• 文献检索
  • 文档翻译
  • 深度研究
  • 学术资讯
  • Suppr Zotero 插件Zotero 插件
  • 邀请有礼
  • 套餐&价格
  • 历史记录
应用&插件
Suppr Zotero 插件Zotero 插件浏览器插件Mac 客户端Windows 客户端微信小程序
定价
高级版会员购买积分包购买API积分包
服务
文献检索文档翻译深度研究API 文档MCP 服务
关于我们
关于 Suppr公司介绍联系我们用户协议隐私条款
关注我们

Suppr 超能文献

核心技术专利:CN118964589B侵权必究
粤ICP备2023148730 号-1Suppr @ 2026

文献检索

告别复杂PubMed语法,用中文像聊天一样搜索,搜遍4000万医学文献。AI智能推荐,让科研检索更轻松。

立即免费搜索

文件翻译

保留排版,准确专业,支持PDF/Word/PPT等文件格式,支持 12+语言互译。

免费翻译文档

深度研究

AI帮你快速写综述,25分钟生成高质量综述,智能提取关键信息,辅助科研写作。

立即免费体验

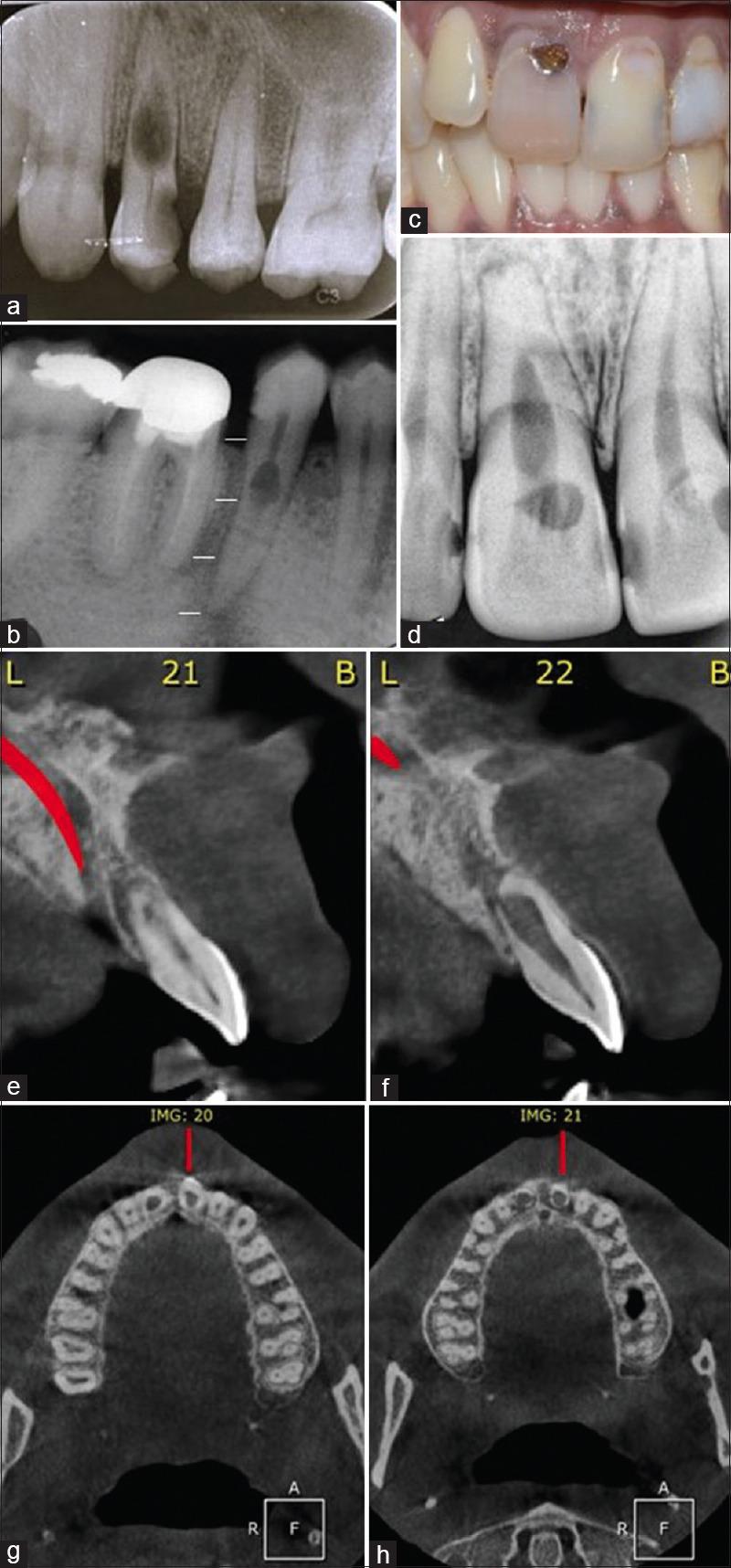
重新定义空洞:一种人类牙齿内部吸收的新分类。

Redefining the void: A novel classification for internal resorption in human teeth.

作者信息

Singh Shishir H, Gadkari Anuprita S, Podar Rajesh S, Shetty Roshan U, Paste Prajakta V

机构信息

Department of Conservative Dentistry and Endodontics, Terna Dental College, Navi Mumbai, Maharashtra, India.

出版信息

J Conserv Dent Endod. 2025 Jul;28(7):700-703. doi: 10.4103/JCDE.JCDE_263_25. Epub 2025 Jul 2.

DOI:10.4103/JCDE.JCDE_263_25
PMID:40746475
原文链接:https://pmc.ncbi.nlm.nih.gov/articles/PMC12310110/
Abstract

INTRODUCTION

Internal root resorption is the loss of hard tissue of the tooth from the pulpal surface of the root canal space. This pathologic condition is characterized by damage to the organic sheath, loss of predentin, and odontoblastic layer leading to demineralization of hard tissue of the tooth.

CONTEXT

Internal root resorption.

AIMS

The aim of this article is to classify internal resorptive lesions to distinguish the extent of resorption at various levels as seen in the tooth.

SUBJECTS AND METHODS

Internal resorption is less commonly diagnosed as compared to external resorption. Internal inflammatory resorption has been classified depending on the inflammatory process of the tooth as transient or persistent. There is a need for classification of the extent and location of the resorptive lesion. Hence, this article is focused on the classification of internal resorption based on the location of the resorptive site and the extent of tissue involved.

CONCLUSIONS

There is a need for classification of the extent and location of the resorptive lesion. Hence, this article is focused on the classification of internal resorption based on the location of the resorptive site and the extent of tissue involved.

摘要

引言

牙根内吸收是指根管空间牙髓面的牙齿硬组织丧失。这种病理状况的特征是有机鞘受损、前期牙本质丧失以及成牙本质细胞层受损,从而导致牙齿硬组织脱矿。

背景

牙根内吸收。

目的

本文的目的是对牙根内吸收性病变进行分类,以区分在牙齿中不同层面所见的吸收程度。

对象与方法

与牙根外吸收相比,牙根内吸收的诊断较少见。根据牙齿的炎症过程,将内炎性吸收分为短暂性或持续性。需要对吸收性病变的范围和位置进行分类。因此,本文重点基于吸收部位的位置和受累组织的范围对牙根内吸收进行分类。

结论

需要对吸收性病变的范围和位置进行分类。因此,本文重点基于吸收部位的位置和受累组织的范围对牙根内吸收进行分类。

https://cdn.ncbi.nlm.nih.gov/pmc/blobs/9543/12310110/92378502e963/JCDE-28-700-g002.jpg
https://cdn.ncbi.nlm.nih.gov/pmc/blobs/9543/12310110/355755942296/JCDE-28-700-g001.jpg
https://cdn.ncbi.nlm.nih.gov/pmc/blobs/9543/12310110/92378502e963/JCDE-28-700-g002.jpg
https://cdn.ncbi.nlm.nih.gov/pmc/blobs/9543/12310110/355755942296/JCDE-28-700-g001.jpg
https://cdn.ncbi.nlm.nih.gov/pmc/blobs/9543/12310110/92378502e963/JCDE-28-700-g002.jpg

相似文献

1
Redefining the void: A novel classification for internal resorption in human teeth.重新定义空洞:一种人类牙齿内部吸收的新分类。
J Conserv Dent Endod. 2025 Jul;28(7):700-703. doi: 10.4103/JCDE.JCDE_263_25. Epub 2025 Jul 2.
2
Interventions for the management of external root resorption.牙根外吸收的治疗干预措施。
Cochrane Database Syst Rev. 2015 Nov 24;2015(11):CD008003. doi: 10.1002/14651858.CD008003.pub3.
3
Initial arch wires for tooth alignment during orthodontic treatment with fixed appliances.固定矫治器正畸治疗中用于牙齿排齐的初始弓丝。
Cochrane Database Syst Rev. 2013 Apr 30;2013(4):CD007859. doi: 10.1002/14651858.CD007859.pub3.
4
Initial arch wires used in orthodontic treatment with fixed appliances.固定矫治器正畸治疗中使用的初始弓丝。
Cochrane Database Syst Rev. 2018 Jul 31;7(7):CD007859. doi: 10.1002/14651858.CD007859.pub4.
5
A clinical dilemma: Performing or avoiding root instrumentation in the treatment of the acute phase of endodontic-periodontal lesions? A case report.临床困境:在牙髓-牙周联合病变急性期治疗中进行还是避免根管治疗?一例病例报告。
Clin Adv Periodontics. 2024 Jun 10. doi: 10.1002/cap.10297.
6
Interventions for the management of external root resorption.牙根外吸收的治疗干预措施。
Cochrane Database Syst Rev. 2010 Jun 16(6):CD008003. doi: 10.1002/14651858.CD008003.pub2.
7
Initial arch wires used in orthodontic treatment with fixed appliances.固定矫治器正畸治疗中初始弓丝的应用。
Cochrane Database Syst Rev. 2024 Feb 6;2(2):CD007859. doi: 10.1002/14651858.CD007859.pub5.
8
Chlorhexidine mouthrinse as an adjunctive treatment for gingival health.洗必泰漱口水作为牙龈健康的辅助治疗方法。
Cochrane Database Syst Rev. 2017 Mar 31;3(3):CD008676. doi: 10.1002/14651858.CD008676.pub2.
9
Idiopathic (Genetic) Generalized Epilepsy特发性(遗传性)全身性癫痫
10
The Black Book of Psychotropic Dosing and Monitoring.《精神药物剂量与监测黑皮书》
Psychopharmacol Bull. 2024 Jul 8;54(3):8-59.

本文引用的文献

1
"Internal root resorption: An endodontic challenge": A case series.“内吸收:牙髓病学的一项挑战”:病例系列
J Conserv Dent. 2014 Nov;17(6):590-3. doi: 10.4103/0972-0707.144612.
2
Internal root resorption: a review.牙髓内吸收:综述。
J Endod. 2010 Jul;36(7):1107-21. doi: 10.1016/j.joen.2010.03.014. Epub 2010 May 20.
3
Dental pulp and periodontal ligament cells support osteoclastic differentiation.牙髓细胞和牙周膜细胞支持破骨细胞分化。
J Dent Res. 2009 Jul;88(7):609-14. doi: 10.1177/0022034509340008.
4
Functions of RANKL/RANK/OPG in bone modeling and remodeling.RANKL/RANK/OPG在骨塑形和重塑中的功能。
Arch Biochem Biophys. 2008 May 15;473(2):139-46. doi: 10.1016/j.abb.2008.03.018. Epub 2008 Mar 25.
5
Prostaglandin E(2) is a main mediator in receptor activator of nuclear factor-kappaB ligand-dependent osteoclastogenesis induced by Porphyromonas gingivalis, Treponema denticola, and Treponema socranskii.前列腺素E(2)是牙龈卟啉单胞菌、具核梭杆菌和索氏密螺旋体诱导的核因子-κB受体激活剂配体依赖性破骨细胞生成中的主要介质。
J Periodontol. 2005 May;76(5):813-20. doi: 10.1902/jop.2005.76.5.813.
6
INTERNAL RESORPTION OF THE DENTINE; A COMPLICATION ARISING FROM UNHEALED PULP WOUNDS.牙本质内吸收:一种因牙髓创伤未愈合而引发的并发症。
Br Dent J. 1965 Mar 16;118:241-9.
7
Ultrastructural features of odontoclasts that resorb enamel in human deciduous teeth prior to shedding.在人类乳牙脱落前吸收牙釉质的破牙细胞的超微结构特征。
Anat Rec. 1998 Oct;252(2):215-28. doi: 10.1002/(SICI)1097-0185(199810)252:2<215::AID-AR7>3.0.CO;2-1.
8
Root resorption of dental and traumatic origin: classification based on etiology.牙齿及创伤性牙根吸收:基于病因的分类
Pract Periodontics Aesthet Dent. 1998 May;10(4):515-22.
9
Evidence for a resorption inhibitor in dentin.牙本质中存在吸收抑制剂的证据。
Scand J Dent Res. 1987 Jun;95(3):205-11. doi: 10.1111/j.1600-0722.1987.tb01832.x.
10
Internal resorption in human teeth--a histological, scanning electron microscopic, and enzyme histochemical study.
J Endod. 1987 Jun;13(6):255-9. doi: 10.1016/S0099-2399(87)80041-9.