Suppr超能文献

肌肉萎缩小鼠中NF-κB信号通路与骨骼肌多巴胺受体之间关系的研究

Study on the relationship between NF-kB pathway and skeletal muscle dopamine receptors in muscle-attenuated mice.

作者信息

Tian Hui, Wang Xinyu, Wu Shanshan, Yang Fengling, Han Yue

机构信息

Department of General Practice, The First Affiliated Hospital of Harbin Medical University, Harbin, China.

Department of Gerontology, The First Affiliated Hospital of Harbin Medical University, Harbin, China.

出版信息

Afr Health Sci. 2024 Sep;24(3):438-443. doi: 10.4314/ahs.v24i3.48.

Abstract

BACKGROUND

To investigate the relationship between the NF-kB signaling pathway and muscle-attenuated skeletal muscle dopamine receptor (DR) in mice.

METHODOLOGY

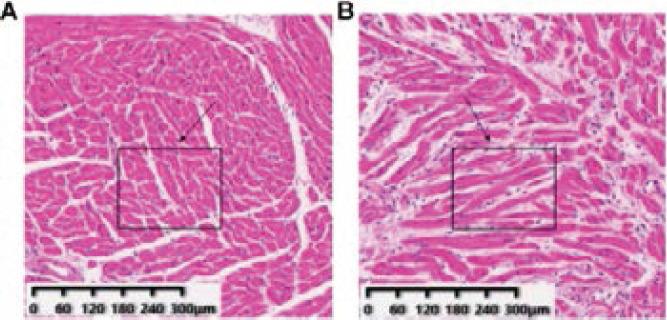
40 specific pathogens free (SPF) C57BL/6 mice aged 6 to 7 months were randomly divided into a model group and control group by random number table method, with 20 mice in each group. Muscle-attenuated mice were established in model group, and the expression of NF-kB protein was detected by Western-blot, and the expressions of IL-β1, TNF-a, DRD1, and DRD2 were detected by enzyme linked immunosorbent assay (ELISA). Meanwhile, the muscle fiber cross-sectional area was determined.

RESULTS

The relative expression of NF-kB protein, IL-,1 and TNF-a in model group were significantly higher than those in control group (P < 0.05). The levels of DRD1 and DRD2 in skeletal muscle in model group were significantly lower than those in control group (P < 0.05). The cross-sectional are the model group was significantly lower than in the control group (P < 0.05). The relative expression of NF-kB protein was negatively correlated with DRD1, DRD2 and muscle fiber cross-sectional area. DRD1 and DRD2 were positively correlated with muscle fiber cross-sectional area.

CONCLUSION

In muscle-atrophied mice, NF-kB protein, an indicator of the NF-kB signaling pathway, was negatively correlated with DR, and both had an important role in muscle atrophy.

摘要

背景

探讨小鼠中NF-κB信号通路与肌肉萎缩的骨骼肌多巴胺受体(DR)之间的关系。

方法

采用随机数字表法将40只6至7月龄的无特定病原体(SPF)C57BL/6小鼠随机分为模型组和对照组,每组20只。模型组建立肌肉萎缩小鼠模型,采用蛋白质免疫印迹法检测NF-κB蛋白表达,采用酶联免疫吸附测定(ELISA)法检测白细胞介素-β1(IL-β1)、肿瘤坏死因子-α(TNF-α)、多巴胺受体D1(DRD1)和多巴胺受体D2(DRD2)的表达。同时,测定肌纤维横截面积。

结果

模型组NF-κB蛋白、IL-β1和TNF-α的相对表达量均显著高于对照组(P<0.05)。模型组骨骼肌中DRD1和DRD2的水平显著低于对照组(P<0.05)。模型组的横截面积显著低于对照组(P<0.05)。NF-κB蛋白的相对表达量与DRD1、DRD2及肌纤维横截面积呈负相关。DRD1和DRD2与肌纤维横截面积呈正相关。

结论

在肌肉萎缩小鼠中,作为NF-κB信号通路指标的NF-κB蛋白与DR呈负相关,二者在肌肉萎缩中均起重要作用。

https://cdn.ncbi.nlm.nih.gov/pmc/blobs/6c1c/12327113/a410c718f7d4/AFHS2403-0438Fig1.jpg

文献检索

告别复杂PubMed语法,用中文像聊天一样搜索,搜遍4000万医学文献。AI智能推荐,让科研检索更轻松。

立即免费搜索

文件翻译

保留排版,准确专业,支持PDF/Word/PPT等文件格式,支持 12+语言互译。

免费翻译文档

深度研究

AI帮你快速写综述,25分钟生成高质量综述,智能提取关键信息,辅助科研写作。

立即免费体验