Suppr超能文献

姜黄素和白藜芦醇通过抑制实验性癌性恶病质中的蛋白水解标志物改善肌肉功能和结构。

Curcumin and Resveratrol Improve Muscle Function and Structure through Attenuation of Proteolytic Markers in Experimental Cancer-Induced Cachexia.

机构信息

Department-Muscle Wasting and Cachexia in Chronic Respiratory Diseases and Lung Cancer Research Group, IMIM-Hospital del Mar, Parc de Salut Mar, Health and Experimental Sciences Department (CEXS), Universitat Pompeu Fabra (UPF), Barcelona Biomedical Research Park (PRBB), 08003 Barcelona, Spain.

Scientific and Technical Department, Hospital del Mar-IMIM, 08003 Barcelona, Spain.

出版信息

Molecules. 2021 Aug 13;26(16):4904. doi: 10.3390/molecules26164904.

Abstract

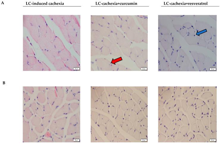
Muscle wasting and cachexia are prominent comorbidities in cancer. Treatment with polyphenolic compounds may partly revert muscle wasting. We hypothesized that treatment with curcumin or resveratrol in cancer cachectic mice may improve muscle phenotype and total body weight through attenuation of several proteolytic and signaling mechanisms in limb muscles. In gastrocnemius and soleus muscles of cancer cachectic mice (LP07 adenocarcinoma cells, N = 10/group): (1) LC-induced cachexia, (2) LC-cachexia+curcumin, and (3) LC-cachexia + resveratrol, muscle structure and damage (including blood troponin I), sirtuin-1, proteolytic markers, and signaling pathways (NF-κB and FoxO3) were explored (immunohistochemistry and immunoblotting). Compared to nontreated cachectic mice, in LC-cachexia + curcumin and LC-cachexia + resveratrol groups, body and muscle weights (gastrocnemius), limb muscle strength, muscle damage, and myofiber cross-sectional area improved, and in both muscles, sirtuin-1 increased, while proteolysis (troponin I), proteolytic markers, and signaling pathways were attenuated. Curcumin and resveratrol elicited beneficial effects on fast- and slow-twitch limb muscle phenotypes in cachectic mice through sirtuin-1 activation, attenuation of atrophy signaling pathways, and proteolysis in cancer cachectic mice. These findings have future therapeutic implications as these natural compounds, separately or in combination, may be used in clinical settings of muscle mass loss and dysfunction including cancer cachexia.

摘要

肌肉减少症和恶病质是癌症的突出合并症。用多酚化合物治疗可能部分逆转肌肉减少症。我们假设,用姜黄素或白藜芦醇治疗恶病质的癌症小鼠,可能通过衰减几种在肢体肌肉中的蛋白水解和信号机制来改善肌肉表型和总体重。在恶病质的癌症小鼠的腓肠肌和比目鱼肌中(LP07 腺癌细胞,每组 N = 10):(1)LC 诱导的恶病质,(2)LC-恶病质+姜黄素,和(3)LC-恶病质+白藜芦醇,研究了肌肉结构和损伤(包括血液肌钙蛋白 I)、沉默调节蛋白-1、蛋白水解标志物和信号通路(NF-κB 和 FoxO3)(免疫组织化学和免疫印迹)。与未治疗的恶病质小鼠相比,在 LC-恶病质+姜黄素和 LC-恶病质+白藜芦醇组中,体重和肌肉重量(腓肠肌)、肢体肌肉力量、肌肉损伤和肌纤维横截面积得到改善,并且在两种肌肉中,沉默调节蛋白-1 增加,而蛋白水解(肌钙蛋白 I)、蛋白水解标志物和信号通路被衰减。姜黄素和白藜芦醇通过激活沉默调节蛋白-1、衰减萎缩信号通路和蛋白水解,对恶病质的快肌和慢肌肢体肌肉表型产生有益影响。这些发现具有未来的治疗意义,因为这些天然化合物,单独或联合使用,可能在包括癌症恶病质在内的肌肉质量损失和功能障碍的临床环境中使用。

https://cdn.ncbi.nlm.nih.gov/pmc/blobs/9c37/8402048/a440d204eb49/molecules-26-04904-g001.jpg

文献AI研究员

20分钟写一篇综述,助力文献阅读效率提升50倍。

立即体验

用中文搜PubMed

大模型驱动的PubMed中文搜索引擎

马上搜索

文档翻译

学术文献翻译模型,支持多种主流文档格式。

立即体验