• 文献检索
  • 文档翻译
  • 深度研究
  • 学术资讯
  • Suppr Zotero 插件Zotero 插件
  • 邀请有礼
  • 套餐&价格
  • 历史记录
应用&插件
Suppr Zotero 插件Zotero 插件浏览器插件Mac 客户端Windows 客户端微信小程序
定价
高级版会员购买积分包购买API积分包
服务
文献检索文档翻译深度研究API 文档MCP 服务
关于我们
关于 Suppr公司介绍联系我们用户协议隐私条款
关注我们

Suppr 超能文献

核心技术专利:CN118964589B侵权必究
粤ICP备2023148730 号-1Suppr @ 2026

文献检索

告别复杂PubMed语法,用中文像聊天一样搜索,搜遍4000万医学文献。AI智能推荐,让科研检索更轻松。

立即免费搜索

文件翻译

保留排版,准确专业,支持PDF/Word/PPT等文件格式,支持 12+语言互译。

免费翻译文档

深度研究

AI帮你快速写综述,25分钟生成高质量综述,智能提取关键信息,辅助科研写作。

立即免费体验

原发性脊椎-髓内及硬膜外包虫病导致髓质受压的罕见病因影像学表现:影像学的作用

Iconographies of rare causes of medullary compression due to primary vertebro-medullary and epidural hydatidosis: Contribution of imaging.

作者信息

Bahlouli Nourrelhouda, Imrani Kaouthar, Chait Fatima, Houssaini Adam Sqalli, Kaouthar Sfar, Lahlou Ihssane, Nabil Moatassimbillah, Nassar Ittimad

机构信息

Department of Radiology, Ibn Sina Hospital, Mohammed V university, Faculty of Medicine and Pharmacy, Rabat, Morocco.

出版信息

Radiol Case Rep. 2025 Jul 26;20(10):5178-5183. doi: 10.1016/j.radcr.2025.06.063. eCollection 2025 Oct.

DOI:10.1016/j.radcr.2025.06.063
PMID:40761275
原文链接:https://pmc.ncbi.nlm.nih.gov/articles/PMC12320025/
Abstract

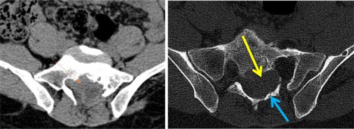
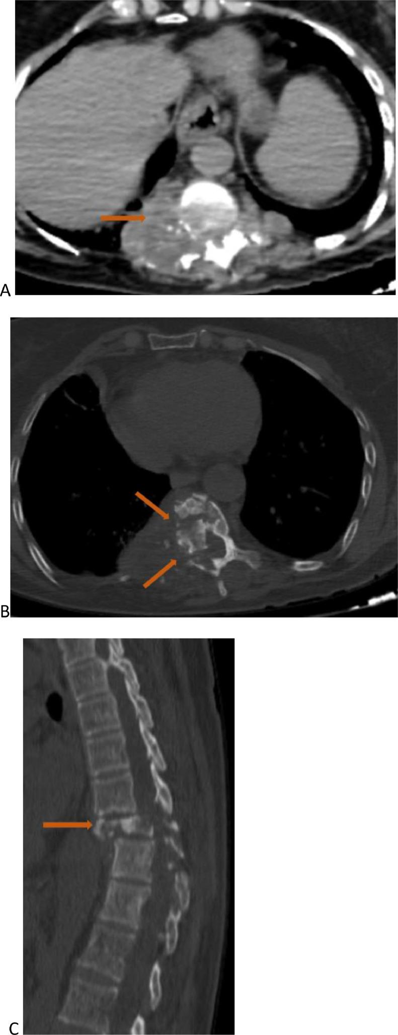
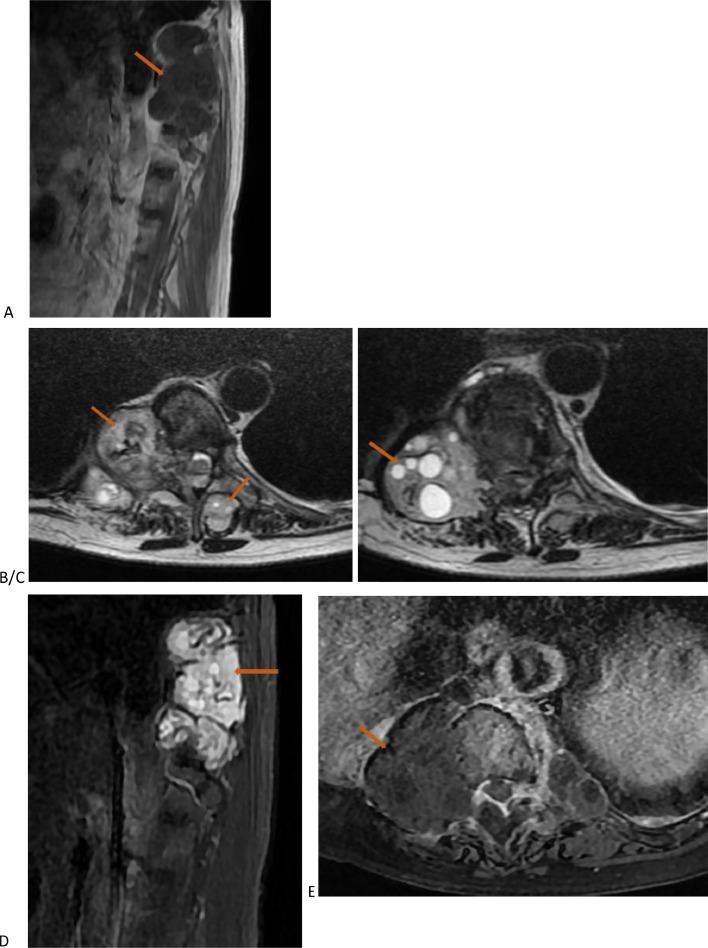
Vertebro-medullary and epidural hydatidosis are a very rare entity, representing 2% of all locations, and is even rarer when it involves a solitary location. It is often asymptomatic. The diagnosis is usually made during complications, particularly medullary compression or extension to the costal cage, which represents a therapeutic emergency. Surgical treatment must be radical to prevent recurrences. We report 2 cases: the first case was a 61-year-old female involved costo-vertebral hydatidosis, and the second was an 18-year-old man with primary sacral epidural location. The objective of our report is to add these 2 atypical locations of hydatid cysts to the existing literature and to present their radiological images to aid radiologists in diagnosis.

摘要

脊椎-髓内和硬膜外包虫病是一种非常罕见的疾病,占所有发病部位的2%,当它累及单一部位时更为罕见。它通常无症状。诊断通常在出现并发症时做出,特别是髓内压迫或向胸廓扩展,这是一种治疗急症。手术治疗必须彻底以防止复发。我们报告2例:第一例是一名61岁女性,患有肋-椎包虫病,第二例是一名18岁男性,原发性骶部硬膜外发病。我们报告的目的是将这2个包虫囊肿的非典型发病部位补充到现有文献中,并展示其放射影像以帮助放射科医生进行诊断。

https://cdn.ncbi.nlm.nih.gov/pmc/blobs/9148/12320025/5811f9f9cc5c/gr4.jpg
https://cdn.ncbi.nlm.nih.gov/pmc/blobs/9148/12320025/86d83b1ae1b9/gr1.jpg
https://cdn.ncbi.nlm.nih.gov/pmc/blobs/9148/12320025/09d3c9595b8a/gr2.jpg
https://cdn.ncbi.nlm.nih.gov/pmc/blobs/9148/12320025/28a1da853cdb/gr3.jpg
https://cdn.ncbi.nlm.nih.gov/pmc/blobs/9148/12320025/5811f9f9cc5c/gr4.jpg
https://cdn.ncbi.nlm.nih.gov/pmc/blobs/9148/12320025/86d83b1ae1b9/gr1.jpg
https://cdn.ncbi.nlm.nih.gov/pmc/blobs/9148/12320025/09d3c9595b8a/gr2.jpg
https://cdn.ncbi.nlm.nih.gov/pmc/blobs/9148/12320025/28a1da853cdb/gr3.jpg
https://cdn.ncbi.nlm.nih.gov/pmc/blobs/9148/12320025/5811f9f9cc5c/gr4.jpg

相似文献

1
Iconographies of rare causes of medullary compression due to primary vertebro-medullary and epidural hydatidosis: Contribution of imaging.原发性脊椎-髓内及硬膜外包虫病导致髓质受压的罕见病因影像学表现:影像学的作用
Radiol Case Rep. 2025 Jul 26;20(10):5178-5183. doi: 10.1016/j.radcr.2025.06.063. eCollection 2025 Oct.
2
Renal hydatid cyst mimicking malignancy: a case report.酷似恶性肿瘤的肾包虫囊肿:一例报告
Int J Surg Case Rep. 2025 Jul;132:111506. doi: 10.1016/j.ijscr.2025.111506. Epub 2025 Jun 13.
3
Sexual Harassment and Prevention Training性骚扰与预防培训
4
Hydatidosis of the long bones treated with en bloc resection and reconstruction with mega prosthesis- a report of 2 cases.采用大块切除及巨型假体重建治疗长骨包虫病——附2例报告
BMC Musculoskelet Disord. 2025 Jul 4;26(1):608. doi: 10.1186/s12891-025-08834-2.
5
Treatment of uncomplicated hepatic cystic echinococcosis (hydatid disease).肝包虫病(包虫病)的单纯性肝囊肿的治疗。
Cochrane Database Syst Rev. 2024 Jul 12;7(7):CD015573. doi: 10.1002/14651858.CD015573.
6
123I-MIBG scintigraphy and 18F-FDG-PET imaging for diagnosing neuroblastoma.用于诊断神经母细胞瘤的123I-间碘苄胍闪烁扫描术和18F-氟代脱氧葡萄糖正电子发射断层显像
Cochrane Database Syst Rev. 2015 Sep 29;2015(9):CD009263. doi: 10.1002/14651858.CD009263.pub2.
7
The Black Book of Psychotropic Dosing and Monitoring.《精神药物剂量与监测黑皮书》
Psychopharmacol Bull. 2024 Jul 8;54(3):8-59.
8
Pain management for women in labour: an overview of systematic reviews.分娩期女性的疼痛管理:系统评价综述
Cochrane Database Syst Rev. 2012 Mar 14;2012(3):CD009234. doi: 10.1002/14651858.CD009234.pub2.
9
Surgical removal versus retention for the management of asymptomatic disease-free impacted wisdom teeth.手术拔除与保留用于无症状且无疾病的阻生智齿的处理
Cochrane Database Syst Rev. 2016 Aug 31(8):CD003879. doi: 10.1002/14651858.CD003879.pub4.
10
Comparison of Two Modern Survival Prediction Tools, SORG-MLA and METSSS, in Patients With Symptomatic Long-bone Metastases Who Underwent Local Treatment With Surgery Followed by Radiotherapy and With Radiotherapy Alone.两种现代生存预测工具 SORG-MLA 和 METSSS 在接受手术联合放疗和单纯放疗治疗有症状长骨转移患者中的比较。
Clin Orthop Relat Res. 2024 Dec 1;482(12):2193-2208. doi: 10.1097/CORR.0000000000003185. Epub 2024 Jul 23.

本文引用的文献

1
Magnetic resonance imaging features and classification of intraspinal echinococcosis.脊柱棘球蚴病的磁共振成像特征及分类
J Orthop. 2024 Apr 23;55:157-162. doi: 10.1016/j.jor.2024.04.014. eCollection 2024 Sep.
2
Primary Sacral Hydatid Cyst Mimicking a Neurogenic Tumor in Chronic Low Back Pain: Case Report and Review of the Literature.原发性骶骨包虫囊肿酷似慢性下腰痛的神经源性肿瘤:病例报告及文献复习
J Neurosci Rural Pract. 2016 Dec;7(Suppl 1):S112-S116. doi: 10.4103/0976-3147.196456.
3
Intradural extramedullary primary hydatid cyst of the spine: a case report and review of literature.
脊柱硬膜外髓外原发性包虫囊肿:病例报告及文献复习。
Eur Spine J. 2013 May;22 Suppl 3(Suppl 3):S329-36. doi: 10.1007/s00586-012-2373-1. Epub 2012 Jun 16.
4
[Echinococcosis of the rib with epidural extension].[肋骨棘球蚴病伴硬膜外扩展]
Rev Pneumol Clin. 2009 Jun;65(3):169-72. doi: 10.1016/j.pneumo.2009.03.006. Epub 2009 May 14.
5
Intradural extramedullary primary hydatid cyst of the spine in a child: a very rare presentation.儿童脊柱硬脊膜内髓外原发性包虫囊肿:一种非常罕见的表现。
Eur Spine J. 2009 Jul;18 Suppl 2(Suppl 2):179-82. doi: 10.1007/s00586-008-0777-8. Epub 2008 Sep 16.
6
Primary hydatid disease of the spine: an unusual case.脊柱原发性包虫病:一例罕见病例。
Br J Neurosurg. 2005 Oct;19(5):425-7. doi: 10.1080/02688690500390359.
7
Echinococcosis of the rib with epidural extension: a rare cause of paraplegia.肋骨棘球蚴病伴硬膜外扩展:截瘫的罕见病因。
Br J Radiol. 2004 Apr;77(916):338-41. doi: 10.1259/bjr/47590426.
8
[CT and MRI features of spinal hydatidosis. A report of 8 cases].[脊柱包虫病的CT与MRI特征。附8例报告]
J Radiol. 2001 Aug;82(8):917-21.
9
Magnetic resonance imaging signal characteristics in hydatid cysts.包虫囊肿的磁共振成像信号特征
Australas Radiol. 2001 May;45(2):128-33. doi: 10.1046/j.1440-1673.2001.00892.x.
10
[Spinal cord compression disclosing rib hydatidosis].[脊髓压迫症揭示肋骨包虫病]
J Radiol. 1995 Dec;76(12):1093-5.