Suppr超能文献

应用动脉化静脉皮瓣在部分离断指再血管化中保留手指全长:两例报告

Use of Arterialized Venous Flaps to Preserve Full Digital Length in Revascularization of Partially Amputated Digits: Two Cases.

作者信息

Ho Tiffany D, Newsom Megan, Shin Stephanie, DeJesus Ramon A

机构信息

Division of Plastic and Reconstructive Surgery Virginia Commonwealth University School of Medicine Richmond Virginia USA.

Department of Orthopaedic Surgery Virginia Commonwealth University School of Medicine Richmond Virginia USA.

出版信息

Clin Case Rep. 2025 Aug 1;13(8):e70661. doi: 10.1002/ccr3.70661. eCollection 2025 Aug.

Abstract

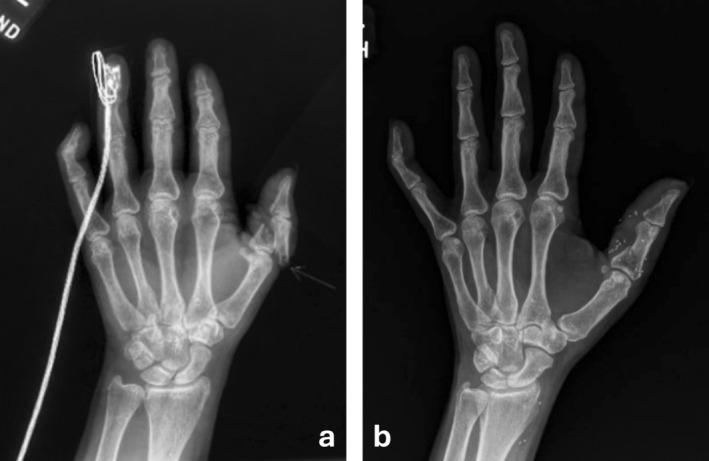
This case series illustrates the successful use of arterialized venous flaps (AVFs) in digital revascularization. AVFs facilitated tension-free vascular anastomosis and provided soft tissue coverage, allowing preservation of digital length while restoring function. Our findings support the expanding role of AVFs in hand trauma reconstruction and challenge the conventional necessity of bone shortening.

摘要

本病例系列说明了动脉化静脉皮瓣(AVF)在手指血管重建中的成功应用。AVF有助于无张力血管吻合并提供软组织覆盖,在恢复功能的同时可保留手指长度。我们的研究结果支持AVF在手部创伤重建中日益重要的作用,并对传统的骨缩短必要性提出了挑战。

https://cdn.ncbi.nlm.nih.gov/pmc/blobs/e44a/12317106/26a77085c2fb/CCR3-13-e70661-g004.jpg

文献检索

告别复杂PubMed语法,用中文像聊天一样搜索,搜遍4000万医学文献。AI智能推荐,让科研检索更轻松。

立即免费搜索

文件翻译

保留排版,准确专业,支持PDF/Word/PPT等文件格式,支持 12+语言互译。

免费翻译文档

深度研究

AI帮你快速写综述,25分钟生成高质量综述,智能提取关键信息,辅助科研写作。

立即免费体验