• 文献检索
  • 文档翻译
  • 深度研究
  • 学术资讯
  • Suppr Zotero 插件Zotero 插件
  • 邀请有礼
  • 套餐&价格
  • 历史记录
应用&插件
Suppr Zotero 插件Zotero 插件浏览器插件Mac 客户端Windows 客户端微信小程序
定价
高级版会员购买积分包购买API积分包
服务
文献检索文档翻译深度研究API 文档MCP 服务
关于我们
关于 Suppr公司介绍联系我们用户协议隐私条款
关注我们

Suppr 超能文献

核心技术专利:CN118964589B侵权必究
粤ICP备2023148730 号-1Suppr @ 2026

文献检索

告别复杂PubMed语法,用中文像聊天一样搜索,搜遍4000万医学文献。AI智能推荐,让科研检索更轻松。

立即免费搜索

文件翻译

保留排版,准确专业,支持PDF/Word/PPT等文件格式,支持 12+语言互译。

免费翻译文档

深度研究

AI帮你快速写综述,25分钟生成高质量综述,智能提取关键信息,辅助科研写作。

立即免费体验

肠系膜上静脉异位静脉曲张破裂:一例报告

Rupture of an Ectopic Superior Mesenteric Vein Varix: A Case Report.

作者信息

Nishida Haruka, Matsuoka Yoshinori, Fujimoto Jumpei, Ishikura Reiichi, Ariyoshi Koichi

机构信息

Department of Emergency Medicine, International University of Health and Welfare Narita Hospital, Narita, JPN.

Department of Emergency Medicine, Kobe City Medical Center General Hospital, Kobe, JPN.

出版信息

Cureus. 2025 Jul 6;17(7):e87367. doi: 10.7759/cureus.87367. eCollection 2025 Jul.

DOI:10.7759/cureus.87367
PMID:40765590
原文链接:https://pmc.ncbi.nlm.nih.gov/articles/PMC12322941/
Abstract

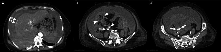
Ectopic varices represent dilated portosystemic collaterals located outside the gastroesophageal region. Although typically asymptomatic and not requiring treatment, these varices can infrequently precipitate life-threatening intraperitoneal hemorrhage. We describe a case of intra-abdominal hemorrhage caused by rupture of a superior mesenteric vein (SMV) varix due to portal hypertension. An 84-year-old Japanese woman with end-stage hepatocellular carcinoma presented to our emergency department (ED) following a transient loss of consciousness. On arrival, her vital signs were stable despite a slightly distended abdomen. While awaiting diagnostic imaging, she suddenly went into shock. Repeat bedside ultrasonography revealed increased ascites compared with the initial evaluation, accompanied by progressive anemia and worsening metabolic acidosis. Resuscitation was initiated with type O packed red blood cell transfusion and resuscitative endovascular balloon occlusion of the aorta. She was then transferred to the computed tomography (CT) room in the ED, where resuscitative procedures were continued. Contrast-enhanced CT demonstrated massive hemorrhagic ascites and extravasation around the SMV. Although both interventional radiology and surgical intervention were considered, further invasive procedures were withheld given the patient's condition and her family's wishes. Cardiopulmonary arrest occurred two hours after the collapse. Management of intraperitoneal hemorrhage from ectopic varices in the ED remains a significant clinical challenge. Emergency physicians should consider this rare etiology in patients with prolonged portal hypertension. Interventional radiology, such as transjugular intrahepatic portosystemic shunt combined with embolization, may represent a viable treatment option.

摘要

异位静脉曲张是指位于胃食管区域以外的扩张的门体静脉侧支循环。虽然这些静脉曲张通常无症状且无需治疗,但偶尔可导致危及生命的腹腔内出血。我们报告一例因门静脉高压导致肠系膜上静脉(SMV)静脉曲张破裂引起的腹腔内出血病例。一名84岁的日本女性终末期肝细胞癌患者,在短暂意识丧失后被送往我们的急诊科(ED)。到达时,尽管腹部稍有膨隆,但其生命体征稳定。在等待诊断性影像学检查时,她突然休克。与初次评估相比,重复床边超声检查显示腹水增加,伴有进行性贫血和代谢性酸中毒加重。开始进行O型浓缩红细胞输血和主动脉复苏性血管内球囊闭塞术进行复苏。然后她被转移到急诊科的计算机断层扫描(CT)室,在那里继续进行复苏程序。增强CT显示大量出血性腹水和SMV周围的造影剂外渗。尽管考虑了介入放射学和手术干预,但鉴于患者的病情和家属的意愿,未进行进一步的侵入性操作。晕倒两小时后发生心跳骤停。急诊科对异位静脉曲张引起的腹腔内出血的处理仍然是一项重大的临床挑战。对于门静脉高压持续时间较长的患者,急诊医生应考虑这种罕见的病因。介入放射学,如经颈静脉肝内门体分流术联合栓塞术,可能是一种可行的治疗选择。

https://cdn.ncbi.nlm.nih.gov/pmc/blobs/b0e4/12322941/4d3b36768500/cureus-0017-00000087367-i02.jpg
https://cdn.ncbi.nlm.nih.gov/pmc/blobs/b0e4/12322941/dc1350308b79/cureus-0017-00000087367-i01.jpg
https://cdn.ncbi.nlm.nih.gov/pmc/blobs/b0e4/12322941/4d3b36768500/cureus-0017-00000087367-i02.jpg
https://cdn.ncbi.nlm.nih.gov/pmc/blobs/b0e4/12322941/dc1350308b79/cureus-0017-00000087367-i01.jpg
https://cdn.ncbi.nlm.nih.gov/pmc/blobs/b0e4/12322941/4d3b36768500/cureus-0017-00000087367-i02.jpg

相似文献

1
Rupture of an Ectopic Superior Mesenteric Vein Varix: A Case Report.肠系膜上静脉异位静脉曲张破裂:一例报告
Cureus. 2025 Jul 6;17(7):e87367. doi: 10.7759/cureus.87367. eCollection 2025 Jul.
2
Sexual Harassment and Prevention Training性骚扰与预防培训
3
Signs and symptoms to determine if a patient presenting in primary care or hospital outpatient settings has COVID-19.在基层医疗机构或医院门诊环境中,如果患者出现以下症状和体征,可判断其是否患有 COVID-19。
Cochrane Database Syst Rev. 2022 May 20;5(5):CD013665. doi: 10.1002/14651858.CD013665.pub3.
4
Management of urinary stones by experts in stone disease (ESD 2025).结石病专家对尿路结石的管理(2025年结石病专家共识)
Arch Ital Urol Androl. 2025 Jun 30;97(2):14085. doi: 10.4081/aiua.2025.14085.
5
Drugs to reduce bleeding and transfusion in major open vascular or endovascular surgery: a systematic review and network meta-analysis.减少大型开放性血管或血管内手术中出血和输血的药物:系统评价和网络荟萃分析。
Cochrane Database Syst Rev. 2023 Feb 17;2(2):CD013649. doi: 10.1002/14651858.CD013649.pub2.
6
Systemic Inflammatory Response Syndrome全身炎症反应综合征
7
A Novel Combined Surgical and Interventional Radiology Vascular Reconstruction, With Stenting of Meso-Rex Bypass, to Successfully Manage Recurrent Portal Venous Flow Obstruction Post Segmental Liver Transplant in a Pediatric Patient.一种新型的外科手术与介入放射学联合血管重建术,采用中结肠- Rex分流术支架置入,成功治疗了一名小儿患者节段性肝移植术后复发性门静脉血流梗阻。
Pediatr Transplant. 2025 Sep;29(6):e70148. doi: 10.1111/petr.70148.
8
Platelet count, spleen length, and platelet count-to-spleen length ratio for the diagnosis of oesophageal varices in people with chronic liver disease or portal vein thrombosis.血小板计数、脾脏长度以及血小板计数与脾脏长度之比在慢性肝病或门静脉血栓形成患者食管静脉曲张诊断中的应用
Cochrane Database Syst Rev. 2017 Apr 26;4(4):CD008759. doi: 10.1002/14651858.CD008759.pub2.
9
Endovenous ablation therapy (laser or radiofrequency) or foam sclerotherapy versus conventional surgical repair for short saphenous varicose veins.对于小隐静脉曲张,腔内消融治疗(激光或射频)或泡沫硬化疗法与传统手术修复的比较。
Cochrane Database Syst Rev. 2016 Nov 29;11(11):CD010878. doi: 10.1002/14651858.CD010878.pub2.
10
[Volume and health outcomes: evidence from systematic reviews and from evaluation of Italian hospital data].[容量与健康结果:来自系统评价和意大利医院数据评估的证据]
Epidemiol Prev. 2013 Mar-Jun;37(2-3 Suppl 2):1-100.

本文引用的文献

1
Massive superior mesenteric venous aneurysm with portal venous thrombosis.巨大肠系膜上静脉瘤伴门静脉血栓形成。
Clin Imaging. 2015 Sep-Oct;39(5):908-10. doi: 10.1016/j.clinimag.2015.05.001. Epub 2015 May 7.
2
Superior mesenteric vein aneurysm rupture.肠系膜上静脉动脉瘤破裂。
Vasc Endovascular Surg. 2011 Aug;45(6):559-60. doi: 10.1177/1538574411413154. Epub 2011 Jun 29.
3
Ectopic varices.异位静脉曲张
Gastrointest Endosc. 2011 Aug;74(2):380-8. doi: 10.1016/j.gie.2011.03.1177. Epub 2011 May 25.
4
Updates in the pathogenesis, diagnosis and management of ectopic varices.异位静脉曲张的发病机制、诊断和治疗的新进展。
Hepatol Int. 2008 Sep;2(3):322-34. doi: 10.1007/s12072-008-9074-1. Epub 2008 May 31.
5
Visceral venous aneurysms: clinical presentation, natural history and their management: a systematic review.内脏静脉瘤:临床表现、自然病史及其管理:一项系统评价
Eur J Vasc Endovasc Surg. 2009 Oct;38(4):498-505. doi: 10.1016/j.ejvs.2009.05.016. Epub 2009 Jun 27.
6
Intraperitoneal bleeding due to rupture of the left gastric vein (LGV) in a patient with liver cirrhosis: a case report.
Abdom Imaging. 2008 May-Jun;33(3):324-7. doi: 10.1007/s00261-007-9248-7.
7
Usefulness of transjugular intrahepatic portosystemic shunt in the management of bleeding ectopic varices in cirrhotic patients.经颈静脉肝内门体分流术在肝硬化患者异位静脉曲张出血管理中的应用价值。
Cardiovasc Intervent Radiol. 2006 Mar-Apr;29(2):216-9. doi: 10.1007/s00270-004-0346-4.
8
Bleeding ectopic varices--treatment with transjugular intrahepatic porto-systemic shunt (TIPS) and embolisation.出血性异位静脉曲张——经颈静脉肝内门体分流术(TIPS)及栓塞治疗
J Hepatol. 2004 Oct;41(4):560-6. doi: 10.1016/j.jhep.2004.06.024.
9
Aneurysm of superior mesenteric vein: case report with 5-year follow-up and review of the literature.肠系膜上静脉动脉瘤:病例报告及5年随访并文献复习
J Vasc Surg. 2004 Feb;39(2):459-61. doi: 10.1016/j.jvs.2003.08.008.
10
Rectovesical ectopic varix intraperitoneal hemorrhage with fatal outcome.直肠膀胱异位静脉曲张伴腹腔内出血,预后 fatal(此处fatal可能有误,推测可能是“fatal”,意为“致命的”,整体意思为“直肠膀胱异位静脉曲张伴腹腔内出血,结果致命” ) 。
Am J Gastroenterol. 2002 Feb;97(2):504. doi: 10.1111/j.1572-0241.2002.05518.x.