CINE enabled faster, easier imaging in patients with claustrophobia, dyspnea, arrhythmias, or restlessness. Motion-artifacted C-CINE images were reliably interpreted from AI-CS-CINE.

CONCLUSION

AI-CS-CINE accelerated CMR image acquisition and reconstruction, preserved anatomical detail, and diminished impact of patient-related motion. Quantitative AI-CS-CINE metrics agreed closely with C-CINE in cardio-oncology patients, including the cardiac amyloidosis cohort, as well as healthy volunteers regardless of left and right ventricular size and function. AI-CS-CINE significantly enhanced CMR workflow, particularly in challenging cases. The strong analytical concordance underscores reliability and robustness of AI-CS-CINE as a valuable tool.

摘要

背景

心脏磁共振成像(CMR)的一个关键挑战是屏气时间,这对心脏病患者来说很困难。

目的

评估与传统电影磁共振成像(C-CINE)相比,人工智能辅助的压缩感知电影磁共振成像(AI-CS-CINE)是否能减少CMR的图像采集时间。

方法

心脏肿瘤患者(n = 60)和健康志愿者(n = 29)使用1.5-T扫描仪依次进行C-CINE和AI-CS-CINE检查。采用Bland-Altman分析和组内相关系数(ICC)计算,对C-CINE和AI-CS-CINE之间的采集时间、视觉图像质量评估以及双心室指标(舒张末期容积、收缩末期容积、每搏输出量、射血分数、左心室质量和壁厚)进行分析和比较。

结果

在89名参与者(年龄58.5±16.8岁,男性42名,女性47名)中,AI-CS-CINE的总采集和重建时间(37秒)比C-CINE(238秒)快84%。C-CINE在23%(20/89)的病例中需要重复检查(大约损失8分钟),而AI-CS-CINE只需要一次重复检查(1%;损失2秒)。AI-CS-CINE的对比度略低,但保留了结构清晰度。Bland-Altman图和ICC(0.73≤ICC≤0.98)显示左心室(LV)和右心室(RV)指标,包括心脏淀粉样变性亚组(n = 31)中的指标,具有高度一致性。AI-CS-CINE能够在幽闭恐惧症、呼吸困难、心律失常或烦躁不安的患者中更快、更轻松地成像。运动伪影的C-CINE图像可以从AI-CS-CINE中可靠地解读出来。

结论

AI-CS-CINE加速了CMR图像的采集和重建,保留了解剖细节,并减少了患者相关运动的影响。在心脏肿瘤患者,包括心脏淀粉样变性队列以及健康志愿者中,无论左、右心室大小和功能如何,AI-CS-CINE的定量指标与C-CINE密切一致。AI-CS-CINE显著增强了CMR工作流程,尤其是在具有挑战性的病例中。强大的分析一致性强调了AI-CS-CINE作为一种有价值工具的可靠性和稳健性。

https://cdn.ncbi.nlm.nih.gov/pmc/blobs/c571/12304818/6c08ae535f2f/wjc-17-7-108745-g001.jpg

文献检索

告别复杂PubMed语法,用中文像聊天一样搜索,搜遍4000万医学文献。AI智能推荐,让科研检索更轻松。

立即免费搜索

文件翻译

保留排版,准确专业,支持PDF/Word/PPT等文件格式,支持 12+语言互译。

免费翻译文档

深度研究

AI帮你快速写综述,25分钟生成高质量综述,智能提取关键信息,辅助科研写作。

立即免费体验