Suppr超能文献

S-腺苷甲硫氨酸对链脲佐菌素诱导的糖尿病大鼠氧化应激和组织损伤的保护作用。

Protective effects of S-adenosyl methionine on oxidative stress and tissue damage in STZ-induced diabetic rats.

作者信息

RahimBakhsh AmirHossein, Kheirollahi Asma, Vatannejad Akram, Shokrpoor Sara, Mohammadi Rahman

机构信息

Department of Comparative Biosciences, Faculty of Veterinary Medicine, University of Tehran, Tehran, Iran.

Department of Pathology and Clinical Pathology, Faculty of Veterinary Medicine, University of Tehran, Tehran, Iran.

出版信息

Amino Acids. 2025 Jul 31;57(1):38. doi: 10.1007/s00726-025-03471-4.

Abstract

BACKGROUND

Oxidative stress is a key contributor to the progression of diabetes mellitus and its associated complications. Recently, S-adenosyl methionine (SAM) has shown promise in mitigating oxidative stress and improving glucose metabolism. This study aimed to investigate the effects of SAM supplementation on biochemical parameters, oxidative stress markers, and histopathological alterations in the kidneys and liver of streptozotocin (STZ)-induced diabetic rats.

METHODS

Eighteen male Wistar rats were randomly divided into three groups (n = 6 per group): non-diabetic control, diabetic control, and diabetic rats treated with SAM (10 mg/kg/day, intraperitoneally) for 4 weeks. Fasting blood glucose, renal and hepatic biochemical markers (urea, creatinine, ALT, AST), and oxidative stress markers (malondialdehyde, protein carbonyls, total antioxidant capacity) were measured. Histopathological changes in kidney and liver tissues were also assessed.

RESULTS

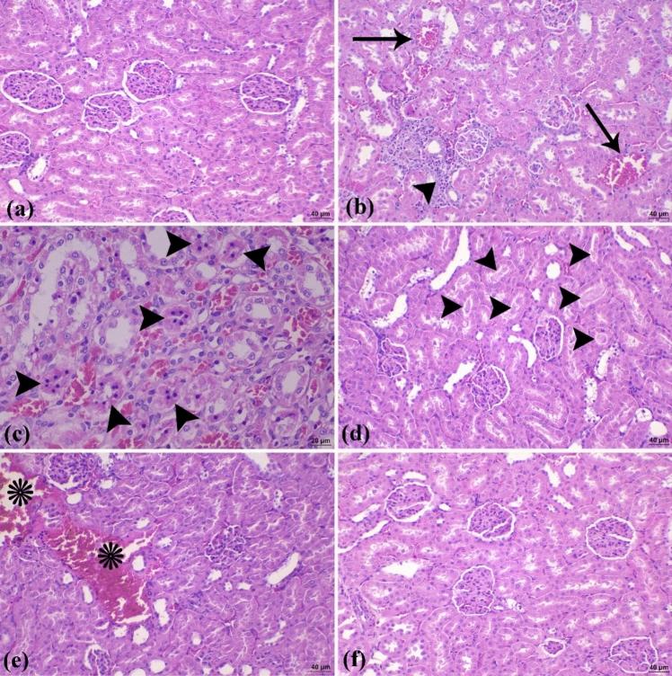
Diabetic rats treated with SAM exhibited minor, non-significant changes in fasting blood glucose, urea, creatinine, ALT, and AST levels. In contrast, treatment with SAM in diabetic rats significantly reduced malondialdehyde and protein carbonyl levels in both kidney and liver tissues compared to the diabetic control group (P < 0.05). Furthermore, histopathological analysis revealed improved tissue architecture and reduced pathological changes in the diabetic group treated with SAM.

CONCLUSION

Our findings demonstrated that SAM supplementation exerts significant antioxidant and histopathological protective effects against diabetes-induced damage in kidney and liver tissues.

摘要

背景

氧化应激是糖尿病及其相关并发症进展的关键因素。最近,S-腺苷甲硫氨酸(SAM)在减轻氧化应激和改善葡萄糖代谢方面显示出前景。本研究旨在探讨补充SAM对链脲佐菌素(STZ)诱导的糖尿病大鼠肾脏和肝脏的生化参数、氧化应激标志物及组织病理学改变的影响。

方法

18只雄性Wistar大鼠随机分为三组(每组n = 6):非糖尿病对照组、糖尿病对照组和用SAM(10 mg/kg/天,腹腔注射)治疗4周的糖尿病大鼠组。测量空腹血糖、肾脏和肝脏生化标志物(尿素、肌酐、谷丙转氨酶、谷草转氨酶)以及氧化应激标志物(丙二醛、蛋白质羰基、总抗氧化能力)。还评估了肾脏和肝脏组织的组织病理学变化。

结果

用SAM治疗的糖尿病大鼠在空腹血糖、尿素、肌酐、谷丙转氨酶和谷草转氨酶水平上有轻微的、不显著的变化。相比之下,与糖尿病对照组相比,用SAM治疗糖尿病大鼠可显著降低肾脏和肝脏组织中的丙二醛和蛋白质羰基水平(P < 0.05)。此外,组织病理学分析显示,用SAM治疗的糖尿病组组织结构得到改善,病理变化减少。

结论

我们的研究结果表明,补充SAM对糖尿病诱导的肾脏和肝脏组织损伤具有显著的抗氧化和组织病理学保护作用。

https://cdn.ncbi.nlm.nih.gov/pmc/blobs/8fb9/12313745/f28c2d8572b2/726_2025_3471_Fig1_HTML.jpg

文献检索

告别复杂PubMed语法,用中文像聊天一样搜索,搜遍4000万医学文献。AI智能推荐,让科研检索更轻松。

立即免费搜索

文件翻译

保留排版,准确专业,支持PDF/Word/PPT等文件格式,支持 12+语言互译。

免费翻译文档

深度研究

AI帮你快速写综述,25分钟生成高质量综述,智能提取关键信息,辅助科研写作。

立即免费体验