• 文献检索
  • 文档翻译
  • 深度研究
  • 学术资讯
  • Suppr Zotero 插件Zotero 插件
  • 邀请有礼
  • 套餐&价格
  • 历史记录
应用&插件
Suppr Zotero 插件Zotero 插件浏览器插件Mac 客户端Windows 客户端微信小程序
定价
高级版会员购买积分包购买API积分包
服务
文献检索文档翻译深度研究API 文档MCP 服务
关于我们
关于 Suppr公司介绍联系我们用户协议隐私条款
关注我们

Suppr 超能文献

核心技术专利:CN118964589B侵权必究
粤ICP备2023148730 号-1Suppr @ 2026

文献检索

告别复杂PubMed语法,用中文像聊天一样搜索,搜遍4000万医学文献。AI智能推荐,让科研检索更轻松。

立即免费搜索

文件翻译

保留排版,准确专业,支持PDF/Word/PPT等文件格式,支持 12+语言互译。

免费翻译文档

深度研究

AI帮你快速写综述,25分钟生成高质量综述,智能提取关键信息,辅助科研写作。

立即免费体验

通过紧密、无序列基序且特异的TaqTth-hpRNA辅助微同源性介导的末端连接途径删除DNA大片段

DNA large fragment deleting by compact, sequence-motif-free and specific TaqTth-hpRNA assisted with the microhomology-mediated end joining pathway.

作者信息

Liu Yu, Weng Zhixin, Zhai Ziheng, Xu Zhengmeng, Liu Xiaojing, Qiang Huanran, Tian Kun, Rao Bingcheng, Zhou Guohua, Guo Yongjian, Xu Shu

机构信息

School of Basic Medical Science and Clinical Pharmacy, China Pharmaceutical University, Nanjing, Jiangsu 210009, China.

Department of Anesthesiology, Perioperative and Pain Medicine, Nanjing First Hospital, China Pharmaceutical University, Nanjing, Jiangsu 210006, China.

出版信息

Nucleic Acids Res. 2025 Jul 19;53(14). doi: 10.1093/nar/gkaf723.

DOI:10.1093/nar/gkaf723
PMID:40744499
原文链接:https://pmc.ncbi.nlm.nih.gov/articles/PMC12311783/
Abstract

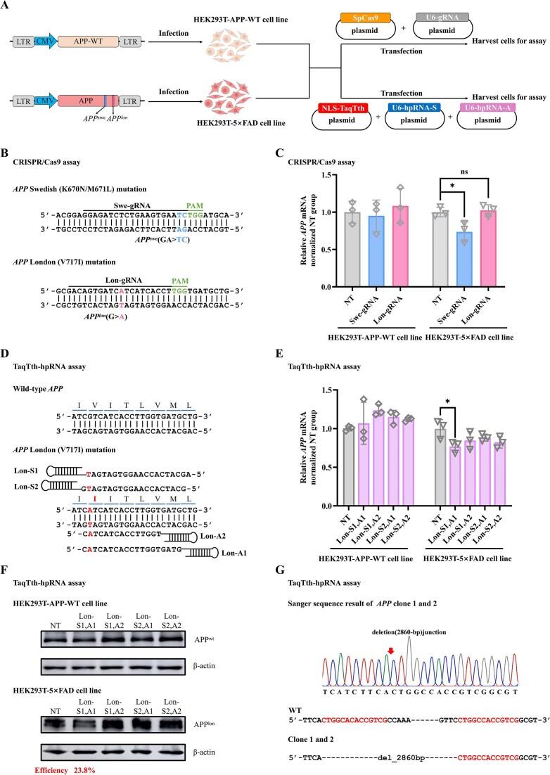
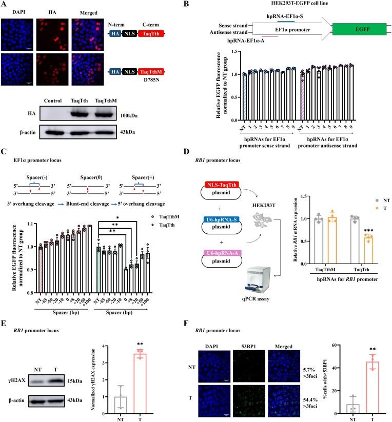
A DNA editing tool TaqTth-hpRNA was developed in this study, composed of a compact recombinant TaqTth nuclease (832 aa) and a simple hairpin-RNA guiding probe (hpRNA). In vitro biochemical studies showed the TaqTth-hpRNA efficiently cleaves artificially synthesized single-stranded DNA without stringent sequence motif like protospacer adjacent motif (PAM). It can also cleave the genomic DNA of Escherichia coli with ∼80% efficiency. The TaqTth-hpRNA cleavage of genomic DNA in mammalian cells generated products with large fragment deletions mediated by the microhomology-mediated end joining pathway. In addition, the cleavage was sensitive to mismatches in targeted regions, which was applied to specific damage of the APPlon mutation in Alzheimer's disease without disrupting the APPwt locus. It is worth mentioning that the APPlon sequence has only one base difference from that of APPwt. The characteristics of small size, no PAM requirement, high specificity, and large deletion products make the TaqTth-hpRNA a potential therapeutic strategy for treating autosomal dominant disorders in the future.

摘要

本研究开发了一种DNA编辑工具TaqTth-hpRNA,它由一个紧凑的重组TaqTth核酸酶(832个氨基酸)和一个简单的发夹RNA引导探针(hpRNA)组成。体外生化研究表明,TaqTth-hpRNA能有效切割人工合成的单链DNA,而无需像原间隔相邻基序(PAM)那样严格的序列基序。它还能以约80%的效率切割大肠杆菌的基因组DNA。TaqTth-hpRNA对哺乳动物细胞基因组DNA的切割产生了由微同源性介导的末端连接途径介导的大片段缺失产物。此外,这种切割对靶向区域的错配敏感,可用于阿尔茨海默病中APP lon突变的特异性损伤,而不破坏APP wt基因座。值得一提的是,APP lon序列与APP wt序列只有一个碱基差异。TaqTth-hpRNA体积小、无需PAM、特异性高以及产生大片段缺失产物的特点,使其成为未来治疗常染色体显性疾病的一种潜在治疗策略。

https://cdn.ncbi.nlm.nih.gov/pmc/blobs/871c/12311783/86dd0aa5a491/gkaf723fig6.jpg
https://cdn.ncbi.nlm.nih.gov/pmc/blobs/871c/12311783/6c88f7eacfc6/gkaf723figgra1.jpg
https://cdn.ncbi.nlm.nih.gov/pmc/blobs/871c/12311783/01bcd2cad98e/gkaf723fig1.jpg
https://cdn.ncbi.nlm.nih.gov/pmc/blobs/871c/12311783/2b320723e9e4/gkaf723fig2.jpg
https://cdn.ncbi.nlm.nih.gov/pmc/blobs/871c/12311783/d0c9f27e8fc0/gkaf723fig3.jpg
https://cdn.ncbi.nlm.nih.gov/pmc/blobs/871c/12311783/f4f0d57e0845/gkaf723fig4.jpg
https://cdn.ncbi.nlm.nih.gov/pmc/blobs/871c/12311783/e715ea1d9222/gkaf723fig5.jpg
https://cdn.ncbi.nlm.nih.gov/pmc/blobs/871c/12311783/86dd0aa5a491/gkaf723fig6.jpg
https://cdn.ncbi.nlm.nih.gov/pmc/blobs/871c/12311783/6c88f7eacfc6/gkaf723figgra1.jpg
https://cdn.ncbi.nlm.nih.gov/pmc/blobs/871c/12311783/01bcd2cad98e/gkaf723fig1.jpg
https://cdn.ncbi.nlm.nih.gov/pmc/blobs/871c/12311783/2b320723e9e4/gkaf723fig2.jpg
https://cdn.ncbi.nlm.nih.gov/pmc/blobs/871c/12311783/d0c9f27e8fc0/gkaf723fig3.jpg
https://cdn.ncbi.nlm.nih.gov/pmc/blobs/871c/12311783/f4f0d57e0845/gkaf723fig4.jpg
https://cdn.ncbi.nlm.nih.gov/pmc/blobs/871c/12311783/e715ea1d9222/gkaf723fig5.jpg
https://cdn.ncbi.nlm.nih.gov/pmc/blobs/871c/12311783/86dd0aa5a491/gkaf723fig6.jpg

相似文献

1
DNA large fragment deleting by compact, sequence-motif-free and specific TaqTth-hpRNA assisted with the microhomology-mediated end joining pathway.通过紧密、无序列基序且特异的TaqTth-hpRNA辅助微同源性介导的末端连接途径删除DNA大片段
Nucleic Acids Res. 2025 Jul 19;53(14). doi: 10.1093/nar/gkaf723.
2
Gene editing and CRISPR-dependent homology-mediated end joining.基因编辑与CRISPR依赖的同源介导的末端连接
Exp Mol Med. 2025 Jul;57(7):1409-1418. doi: 10.1038/s12276-025-01442-z. Epub 2025 Jul 31.
3
A recombineering-based platform for high-throughput genomic editing in .一种基于重组工程的用于高通量基因组编辑的平台,用于……(原文此处不完整)
Appl Environ Microbiol. 2025 Jul 23;91(7):e0019325. doi: 10.1128/aem.00193-25. Epub 2025 Jun 12.
4
TaqTth-hpRNA: a novel compact RNA-targeting tool for specific silencing of pathogenic mRNA.TaqTth-hpRNA:一种新型紧凑的 RNA 靶向工具,可特异性沉默致病 mRNA。
Genome Biol. 2024 Jul 7;25(1):179. doi: 10.1186/s13059-024-03326-3.
5
The Black Book of Psychotropic Dosing and Monitoring.《精神药物剂量与监测黑皮书》
Psychopharmacol Bull. 2024 Jul 8;54(3):8-59.
6
Diagnostic test accuracy and cost-effectiveness of tests for codeletion of chromosomal arms 1p and 19q in people with glioma.染色体臂 1p 和 19q 缺失的检测在胶质瘤患者中的诊断准确性和成本效益。
Cochrane Database Syst Rev. 2022 Mar 2;3(3):CD013387. doi: 10.1002/14651858.CD013387.pub2.
7
Selegiline for Alzheimer's disease.司来吉兰用于治疗阿尔茨海默病。
Cochrane Database Syst Rev. 2003(1):CD000442. doi: 10.1002/14651858.CD000442.
8
Comparison of the effectiveness of inhaler devices in asthma and chronic obstructive airways disease: a systematic review of the literature.吸入装置在哮喘和慢性阻塞性气道疾病中的有效性比较:文献系统评价
Health Technol Assess. 2001;5(26):1-149. doi: 10.3310/hta5260.
9
Can a Liquid Biopsy Detect Circulating Tumor DNA With Low-passage Whole-genome Sequencing in Patients With a Sarcoma? A Pilot Evaluation.液体活检能否通过低深度全基因组测序检测肉瘤患者的循环肿瘤DNA?一项初步评估。
Clin Orthop Relat Res. 2025 Jan 1;483(1):39-48. doi: 10.1097/CORR.0000000000003161. Epub 2024 Jun 21.
10
Systemic treatments for metastatic cutaneous melanoma.转移性皮肤黑色素瘤的全身治疗
Cochrane Database Syst Rev. 2018 Feb 6;2(2):CD011123. doi: 10.1002/14651858.CD011123.pub2.

本文引用的文献

1
Engineering adeno-associated viral vectors for CRISPR/Cas based in vivo therapeutic genome editing.工程化腺相关病毒载体用于基于CRISPR/Cas的体内治疗性基因组编辑
Biomaterials. 2025 Oct;321:123314. doi: 10.1016/j.biomaterials.2025.123314. Epub 2025 Apr 2.
2
AAV-mediated gene therapies by miniature gene editing tools.通过微型基因编辑工具进行的腺相关病毒介导的基因治疗。
Sci China Life Sci. 2024 Dec;67(12):2540-2553. doi: 10.1007/s11427-023-2608-5. Epub 2024 Sep 27.
3
Next-generation CRISPR-based gene-editing therapies tested in clinical trials.
在临床试验中测试的基于新一代CRISPR的基因编辑疗法。
Nat Med. 2024 Sep;30(9):2380-2381. doi: 10.1038/d41591-024-00056-8.
4
Engineering IscB to develop highly efficient miniature editing tools in mammalian cells and embryos.工程化 IscB 以在哺乳动物细胞和胚胎中开发高效的微型编辑工具。
Mol Cell. 2024 Aug 22;84(16):3128-3140.e4. doi: 10.1016/j.molcel.2024.07.007. Epub 2024 Aug 2.
5
Click editing enables programmable genome writing using DNA polymerases and HUH endonucleases.点击编辑可使用DNA聚合酶和HUH核酸内切酶实现可编程基因组书写。
Nat Biotechnol. 2024 Jul 22. doi: 10.1038/s41587-024-02324-x.
6
Assessing and engineering the IscB-ωRNA system for programmed genome editing.评估和工程化 IscB-ωRNA 系统用于程序性基因组编辑。
Nat Chem Biol. 2024 Dec;20(12):1617-1628. doi: 10.1038/s41589-024-01669-3. Epub 2024 Jul 8.
7
TaqTth-hpRNA: a novel compact RNA-targeting tool for specific silencing of pathogenic mRNA.TaqTth-hpRNA:一种新型紧凑的 RNA 靶向工具,可特异性沉默致病 mRNA。
Genome Biol. 2024 Jul 7;25(1):179. doi: 10.1186/s13059-024-03326-3.
8
Modulation of the microhomology-mediated end joining pathway suppresses large deletions and enhances homology-directed repair following CRISPR-Cas9-induced DNA breaks.调控微同源介导的末端连接途径可抑制 CRISPR-Cas9 诱导的 DNA 断裂后的大片段缺失并增强同源定向修复。
BMC Biol. 2024 Apr 29;22(1):101. doi: 10.1186/s12915-024-01896-z.
9
Precise large-fragment deletions in mammalian cells and mice generated by dCas9-controlled CRISPR/Cas3.dCas9 控制的 CRISPR/Cas3 在哺乳动物细胞和小鼠中精确产生大片段缺失。
Sci Adv. 2024 Mar 15;10(11):eadk8052. doi: 10.1126/sciadv.adk8052.
10
Past, present, and future of CRISPR genome editing technologies.CRISPR 基因组编辑技术的过去、现在和未来。
Cell. 2024 Feb 29;187(5):1076-1100. doi: 10.1016/j.cell.2024.01.042.