Suppr超能文献

多功能细胞工厂黑曲霉可被改造用于生产羟基化胶原蛋白。

The multipurpose cell factory Aspergillus niger can be engineered to produce hydroxylated collagen.

作者信息

Morris Tom, Gerstl Friederike, Jung Sascha, Cairns Timothy C, Meyer Vera

机构信息

Chair of Applied and Molecular Microbiology, Institute of Biotechnology, Technische Universität Berlin, Berlin, Germany.

出版信息

Biotechnol Biofuels Bioprod. 2025 Aug 8;18(1):88. doi: 10.1186/s13068-025-02681-y.

Abstract

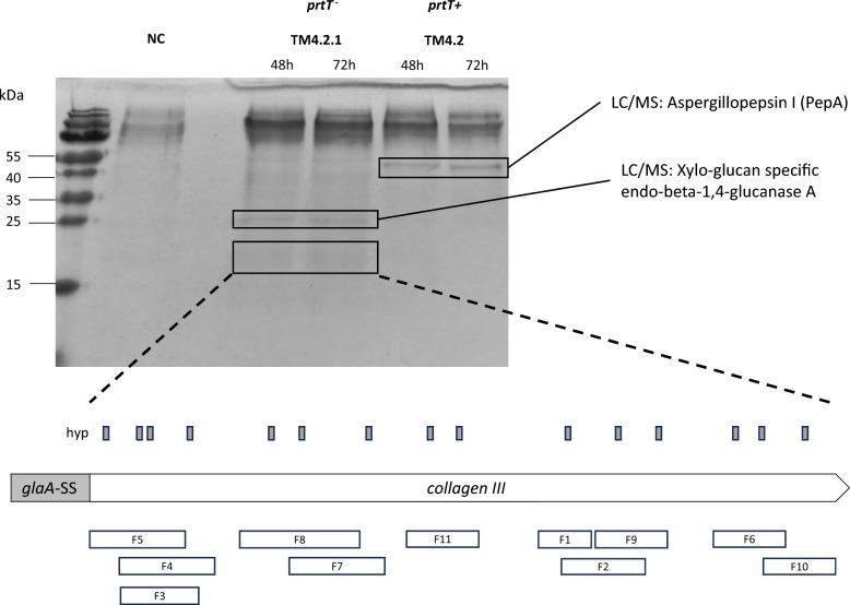
Advances in tissue printing and wound healing necessitate a continuous global supply of collagen. Microbial systems are highly desirable to meet these demands as recombinant collagenous proteins can be guaranteed as free from animal viruses. The filamentous cell factory Aspergillus niger has been instrumental for decades in the production of organic acids, enzymes and proteins, yet this fungus has not been explored for recombinant collagen production. In this study, we conducted extensive genetic engineering and fermentation optimization to provide proof of principle that A. niger can produce hydroxylated collagen. We used a modular cloning system to generate a suite of cassettes encoding numerous N-terminal secretion signals, native collagen genes and, additionally, various prolyl-4-hydroxylases (P4H) for protein hydroxylation. Collagen transcription was supported by both luciferase reporter and eGFP tagged approaches. Peptide sequencing from culture supernatant confirmed A. niger produced partially hydroxylated collagen. We then conducted a range of media optimizations and RNA sequencing to, respectively, increase collagen production and identify proteases which we hypothesized were detrimental to recombinant protein titers. Thus, we deleted an endopeptidase encoding gene, protA, which was likely responsible for degrading secreting collagen. Ultimately, we were able to generate an isolate capable of producing hydroxylated collagen at titers of 5 mgL in shake flask models of fermentation. This study thus proves A. niger is a promising heterologous system to address the demand for virus-free collagen.

摘要

组织打印和伤口愈合技术的进步使得全球对胶原蛋白的持续供应成为必要。由于重组胶原蛋白可保证不含动物病毒,因此微生物系统非常适合满足这些需求。丝状细胞工厂黑曲霉在数十年来一直对有机酸、酶和蛋白质的生产发挥着重要作用,但尚未探索利用这种真菌来生产重组胶原蛋白。在本研究中,我们进行了广泛的基因工程和发酵优化,以证明黑曲霉能够产生羟基化胶原蛋白。我们使用模块化克隆系统生成了一系列盒式结构,这些盒式结构编码多种N端分泌信号、天然胶原蛋白基因,此外还编码各种脯氨酰-4-羟化酶(P4H)用于蛋白质羟基化。通过荧光素酶报告基因和eGFP标记方法均支持胶原蛋白转录。对培养上清液进行肽测序证实黑曲霉产生了部分羟基化的胶原蛋白。然后,我们进行了一系列培养基优化和RNA测序,分别用于提高胶原蛋白产量和鉴定我们假设对重组蛋白滴度有害的蛋白酶。因此,我们删除了一个可能负责降解分泌型胶原蛋白的内肽酶编码基因protA。最终,我们能够在摇瓶发酵模型中获得一种能够产生滴度为5 mg/L羟基化胶原蛋白的菌株。因此,本研究证明黑曲霉是满足无病毒胶原蛋白需求的一种有前景的异源系统。

https://cdn.ncbi.nlm.nih.gov/pmc/blobs/386c/12333218/669a952865d5/13068_2025_2681_Fig1_HTML.jpg

文献AI研究员

20分钟写一篇综述,助力文献阅读效率提升50倍。

立即体验

用中文搜PubMed

大模型驱动的PubMed中文搜索引擎

马上搜索

文档翻译

学术文献翻译模型,支持多种主流文档格式。

立即体验